Vzteklina
| vzteklina | |
|---|---|
![]() Pes domácí nemocný tichou formou vztekliny | |
| Klasifikace | |
| MKN-10 | A82 |
| MeSH | C02.782.580.830.750 |
| Statistické údaje – obě pohlaví[1] | |
| Mortalita | 2 na 100 000 v Asii 4 na 100 000 v Africe |
| Klinický obraz | |
| Průběh | akutní |
| Příčiny nebo rizikové faktory | virové onemocnění |
| Postižený systém | centrální nervová soustava |
| Minimální inkubační doba | 7 d |
| Maximální inkubační doba | 1 a |
| Některá data mohou pocházet z datové položky. | |
Vzteklina (též rabies, běsnění, lyssa) je akutní nakažlivé virové onemocnění centrálního nervového systému všech teplokrevných živočichů včetně lidí. Virus vztekliny se přenáší slinami, tedy v praxi nejčastěji pokousáním.[2][3]
Nemoc se projevuje změnami chování, zvýšenou dráždivostí, agresivitou, parézami a paralýzami. Jakmile nemoc propukne, končí vždy smrtelně. Tomu se dá zabránit včasným očkováním lidí, u kterých došlo, nebo mohlo dojít k nákaze: protilátky přítomné během inkubační doby zabrání postupu viru do mozku a vzteklina vůbec nepropukne. Léčba v pozdějších stadiích nemoci je pouze symptomatická. Z metod této podpůrné léčby se zatím jeví nejslibnější tzv. Milwaucký protokol,[4] původně se jednalo o experimentální léčbu tehdy patnáctileté Jeanny Giesové: dívka přežila, přestože nebyla očkovaná. Od té doby se podařilo zachránit několik dalších lidí.[4] Navzdory jistým úspěchům však na vzteklinu ročně umírá přes 55 tisíc lidí,[1][3] především v Asii a v Africe.[1][3]
Vzteklina se vyskytuje téměř na celém světě a lidské záznamy o její existenci jsou staré více než 5000 let.[5] Nákaza vytváří přírodní ohniska, ve kterých jako rezervoár nemoci slouží především šelmy a letouni.[6] V Česku bylo v roce 1953 zavedeno povinné očkování domácích psů[7] a od roku 1989 do roku 2009 probíhala 2× ročně i orální vakcinace lišek.[8] Díky tomu byl jedním z posledních výskytů vztekliny v Česku případ dokumentovaný v dubnu 2002 u lišky v okrese Trutnov,[8] a od roku 2004 bylo Česko prohlášeno za zemi vztekliny prostou.[8] V roce 2015 byla pak nákaza identifikována u netopýra v pražských Riegrových sadech. Vzteklina u netopýrů je ale poměrně specifická, odhalení proto nemělo vliv na označení Česka jako země vztekliny prosté.[9]
Původce onemocnění
Původcem vztekliny je RNA virus z rodu Lyssavirus z čeledi Rhabdoviridae. Jedná se o poměrně jednoduše stavěný,[6] obalený virus, jehož virion má tvar projektilu. Klasickou vzteklinu způsobuje lyssavirus sérotypu 1.[6] V rámci rodu lyssavirus existuje dalších šest sérotypů, izolovaných hlavně z netopýrů, které rovněž způsobují onemocnění nerozlišitelné od vztekliny. Klasické antirabické vakcíny však nemusí poskytovat ochranu proti všem sérotypům viru.[6]
Ve vnějším prostředí je virus poměrně odolný, přežívá dobře vyschnutí a je konzervovaný nízkými teplotami, při teplotách pod bodem mrazu přežívá měsíce. V zakopaném mrtvém těle zvířete si může uchovat virulenci i několik týdnů,[6] při teplotách kolem 20 °C zůstane živý až jeden týden. Je citlivý k UV záření, sluneční záření jej ničí do jedné hodiny. Většina dezinfekčních prostředků je též použitelná, velmi účinný je formaldehyd, dobré jsou i dezinfekční prostředky na bázi chlóru, lze použít i kyseliny, louhy, tuková rozpouštědla, mýdla a saponáty.[6] Nejrychlejší dekontaminaci předmětů lze zajistit jejich ponořením do vroucí vody nebo jejich opálení plamenem, vysoké teploty virus vztekliny ničí okamžitě.[6]
Epizootologie
K infekci vzteklinou jsou náchylní všichni teplokrevní živočichové, u ptáků však bylo onemocnění pozorováno jen po experimentální infekci.[10] Rezervoárem nemoci jsou především šelmy a letouni, kteří představují zdroj infekce i pro jiné savce, kteří slouží jen jako náhodní hostitelé, kteří chorobu již dále nešíří.[6]
Virus vztekliny není jednotný. I v rámci sérotypu-1 se jednotlivé kmeny liší povrchovými antigeny na povrchu virionu: tyto změny se dají zjistit použitím monoklonálních protilátek a vzteklinové viry se podle nich dělí na jednotlivé genotypy; varianty viru se ale odlišují i svojí genetickou výbavou, prokazatelnou pouze analýzou genomu. Navíc se jednotlivé odlišné kmeny viru, tzv. biotypy, liší geografickým rozšířením, patogenními vlastnostmi a živočišným druhem, který je hlavním rezervoárem.[11] Jednotlivé biotypy jsou adaptovány na konkrétního hostitele, pro který je vysoce infekční, takže k nákaze stačí menší množství virových částic, a vysoce patogenní, s krátkou inkubační dobou a velkým množstvím vylučovaného viru ve slinách. Pro jiné druhy zvířat je tento konkrétní biotyp infekční výrazně méně, potřebná infekční dávka může být až 100 000krát větší.[11] Neadaptovaný virus nemusí být u jiného druhu schopen vyvolat onemocnění, infekce vyvolá jen tvorbu protilátek a zvíře je k další infekci již odolné.[11] Jiný než rezervoárový hostitel se může při infekci chovat i jako nespecifický, dead-end hostitel, který sice onemocní a uhyne, ale pro další šíření vztekliny nemá význam. Ovšem dojde-li k úspěšné infekci a virus je schopen vylučování i z nespecifického hostitele, virus se může opakovaným pasážováním na novém hostiteli adaptovat na tento nový druh, pro který je následně opět vysoce infekční a patogenní, a vznikne nový biotyp s novým hlavním rezervoárovým druhem zvířete.[11]

Z epizootologického hlediska jsou dále rozeznávány dvě formy vztekliny: městská (urbánní), kde je hlavním zdrojem nákazy pes, a sylvatická (lesní), kde jsou zdrojem volně žijící zvířata. Vzteklina je onemocnění s přírodní ohniskovostí, s periodickým propuknutím nákazy ve chvíli, kdy hustota vnímavých hostitelů překročí určitou hranici a choroba se snadno šíří z jednoho zvířete na druhé. Vzplanutí vztekliny sníží množství vhodných hostitelů a počet nemocných zvířat se sníží na jednotlivé případy, které udržují chorobu přítomnou v populaci. Při „přeskočení“ vztekliny a adaptaci biotypu na nového hostitele se dále vzteklina šíří jako epizootie, vlnovitě postupující rychlostí 30–60 km za rok do nezasažených území s naivní populací hostitelů a v oblastech za frontou se dále opět udržuje enzooticky s pravidelným vzplanutím nákazy v ohniscích.[12]
Vzteklina psů
Vzteklina psů je z hlediska ohrožení zdraví lidí nejvýznamnějším biotypem vztekliny. Urbánní forma vztekliny, jejímž hlavním rezervoárem je pes domácí, představuje hlavní zdroj infekce člověka v rozvojových zemích, především v Africe a v Asii.[13] Celosvětově je 95 % všech případů vztekliny člověka způsobeno právě pokousáním psem domácím.[14] Vzteklina psů se vyskytuje celosvětově. Viry adaptované na psa cirkulují v psí populaci, nezávisle na výskytu sylvatické formy vztekliny.
