Toxoplasma gondii
![]() | |
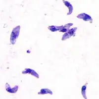
![]() Tachyzoity, rychle se množící asexuální stadium | |
| Vědecká klasifikace | |
| Doména | Eukaryota |
| Říše | SAR |
| Podříše | Alveolata |
| Kmen | Myzozoa |
| Podkmen | výtrusovci (Apicomplexa) |
| Třída | Conoidasida |
| Podtřída | kokcidie (Coccidiasina) |
| Řád | Eucoccidiorida |
| Podřád | Eimeriorina |
| Čeleď | Sarcocystidae |
| Podčeleď | Toxoplasmatinae |
| Rod | Toxoplasma |
| Binomické jméno | |
| Toxoplasma gondii Nicolle et Manceaux, 1908 | |
| Některá data mohou pocházet z datové položky. | |
Toxoplasma gondii (Nicolle et Manceaux, 1908) čili kokcidie kočičí [1] je vnitrobuněčný parazitický prvok, vícehostitelská kokcidie, která parazituje v buňkách zvířat i člověka. Jejím definitivním hostitelem jsou kočkovité šelmy, mezihostitelem se může stát většina teplokrevných živočichů včetně člověka.[2] Způsobuje toxoplazmózu (přičemž infikovanému plodu těhotné ženy hrozí úmrtí nebo vznik vážných vrozených vývojových vad[1]). Nemocným s HIV může způsobit akutní zánět mozku.[3] Rovněž může způsobit abort u ovcí a koz.[4]
Životní cyklus

Z trusu koček se uvolňují tzv. oocysty, které sporulují a vydrží v prostředí velmi dlouho. Když je požije s kontaminovanou potravou teplokrevný živočich, z oocyst vzniknou tzv. tachyzoity (řec. tachos – rychlost). Tachyzoity rychle zaplaví nervovou a svalovou tkáň a postupně z nich vzniknou bradyzoity (řec. brady – pomalý). Bradyzoity vydrží v mezihostiteli pravděpodobně celý život v zapouzdřeném stavu. Kočka (definitivní hostitel) se může nakazit několika způsoby: buď tím, že pozře maso obsahující bradyzoity, nebo někdy potravou obsahující oocysty. Ve střevě kočky dochází k množení a tvorbě oocyst ve střevních buňkách.[2][5]
Pohyb
Toxoplasma gondii využívá specifický způsob pohybu (lze pozorovat i u jiného druhu, např. Plasmodium falciparum z kmene Apicomplexa), nazývaný „gliding motility“, v překladu klouzání. Pohyb je založen na aktino-myosinovém komplexu zakotveném v tzv. inner membrane complex, což je dvojice membrán situovaná pod parazitovu plazmatickou membránu. Tento komplex se přes transmembránové proteiny vylučované z jeho sekrečních organel váže na substrát a umožňuje dynamický pohyb beze změny tvaru parazita.[6]
Morfologie
Tachyzoit je oproti bradyzoitu mohutnější a má centrálně situované, dobře patrné jádro. Bradyzoit má jádro spíše v posteriorní části.
Klíčová je přítomnost apikálního komplexu, což je soubor organel na anteriorním pólu zoitu, který hraje nezastupitelnou roli v invazi do hostitelských buněk. Zahrnuje konoid, což je trubicovitá mikrotubulární struktura, jejíž báze je obkroužena apikálními prstenci a středem procházejí dva mikrotubuly. Mezi sekreční organely patří mikronemy a kyjovité rhoptrie. Pro T. gondii je typická přítomnost organely zvané apikoplast, která vznikla endosymbiózou a obsahuje vlastní kruhovou DNA.[2]
Čerstvá oocysta se v mikroskopu jeví jako koule s mnoha jemnými skvrnkami. Přibližně za 48–72 hodin dozraje do podoby kuličky velké 10–12 mikrometrů, ve které jsou dobře zřetelné dvě sporocysty.
V hostiteli se vylíhne podlouhlý prvok dlouhý 4–8, tloušťky 2–3 mikrometry, se zužujícím se předním koncem a tupým zadním koncem. Uvnitř je dobře patrné jádro.
Zralé cysty ve tkáni jsou velké 5–50 mikrometrů. V mozku mají kulový tvar, v srdečních a kosterních svalech podlouhlý.
Nákaza člověka
Člověk je pro T. gondii náhodným mezihostitelem a v podstatě se Toxoplasma z člověka nemá šanci dostat do kočky jako definitivního hostitele a zakončit tak svůj životní cyklus. Lidé se obvykle nakazí nedostatečně tepelně zpracovaným masem (požitím bradyzoitů) nebo požitím oocyst z prostředí.[2] Infekce prvokem T. gondii není u lidí nijak vzácná: např. ve Francii nebo v Německu se Toxoplasmou v průběhu života nakazí 80 % populace, v Česku asi třetina obyvatel, v rámci celého světa přibližně 50 %.[7] Toxoplasmóza je však obvykle bez viditelných příznaků, může se vyskytnout asymptomatická generalizovaná lymfadenopatie. V největším nebezpečí jsou těhotné ženy, které se do té doby s parazitem nesetkaly – při infekci plodu může dojít k jeho úmrtí nebo vzniku vážných vrozených vývojových vad.[1][2]
U imunokompromitovaných osob (např. AIDS) může toxoplazmóza vyvolat závažné poškození CNS.
