Myofibroblast

Myofibroblasty jsou buňky pojivové tkáně. Již jejich název napovídá, že to jsou buňky na pomezí fibroblastů a myoblastů. Fibroblast je základní buňka vaziva, která produkuje do svého okolí složky extracelulárního matrix, naopak myoblasty jsou prekursory svalových buněk, ze kterých se postupně vyvinou plně diferenciované svalové buňky. Oproti fibroblastům se myofibroblasty liší zejména dynamickými aktinovými vlákny.
Charakteristika
Při běžném stavu slouží myofibroblasty spíše jako podpůrné buňky. Umí se stahovat díky dynamickému cytoskeletu a zároveň produkují kolagen, významnou složku extracelulárního matrix. Hlavní roli však přebírají v době po zranění, kdy se zmnoží a účastní se stahování rány a tvorby jizvy. [1] Mezi sebou jsou navzájem propojeny buněčným spojem, kterému se říká nexus, neboli gap junction. [2] Při určení myofibroblastů se sleduje produkce“ alpha smooth muscle actin” (α-SMA), slouží tedy jako marker.
Vznik

Při bližším zkoumání původu myofibroblastů je zřejmé, že se jedná o velmi komplexní problematiku. Je několik regulačních drah, transkripčních i epigenetických faktorů, které mají vliv na činnost a funkčnost myofibroblastů. Po mechanickém stresu tkáně fibroblasty začnou tvořit stresová vlákna, která jsou složena z cytoplasmatického aktinu a přeměňují se tím na proto-myofibroblasty. [3] Pro diferenciaci na myofibroblasty je potřeba zejména přítomnost transformačního faktoru TGF-β (Transforming growth factor beta). Dále pak také přítomnost speciálních extracelulárních proteinů jako např. varianty fibronektinu. [3]
Funkce
Hlavní funkcí myofibroblastů je produkce kolagenu typu I a určitých cytokinů. Z toho je zřejmé, že hrají klíčovou roli při formování extracelulárního matrix, při léčení zánětů, jizvení a usazování pojivové tkáně. [2] Pomocí silných aktinových vláken stahují k sobě poškozené tkáně a vyplňují volný prostor při procesu, kterému se říká fibróza. Regulace tohoto projevu je však esenciální, a při nedostatečné kontrole mohou vznikat trvalé jizvy.
Patologické stavy
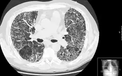
Po dokončení opravy tkáň se uvolnění od mechanického stresu a měla by přestat produkce myofibroblastů a již nepotřebné buňky skončí programovanou buněčnou smrtí. Mezi dva hlavní signály, které vedou k apoptóze myofibroblastů patří vytvoření mezibuněčných kontaktů a uvolnění stresových vláken. Pokud však tento signální mechanismus selže, tvorba myofibroblastů neustane a buňky nejsou odstraňovány, což vede k vzniku patologických jizev. Tyto jizvy poškozují vnitřní orgány, velmi často srdce, ledviny nebo plíce a vedou k fibrotickým onemocněním (např. plicní fibróza) nebo i vnější povrch těla, příkladem může být Dupuytrenova nemoc . [3] Pokud jizvy zůstanou na srdci, tvoří bariéru pro přenos elektrických signálů a mohou tedy vést k rozhození srdečního rytmu.
Reference
V tomto článku byl použit překlad textu z článku Myofibroblast na anglické Wikipedii.
- ↑ YOUNG, Barbara. Wheater's Functional Histology: A Text and Colour Atlas. [s.l.]: Elsevier Health Sciences, 2006. 437 s.
- ↑ a b PHAN, Sem H. State of the Art: Biology of Fibroblasts and Myofibroblasts [online]. 2008 [cit. 2012-04-18]. Dostupné v archivu pořízeném dne 2020-07-07.
- ↑ a b c HINZ, Boris. The Myofibroblast: One Function, Multiple Origins [online]. 2008. Dostupné online.
Externí odkazy
Obrázky, zvuky či videa k tématu Myofibroblast na Wikimedia Commons