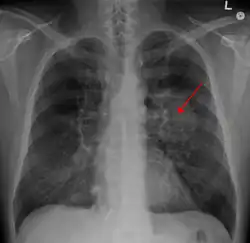
Karcinom plic
| Karcinom plic | |
|---|---|
Klasický rentgenový snímek hrudníku vykazující karcinom plic (označen šipkou) | |
| Klasifikace | |
| MKN-10 | C3333.-C3434. |
| MeSH | D002283 |
| Některá data mohou pocházet z datové položky. | |
Karcinom plic je nejčastější typ nádorového onemocnění plic. Někdy používaný pojem rakovina plic nemá přesně vymezený význam, může označovat jak karcinom plic, tak i jakýkoliv jiný maligní plicní nádor. Pokud není karcinom léčen, může se tento růst v rámci procesu zvaného metastazování rozšířit i mimo plíce do okolních tkání nebo dalších částí těla. Základní známkou karcinomů je to, že vznikají z epitelové tkáně. Hlavními typy karcinomů plic jsou malobuněčný karcinom plic (SCLC), rovněž známý jako „karcinom ovískových buněk“ (zhoubné buňky připomínají zrnka ovsa), a nemalobuněčný karcinom plic (NSCLC). Mezi nejběžnější symptomy onemocnění patří kašel (včetně vykašlávání krve), úbytek váhy a dechová nedostatečnost.[1] Karcinom plic patří mezi nejčastější onkologické příčiny smrti u mužů. Celosvětově je zodpovědná za smrt 1,3 milionů mužů a také žen ročně.[2]
Hlavními typy karcinomu plic jsou nemalobuněčný typ a malobuněčný typ[3]. Toto rozlišení je důležité, protože léčba je u každého jiná; nemalobuněčný plicní karcinom (NSCLC) se někdy léčí chirurgicky, zatímco malobuněčný plicní karcinom (SCLC) má obvykle lepší odezvu na léčbu chemoterapií a ozařováním.[4] Nejběžnějšími příznaky jsou dechová nedostatečnost, dalšími příznaky může být kašel (včetně vykašlávání krve) a ztráta váhy.[1] Nejběžnější příčinou nemoci je dlouhodobé vystavení tabákovému kouři,[5] které stojí za 80–90 % případů rakoviny plic.[1] K 10–15 % případů tohoto onemocnění dochází u nekuřáků,[6] přičemž tyto případy jsou často přičítány kombinaci genetických faktorů,[7] vystavení vlivu radonu,[7] azbestu[8] a znečištění vzduchu,[7] včetně kouře z pasivního kouření.[9][10] Karcinom plic lze zobrazit pomocí rentgenu hrudníku a výpočetní tomografie (CT snímek). Diagnóza je potvrzována prostřednictvím biopsie,[11] která se obvykle provádí za využití bronchoskopie nebo kontrolovaným CT vyšetřením. Léčba a dlouhodobé výsledky závisí na typu rakoviny, fázi (stupni rozšíření) a celkovém zdravotním stavu nemocného měřeném prostřednictvím hodnocení jeho celkového fyzického stavu.
Mezi běžné způsoby léčby patří chirurgický zákrok, chemoterapie a radioterapie. Nemalobuněčné karcinomy jsou někdy odstraňovány chirurgickým zákrokem, kdežto malobuněčné karcinomy obvykle lépe reagují na chemoterapii a radioterapii.[12] 15 % osob ve Spojených státech, u nichž je diagnostikována rakovina plic, přežije dalších pět let po stanovení diagnózy.[13] Celosvětově je rakovina plic nejběžnější příčinou úmrtí žen i mužů souvisejících s rakovinou a přičítá se jí 1,38 milionu úmrtí ročně (údaj k roku 2008).[14]
Příznaky a symptomy
Mezi příznaky a symptomy, které mohou rakovinu plic naznačovat, patří:[1]
- respirační symptomy: kašel, vykašlávání krve, sípání nebo dýchavičnost
- systémové symptomy: úbytek hmotnosti, horečka, paličkovité prsty nebo únava
- symptomy způsobené místním tlakem: bolest na prsou, bolesti v kostech, syndrom horní duté žíly, potíže s polykáním
