Zlomenina

Zlomenina (latinsky Fractura) je stav, při kterém došlo k porušení kontinuity kosti.
Typy zlomenin
Zlomeniny dělíme na:
- Infrakce (částečné nalomení kosti)
- Fisura (trhlina na dlouhých kostech nebo na lebečních kostech)
- Epifyzeolýza (traumatické porušení kontinuity růstové ploténky)
- Luxační zlomenina (doprovázená vykloubením kloubu)
- Kompresivní zlomenina (typická u bederních obratlů při tlakové zátěži)
- Impresivní zlomenina kosti (stav, kdy je kostní plocha vmáčknuta do kostní tkáně)
- Subperiostální zlomenina (stav, kdy není porušen periost)
- Patologická zlomenina (v místě předchozího poškození kosti, například cystou nebo nádorem)
- Zlomenina s dislokací nebo bez dislokace (s posunutím kostních úlomků nebo bez jejich posunu)
- Únavová zlomenina (bez zjevného vyvolávacího traumatu, například zlomeniny zánártních kostí po dlouhých pochodech)

Zevní fixátor pro léčbu komplikovaných zlomenin pánve a acetabula (1 − Schanzovy šrouby se zavrtávají do kosti jako do pružného podkladu, 2 − spojky tyčí, 3 − tyče)[1]
Dle místa vzniku
- Přímá (v místě působení síly)
- Nepřímá (na místě vzdáleném od působení síly)
Dle poruchy kožního krytu
- Otevřená (došlo k poruše kožního krytu)
- Zavřená (není porušen kožní kryt)
Dle lomné linie
- Příčná
- Spirálovitá
- Šikmá
- Tříštivá
Dle dislokace kostních úlomků
Úhlová, rotační, do strany, do strany se zkrácením, do délky s odtažením
Příznaky
- Jisté − patologická pohyblivost, krepitace, typická deformace, pozitivní RTG nález
- Nejisté − otok, bolestivost, deformace, porucha funkce, hematom

Klasifikace zlomenin
Související informace naleznete také v článku Klasifikace zlomenin.
Léčení zlomenin
- Repozice je základem (repozicí se myslí napravení dislokace kostních úlomků)
- Imobilizace neboli znehybnění (nejstarší způsob léčení zlomenin, dnes klasickou sádrovou dlahou nebo modernější plastový obvaz, někdy postačí znehybnění končetiny zvláštním obvazem (například zlomenina klíční kosti) nebo jen klidový režim a léky tlumící bolest (například nekomplikovaná zlomenina jednoho žebra). Klidový režim a následná rehabilitace ve zvláštním korzetu je podstatou léčby nekomplikovaných zlomenin bederních a hrudních obratlů.
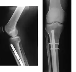
- Osteosynthesa znamená operační řešení, při kterém je kost zpevněna nejčastěji kovovým materiálem, kterým je nějaký druh nerezové oceli, titanuové slitiny, kompozitu atp., který se po čase buď vyjme, nebo někdy i ponechá. Existuje řada metod (vnitřní fixace, zevní fixace), od jednoduchých cerkláží ocelovými dráty, přes šrouby doplněné dlahami až po nejrůznější systémy hřebování s předvrtáváním nebo bez něj (hřeb znamená navlečení nejčastěji dlouhé a duté kosti na pevný a dlouhý ocelový profil, který je na konci zafixován šrouby. Po čase se šrouby na jednom zpravidla distálním (vzdáleném) konci vyjmou, čemuž se říká dynamizace).
- Zevní fixace je navrtání speciálních hřebů či drátů někdy se závity na konci do kostních úlomků skrze kůži a jejich upevnění vně končetiny do zevního fixátoru (fixatéru) − nejlépe si ho představíte jako stavebnici Merkur, do které zafixujete hřeby či dráty a můžete s nimi různě manipulovat a ve vhodné poloze to všechno zafixujete). Existuje řada tuzemských i zahraničních systémů, což platí pro všechny typy operačních metod. Po skončení léčby se zevní fixátor vždy odstraní.
- Vnitřní fixace je ,v souladu s předchozím textem, osteosyntéza pomocí hřebů, dlah, šroubů, svazků drátů. Implantát je aplikován uvnitř těla a vyjmout lze jen operativně a nejčastěji se v těle ponechá trvale.
- Náhrady, čímž se myslí například náhrada horního konce stehenní kosti po jeho zlomení (takzvaná CKP neboli cervikokapitální prothesa), nebo náhrada téhož včetně kloubní jamky (TEP neboli totální endoprothesa). Vzhledem k tomu, že tento typ zlomeniny je častý ve vyšším věku, kdy je obvykle přítomno i značné opotřebení chrupavek (artróza), je to pro pacienty řešení i do budoucna. Existují náhrady nejenom kyčle, ale i kolena, hlezna, ramene a lokte. Klouby na prstech lze nahradit implantáty z kvalitního silikonu. Lze nahradit těla obratlů, nebo část lebečních kostí. Mezi náhrady se mohou řadit i transplantace vlastní kostní tkáně.
- Klidový režim následovaný časnou rehabilitací je metodou volby u značně nemocných a starých pacientů, kde je velká pravděpodobnost, že by nepřežili některý z výše uvedených operačních zákroků. Tato volba jim sice přinese invaliditu, ale dává jim v některých případech vyšší (nebo možná jedinou) šanci na přežití.
- Amputace. Jakkoliv to zní tvrdě, je v některých případech amputace značně zdevastované končetiny vhodnější metodou nežli zdlouhavé, bolestivé a v neposlední řadě i značně nákladné pokusy o vyléčení, které vyústí v nefunkční nehybnou a překážející končetinu. V takovém případě je (přísně individuálně) někdy vhodnější končetinu časně amputovat a nahradit protézou. Tím více to platí pro výjimečné situace, jako jsou rozsáhlé živelní pohromy, nebo válka, kdy nikdy nebude dosti prostředků na ideální léčbu všech. Lze sem zařadit i amputaci například hlavičky vřetenní kosti u jejího roztříštění a značné dislokaci úlomků, což sice není ideální, ale přinese to v některých případech lepší funkční výsledek než jiné operační postupy.
Vážnější zlomenina snižuje délku života o 1 až 7 let, ovšem neléčená zlomenina může být ještě nebezpečnější.[3]
Reference
- ↑ FRYDRÝŠEK, Karel. Biomechanika 1. 1. vyd. Ostrava: VSB – Technical University of Ostrava, Faculty of Mechanical Engineering, Department of Applied Mechanics, 2019. 461 s. ISBN 978-80-248-4263-9.
- ↑ FRYDRÝŠEK, Karel; MADEJA; PLEVA, Leopold, et al. Biomechanika 2. 1. vyd. Ostrava: Ostravská univerzita, 2021 (v tisku).
- ↑ https://medicalxpress.com/news/2023-05-skeletal-age-bone-fracture-loss.html. medicalxpress.com [online]. Dostupné online.
Literatura
Externí odkazy
Obrázky, zvuky či videa k tématu zlomenina na Wikimedia Commons
Slovníkové heslo zlomenina ve Wikislovníku

Přečtěte si prosím pokyny pro využití článků o zdravotnictví.
Portály: Medicína