Babesia
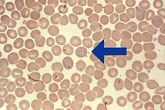
![]() Babesia v krvi - uvnitř červených krvinek | |
| Vědecká klasifikace | |
| Doména | Eukaryota |
| Říše | Chromalveolata |
| Nadkmen | Alveolata |
| Kmen | výtrusovci (Apicomplexa) |
| Třída | krvinkovky (Aconoidasida) |
| Řád | piroplazmy (Piroplasmida) |
| Čeleď | Babesiidae |
| Rod | Babesia |
| Některá data mohou pocházet z datové položky. | |

Babesia (česky někdy klíštěnka[1]) je rod výtrusovců řazený mezi piroplazmy (Piroplasmida). Jsou to jednobuněční prvoci s obligátně parazitickým způsobem života.[2] Napadají celou řadu divokých i domácích zvířat a způsobují jim vážná onemocnění – babesiózy. Mohou však napadat i člověka.
Životní cyklus
Vegetují uvnitř červených krvinek – vytvářejí zde stadia zvaná merozoit (v jedné napadené červené krvince se obvykle nacházejí dva nebo čtyři merozoiti). Tito merozoiti se v krvi množí a čekají, až se na hostitele přisaje klíště. S nasátou krví se pak dostávají babézie do trávicího traktu klíšťat, dochází ke komplikovanému pomnožení a k infekci vajíček klíštěte, a dalšími sáními krve se babézie šíří na další hostitele.[3]
Zástupci
Je známo asi sto druhů babézií, ze známějších je možné jmenovat:[2]
- B. bigemina, B. bovis a B. divergens – napadají skot
- B. ovis, B. matasi – napadají ovce a kozy
- B. caballi – napadá koně
- B. felis – napadá kočky
- B. canis, B. gibsoni – napadá psy
- B. microti, B. rodhaini – napadá hlodavce
B. divergens je východoevropský a středoevropský parazit napadající skot; přenáší jej klíště obecné (Ixodes ricinus). Mimoto se v ČR vyskytuje i B. microti, parazit hlodavců, přenášený rovněž klíšťaty rodu Ixodes.[3] Přestože je babesióza zoonóza, napadá náhodně i člověka: v USA je většina lidských babesióz způsobena zřejmě druhem B. microti; některé infekce mohou zůstat člověkem nepovšimnuty, ale za určitých okolností se nemoc může komplikovat.[4]
Externí odkazy
Obrázky, zvuky či videa k tématu Babesia na Wikimedia Commons
Taxon Babesia ve Wikidruzích- kliste.cz – Informační web o klíšťatech a nemocí jimi přenášených
Reference
- ↑ http://www.biolib.cz/cz/taxon/id133044/
- ↑ a b Larry Simpson; Irwin Sherman; David Campbell; Patricia Johnson. Babesia - introduction [online]. Online Course in Molecular Parasitology [cit. 2009-12-02]. Dostupné v archivu pořízeném dne 2010-07-30.
- ↑ a b VOLF, Petr; HORÁK, Petr. Paraziti a jejich biologie. Praha: Triton, 2007. (Vyd. 1). ISBN 978-80-7387-008-9. S. 318.
- ↑ MURRAY, Patrick R.; ROSENTHAL, Ken S.; PFALLER, Michael A. Medical Microbiology, Fifth edition. [s.l.]: Elsevier, 2005.