Vzteklina divokých zvířat
Vzteklina lišek

Virus vztekliny lišek obecných se v několika různých, více či méně příbuzných biotypech vyskytuje v Evropě, v Asii a v Severní Americe.[11] V Evropě je liška obecná nejvýznamnějším rezervoárem sylvatické formy vztekliny.[6] Liška obecná je hlavním rezervoárem vztekliny též na většině území bývalého Sovětského svazu, nicméně přítomné biotypy mohou cirkulovat též v populaci korsaka, vlka obecného nebo psíka mývalovitého.[15]
Vzteklina lišek polárních je způsobena odlišným biotypem, který se vyskytuje endemicky v oblastech za severním polárním kruhem, na Aljašce, v Kanadě, v Grónsku, na souostroví Špicberky a v Ruské Federaci. V Kanadě je biotyp adaptovaný na lišku polární schopný kolovat i v populaci lišek obecných a skunka pruhovaného[16] a je hlavním zdrojem vztekliny v provinciích Québec[17] a Ontario.[16] Ve státě Texas je rezervoárem specifického biotypu vztekliny liška šedá.
Pes a kočka jsou k nákaze virem vztekliny lišek obecných 300 000krát odolnější než liška, která je velmi vnímavá.[6] Liška nakažená liščím biotypem vztekliny vylučuje virus ve slinné žláze v 90–100 % případů, podobně je na tom i skunk. Virus ale vylučuje už jen 83 % jezevců, 50 % nemocných kun a 30–70 % nemocných psů.[6] Z hlediska rizika liščí vztekliny pro člověka je důležitým hostitelem kočka domácí: vylučuje virus ve slinách v 80 % případů[6] a u polodivoce žijících koček, jejichž teritoria se překrývají s teritorii lišek, může snadno dojít k přenosu infekce.[6] Na enzooticky zamořených územích se vzteklina objevuje ve zhruba čtyřletých cyklech s nejvyšším počtem případů v březnu a v dubnu a s druhým, i když menším vrcholem na podzim.
Vzteklina psíků mývalovitých
Psík mývalovitý je rezervoárem vztekliny na Dálném východě,[15] Mongolsku, v severní Číně[11] a v Koreji.[18] V Jižní Koreji je psík mývalovitý hlavním vektorem vztekliny, vyskytuje se u něj ve čtyřletých cyklech, s největším počtem případů v lednu a v únoru.[18]
Dále je psík mývalovitý rezervoárem vztekliny ve Východní Evropě: zde je nepůvodním, invazním druhem, který do volné přírody Evropy pronikl z kožešinových farem.[11] Virus vztekliny, který v Evropě napadá psíky mývalovité, byl původně adaptovaný na lišky,[19] ale v populaci psíků mývalovitých se snadno šíří[20] a především v Pobaltí je psík mývalovitý společně s liškou obecnou nejvýznamnějším rezervoárovým zvířetem.[21]
Vzteklina skunků
Skunkové jsou nejvýznamnějším rezervoárem sylvatické formy vztekliny v Severní Americe. Skunk bělohřbetý a skunk dlouhoocasý mají omezený areál rozšíření a tím pádem i omezený význam jako vektory vztekliny,[22] skunk západní a skunk skvrnitý mají zase přirozeně nižší populační hustotu, která neumožňuje snadné šíření nákazy.[22] Skunk pruhovaný je však ve Spojených státech a v Kanadě hlavním zdrojem vztekliny.[23] Na východním pobřeží Spojených států je vzteklina skunků způsobena mývalím biotypem viru (viz vzteklina mývalů severních).[24] V Kanadě, v provinciích Ontario a Quebec, a ve státe New York koluje v populaci skunků místní liščí biotyp viru,[22] ke kterému jsou skunkové stejně vnímaví jako lišky.[11] Dále na kontinentě existují dva odlišné varianty viru, adaptovaného přímo na skunka pruhovaného: jedna je endemicky rozšířena v kanadských provinciích Manitoba, Saskatchewan a Alberta, na americkém Středozápadě a v Kalifornii,[23] druhá způsobuje vzteklinu skunků v Texasu a Kansasu.[23] Ve státe Missouri a v Arkansasu se pak vyskytují obě varianty viru.[22]
Vzteklina skunků je v těchto státech přítomná endemicky, nemá tendence vytvářet vlnovitě šířící se epizootie jako vzteklina lišek či mývalů.[22] U skunků propuká vzteklina v šesti- až osmiletých cyklech, s největším počtem případů na jaře a na konci podzimu.[22]
Vzteklina mývalů severních
Biotyp, jehož hlavním rezervoárem je mýval severní, se endemicky vyskytuje na celém východním pobřeží Spojených států amerických. Vzteklina mývalů se poprvé objevila na Floridě na začátku 50. let 20. století,[25] epizooticky se rozšířila směrem na sever a v současnosti je přítomna v pásu od států Florida a Alabama na jihu až do státu Maine na severu.[25][26] V červenci 1999 se nákaza objevila v Kanadě v provincii Ontario, ale vakcinační programy její postup zastavily a poslední nemocný mýval byl v Kanadě zjištěn v roce 2005.[27] Ve Spojených státech běží programy orální vakcinace mývalů, které udržují nákazu v současných hranicích a brání jejímu rozšíření směrem na západ.[28] V zamořených oblastech se vzteklina mývalů objevuje v pětiletých cyklech.[25]
Vzteklina promyk a mangust
Promyka malá je kromě psa domácího nejvýznamnějším vektorem vztekliny v Karibiku. V oblasti je nepůvodním druhem, byla dovezena v 19. století jako lovec potkanů na plantážích cukrové třtiny, v současnosti je považována za škůdce a invazní druh. Vzteklina promyk malých je přítomná v Grenadě, v Portoriku, na Kubě, v Dominikánské republice a na Haiti, na Grenadě a Portoriku jsou hlavním rezervoárem vztekliny.[29] Vzteklina promyk malých na Karibských ostrovech je pravděpodobně způsobena virem vztekliny psů, který není na promyky adaptovaný,[11] v některých oblastech má až 50 % všech promyk vytvořené protilátky proti vzteklině po abortivní infekci.[29]
V Jižní Africe je vektorem vztekliny mangusta liščí,[11][30] vlastní biotyp viru vztekliny hostí též promyka červená.[31]
Vzteklina netopýrů
Vzteklinové viry adaptované na letouny se vyskytují po celém světě. V Evropě jsou netopýři nositeli specifických sérotypů vztekliny: viru evropské netopýří vztekliny typu 1 (EBLV-1, sérotyp 5) a viru evropské netopýří vztekliny typu 2 (EBLV-2, sérotyp 6). Podobně jako virus klasické vztekliny, ani netopýří viry neinfikují všechny druhy letounů, ale jsou hostitelsky specifické: EBLV-1 způsobuje onemocnění netopýrů večerních a netopýrů tripolitánských,[32] EBLV-2 napadá netopýry rodu Myotis. Vzteklina netopýrů je v jejich populaci enzootická a výjimkou není překonání infekce a tvorba protilátek.[32] Při propuknutí choroby je netopýr neschopný letu, nevyhledává úkryt a vydává nenormální zvuky. Vzácně je možný přenos i na pozemní savce (kunu skalní, kočku, ovce) a na člověka.[33] Z epizootologického hlediska však vzteklina netopýrů nepředstavuje větší hrozbu, protože lišky jsou k infekci netopýřími viry velmi odolné, takže možnost adaptace netopýřího viru a způsobení epizootie lišek je jen teoretická, a nepravděpodobná.[34]

V Africe jsou netopýři nositeli dalších sérotypů vztekliny: jedná se o netopýří virus Lagos (séropyp 2), izolovaný z kaloně plavého a dalších plodožravých netopýrů v Nigérii a virus Duvenhage (sérotyp 4), vyskytující se u hmyzožravých netopýrů v Jižní a Východní Africe.[35] Virus Duvenhage je prokazatelně přenosný i na člověka, virus Lagos nikdy nebyl u člověka diagnostikován.[35] Nejnověji objeveným sérotypem je Shimoni bat virus, izolovaný v Keni z pavrápence Commersonova.[36]
V Asii jsou netopýři nosiči dalších, specifických sérotypů lyssavirů: v Kyrgyzstánu byl z mozku netopýra východního izolován virus Aravan,[37] v Tádžikistánu byl objeven virus Khujand,[38] a z oblasti pochází též další dva sérotypy viru, Irkut a Západokavkazský netopýří virus (WCBV, West Caucasian bat virus).[39]
V Austrálii jsou kaloni rezervoárem sérotypu 7, australského netopýřího viru. I tento sérotyp může být přenesen na člověka v omezené míře i na další druhy savců.[11]
Na americkém kontinentě je vzteklina netopýrů způsobena klasickým virem vztekliny, sérotypem-1. Viry adaptované na netopýry nejsou patogenní pro ostatní savce a způsobují u nich infekci jen neochotně.[11] Nejvýznamnějším rezervoárem je upír obecný, a to v celé Latinské Americe. Upíři představují hlavní zdroj infekce pro skot, jen v Brazílii upír obecný je zároveň vůči vzteklině poměrně odolný, u 3–28 % jedinců byly nalezeny protilátky proti vzteklině, jako důkaz abortivní infekce.[40] Vzteklina upírů je přenosná na člověka, ale nové údaje ukazují, že i u něj je možná abortivní infekce.[41] Nositeli vztekliny v Americe je kromě upírů též několik druhů hmyzožravých netopýrů, jako je netopýr mexický a další druhy rodu Lasiurus, netopýr hnědý a další druhy rodu Eptesicus, netopýři rodu Myotis, dále morousové, jako je morous guánový.[11] Biotyp viru morouse guánového je odlišný od viru vztekliny upírů,[11] takže mezi jednotlivými druhy netopýrů a jejich virem vztekliny patrně panují podobné vztahy jako mezi vzteklinou a jejími čtyřnohými rezervoáry.
