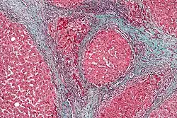
Fibróza

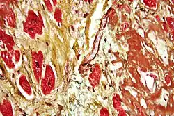
Barvení dle Movata (jádra a elastická vlákna černě; kolagen a retikulární vlákna žlutě; základní hmota a mucin modře; fibrin světle červeně; sval červeně)
Fibróza je stav zmnožení vaziva, typu pojivové tkáně, jakožto důsledku hojivého procesu po zánětu, zranění či reparativní reakce na různé typy podnětů, včetně příčin nejasné etiologie.[1] Byla nalezena souvislost s akumulací železa.[2]
Fibrotickým procesem se u parenchymatózních orgánů zvyšuje poměr vaziva na úkor funkční tkáně, dochází ke snížení fyziologické funkčnosti a jejich ztuhnutí.[3] Při hojení rány dochází ke vzniku fibrotické jizvy. Proliferativní zánět způsobuje přeměnu fibrinového exsudátu, organizaci fibrinu a novotvorbu cév s vazivem – granulační tkáně či hyperplazii. Dochází k pučení fibroblastů a tvorbě buněk endotelu. Proliferaci lze tlumit kortizonem.[4]
Typ nezhoubného mezenchymového nádoru fibrom vychází z fibrocytů produkujících kolagenní vlákna.[4]
Fyziologie
Při fibrotickém procesu je stimulována činnost fibroblastů produkujících kolagen a glykosaminoglykany. Proces je iniciován imunitními buňkami, včetně makrofágů, které uvolňují rozpustné faktory stimulující fibroblasty. Nejvíce charakteristickým profibrotickým mediátorem je skupina cytokinů TGF-β, sekretovaná makrofágy stejně tak i poškozenou tkání. Mezi další rozpustné mediátory fibrózy patří CTGF, růstový faktor PDGF a interleukin 4 (IL-4). Tyto molekuly aktivují dráhy signální transdukce AKT/mTOR[5] a SMAD do jádra,[6] což vyvolá aktivaci a proliferaci fibroblastů. Jejich činnost následně vede k ukládání extracelulární matrix a výstavbě pojivové tkáně. Tento komplexní proces tkáňové obnovy je regulován ve smyslu rovnováhy syntézy a degradace tak, aby byla zajištěna obnova architektury tkáně. Za patologických podmínek jako jsou vážná, dlouhodobá, opakovaná poškození tkáně či poruchy regulace v procesu hojení, může docházet k progresivním změnám s ireverzibilním fibrotickým poškozením.[3]
Příklady fibrotických procesů

Fibrotický proces postihuje řadu tkání, typicky v důsledku zánětu či poškození:
- Plíce
- Plicní fibróza – skupina plicních chorob
- Cystická fibróza
- Idiopatická plicní fibróza
- Plicní fibróza – skupina plicních chorob
- Srdce
- Endomyokardiální fibróza
- Mozek
- Gliová jizva
- Další
- Artrofibróza (klouby)
- Dupuytrenova kontraktura (ruka)
- Morbus Peyronie (penis)
- Mediastinální fibróza (mediastinum)
- Myelofibróza (kostní dřeň)
- Retroperitoneální fibróza (retroperitoneum)
- Systémová nefrogenní fibróza (více orgánů)
- Systémová sklerodermie (více orgánů)
Reference
V tomto článku byl použit překlad textu z článku Fibrosis na anglické Wikipedii.
- ↑ BIRBRAIR, Alexander; ZHANG, Tan; FILES, Daniel C.; MANNAVA, Sandeep; SMITH, Thomas; WANG, Zhong-Min; MESSI, Maria L. Type-1 pericytes accumulate after tissue injury and produce collagen in an organ-dependent manner. Stem Cell Research & Therapy. 2014-11-06, s. 122. Dostupné online. ISSN 1757-6512. doi:10.1186/scrt512. PMID 25376879. (anglicky)
- ↑ Iron accumulation: A new insight into fibrotic diseases. medicalxpress.com [online]. [cit. 2023-12-15]. Dostupné online.
- ↑ a b Neary; WATSON; BAUGH. Epigenetics and the overhealing wound: the role of DNA methylation in fibrosis. Fibrogenesis & Tissue Repair. 01/10/2015. Dostupné online [cit. 2016-04-13]. doi:10.1186/s13069-015-0035-8.
- ↑ a b Josef Stejskal. Obecná patologie v poznámkách. Jinočany: 2. lékařská fakulta Univerzity Karlovy, 1992. S. 49–50, 78.
- ↑ Mitra A, Luna JI, Marusina AI, Merleev A, Kundu-Raychaudhuri S, Fiorentino D, Raychaudhuri SP, Maverakis E. Dual mTOR Inhibition Is Required to Prevent TGF-β-Mediated Fibrosis: Implications for Scleroderma.. J Invest Dermatol. 2015, s. 2873–6. doi:10.1038/jid.2015.252. PMID 26134944.
- ↑ Leask A, Abraham DJ. TGF-beta signaling and the fibrotic response. FASEB Journal. 2004, s. 816–827. doi:10.1096/fj.03-1273rev. PMID 15117886.
Externí odkazy
Obrázky, zvuky či videa k tématu fibróza na Wikimedia Commons