Pokud se karcinom tvoří v dýchacích cestách, může ztěžovat proudění vzduchu a zapříčinit tak dýchavičnost. Ucpání dýchacích cest může vést k nahromadění sekretu za místem ucpání a způsobit zápal plic.[1] V závislosti na typu tumoru může na možnost karcinomu plic zpočátku ukázat tzv. paraneoplastický syndrom.[15] V případě karcinomu plic mohou projevy tohoto syndromu zahrnovat Lambert–Eatonův myastenický syndrom (svalová slabost způsobená autoprotilátkami), hyperkalcemii nebo syndrom nedostatečné produkce antidiuretického hormonu (SIADH). Tumory v horní části plic, známé jako Pancoastovy tumory, mohou narušit místní část sympatického nervového systému a vést tak k Hornerově syndromu (pokles očního víčka a malá oční panenka na postižené straně) a k poškození brachiálního plexu.[1]
Mnoho ze symptomů karcinomu plic (nechuť k jídlu, úbytek hmotnosti, horečka, únava) není specifických.[11] U mnoha osob, které v okamžiku projevu symptomů vyhledají lékařskou pomoc, je již rakovina rozšířena i mimo původní ložisko. Mezi běžná místa, kam se rakovina dále šíří, patří mozek, kosti, nadledviny, druhá plíce, játra, osrdečník a ledviny.[16] Přibližně 10 % osob s karcinomem plic nemá v okamžiku diagnózy žádné symptomy; k nálezu karcinomu obvykle dochází náhodně při rutinním rentgenu hrudníku.[13]
Fáze
Fáze karcinomů plic je soubor stupňů šíření karcinomu ze svého počátečního zdroje. Jedná se o důležitý faktor ovlivňující prognózy počáteční léčby karcinomu plic. Nemalobuněčný typ karcinomu plic (NSCLC) začíná fází IA („jedna A“; nejlepší prognóza) IV („čtyři“; nejhorší prognóza).[17] Malobuněčný typ karcinomu plic je klasifikován jako limitovaná fáze, pokud je omezen na jednu polovinu hrudníku (pod rentgenem); jinak se jedná rozšířenou fázi.[13]
Příčiny
K rozvoji karcinomu dochází v důsledku genetického poškození DNA. Toto genetické poškození postihuje normální funkci buňky včetně její schopnosti množení, programované buněčné smrti (apoptózy) a schopnosti opravy DNA. Čím větší je poškození, tím vyšší je riziko vzniku karcinomu.[18]
Kouření

.jpg)
Kouření, zejména pak kouření cigaret, přispívá ke vzniku karcinomu plic zdaleka nejvíce.[19] Cigaretový kouř obsahuje více než 60 známých karcinogenů,[20] mezi něž patří radioizotopy z rozpadové řady radonu (např. polonium 218Po a 214), nitrosaminy nebo polyaromatické uhlovodíky jako benzopyren. Rovněž se zdá, že nikotin potlačuje imunitní odezvu na nádorové bujení ve tkáni vystavené těmto vlivům.[21] V rozvinutých zemích bylo 90 % úmrtí mužů na karcinom plic v roce 2000 přičítáno kouření (70 % u žen).[22] Kouření se přičítá 80–90 % všech případů karcinomu plic.[1]
U nekuřáků je příčinou vzniku karcinomu plic pasivní kouření – vdechování kouře vznikajícího při kouření jiných osob. Jako pasivního kuřáka lze označit člověka, který žije nebo pracuje v blízkosti kuřáka. Studie provedené ve Spojených státech,[23][24] Evropě,[25] Spojeném království[26] a v Austrálii[27] konzistentně prokázaly značně zvýšené riziko vzniku rakoviny u osob vystavených pasivnímu kouření.[28] U těch, kdo žijí s kuřákem, je riziko vyšší asi o 20–30 %, zatímco u osob, které pracují v prostředí ovlivňovaném kouřem z cigaret jiných lidí, je riziko vyšší o 16–19 %.[29] Výzkum vlivu postranního proudu kouře naznačuje, že tento kouř je ještě nebezpečnější než kouř přímo vdechovaný kuřákem.[30] Ve Spojených státech je pasivní kouření příčinou přibližně 3 400 úmrtí na karcinom plic ročně.[24]
Radon
Radon je plyn bez barvy a zápachu vznikající rozpadem radioaktivního rádia, které je pro změnu produktem rozpadu uranu vyskytujícího se v zemské kůře. Produkty rozpadu radioaktivních látek ionizují genetický materiál a způsobují mutace, které se někdy stávají rakovinnými. Po kouření je radon druhou nejběžnější příčinou karcinomu plic ve Spojených státech.[24] S každými 100 becquerely/m³ koncentrace radonu se riziko zvyšuje o 8–16 %.[31] Množství radonu se liší v závislosti na lokalitě a složení půdy a hornin v podloží. Například v oblastech, jako je Cornwall ve Spojeném království (kde je žulové podloží), je radon velkým problémem. Pro snížení koncentrace radonu musí být budovy uměle větrány. Americká Agentura pro ochranu životního prostředí (EPA) odhaduje, že v jednom z 15 domů ve Spojených státech je hladina radonu vyšší než je doporučený limit 4 pikocurie na litr (pCi/l) (148 Bq/m³).[32]
