Krvinkovky
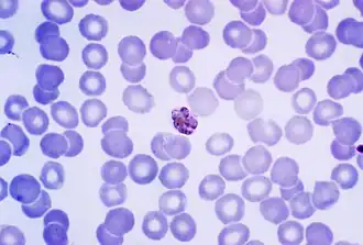
![]() Merozoiti rodu Plasmodium uvnitř erytrocytu | |
| Vědecká klasifikace | |
| Doména | Eukaryota |
| Říše | Chromalveolata |
| Nadkmen | Alveolata |
| Kmen | výtrusovci (Apicomplexa) |
| Třída | krvinkovky (Aconoidasida) Peters, and Haberkorn, 1980 |
| Řády | |
| |
| Některá data mohou pocházet z datové položky. | |
Krvinkovky (Aconoidasida, Haematozoea) je třída parazitických prvoků (výtrusovců) s redukovaným apikálním komplexem nepohlavní generace. Jsou to původci závažných onemocnění lidí i zvířat, přenášených krev sajícími členovci. Významné jsou rody Plasmodium, původce malárie, Babesia, původce babesiózy, a Theileria, která způsobuje smrtelné onemocnění skotu.
Životní cyklus
Jsou to obligátní parazité, v životním cyklu dochází ke střídání hostitelů – definitivním hostitelem jsou členovci, mezihostitelem pak obratlovci včetně člověka. Nepohlavní rozmnožování probíhá většinou v krevních buňkách, gamogonie a sporogonie ve střevě, slinných žlázách i jinde v těle členovce, který zároveň slouží jako vektor. Zygoty jsou pohyblivé (tzv. ookinety) a uvnitř se netvoří sporocysty, ale přímo sporozoiti. Nedochází tudíž k encystaci a infekční stadia jsou přenášena při sání krve přímo do nového hostitele.

Definitivním hostitelem prvoka Plasmodium jsou komáři rodu Anopheles, Aedes a Culex. Když se takový komár napije krve obratlovce, který trpí malárií, nasaje také samčí a samičí gamonty, které se v jeho střevě přemění na gamety. Pohyblivé zygoty pronikají do stěny střeva, kde vytvoří tenkostěnnou oocystu, vyklenutou z vnějšího povrchu střeva. V ní se vyvíjí sporozoiti, kteří po prasknutí oocysty migrují hemolymfou do slinných žláz komára.
Komár při dalším nasátí krve přenese sporozoity do krve nového mezihostitele. Ty nejprve migrují do jater, kde se v buňkách jaterního parenchymu přemění na meronty, kteří se nepohlavně množí za vzniku několika tisíc merozoitů. Merozoiti pronikají do červených krvinek, kde se opět množí merogonií. Po určité době se z merozoitů začnou vyvíjet první gamonti, kteří mohou opět infikovat komára a cyklus se tak opakuje.
U řádu Piroplasmida jsou definitivními hostiteli klíšťata, jinak je cyklus velmi podobný.
Taxonomická poznámka
V některých novějších systémech je třída místo Haematozoea nazývána Aconoidasida, a to podle uspořádání apikálního komplexu. Jak již bylo zmíněno, u této třídy je apikální komplex redukovaný, konoid a někdy také prekonoidální prstence totiž chybí.
Literatura
- HAUSMAN Klaus, HÜLSMANN Norbert. Protozoologie. Z angl. 2. vyd. přel. RNDr. Jiří Lom DrSc. 1. vyd. v ČR. Praha: Academia, 2003. 347 s. ISBN 80-200-0978-7.
Externí odkazy
Obrázky, zvuky či videa k tématu krvinkovky na Wikimedia Commons