Vzteklina u jiných druhů savců
V omezené míře slouží jako rezervoáry vztekliny i jiné druhy savců, především tedy psovitých šelem: vzteklina vlků obecných je závažná z epidemiologického hlediska, protože nemocní vlci ztrácí strach z člověka a napadají lidi i domácí zvířata.[11] Občasné epizootie vztekliny se objevují u vlků na Aljašce[42] i v Ruské federaci a Mongolsku v obou případech se jedná pravděpodobně o nákazu liščím biotypem viru,[15] vzteklina adaptovaná přímo na vlka nebyla zjištěna.[11] V Africe virus vztekliny psa může kolovat v populacích divokých psovitých šelem, zvláště šakalů, a mezi šakaly čabrakovými se může vzteklina přenášet nezávisle na jiných vektorech.[43] Vektorem vztekliny je též pes ušatý, u kterého se objevují pravidelné epizootie vztekliny[44] a společně s mangustami je on a šakal čabrakový hlavním vektorem sylvatické vztekliny v Africe. Další psovité šelmy jsou spíše oběťmi nákazy, epizootie vztekliny jsou problémem u ohrožených vlčků etiopských[45] a psů hyenovitých. Ohrožená zvířata jsou proto chráněna očkováním.
Biotyp méně patogenní vztekliny se vyskytuje u hyen skvrnitých, v Serengeti má 37 % všech hyen protilátky proti vzteklině, zvláštností je též potvrzení skrytého nosičství, kdy klinicky zdravá hyena intermitentně vylučuje virus vztekliny ve slinách.[46]
Na hranicích mezi Spojenými státy a Mexikem byl přítomen biotyp vztekliny, adaptovaný na psa domácího a na kojota, ale ten byl vakcinačními programy vymýcen v roce 2004.[47] V Brazílii je vektorem specifického kmenu vztekliny pes šedý.[48] Býložravci jsou většinou dead-end hostitelé, kteří již nemoc nešíří na jiná zvířata, výjimkou je kudu velký, u kterého je vzeklina schopná šířit se z jednoho zvířete na druhé a udržovat se tak v populaci těchto antilop.[49] Epizootie vztekliny kudu v období od 1975–1985 zahubila 20 % tehdejší populace, až 50 000 zvířat.[50] Mezi jednotlivými zvířaty se vzteklina nepřenáší pokousáním, ale olizováním při sociálním kontaktu a při spásání trnitých keřů, kdy dochází jednak ke vzniku oděrek v ústní dutině zvířete, tak ke kontaminaci vegetace infekční slinou.[50]
Ostatní druhy savců mohou onemocnět, ale pro další šíření nákazy nemají význam.
Vzteklina ptáků
U ptáků je vzteklina velmi sporadická, většina ptačích druhů je prakticky nevnímavá. Ptáci nejsou považováni za přirozeného hostitele ani za součást infekčního řetězce. Přestože starší publikace uvádějí vznik spontánního onemocnění u drůbeže po pokousání liškou, ptáci onemocní jen výjimečně a s atypickým průběhem (spíše parézy než excitační příznaky). Experimentálně lze vyvolat vysokými dávkami viru vztekliny pouze přechodné a lehké porušení všeobecného zdravotního stavu, bez vylučování viru do okolí. Zatím nebyl zaznamenám případ vzniku vztekliny u lidí od ptáků. Izolace viru vztekliny byly popsány u káně lesní, jestřába lesního, luňáka červeného, kachen a sovy pálené. Experimentální infekce byly úspěšné u jestřábů, sokolů, krkavců, zpěvných ptáků, holubů, hus, kachen, kura domácího a pávů. Protilátky proti viru vztekliny byly zjištěny u volně žijících populací raroha prériového, jestřába lesního, orla skalního, kalouse pustovky, havranů, krkavců a špačků.[51][52]
Rozšíření nemoci


Ve světě
Vzteklina je rozšířena téměř na celém světě. Za země vzteklinou nezasažené se považuje Velká Británie, Irsko či Austrálie, nicméně ve Velké Británii byly popsány případy netopýrů nakažených evropským netopýřím virem,[53] který je příbuzný viru vztekliny, a v Austrálii se u kaloňů a netopýrů vyskytuje australský netopýří virus.[54] Oba viry jsou schopné vyvolat smrtelné onemocnění člověka. Epizootie vztekliny, která se šíří po indonéských ostrovech, dále představuje značné riziko zavlečení i klasické vztekliny.[55] Vzteklina ani příbuzné viry se nikdy nevyskytovaly na Novém Zélandu, dále jsou zcela vztekliny prosté ostrovní státy v Oceánii, vzteklina se nikdy nevyskytovala ani na karibských ostrovech či na ostrově Mauricius, a není přítomna ani na Antarktidě. Podle Světové organizace pro zdraví zvířat (OIE) se může kterákoliv země stát zemí vztekliny prostou, má-li zaveden efektivní způsob monitoringu nákazy a opatření zabraňující nákaze, a na jejím území nebyl dva roky hlášený žádný případ vztekliny. Izolace netopýřích sérotypů nemá na status země prosté klasické vztekliny vliv.[56] Dle těchto kritérií jsou v roce 2012 vztekliny prosté následující země a teritoria:[57]
- Andorra
- Anguilla
- Antigua a Barbuda
- Aruba
- Ascension
- Austrálie
- Azory
- Bahamy
- Baleáry
- Barbados
- Belgie
- Bermudy
- Britské Panenské ostrovy
- Cabrera
- Cookovy ostrovy
- Česko
- Dánsko
- Dominika
- Faerské ostrovy
- Falklandy
- Fidži
- Finsko
- Formentera
- Francie [p 1]
- Francouzská Polynésie
- Galapágy
- Gibraltar
- Guadeloupe
- Guam
- Havaj
- Ibiza
- Irsko
- Island
- Jamajka
- Japonsko
- Již. Georgie a Již. Sandwichovy ostrovy
- Kajmanské ostrovy
- Kanárské ostrovy
- Kokosové ostrovy
- Korsika
- Kypr
- Lichtenštejnsko
- Lucembursko
- Madeira
- Majorka
- Malta
- Martinik
- Mauritius
- Menorca
- Monako
- Montserrat
- Německo
- Nizozemské Antily
- Nizozemsko
- Norfolk
- pevninské Norsko
- Palau
- Panenské ostrovy
- Pitcairnovy ostrovy
- Portugalsko
- Rakousko
- Réunion
- Řecko
- Saint Pierre a Miquelon
- San Marino
- Severní Mariany
- Seychely
- Singapur
- Svatá Helena
- Svatá Lucie
- Svatý Kryštof a Nevis
- Svatý Vincenc a Grenadiny
- Španělsko
- Švédsko
- Švýcarsko
- Tahiti
- Tchaj-wan
- Tokelau
- Turks a Caicos
- Vánoční ostrov
- Velikonoční ostrov
- Velká Británie
- Wake
- Wallis a Futuna
V Česku
Česko v roce 2004 splnilo kritéria OIE a od té doby má status vztekliny prosté země. Tato skutečnost byla deklarována ve věstníku OIE Disease Information č. 30 z 23. června 2004.[59] Poslední případ vztekliny pozemních obratlovců byl zaznamenán 19. dubna 2002[59] u lišky v okrese Trutnov.[60]
V květnu 2005 byla v okrese Vyškov diagnostikována vzteklina u netopýra hvízdavého (Pipistrellus pipistrellus).[61] V Česku se jedná o čtvrtý potvrzený případ vztekliny netopýra, přičemž první byl zjištěn v roce 1994 a další dva případy v roce 1999. Vzteklina netopýrů (jedná se o evropský netopýří virus) je považována za specifickou variantu nákazy a jejím výskytem není dotčen status vztekliny prostého státu dle kritérií OIE. Problémem monitoringu nákazy netopýrů je nízký počet vyšetřených vzorků a nízká kvalita vyšetřovaných kadaverů.[62]
V rámci monitoringu nákazy nadále probíhá vyšetřování uhynulých a ulovených lišek obecných a dalších zvířat: v roce 2010 bylo v referenčních laboratořích vyšetřeno 5424 kusů lišek, 32 kun, 15 srnců obecných, 200 koček domácích, 15 psů a 106 kusů ostatních zvířat, všechny s negativním nálezem.[62] V roce 2012 bylo zatím vyšetřeno 2567 zvířat.[63]
V červenci 2024 došlo ke kousnutí muže v Ostravě nakaženým netopýrem. Byl to první případ kousnutí nakaženým netopýrem v Česku.[64]
Historie nemoci
Vzteklina je jednou z nejstarších známých onemocnění člověka. Nemoc je známa a doložená od 3000 př. n. l. Už ze starověkého Egypta pocházejí důkazy o této smrtelné chorobě v podobě fresek znázorňujících „vzteklé“ lidi a psy. První písemné záznamy o vzteklině pocházejí už ze starověkého Babylonu z 23. století před naším letopočtem.[65] Staří Řekové i Římané znali vzteklinu; latinský název pro vzteklinu s největší pravděpodobností pochází ze sanskrtu, ze slova rabhas – páchat násilí, řecké pojmenování – lyssa – je zase odvozeninou od slova lud – násilí. Vzteklina je zmíněna i v Iliadě: egyptský bůh Sirius měl podobu šíleného psa (počty vzteklých šakalů stoupaly v létě, kdy vycházelo právě souhvězdí Velkého psa). Bohyně Artemis prý měla mít sílu léčit vzteklinu.
