Purkyňova buňka

Purkyňovy buňky, známé také jako Purkyňovy neurony, jsou velké buňky s mnoha keříčkovitě rozvětvenými dendrity. Nacházejí se v mozečku a zásadní roli hrají především při řízení motorického pohybu. Poprvé byly objeveny roku 1837 českým fyziologem Janem Evangelistou Purkyněm.[1][2]
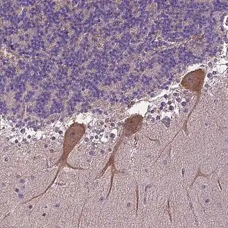
Struktura
Purkyňovy buňky patří spolu Betzovými buňkami (známé také jako pyramidové) k největším nervovým buňkám (v průměru měří asi 0,1 mm). Nacházejí se v mozečku, kde jejich těla tvoří střední, tzv. Purkyňovu vrstvu, zatímco jejich keříčkovitě rozvětvené dendrity zasahují do molekulární vrstvy. Právě na dendritické trny jsou pomocí synapsí napojena paralelní vlákna vystupující z granulárních buněk a také tzv. šplhavé vlákno. To je jedním z asi deseti axonů olivární buňky, proto stejná informace putuje mezi více Purkyňových buněk. Výstupní informace jsou potom předávány pomocí axonu do částí mozku, které řídí pohyb. [3][4][5]
.jpg)
Vývoj
Buňky se začínají diferencovat v nejranější fázi mozkové neurogeneze, kdy soubory prekurzorových buněk v mozečkových jádrech postupně migrují ven do kůry. Předpokládá se, že buňky stoupají na radiálním gliu, vedeny chemickými signály, ale ukázalo se, že nezralé buňky jsou schopné komunikovat i mezi sebou díky synapsím. Ty ovšem hned po dozrání zanikají. Po vytvoření Purkyňovy vrstvy přes ni migrují okolní granulární buňky, které v dospělosti zůstávají ve vnitřní buněčné vrstvě, tzv. granulární.
Vývoj Purkyňových buněk je ovlivněn synaptickým napojením paralelního a šplhavého vlákna olivární buňky. Zpočátku je buňka inervována několika šplhavými vlákny, ale jak vývoj postupuje, je zesilováno to vlákno, které dokáže navodit co největší excitační spojení s Purkyňovou buňkou. K tomuto procesu dochází díky déle působícímu potenciálu synapsí, naopak ostatní vlákna jsou zeslabována dlouho trvající depresí. Pro správný vývoj buněk jsou nezbytné také různé neurotransmitery a receptory. Zvláště důležitý je receptor glutamátu, který zajišťuje remodelaci dendritických stromů, a spolu s ním pak působí také neurotransmiter kyseliny gama-máselné (GABA).[3]
Fungování
Důležitou funkcí těchto buněk je koordinace pohybu. Synapse na dendritech jsou řízeny mediátorem, který může působit aktivačně (glutamátový typ), nebo naopak inhibičně (kyselina gama-máselná). Aktivačně fungují paralelní vlákna vysílaná granulárními buňkami, jež přijímají signál od tzv. mechových vláken přicházejících ze smyslů. Naopak axony šplhavých vláken, napojených na smyslové ústředí rovnováhy v uchu a olivární jadera v prodloužené míše, působí na Purkyňovy buňky tlumivě. Ty potom vysílají sérii impulzů (akčních potenciálů), které mohou být inhibiční, nebo regulační. Signál je odváděn axonem přes hluboká mozečková jádra do ventrolaterálních jader thalamu a následně do pohybových center mozku a míchy. Zvýšená aktivita Purkyňových buněk inhibuje mozečková a vestibulární jádra, naopak snížením dojde k aktivaci obou skupin. Díky tomu se mozeček účastní řízení svalového napětí, udržování vzpřímené polohy těla i koordinace úmyslných pohybů. Studie ovšem ukazují, že se podílí také na dalších důležitých funkcí, jako jsou např. emoce. [6] [7]
Poruchy
