Panethova buňka

Panethova buňka představuje spolu s pohárkovou buňkou, enterocytem a enteroendokrinní buňkou základní typ buňky epitelu tenkého střeva.
Je pojmenována po rakouském fyziologu Josefu Panethovi (1857–1890).
Popis
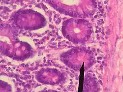
Panethovy buňky jsou exokrinní serózní elementy entodermového původu, které syntetizují proteinopolysacharidové komplexy. Mají jádro při jejich bazální části.[1] Badatelé užívající imunocytochemických metod odkryli, že ve velkých eozinofilních sekrečních granulech těchto buněk, které zabírají většinu cytoplazmy, se nachází lysozym. Panethovy buňky také vylučují defensiny a fosfolipázu A2.[2]
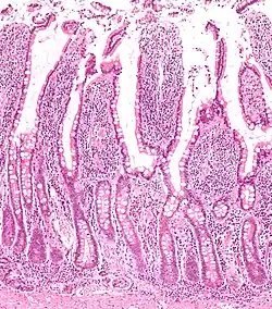
Lokalizace
Panethovy buňky se nachází v slizniční membráně tenkého střeva.[1] Jsou umístěny těsně pod střevními kmenovými buňkami v střevních (Lieberkühnových) kryptách.[3] Ojediněle se mohou nacházet v slepém střevě nebo v přívěsku slepého střeva.
Funkce
Kmenové buňky v kryptách tenkého střeva slouží k neustálé obnově epitelových buněk, které zemřely nebo se odštěpily z klků. Ochrana těchto kmenových buněk je zásadní pro dlouhodobou údržbu střevního epitelu a umístění Panethových buněk, které sousedí s kmenovými buňkami, naznačuje, že hrají klíčovou roli v ochraně epiteliální buněčné obnovy.
Další, už zmíněnou funkcí, je vylučování sekretů a materiálu bohatého na bílkoviny.[1]
Sekrece

Defensiny
Hlavními obrannými molekulami, které Panethovy buňky secernují, jsou alpha-defensiny, které jsou známé jako kryptidiny u myší. Tyto peptidy mají hydrofobní a pozitivně nabité domény, které umí interagovat s fosfolipidy v buněčných membránách. Tato struktura umožňuje defensinům vniknout do membrán, vzájemně mezi sebou působit a vytvářet tak póry, které narušují funkci membrány, což vede k lýze buněk. Vzhledem k vyšší koncentraci záporně nabitých fosfolipidů u bakteriálních membrán (oproti membránám obratlovců), defensiny přednostně vážou a narušují buňky bakterií a šetří tak buňky, které mají ochrannou funkci. Panethovy buňky secernují defensiny tehdy, když jsou stimulovány působením bakterií (gram pozitivních i negativních) nebo bakteriálními produkty jako lipopolysacharid, muramyldipeptid, lipid A.
Další sekrety
Kromě defensinů, Panethovy buňky vyměšují lysozym, tumor nekrotizující faktor alfa (TNF-α) a fosfolipázu A2. Lysozym a fosfolipáza jsou antimikrobiálně aktivní a poskytují obranu proti mnoha zástupcům z řad bakterií, plísní a dokonce i některých obalených virů, což přispívá k udržení trávicí bariéry.
Reference
V tomto článku byl použit překlad textu z článku Paneth cell na anglické Wikipedii.
- ↑ a b c Paneth´s cell [online]. Dostupné online. (anglicky)
- ↑ BOWEN, R. Paneth cells [online]. 3. 5. 2009. Dostupné online. (anglicky)[nedostupný zdroj]
- ↑ Kmenové buňky [online]. Hradec Králové: Univerzita Karlova, Lékařská fakulta, Ústav histologie a embryologie, 2011. Dostupné v archivu pořízeném dne 2013-06-15.
Literatura
- JUNQUIERA, L. Carlos; CARNEIRO, José; KELLEY, Robert O. Základy histologie. 1. vyd. Jinočany: H & H, 1997. ISBN 8085787377.