Vzteklinou se zabývali Démokritos i Aristoteles, ten však odmítal spojitost mezi kousnutím vzteklého psa a onemocněním u člověka.
V prvním století našeho letopočtu se vzteklinou zabýval římský lékař Aulus Cornelius Celsus; od něj pochází první popis průběhu vztekliny u člověka, Celsus také odhalil kousnutí nemocného psa jako prvotní příčinu onemocnění a doporučil i „léčbu“ vztekliny – vypálení rány rozžhaveným železem a ponořením pokousaného do studené vody. Tento způsob ošetřování ran způsobených nemocným zvířetem, společně s „desinfekcí“ kyselinou dusičnou, přetrval až do 18. století. Jako léčebné prostředky byla doporučována také konzumace jater vzteklého psa, račích očí, kohoutích mozků nebo hřebínků.
Ve středověku byl za příčinu vztekliny považován např. mráz, vysoká teplota, konzumace příliš horké potravy, žízeň, hlad, některé atmosférické jevy, kolísání teploty, nebo, což je pochopitelné, démonický původ. Vlkodlaci a upíři jsou pravděpodobně aspoň částečně produktem lidského strachu ze vztekliny.[66][67] Většina procesů s nimi spadá do období epidemií vztekliny: v roce 1271 vypukla epidemie vztekliny ve Francii, v roce 1500 ve Španělsku, 1586 ve Flandrech, Rakousku, Maďarsku a Turecku, 1604 v Paříži, 1721–1728 na Balkáně. „Léčba“ proto spočívala nanejvýš ve vymítání, nemocní většinou končili na hranici.
Během renesance se sice vyskytlo několik publikací o vzteklině – roku 1546 Girolamo Fracastoro popsal klinické stadium vztekliny i způsob přenosu,[68] Saluis z Bologne se rovněž zabýval vzteklinou, ale mezi obyčejnými lidmi nadále přetrvávala víra v nadpřirozený, ďábelský původ vztekliny.
Zprávy o vzteklině v Novém světě pocházejí už z počátku 16. století, kdy mnich Petrus Anglerius zaznamenal případy šílenství španělských vojáků po kousnutí netopýrem, v roce 1709 se o tomtéž zmiňuje Fray Jose Gil Ramirez.
V roce 1804 německý vědec Zinke poprvé dokazuje přenos vztekliny pomocí slin z nemocného psa na zdravého, v roce 1813 Francois Magenlie a Gilbert Breochut úspěšně přenesli vzteklinu z nemocného člověka na psa, v roce 1879 Victor Galtier přenesl vzteklinu z psa na králíka a z něj na jiného psa.
Roku 1881 členové Pasteurova týmu, Roux, Chamberlain, Thuillier dokázali, že původce se nachází v CNS a přenesli vzteklinu injekcí nervové tkáně nemocného zvířete. Poté bylo zjištěno, že virulence původce se vytrácí zhruba po 15 dnech – vakcínou ze sušené králičí míchy bylo 50 psů úspěšně chráněno proti vzteklině. 6. června 1885 byl po mnohačetném pokousání vzteklým psem očkován Joseph Meister, který se tak stal prvním zachráněným člověkem.[69] V průběhu následujících 15 měsíců pak bylo naočkováno dalších 2500 lidí.
Z 19. století jsou dokumentovány případy vztekliny psů a koček a dalších zvířat na území Čech a Moravy. Ve dvacátých letech minulého století bylo ročně laboratorně potvrzeno 400–600 případů vztekliny. Z toho připadalo 86 % na psy. V období 1919–1937 zemřelo na vzteklinu jen v Československu celkem 132 lidí a téměř 25 000 jich bylo léčebně očkováno v Pasteurově ústavu v Praze. V Česku je od roku 1953 povinné očkování psů, což nákazovou situaci podstatně změnilo a těžiště nákazy se přesunulo do volné přírody. Poslední prokázané nakažení člověka vzteklinou v Česku bylo v 60. letech minulého století na Kroměřížsku, v roce 1993 byl původce nákazy „dovezen“ z Asie.
Vznik a průběh nemoci
Virus je vylučován prakticky jen slinami, přičemž ve slinách se vyskytuje 3–5 dní před prvními klinickými příznaky. K infekci dochází většinou poraněnou kůží – hlavně pokousáním. Ve svalovině v místě pokousání se virus částečně pomnoží a šíří se nervovými drahami (tzv. „axonálním transportem“) do CNS. Tam se virus začne výrazně množit, způsobí nehnisavou meningoencefalitidu a dojde ke klinickým příznakům. Inkubační doba je v průměru 2–4 týdny (max. 15 měsíců u koně, min. 5 dnů u psa) a je závislá na množství viru, místě pokousání (čím blíže mozku, tím rychlejší nástup), kmenu viru a vnímavosti zvířete (resp. imunitního stav hostitele). Z CNS se šíří virus dále do slinných žláz, rohovky a parenchymatózních orgánů.
K infekci u ptáků (která je poměrně vzácná) může dojít pokousáním, např. liškou, nebo pozřením infikované kořisti. U dravců se připouští možnost kontaminace zobáku a pařátů od infikovaných a uhynulých divoce žijících zvířat. Virus se šíří z místa poranění endoneurálními lymfatickými cévami do CNS. Neutralizační protilátky vznikají u ptáků velmi rychle a neutralizují virus vztekliny uvolňovaný z nervových buněk. Tím se u ptáků vysvětluje vznik pouze místně omezené infekce i jejich rychlé uzdravení.[51][52]
Klinické příznaky
U zvířat
- Zuřivá forma (nejčastější)
- 1. stádium počáteční (prodromální, melancholické) – trvá 1–3 dny nastupují změny chování, apatie, deprese, paréza hltanu (nemožnost polykat, slinotok).
- 2. stádium excitační (iritační) – trvá 3 dny, nastupuje agresivita, nemocné zvíře napadá jiná zvířata či lidi, vrhá se na stěny, okusuje nebo požírá nepoživatelné předměty (např. kameny), objevuje se silné svědění (zvířata se škrábou až do masa), šilhání, anizokorie (= nestejně rozšířené zornice) a paralýza hlasivek. Typické je narušení reflexů hlavových nervů a obrna lícního nervu.
- 3. stádium paralytické – trvá 4–5 dní, nastává ochrnutí pánevních končetin, močového měchýře, konečníku, hrudních končetin a následný úhyn; teplota zpočátku 40–40,5 °C, později pokles pod normál.
