Foveolární buňka

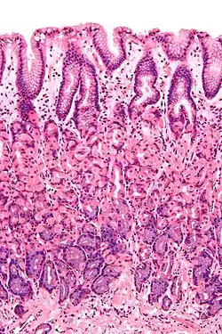
Foveolární buňky jsou mukózní buňky cylindrického tvaru, které v jedné vrstvě vystýlají povrch žaludku a žaludeční jamky. Někdy se mezi ně řadí i mucinózní buňky krčků, které se nachází mezi parietálními buňkami ve vývodech žaludečních žlázek na povrch žaludku. [1]
Jejich funkcí je tvorba hlenu, který ochraňuje stěny žaludku před kyselou žaludeční šťávou, kterou jeho žlázy produkují. Od toho pochází název mukózní (mukus = hlen). Žaludeční hlen je tvořen převážně glykoproteiny, z nichž nejdůležitějším je mucin.
Výskyt
Mukózní buňky tvoří jednovrstvý epitel na vnitřním povrchu žaludku a v žaludečních jamkách. Tyto jamky vznikají zanořováním epiteliálních buněk do lamina propria mucosae, vrstvy řídkého kolagenního vaziva nacházející se pod epitelem, a ústí do nich žaludeční žlázky. [1]
Diferenciace
Mucinózní buňky krčků jsou považovány za tkáňově specifické progenitorové buňky pro žaludeční epitel. To znamená, že se z nich diferencují další buněčné typy. V každé ze žaludečních žláz se nachází oblasti, ve kterých se obnovují oba druhy foveolárních buněk i další buněčné typy, které tvoří samotné žlázy. [2][3]
Žaludeční epitel se obnovuje častěji než většina jiných tkání, každých asi 3-7 dní.[4]
Struktura

Epiteliální buňky mají cylindrický tvar. Jsou vysoké 20-40 µm. Jádro, kulové či oválné, je uložené u báze buněk, kde se také nachází granulární endoplazmatické retikulum a nad ním Golgiho aparát. V apikální části buněk se vyskytují četná světlá hlenová granula.[5]
Mucinózní buňky krčků, které lemují žaludeční žlázky, jsou jim podobné. Osahují typická kulatá jádra a apikálně uložená sekreční granula, ale jsou nižší a mohou mít nepravidelný tvar.[6][7]
Funkce

Hlavní funkcí foveolárních buněk je produkce hustého, alkalického žaludečního hlenu s vysokým obsahem bikarbonátových iontů. Ten v silné vrstvě pokrývá sliznici a chrání ji tím před odíráním potravou v žaludku a před naleptáním sliznice žaludeční kyselinou.[7] Žaludeční hlen se skládá převážně z glykoproteinů, které mu dodávají jeho vlastnosti gelu.[8]
Součástí bariéry, která chrání sliznici před kyselinou, jsou také těsné spoje (zonulae occludentes) mezi apikálními částmi epitelových buněk.[5]
Kromě jejich ochranné funkce jsou také součástí nespecifické imunity žaludku společně se žaludeční šťávou.
Reference
- ↑ a b Young, B., Woodford, P., & O’Dowd, G. (2013). Wheater’s Functional Histology: A Text and Colour Atlas (6th ed.). Elsevier. pp. 256–257.
- ↑ Kim, Tae-Hee, and Ramesh A. Shivdasani. "Stomach development, stem cells and disease." Development 143.4 (2016): 554-565.
- ↑ RAO, Jaladanki N.; WANG, Jian-Ying. Characteristics of Gut Mucosal Growth. [s.l.]: Morgan & Claypool Life Sciences Dostupné online. (anglicky)
- ↑ Bosman, F. T., and P. Yan. "Development, Structure, and Function of the Tubal Gut." (2014): 1242-1254.
- ↑ a b KONRÁDOVÁ, Václava, UHLÍK, Jiří a VAJNER, Luděk. Funkční histologie. Jinočany: H & H, 2000. s. 156. ISBN 80-86022-80-3. Dostupné také z: https://ndk.cz/uuid/uuid:458cbc00-0e6e-11e4-a8ab-001018b5eb5c
- ↑ BALKO, Jan, TONAR, Zbyněk a VARGA, Ivan. Memorix histologie. Praha: Triton, 2017. s. 274. ISBN 978-80-7553-249-7.
- ↑ a b MESCHER, Anthony L.. Junqueirovy základy histologie. Praha: Galén, 2018. s. 314. ISBN 978-80-7492-324-1.
- ↑ Dworken, Harvey J. , Hightower, Nicholas Carr , Keeton, William T. and Sircus, William. "Human digestive system". Encyclopedia Britannica, 4 Nov. 2020, https://www.britannica.com/science/human-digestive-system. Accessed 12 March 2021.
Externí odkazy
Obrázky, zvuky či videa k tématu Foveolární buňka na Wikimedia Commons