Pohárková buňka


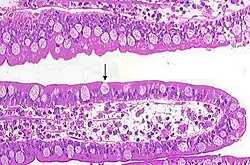
Pohárková buňka („goblet buňka“) je žlázová, jednovrstevná cylindrická epiteliální buňka, jejíž jedinou funkcí je vylučování mucinu, který se rozpouští ve vodě a tím vytváří hlen. Buňky využívají jak apokrinní, tak merokrinní metody sekrece. Většina cytoplazmy buňky je vyplněna mucinogenními (hlenotvornými) zrny, s výjimkou spodní části. Drsné endoplazmatické retikulum, mitochondrie, jádro a další organely jsou soustředěny u bazální membrány. Apikální povrch slouží mikroklkům ke zvýšení plochy pro sekreci. Některé studie naznačují, že se glykoprotein nachází uvnitř pohárkových buněk.[1] To znamená, že se jedná o specificky orgánový střevní antigen.
Umístění
Pohárkové buňky se nalézají roztroušené mezi epiteliálními výstelky orgánů, jako jsou dýchací cesty a trávicí soustava. V dýchací soustavě je nalezneme uvnitř průdušnice, průdušek a větších průdušinek. V trávicí soustavě se vyskytují v tenkém a tlustém střevě, a dále pak ve spojivce u horního víčka.
Barvení
Po obarvení mucikarmínem mají pohárkové buňky tmavě červené zbarvení. Jádra buněk mají totiž tendenci se přesunout k bazálnímu konci těla buňky, což vede k intenzivnímu bazofilnímu zabarvení.
Etymologie
Termín „pohárkové“ odkazuje k pohárovému tvaru těchto buněk. Apikální část se podobá šálku, protože je nafouklá množstvím mucinogenních zrn. Bazální část je zúžená, jelikož jí tato mucinogenní zrna chybí. Existují i jiné buňky, které vylučují hlen (jako foveolární buňky v žaludku), které ale nemají pohárkový tvar, a proto se tak ani nenazývají.
Regulace sekrece
Bazální sekrece je základní úroveň sekrece hlenu, která je nezávislá na jakýchkoliv stimulech. Bazální sekrece je dosaženo cytoskeletárním pohybem sekrečních granulí. Stimulované (zvýšené) sekrece může být stimulována prachem, kouřem apod. Další stimuly jsou viry, bakterie, atd.
Odkazy
Reference
V tomto článku byl použit překlad textu z článku Goblet cell na anglické Wikipedii.
- ↑ FLETCHER, T. C.; JONES, R.; REID, L. Identification of glycoproteins in goblet cells of epidermis and gill of plaice (Pleuronectes platessa L.), flounder (Platichthys flesus (L.)) and rainbow trout (Salmo gairdneri Richardson). Histochem J.. 1976, roč. 8, čís. 6, s. 597–608. Dostupné online. ISSN 0018-2214.
Externí odkazy
Obrázky, zvuky či videa k tématu pohárková buňka na Wikimedia Commons - Goblet Cells at cvmbs.colostate.edu
- Diagram at uwlax.edu Archivováno 27. 12. 2011 na Wayback Machine.