Výše popsané jsou typické příznaky průběhu vztekliny běžného u většiny zvířat, kromě toho však vzteklina může probíhat jako tzv.:
- Tichá forma – excitační stádium chybí, nebo je nevýrazné, převládá deprese a paralýza.
- Atypická forma – chronický průběh, hubnutí, atrofie svalstva, zánět žaludku a střev.
- Abortivní forma – zcela výjimečně, uzdravení zvířete bez jakýchkoliv příznaků.
- Recidivní forma – návratná.
- Smíšená forma – kombinace předchozích.
U zvířat chybí hydrofobie (známá u vztekliny lidí). U lišek, ale i jiných volně žijících šelem bývá naopak typické, že jedince uhynulé na vzteklinu lze najít v blízkosti vodních zdrojů či přímo v nich. Je to dáno tím, že lišky, které jsou v počátečním stádiu dehydratované, vyhledávají vodu.
Klinické příznaky u ptáků přirozeně i experimentálně infikovaných začínají rovněž krátkým excitačním obdobím, které se projevuje vyskakováním, křičením, pokusy vzlétnout, agresivitou vůči lidem a epileptiformními záchvaty, a pokračuje ataxií, slabostí končetin, padáním na bok a konečně paralýzou hlavy a krku. V průběhu dalších dnů mohou být pozorovány netečnost, ospalost, nezájem, nutkavé pohyby a úhyn. Někteří ptáci se mohou spontánně uzdravit.[51][52]
U lidí

V rozvojových zemích ročně vzteklinou onemocní až 55 000 lidí.[70] Inkubační doba trvá 10 dnů až 6 měsíců a stejně jako u zvířat je závislá na infekční dávce, kmenu viru, vnímavosti a místě pokousání.
Projevuje se atypickým chováním, v němž se projevují absence strachu, záchvaty zuřivosti, bolest při použití motorického svalstva, nadměrná produkce slin, křeče, nadměrná vzrušivost (pohyb v místnosti, jediné šplouchnutí vody či i jen pohled na ni a představa zvuku šplouchnutí či nutnosti ji polknout vyvolá prudkou reakci – viz alternativní jméno hydrofobie) a další poruchy osobnosti. Zmiňovaná hydrofobie je následek ochrnutí polykacích svalů. Smrt nastává v kómatu za současné paralýzy všech svalů.
Diagnostika

Základní metodou diagnostiky vztekliny u zvířat je přímá imunofluorescence, která se dělá z otisků řezů mozku (Amonův roh). Imunofluorescencí se prokazují virové antigeny přímo ve tkáni nakaženého jedince, je vysoce senzitivní a specifická a také relativně rychlá, přesná a levná. Jedná se ovšem o postmortální způsob diagnostiky a nedá se použít při diagnostice vztekliny u lidí (jedině jako metoda potvrzení po úmrtí pacienta). Dále se používá imunohistochemická metoda.[71][72][73]
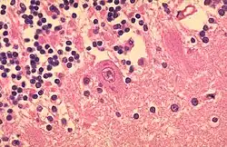
V minulosti se dělaly také histologické řezy, u nemocných se často vyskytovaly typické intracytoplasmatické inkluze (tvořené virovými proteiny) zvané Babes-Negriho tělíska. Nejčastěji se tvoří v Purkyňových a pyramidálních buňkách Amonova rohu. Přestože jsou patognomickým znakem pro vzteklinu, od použití histologie se v diagnostice vztekliny upustilo, jejich nepřítomnost totiž vzteklinu ani zdaleka nevylučuje.[71][74]
Biologický pokus, při kterém se suspenze z vyšetřované tkáně inokuluje 3–5 denním myškám a následně se provádí přímá imunofluorescence z jejich mozkové tkáně, se v minulosti prováděl v případě negativního či dubiózního fluorescenčního testu. Dnes se od něj upouští a živé myši jsou nahrazovány buněčnými kulturami, např. z myšího neuroblastomu či juvenilních ledvinových buněk křečka (BHK-21). Po namnožení viru v buněčných kulturách se následně prokazuje opět imunofluorescencí, virus neutralizačním testem či molekulárními metodami.[71][75]
Intravitální metody jsou méně přesné a specifické a používají se jenom u lidí. Používají se otiskové preparáty z rohovky, které se vyšetřují pomocí IF, izolace viru ze slin nemocného a sérologické průkazy protilátek v krvi nebo mozkomíšním moku. PCR slouží k průkazu virové RNA. Negativní výsledky však vzteklinu nevylučují.[76] Protilátky se totiž často nestihnou vytvořit.[71]
Diferenciální diagnostika u zvířat
Při diagnostice vztekliny je třeba vyloučit všechny encefalopatie infekčního či neinfekčního původu, jež se projevují nějakými nervovými příznaky. Konkrétně je třeba odlišit:
- u skotu – Aujeszkyho choroba, BSE;
- u ovcí – scrapie, Aujeszkyho choroba; Louping ill
- u psů – psinka, Rubarthova choroba, Aujeszkyho choroba, Surra, atd.
Z neinfekčních nemocí je to například otrava strychninem či olovem.
Léčba a prognóza u lidí
Primární formu léčby představuje očkování pokousaného jedince, v případě, že jsou pochybnosti o nakažení inkriminového zvířete, může lékař den počkat, bude-li odchyceno a vyšetřeno. Pokud se tak nestane, respektive stane a vzteklina je potvrzena, je zahájeno očkování napadeného člověka. K očkování je možno přikročit i později, obvykle má nakažený slušné šance, začne-li se do týdne po pokousání, nicméně riziko neúspěchu s rostoucí prodlevou stoupá. Pokud očkování uspěje, imunizovaný organismus zlikviduje infekci dříve, než pronikne do mozku. Šance na zabránění propuknutí choroby klesají s rostoucí prodlevou mezi pokousáním a první injekcí.
První očkování zavedené Louisem Pasteurem představovalo 14 dávek vakcíny, současná moderní metoda používá jednu dávku séra a 5 dávek vakcíny.
Propuknutí choroby až donedávna znamenalo jistou smrt. V poslední době však experimentální medicína vyvinula nové léčebné postupy, jejichž hlavním principem je udržování pacienta v anestetickém kómatu a aplikace silných dávek virostatik a látek chránících mozek. Prvním pacientem, na němž byla metoda vyzkoušena, byla patnáctiletá dívka Jeanna Giesová z Wisconsinu, která se tak stala prvním známým člověkem, který byl nakažen vzteklinou a přežil, aniž by byl očkován (před ní bylo známo dalších 6 lidí, u kterých se objevily klinické příznaky vztekliny a přežili, nicméně ve všech případech byli očkovaní[77]). Jedná se o dlouhodobý a nákladný léčebný proces vyžadující navíc dlouhou rekonvalescenci. Celý postup, nazvaný Milwaucký protokol, je dosud experimentem, jeho finanční nákladnost navíc prakticky vylučuje, aby se rozšířil mimo nejbohatší země světa. K roku 2009 bylo známo 36 použití Milwauckého protokolu v jeho původní (MP 1, 26 případů a 3 přeživší) a první revidované verzi (MP 2, 10 případů a 2 přeživší).[78] Z pohledu studií publikovaných do roku 2016 je tento protokol hodnocen jako neúčinný[79] a není doporučován.[80]
Terapie u zvířat se neprovádí. Podezřelá zvířata jsou utracena či odlovena.
Veterinární legislativa
Každý pes, který pokousal člověka, musí být majitelem předveden na veterinární vyšetření a to 0. den (v den pokousání) a poté 5. den od pokousání. Termín druhého vyšetření je stanoven právě kvůli tomu, že virus se vylučuje do slin 2–4 dny před prvními klinickými příznaky. Nejeví-li pes žádné nervové příznaky ani 5. den po pokousání, je možnost přenosu infekce na člověka vyloučena. Každý pes na území Česka starší 6 měsíců a také lišky a jezevci chovaní v zajetí musí být povinně vakcinováni proti vzteklině a poté revakcinováni dle příbalového letáku vakcíny.[81] U koček není vakcinace povinná.