Udává se, že T. gondii může manipulovat s lidským chováním. Některé studie ukázaly, že infikovaní lidé reagují pomaleji v kritických situacích, což podle autorů pramení z prosté skutečnosti, že T. gondii „ví“, že myši s pomalejšími reakcemi se snadno stanou úlovkem koček. Podle jiných výzkumů zvyšuje pravděpodobnost, že nakažený člověk (především Rh-negativní) se kvůli pomalejším reakcím stane např. účastníkem dopravní nehody[7][8] apod. Tyto studie jsou však korelační a korelace neimplikuje kauzalitu. Byl proto uskutečněn longitudinální výzkum, který už z hlediska kauzality má výpovědní hodnotu. Výzkum vyvrací hypotézu, že T. gondii manipuluje lidským chováním. Souvislost mezi nákazou a např. účastí v dopravních nehodách (příp. změnou chování a osobnostních charakteristik) se nepotvrdila.[9][10][11]
Nákaza tímto parazitem by však mohla být jednou z příčin vzniku gliomu.[12][13]
Odkazy
Reference
- ↑ a b c PRUDKÝ, Libor. Kokcidie kočičí Toxoplasma gondii (Nicolle & Manceaux, 1908) Nicolle & Manceaux, 1909. BioLib.cz [online]. ©1999–2022 [cit. 2021-02-09]. Dostupné online.
- ↑ a b c d e VOLF, Petr; HORÁK, Petr. Paraziti a jejich biologie. Praha: Triton, 2007. 318 s. ISBN 978-80-7387-008-9.
- ↑ BASAVARAJU, Anuradha. Toxoplasmosis in HIV infection: An overview. Tropical Parasitology. 2016, roč. 6, čís. 2, s. 129–135. PMID 27722101 PMCID: PMC5048699. Dostupné online [cit. 2017-06-02]. ISSN 2229-5070. doi:10.4103/2229-5070.190817. PMID 27722101.
- ↑ DOS SANTOS, Thaís Rabelo; FARIA, Gabriela da Silva Magalhães; GUERREIRO, Bruna Martins. Congenital Toxoplasmosis in Chronically Infected and Subsequently Challenged Ewes. PLoS ONE. 2016-10-27, roč. 11, čís. 10. PMID 27788185 PMCID: PMC5082944. Dostupné online [cit. 2017-06-02]. ISSN 1932-6203. doi:10.1371/journal.pone.0165124. PMID 27788185.
- ↑ DPDx – Tosoplasmosis [online]. National Center for for Zoonotic, Vector-Borne, and Enteric Diseases; Division of Parasitic Diseases. Dostupné online.
- ↑ CARRUTHERS, Vern; BOOTHROYD, John C. Pulling together: an integrated model of Toxoplasma cell invasion. Current Opinion in Microbiology. Roč. 10, čís. 1, s. 83–89. Dostupné online [cit. 2017-05-31]. doi:10.1016/j.mib.2006.06.017.
- ↑ a b Stanislav Mihulka. Toxoplasma vládcem lidských myslí [online]. 2006. Dostupné online.
- ↑ Flegr J., Havlíček J., Kodym P., Malý M., Šmahel Z. Increased risk of traffic accidents in subjects with latent toxoplasmosis: a retrospective case-control study. BMC Infect Dis. 2002, roč. 2, s. 11. doi:10.1186/1471-2334-2-11. PMID 12095427.
- ↑ SUGDEN, Karen; MOFFITT, Terrie E.; PINTO, Lauriane, a kol. Is Toxoplasma Gondii Infection Related to Brain and Behavior Impairments in Humans? Evidence from a Population-Representative Birth Cohort. PLOS one [online]. 2016. Dostupné online. doi:10.1371/journal.pone.0148435.
- ↑ PEARCE, BD; KRUSZON-MORAN, D; JONES, JL. The relationship between Toxoplasma gondii infection and mood disorders in the third National Health and Nutrition Survey. S. 290–295. Biological Psychiatry [online]. 2012. Roč. 72, čís. 4, s. 290–295. Dostupné online. doi:10.1016/j.biopsych.2012.01.003.
- ↑ K, Sugden; TE, Moffitt; L, Pinto. Is Toxoplasma Gondii Infection Related to Brain and Behavior Impairments in Humans? Evidence from a Population-Representative Birth Cohort.. PloS one. 2016, roč. 11, čís. 2. Dostupné v archivu pořízeném dne 2019-11-12.
- ↑ HODGE, James M.; COGHILL, Anna E.; KIM, Youngchul; BENDER, Noemi; SMITH-WARNER, Stephanie A.; GAPSTUR, Susan; TERAS, Lauren R.; GRIMSRUD, Tom K.; WATERBOER, Tim & EGAN, Kathleen M. Toxoplasma gondii infection and the risk of adult glioma in two prospective studies. International Journal of Cancer. 15 May 2021, vol. 148, iss. 10, s. 2449–2456. Online ISSN 1097-0215. First published 11 January 2021. https://doi.org/10.1002/ijc.33443
- ↑ KUNERTOVÁ, Bohumila. Vědci našli spojitost mezi běžným parazitem a rozvojem agresivních druhů rakoviny. Novinky.cz [online]. 15. 1. 2021, 5:55 [cit. 21. 2. 2022]. Dostupné z: https://www.novinky.cz/zena/zdravi/clanek/vedci-nasli-spojitost-mezi-beznou-bakterii-a-rozvojem-agresivnich-druhu-rakoviny-40347694
Související články
Externí odkazy
- Toxoplasmosis – Recent Advances. Ed. Olgica Djurković Djaković (2012) – volně přístupná kniha o toxoplazmóze
- Jak parazit Toxoplasma řídí naše osudy (Záznam popularizační přednášky prof. RNDr. Jaroslava Flegra, CSc.)
Obrázky, zvuky či videa k tématu Toxoplasma gondii na Wikimedia Commons
%252C_100%C3%97..jpg)
