Monteggiova zlomenina
| Monteggiova zlomenina | |
|---|---|
![]() | |
| Klasifikace | |
| MKN-10 | S52.0 |
| Některá data mohou pocházet z datové položky. | |

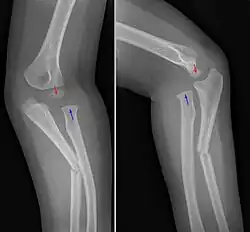
Monteggiova zlomenina je zlomenina proximální třetiny ulny (kosti loketní) v kombinaci s luxací (vykloubením) hlavice radia (kosti vřetenní). Nejčastěji vzniká přímým nárazem na zadní stranu předloktí nebo pádem na ruku flektovanou (ohnutou) v lokti.
Poprvé ji popsal italský chirurg Giovanni Battista Monteggia v roce 1813.
Odkazy
Související články
- Zlomenina
- Galeazziho zlomenina
Externí odkazy
Obrázky, zvuky či videa k tématu Monteggiova zlomenina na Wikimedia Commons

Přečtěte si prosím pokyny pro využití článků o zdravotnictví.
Portály: Medicína