Prevence

Prevence vztekliny je založena primárně na vakcinaci zvířat a lidí. U volně žijících nebo domácích zvířat probíhaly a v řadě zemích stále probíhají vakcinační eradikační programy. U lidí se prevence dělí na preexpoziční profylaxi (preventivní vakcinace) a postexpoziční profylaxi, tedy vakcinaci po pokousání či jiném přímém kontaktu s nemocným či podezřelým zvířetem.[82]
Preexpoziční vakcinaci podstupují lidé, u nichž s ohledem na jejich povolání a místo pobytu hrozí vysoké riziko infekce – například veterináři, laboratorní personál, který manipuluje s virem vztekliny, chovatelé zvířat apod.[82] V Evropě není běžně používaná.
Postexpoziční profylaxe je hlavním opatřením u lidí, jež přišli do kontaktu s rabitickým nebo podezřelým zvířetem. Krom samotné vakcinace je doporučováno okamžité vypláchnutí pokousané rány vodou s mýdlem či desinfekční látkou a aplikace antirabitických protilátek do 7 dnů od podání první postexpoziční vakcinační dávky.[82] Každoročně je na světě očkováno po pokousání více než 15 miliónů lidí, díky čemuž jsou zachráněny stovky lidských životů.[83]
Orální vakcinace lišek
Od roku 1989 se na území Česka 2× ročně prováděla orální vakcinace lišek. Vakcinace se prováděla vakcínami zabalenými v návnadě z rybího tuku. Vakcíny se kladly (letecky či ručně) v počtu zhruba 12–15 návnad na km². K orální vakcinaci lišek se používá živá atenuovaná vakcína (např. Lysvulpen). Ve vakcíně je obsažen i tetracyklin, který slouží jako marker (vyšetřením uhynulých či zastřelených lišek se zjišťuje přítomnost tetracyklinu v kostech či zubech).[84] Od orální vakcinace lišek se v Česku v r. 2010 upustilo.
Odkazy
Poznámky
Reference
- ↑ a b c Rabies [online]. WHO Media centre, 9/2011 [cit. 2012-07-19]. Dostupné online. (anglicky)
- ↑ SCHOENSTADT, Arthur. Rabies Transmission [online]. eMedTV, 4.5.2010 [cit. 2012-07-19]. Dostupné online. (anglicky)
- ↑ a b c Deset nejsmrtelnějších nemocí: dokážou zabít více než 95 procent zasažených. ČT24 [online]. [cit. 2019-09-24]. Dostupné online.
- ↑ a b WILLOUGHBY, Rodney E. Are We Getting Closer to the Treatment of Rabies? [online]. Medscape Today, 2009 [cit. 2012-07-19]. Dostupné online.
- ↑ Kuang Yi; Zhen F. Fu. Rabies in small animals. Veterinary Clinics of North America: Small Animal Practice [online]. 7/2008 [cit. 19.7.2012]. Roč. 38, čís. 4. Dostupné online. ISSN 0195-5616.
- ↑ a b c d e f g h i j k l m SVOBODA, Miroslav; SENIOR, David F.; DOUBEK, Jaroslav, a kol. Nemoci psa a kočky II. díl. Brno: Česká asociace veterinárních lékařů malých zvířat, 2001. 2038 s. ISBN 80-902595-3-7. Kapitola Infekční a parazitární nemoci, s. 1825–1833.
- ↑ Brožura o vzteklině [online]. Bioveta [cit. 2012-07-19]. Dostupné v archivu pořízeném dne 2012-10-25.
- ↑ a b c Vakcinace lišek proti vzteklině skončila [online]. Praha: Státní veterinární správa ČR, 14.9.2010 [cit. 2012-07-19]. Dostupné online.
- ↑ V ČR se po letech objevila vzteklina u netopýrů, nakazit mohou i člověka. iDNES.cz [online]. 2015-09-18 [cit. 2017-08-29]. Dostupné online.
- ↑ GOUGH, Patricia M.; JORGENSON, Richard D. Rabies antibodies in sera of wild birds. S. 392–395. Journal of Wildlife Diseases [online]. 7/1976 [cit. 20.7.2012]. Roč. 12, s. 392–395. Dostupné online. ISSN 0090-3558.
- ↑ a b c d e f g h i j k l m n o p BLANCOU, Jean. The Evolution of Rabies Epidemiology in Wildlife [online]. School of Veterinary Medicine, UCDavis. Dostupné v archivu pořízeném dne 2012-11-08. (anglicky)
- ↑ COLLINGE, Sharon K.; RAY, Chris. Disease Ecology: Community structure and pathogen dynamics. New York: Oxford University Press, 2006. 227 s. Dostupné online. ISBN 978-0-19-856708-0. Kapitola Spatial-temporal dynamics of rabies in ecological communities, s. 175. (anglicky)
- ↑ Tiziana Lembo, Katie Hampson, Magai T. Kaare, Eblate Ernest, Darryn Knobel, Rudovick R. Kazwala, Daniel T. Haydon, Sarah Cleaveland. The Feasibility of Canine Rabies Elimination in Africa: Dispelling Doubts with Data. S. 626. PLoS Neglected tropical diseases [online]. 2010 [cit. 18.8.2012]. Roč. 4, čís. 2, s. 626. Dostupné online. doi:10.1371/journal.pntd.0000626.
- ↑ What is rabies?. World Health Organization [online]. [cit. 2018-01-30]. Dostupné online. (anglicky)
- ↑ a b c Kuzmin IV, Botvinkin AD, McElhinney LM, Smith JS, Orciari LA, Hughes GJ, Fooks AR, Rupprecht CE. Molecular epidemiology of terrestrial rabies in the former Soviet Union.. S. 617–31. Journal of Wildlife Diseases [online]. Říjen 2004 [cit. 17.8.2012]. Roč. 45, čís. 4, s. 617–31. Dostupné online.
- ↑ a b Controlling Fox Rabies in Ontario [online]. Ministry of Natural Resources Ontario, 2009 [cit. 2012-08-17]. Dostupné online. (anglicky)
- ↑ Outbreak of Rabies Cases in Northern Quebec’s Arctic Fox [online]. Canadian Cooperative Wildlife Heath Centre, 25.4.2012 [cit. 2012-08-17]. Dostupné online.
- ↑ a b Dong-Kun Yang, Seo-Young Kim, Yoon-I Oh, Jeong Ah Lee, Soo-Dong Cho, Kyung-Woo Lee and Jae-Young Song. Epidemiological Characteristics of Rabies in South Korea from January 2004 to March 2011. S. 165 – 171. Journal of Bacteriology and Virology [online]. 30.9.2011 [cit. 18.8.2012]. Roč. 41, čís. 3, s. 165 – 171. Dostupné v archivu pořízeném z originálu dne 2018-07-27.
- ↑ Dainius Zienius, Vilimas Sereika, Raimundas Lelešius. Rabies occurrence in red fox and raccoon dog population in Lithuania. S. 59–64. Ekologija [online]. 2007 [cit. 14.8.2012]. Roč. 53, čís. 1, s. 59–64. Dostupné online. ISSN 0235-7224.
- ↑ Singer A, Kauhala K, Holmala K, Smith GC. Rabies in northeastern Europe--the threat from invasive raccoon dogs.. S. 1121–37. Journal of Wildlife Diseases [online]. 10/2009 [cit. 14.8.2012]. Roč. 45, čís. 4, s. 1121–37. Dostupné online.
- ↑ Matouch O. The rabies situation in Eastern Europe.. S. 27–35. Developments in Biologicals. [online]. 2008 [cit. 14.8.2012]. Roč. 131, s. 27–35. Dostupné online.
- ↑ a b c d e f Catherine Gremillion-Smith and Alan Woolf. Epizootology of Skunk Rabies in North America. S. 620–626. Journal of Wildlife Diseases [online]. 1988 [cit. 18.8.2012]. Roč. 24, čís. 4, s. 620–626. Dostupné online.
- ↑ a b c Charlton KM, Webster WA, Casey GA, Rupprecht CE. Skunk Rabies.. S. 626–8. Reviews of Infectious Diseases. [online]. 1988 [cit. 18.8.2012]. Roč. 10, čís. Suppl 4, s. 626–8. Dostupné online.
- ↑ Guerra MA, Curns AT, Rupprecht CE, Hanlon CA, Krebs JW, Childs JE. Skunk and Raccoon Rabies in the Eastern United States: Temporal and Spatial Analysis.. Emerging Infectious Disease [online]. Září 2003 [cit. 18.8.2012]. Dostupné online. doi:10.3201/eid0909.020608.
