Plasmodium falciparum
![]() Plasmodium falciparum | |
| Vědecká klasifikace | |
| Doména | Eukaryota |
| Říše | SAR |
| Podříše | Alveolata |
| Kmen | Myzozoa |
| Podkmen | výtrusovci (Apicomplexa) |
| Třída | krvinkovky (Haematozoea) |
| Řád | Haemosporida |
| Čeleď | Plasmodiidae |
| Rod | Plasmodium |
| Binomické jméno | |
| Plasmodium falciparum William H. Welch; 1897 | |
| Některá data mohou pocházet z datové položky. | |
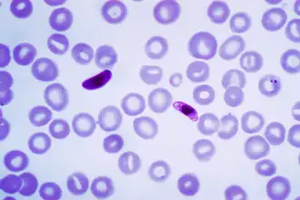
Plasmodium falciparum (česky někdy zimnička tropická[1]) je vnitrobuněčný parazitický prvok. Jedná se o původce tropické malárie, která má podle Světové zdravotnické organizace WHO ročně na svědomí více než 400 000 lidských životů[2] především v oblastech Asie, jihovýchodní Afriky a Amazonie. Plasmodium bylo objeveno 6. listopadu 1880 francouzským lékařem Alphonsem Laveranem ve městě Constantine (Alžírsko) při studiu krevních preparátů vojáků z cizineckých legií. Jedná se o nejvíce patogenní zimničku člověka.
Vývojový cyklus
Stejně jako ostatní druhy plasmodií má i plasmodium falciparum poměrně složitý vývojový cyklus, který začíná infikací samičky komára z rodu Anopheles, Culex nebo Aedes, v důsledku sání krve nakaženého hostitele (různé druhy ptáků, savců a plazů). Aby došlo k přenosu infekce na komára, musí krev obsahovat samčí a samičí pohlavní buňky zimničky, jež v těle komára splynou v zygoty a usadí se v oblasti slinných žláz. Poté může dojít k přenosu do krevního oběhu dalšího hostitele opět pomocí bodnutí. Toto vývojové stádium nazýváme sporozoit.
V další fázi vývoje sporozoity velmi rychle infikují hepatocyty (jaterní buňky). Uvnitř těchto buněk nabývají oválného tvaru a jejích jádra se mnohonásobně dělí. V důsledku tohoto jevu hepatocyty praskají a do krve se uvolňují buňky dalšího vývojového stádia – merozoity. Následně plasmodium, tentokrát již v mnohem vyšším počtu, proniká do erytrocytů (červených krvinek), kde se opět dělí a hostitelská buňka tím získává plochý, prstýnkovitý tvar typický pro toto onemocnění. Merozoity se dělí, dokud nevyplní celý objem napadené krvinky a poté všechny erytrocyty synchronizovaně prasknou. Tento jev má za následek uvolnění další dávky merozoitů do krevního řečiště hostitele a také nejznámější příznak malárie – tzv. malarickou horečku.
Po několika takovýchto procesech začnou vznikat kromě merozoitů i gametocyty (pohlavní buňky), které jsou stádiem infekčním pro komára, pokud jsou při bodnutí nasáty společně s krví nakaženého hostitele. Následně se celý vývojový cyklus opakuje.
Na rozdíl od jiných druhů plasmodií, nevytváří tento druh klidová stádia (hypnozoity) usazující se v jaterních buňkách, tudíž po vyléčení malárie nedochází již k pozdějšímu relapsu nemoci. Dalším rozdílem mezi tropickou zimničkou a jí příbuznými druhy je například schopnost napadat krvinky v jakémkoli vývojovém stádiu nebo také vytváření lepivých výrůstků na jejich povrchu, jež mohou způsobovat ucpávání cév.
Reference
- ↑ http://www.biolib.cz/cz/taxon/id133048/
- ↑ WHO | World malaria report 2018. WHO [online]. [cit. 2018-12-17]. Dostupné online.
Externí odkazy
Obrázky, zvuky či videa k tématu Plasmodium falciparum na Wikimedia Commons