Nemoci ovlivňující Purkyňovy buňky obvykle způsobují ataxii (poruchu koordinace pohybů) v závislosti na tom, které části mozečku jsou zasaženy. V počátečních stádiích těla Purkyňových buněk tmavnou a později jsou mrtvé buňky nahrazeny Bergmanovými buňkami. K narušení buněk dochází častou stimulací glutamátu, neurotoxicitou nebo změnami metabolismu vápníku, ale ukazuje se, že jsou ovlivněny také genetickými podmínkami. Mezi ně patří např. tzv. spinocerebelární ataxie, způsobující hromadění proteinů v jádře. Menší velikost Purkyňových buněk, než je obvyklá, je sledována u jedinců trpících autismem, naopak větší buňky se často objevují u lidí s Niemann-Pickovou chorobou typu C, nemocí ukládání lipidů. [3][5]
Působení alkoholu
Ethanol v alkoholu způsobuje degeneraci Purkyňových buněk. Nejprve působí na tlumivé synapse a zvyšuje jejich účinek tak, že chloridové kanálky otevírané kyselinou gama-máselnou propouštějí do Purkyňových buněk více Cl-. Nyní nastávají relaxační účinky podobné jako při podání uklidňujících látek typu diazepam nebo lexaurin. To s sebou přináší negativní projevy, např. zpomalení pohybů. Ty mohou vést třeba k dvojitému vidění, protože oční svaly nedokáží správně fungovat, nebo nekoordinované chůzi. Zhoršuje se i tzv. dlouhodobá potenciace, která je základem vytváření paměťových stop a paměti pro jemnou motoriku. [6][3]
Vystavení plodu alkoholu během embryonálního růstu může trvale zničit Purkyňovy buňky a vést k fetálnímu alkoholovému syndromu. [5]
Výzkum buněk

Jan Evangelista Purkyně objevil tyto buňky v polovině 19. století. V roce 1832 získal plösslský achromatický mikroskop, který zaostřil dvě barvy současně, a díky tomu mohl lépe zkoumat tkáně ovčího mozku. O nově objevených buňkách se poprvé zmínil ve své práci „Neueste Untersuchungen aus der Nerven-und Hirnanatomie“. Ta byla veřejnosti představena v září 1837 v Praze.
Dalším, kdo se o tyto buňky zajímal, byl na konci 19. století italský vědec Camillo Golgi. Ten použil barvení dusičnanem stříbrným, což mu umožnilo popsat tělo buňky. Jeho techniku následně vylepšil Španěl Santiago Ramón y Cajal, který odhalil dendritické trny. Oba vědci společně v roce 1906 obdrželi Nobelovu cenu za fyziologii nebo lékařství. [5]
Odkazy
Reference
- ↑ ess DC, Hill WD, Carroll JE, Borlongan CV (2004). "Do bone marrow cells generate neurons?". Archives of Neurology 61 (4): 483–485. doi:10.1001/archneur.61.4.483. PMID 15096394.
- ↑ Purkinje cell | anatomy. Encyclopedia Britannica [online]. [cit. 2021-03-13]. Dostupné online. (anglicky)
- ↑ a b c d PAUL, Manika S.; LIMAIEM, Faten. Histology, Purkinje Cells. Treasure Island (FL): StatPearls Publishing Dostupné online. PMID: 31424738.
- ↑ LÜLLMANN-RAUCH, Renate. Histologie. 3. vyd. Praha: Grada, 2012. 556 s. ISBN 978-80-247-3729-4. S. 172.
- ↑ a b c d Purkinje Cells | The Embryo Project Encyclopedia. embryo.asu.edu [online]. [cit. 2021-03-13]. Dostupné online.
- ↑ a b Jak a proč ovlivňuje alkohol Purkyňovy buňky v mozečku?. www.prirodovedci.cz [online]. [cit. 2021-03-13]. Dostupné online.
- ↑ Základy kineziologie. vos.palestra.cz [online]. [cit. 2021-03-13]. Dostupné online.
Externí odkazy
Obrázky, zvuky či videa k tématu Purkyňova buňka na Wikimedia Commons