- ↑ a b c The Raccoon Rabies Epidemic [online]. New York: Wadsworth Center, New York State Department of Health [cit. 2012-08-16]. Dostupné v archivu pořízeném dne 2012-03-30. (anglicky)
- ↑ Wildlife Reservoirs for Rabies [online]. Centers for Disease Control and Prevention, rev. 10.11. 2011 [cit. 2012-08-16]. Dostupné online. (anglicky)
- ↑ The facts about raccoon rabies [online]. Ministry of Natural Resources, Ontario, 2009 [cit. 2012-08-16]. Dostupné online. (anglicky)
- ↑ Preventing the Spread of Raccoon Rabies: National Rabies Management Program [online]. United States Department of Agriculture [cit. 2012-08-16]. Dostupné v archivu pořízeném dne 2012-06-11. (anglicky)
- ↑ a b C. O. R. Everard and J. D. Everard. Mongoose Rabies. Reviews of Infectious Diseases. 10. 1988, roč. Supplement 4., s. S610–S614.
- ↑ THOMSON, Gavin; MEREDITH, Courtney M. Wildlife Rabies in Southern Africa [online]. Onderstepoort: Department of Agricultural Development [cit. 2012-08-18]. Dostupné v archivu pořízeném dne 2016-03-10.
- ↑ Bingham J, Javangwe S, Sabeta CT, Wandeler AI, Nel LH. Report of isolations of unusual lyssaviruses (rabies and Mokola virus) identified retrospectively from Zimbabwe.. S. 92–4. Journal of South African Veterinary Association [online]. Červen 2001 [cit. 18.8.2012]. Roč. 72, čís. 2, s. 92–4. Dostupné online.
- ↑ a b Sonia Vázquez-Morón, Javier Juste, Carlos Ibáñez, Eduardo Ruiz-Villamor, Ana Avellón, Manuel Vera, Juan E. Echevarría. Endemic Circulation of European Bat Lyssavirus Type 1 in Serotine Bats, Spain. S. 1263–1266. Emerging Infectious Diseases [online]. 8/2008 [cit. 19.8.2012]. Roč. 14, čís. 8, s. 1263–1266. Dostupné online. doi:10.3201/1408.080068.
- ↑ Stantic-Pavlinic M. Public health concerns in bat rabies across Europe. S. 576. Eurosurveillance [online]. 2005 [cit. 19.8.2012]. Roč. 10, čís. 11, s. 576. Dostupné online.
- ↑ Picard-Meyer E, Brookes SM, Barrat J, Litaize E, Patron C, Biarnais M, Healy DM, Johnson L, Fooks AR, Cliquet F. Experimental infection of foxes with European bat lyssaviruses type-1 and -2.. S. 339–45.. Developments in Biologicals. [online]. 2008. Roč. 131, s. 339–45.. Dostupné online.
- ↑ a b Charmaine van Eeden. The Genome Sequence and Aspect of Epidemiology of Rabies-related Duvenhage Virus [online]. University of Pretoria, 21.10.2008 [cit. 2012-08-19]. Dostupné online.
- ↑ Kuzmin IV, Mayer AE, Niezgoda M, Markotter W, Agwanda B, Breiman RF, Rupprecht CE. Shimoni bat virus, a new representative of the Lyssavirus genus.. S. 197–210. Virus research [online]. Květen 2010 [cit. 20.8.2012]. Roč. 149, čís. 2, s. 197–210. Dostupné online.
- ↑ Yohko T. Arai, Ivan V. Kuzmin, Yosuke Kameoka, Alexandr D. Botvinkin. New Lyssavirus Genotype from the Lesser Mouse-eared Bat (Myotis blythii), Kyrghyzstan. S. 333–337.. Emerging Infectious Diseases [online]. Březen 2003 [cit. 20.8.2012]. Roč. 9, čís. 3, s. 333–337.. Dostupné online. doi:10.3201/eid0903.020252.
- ↑ Kuzmin IV, Orciari LA, Arai YT, Smith JS, Hanlon CA, Kameoka Y, Rupprecht CE. Bat lyssaviruses (Aravan and Khujand) from Central Asia: phylogenetic relationships according to N, P and G gene sequences.. S. 65–79. Virus Research. [online]. Listopad 2003 [cit. 20.8.2012]. Roč. 97, čís. 2, s. 65–79. Dostupné online.
- ↑ Kuzmin IV, Hughes GJ, Botvinkin AD, Orciari LA, Rupprecht CE. Phylogenetic relationships of Irkut and West Caucasian bat viruses within the Lyssavirus genus and suggested quantitative criteria based on the N gene sequence for lyssavirus genotype definition.. S. 28–43. Virus research. [online]. Červenec 2005 [cit. 20.8.2012]. Roč. 111, čís. 1, s. 28–43. Dostupné online.
- ↑ Daniel G. Streicker, Sergio Recuenco, William Valderrama, Jorge Gomez Benavides, Ivan Vargas, Víctor Pacheco, Rene E. Condori Condori, Joel Montgomery, Charles E. Rupprecht, Pejman Rohani, Sonia Altizer. Ecological and anthropogenic drivers of rabies exposure in vampire bats: implications for transmission and control. S. 3384–3392. Proceedings of the Royal Society B: Biological Sciences [online]. 13.6.2012 [cit. 19.8.2012]. Roč. 279, čís. 1742, s. 3384–3392. Dostupné online. doi:10.1098/rspb.2012.0538.
- ↑ Amy T. Gilbert, Brett W. Petersen, Sergio Recuenco, Michael Niezgoda, Jorge Gómez, V. Alberto Laguna-Torres, Charles Rupprecht. Evidence of Rabies Virus Exposure among Humans in the Peruvian Amazon. S. 206–215. The American Journal of Tropical Medicine and Hygiene [online]. 2012 [cit. 19.8.2012]. Roč. 87, čís. 2, s. 206–215. Dostupné v archivu pořízeném z originálu dne 2012-08-05. doi:10.4269/ajtmh.2012.11-0689.
- ↑ Gregory J. Weller, Gerald W. Gamer, Donald G. Ritter. Occurrence of Rabies in a Wolf Population in Northeastern Alaska. S. 79–82. Journal of Wildlife Diseases [online]. [cit. 20.8.2012]. Roč. 31, čís. 1, s. 79–82. Dostupné online.
- ↑ Bingham J, Foggin CM, Wandeler AI, Hill FW. The epidemiology of rabies in Zimbabwe. 2. Rabies in jackals (Canis adustus and Canis mesomelas).. S. 11–23. Onderstepoort Journal of Veterinary Research [online]. Březen 1999 [cit. 20.8.2012]. Roč. 66, čís. 1, s. 11–23. Dostupné online.
- ↑ Thomson GR, Meredith CD. Rabies in bat-eared foxes in South Africa.. S. 399–403. Onderstepoort Journal of Veterinary Research [online]. Prosinec 1993 [cit. 20.8.2012]. Roč. 60, čís. 4, s. 399–403. Dostupné online.
- ↑ Deborah A. Randall, Stuart D. Williams, Ivan V. Kuzmin, Charles E. Rupprecht, Lucy A. Tallents, Zelealem Tefera, Kifle Argaw, Fekadu Shiferaw, Darryn L. Knobel, Claudio Sillero-Zubiri, M. Karen Laurenson. Rabies in Endangered Ethiopian Wolves. Emerging Infectious Diseases. [online]. Prosinec 2004 [cit. 20.8.2012]. Roč. 10, čís. 12. Dostupné online. doi:10.3201/eid1012.040080.
- ↑ Marion L. East, Heribert Hofer, James H. Cox, Ulrich Wulle, Harald Wiik, Christian Pitra. Regular exposure to rabies virus and lack of symptomatic disease in Serengeti spotted hyenas.. S. 15026–31. Proceeding of the National Academy of Sciences of the United States of America [online]. Prosinec 2001 [cit. 20.8.2012]. Roč. 98, čís. 26, s. 15026–31. Dostupné online. doi:10.1073/pnas.261411898.
- ↑ Andrés Velasco-Villa, Serena A. Reeder, Lillian A. Orciari, Pamela A. Yager, Richard Franka, Jesse D. Blanton, Letha Zuckero, Patrick Hunt, Ernest H. Oertli, Laura E. Robinson, Charles E. Rupprecht. Enzootic Rabies Elimination from Dogs and Reemergence in Wild Terrestrial Carnivores, United States. S. 1849–1854. Emerging Infectious Diseases [online]. Prosinec 2008 [cit. 20.8.2012]. Roč. 14, čís. 12, s. 1849–1854. Dostupné online. doi:10.3201/eid1412.080876.
- ↑ Bernardi F, Nadin-Davis SA, Wandeler AI, Armstrong J, Gomes AA, Lima FS, Nogueira FR, Ito FH. Antigenic and genetic characterization of rabies viruses isolated from domestic and wild animals of Brazil identifies the hoary fox as a rabies reservoir.. S. 3153–62. The Journal of General Virology [online]. Listopad 2005 [cit. 20.8.2012]. Roč. 86, čís. 11, s. 3153–62. Dostupné online.
- ↑ Hübschle OJ. Rabies in the kudu antelope ( Tragelaphus Strepsiceros).. S. 629–33. Reviews of infectious diseases. [online]. Listopad/prosinec 1988 [cit. 20.7.2012]. Roč. 10, čís. 4, s. 629–33. Dostupné online.
- ↑ a b Karen Mansfield, Lorraine McElhinney, Otto Hübschle, Felix Mettler, Claude Sabeta, Louis H Nel, Anthony R Fooks. A molecular epidemiological study of rabies epizootics in kudu (Tragelaphus strepsiceros) in Namibia. BMC Veterinary Research [online]. 13.1.2006 [cit. 21.8.2012]. Roč. 2006, čís. 2:2. Dostupné online. doi:10.1186/1746-6148-2-2.
- ↑ a b c JURAJDA, Vladimír. Nemoci drůbeže a ptactva – virové infekce. 1. vyd. Brno: ES VFU Brno, 2002. 184 s. ISBN 80-7305-436-1.
- ↑ a b c RITCHIE, B.W. et al. Avian Medicine: Principles and Application. Florida, USA: Wingers Publ., 1994. 1384 s. ISBN 0-9636996-5-2. (anglicky)
- ↑ European bat lyssavirus (EBLV) [online]. Department for Environment, Food and Rural Affairs, rev. 14.7.2011 [cit. 2012-07-20]. Dostupné online. (anglicky)
- ↑ Topic: Australian Bat Lyssavirus [online]. Queensland Government, 11.10.2010 [cit. 2012-07-20]. Dostupné v archivu pořízeném dne 20-04-2013. (anglicky)
- ↑ DREWITT, Andy. Health experts say Australia must brace for rabies arrival from Indonesia [online]. The Australian, 3.1.2012 [cit. 2012-07-20]. Dostupné online.
- ↑ KNOPF, Lea. OIE International Standards of Rabies [online]. OIE, 5.12.2008 [cit. 2012-07-20]. Dostupné v archivu pořízeném dne 2016-03-05. (anglicky)
- ↑ Rabies risks in terrestrial animals, by country [online]. Health Protection Agency, rev. 11.3.2012 [cit. 2012-07-20]. Dostupné online. (anglicky)
- ↑ A Mailles, D Boisseleau, L Dacheux, C Michalewiscz, C Gloaguen, N Ponçon, H Bourhy, H Callon, V Vaillant, I Dabosville, P Morineau-Le Houssine. RABID DOG ILLEGALLY IMPORTED TO FRANCE FROM MOROCCO, AUGUST 2011. Eurosurveillance [online]. 18.8.2011 [cit. 26.7.2012]. Roč. 16, čís. 33. Dostupné online.
- ↑ a b Rabies in the Czech Republic: the Delegate declares his country free from this disease. S. 208. Disease Information [online]. 23.6.2004 [cit. 1.8.2012]. Roč. 17, čís. 30, s. 208. Dostupné v archivu pořízeném dne 2006-11-27. ISSN 1012–5329.
- ↑ Státní veterinární správa České republiky. Vzteklina; nákazová situace v roce 2002. Informační bulletin [online]. 8/2003 [cit. 1.8.2012]. Roč. 2003. Dostupné online.[nedostupný zdroj]
- ↑ Státní veterinární správa ČR. Problematika vztekliny a její výskyt v České republice [online]. Praha: Státní veterinární správa ČR, rev. 23.09.2011 [cit. 2012-08-01]. Dostupné v archivu pořízeném dne 2009-11-03.
- ↑ a b Státní veterinární správa České republiky. Vzteklina; nákazová situace v roce 2010. Informační bulletin [online]. 5/2001 [cit. 1.8.2012]. Dostupné online.[nedostupný zdroj]
- ↑ Počty zvířat vyšetřených na vzteklinu v roce 2012 [online]. Praha: Státní veterinární správa ČR [cit. 2012-08-01]. Dostupné v archivu pořízeném dne 2006-08-07.
- ↑ Muže v Ostravě kousl do ruky netopýr. Měl vzteklinu - Novinky. www.novinky.cz [online]. 2024-08-01 [cit. 2024-08-02]. Dostupné online.
- ↑ WHO – Rabies
- ↑ Personal MD – Rabies May Have Inspired Vampire Legend. www.personalmd.com [online]. [cit. 2007-05-30]. Dostupné v archivu pořízeném dne 2007-09-28.
- ↑ Werevolves: The myths and the truths. joteel.com [online]. [cit. 2007-05-30]. Dostupné v archivu pořízeném dne 2007-05-30.
- ↑ Bernard N. Fields, David Mahan Knipe, Peter M. Howley, Diane E. Griffin. Fields' virology. [s.l.]: [s.n.] Dostupné online.
- ↑ DUFOUR, Héloïse D.; CARROLL, Sean B. History: Great myths die hard. Nature. 2013-10-03, roč. 502, čís. 7469, s. 32–33. Dostupné online [cit. 2018-02-03]. doi:10.1038/502032a. (anglicky)
- ↑ WHO – Rabies
- ↑ a b c d Rabies (infection with rabies virus) [online]. OIE, 2013 [cit. 2018-01-31]. Dostupné online.
- ↑ CDC - Diagnosis: Direct Fluorescent Antibody Test - Rabies. www.cdc.gov [online]. [cit. 2018-01-30]. Dostupné online. (anglicky)
- ↑ Diagnostic procedures for antigen detection. World Health Organization [online]. [cit. 2018-01-30]. Dostupné online. (anglicky)
- ↑ CDC - Diagnosis: Histologic Examination - Rabies. www.cdc.gov [online]. [cit. 2018-01-30]. Dostupné online. (anglicky)
- ↑ CDC - Diagnosis: Amplification Methods - Rabies. www.cdc.gov [online]. [cit. 2018-01-30]. Dostupné online. (anglicky)
- ↑ Intra vitam diagnosis. World Health Organization [online]. [cit. 2018-01-30]. Dostupné online. (anglicky)
- ↑ CDC Rabies
- ↑ https://www.medscape.com/viewarticle/712839_7
- ↑ Zeiler FA, Jackson AC (2016). "Critical Appraisal of the Milwaukee Protocol for Rabies: This Failed Approach Should Be Abandoned". Can J Neurol Sci (Review). 43 (1): 44–51. doi:10.1017/cjn.2015.331. PMID 26639059.
- ↑ Jackson AC (2016). "Human Rabies: a 2016 Update". Curr Infect Dis Rep (Review). 18 (11): 38. doi:10.1007/s11908-016-0540-y. PMID 27730539
- ↑ ZÁKON ze dne 13. července 1999 o veterinární péči a o změně některých souvisejících zákonů
- ↑ a b c Rabies vaccines and immunoglobulins: WHO position. World Health Organization [online]. [cit. 2018-01-29]. Dostupné online. (anglicky)
- ↑ 10 facts on rabies. World Health Organization [online]. [cit. 2018-01-31]. Dostupné online. (anglicky)
- ↑ Vzteklina – problematika vztekliny a její výskyt v České republice. Státní veterinární správa. 2018-01-01. Dostupné online [cit. 2018-01-29].
Literatura
- Státní veterinární správa ČR, vzteklina v ČR, Zdeněk Zelenka a kolektiv Archivováno 13. 6. 2007 na Wayback Machine.
- OIE-World organisation for animal health
- Vařejka F., Mráz O. a Smola J.: Speciální veterinární mikrobiologie. Státní zemědělské nakladatelství. Praha, 1989, ISBN 80-209-0042-X
Související články
Externí odkazy
Obrázky, zvuky či videa k tématu vzteklina na Wikimedia Commons
Slovníkové heslo vzteklina ve Wikislovníku- Seznam děl v Souborném katalogu ČR, jejichž tématem je vzteklina
- Rabies-Bulletin-Europe (informační portál Světové zdravotnické organizace o vzteklině)

Přečtěte si prosím pokyny pro využití článků o zdravotnictví.