Azbest
Azbest může způsobit řadu onemocnění plic, včetně karcinomu plic. Kouření tabáku a vystavení azbestu má na tvorbu karcinomu plic synergický efekt.[8] Azbest může rovněž způsobit rakovinu pohrudnice, která se nazývá mezoteliom (a která se od karcinomu plic liší).[33]
Znečištění vzduchu
Podle Světové zdravotnická organizace způsobilo znečištění ovzduší v roce 2010 smrt na rakovinu plic, tedy především na plicní karcinom, asi u 223 tisíc lidí na celém světě.[34] Podle jiného zdroje má znečištění údajně na zvýšení rizika karcinomu plic malý účinek.[7] Jemné částice (PM2,5) a sulfátové aerosoly, které se mohou dostávat do ovzduší ve výfukových plynech, jsou spojovány s mírně zvýšeným rizikem.[7][35] U oxidu dusičitého každý přírůstek 10 částic na jednu miliardu částic vzduchu zvyšuje riziko karcinomu plic o 14 %.[36] Znečištění vzduchu se připisuje 1–2 % případů karcinomu plic.[7]
Předběžné důkazy podporují hypotézu zvýšeného rizika vzniku karcinomu plic v důsledku znečištění vzduchu v interiéru v souvislosti se spalováním dřeva, uhlí, zvířecího trusu nebo zbytků rostlin při vaření nebo topení.[37] U žen, které jsou v interiéru vystaveny kouři z uhlí, je riziko přibližně dvojnásobné; řada vedlejších produktů spalování biomasy je známými nebo domnělými karcinogeny.[38] Toto riziko se týká přibližně 2,4 miliardy lidí na celém světě[37] a má se za to, že stojí za 1,5 % úmrtí na karcinom plic.[38]
Genetika
Odhaduje se, že 8 až 14 % případů karcinomu plic je způsobeno dědičnými faktory.[39] U osob příbuzných nemocnému s karcinomem plic je riziko 2,4 krát vyšší. Je tomu tak pravděpodobně v důsledku kombinace genů.[40]
Viry
O virech je známo, že způsobují karcinom plic u zvířat,[41][42] a poslední důkazy ukazují na to, že podobné nebezpečí hrozí u lidí. Propletenec virů včetně lidského papilomaviru,[43] JC virus,[44] opičí virus 40 (SV40), BK virus a cytomegalovirus.[45] Tyto viry mohou napadnout buněčný cyklus a při potlačení apoptózy způsobit nekontrolované dělení buněk.
Další příčiny
S karcinomem plic je spojována řada dalších látek, povolání a vystavení vlivům okolního prostředí. Mezinárodní agentura pro výzkum rakoviny (IARC) uvádí, že existují „dostatečné důkazy“ pro to, že přítomnost následujících látek v plicích je karcinogenní:[46]
- Některé kovy (výroba hliníku, kadmium a sloučeniny kadmia, sloučeniny chromu (VI), berylium a sloučeniny berylia, železné a ocelové slitiny, sloučeniny niklu, arsen a anorganické sloučeniny arsenu, podzemní těžba hematitu)
- Některé produkty spalování (nedokonalé spalování, uhlí (emise ze spalování uhlí v domácnostech), uhelné plyny, černouhelná smůla, výroba koksu, saze, výfukové plyny z naftových motorů)
- Ionizující záření (rentgen, radon 222 a produkty jeho rozpadu, gama záření, plutonium)
- Některé toxické plyny (metyléter (technický stupeň čistoty), bis(chlormetyl)éter, yperit, MOPP (směs vinkristin-prednison-dusíkatý yperit-prokarbazin), výpary z nátěrů)
- Výroba pryže a krystalický křemenný prach
Patogeneze
Podobně jako u mnoha dalších typů rakoviny začíná karcinom plic aktivací onkogenů nebo deaktivací genů bránících vzniku tumoru.[47] Má se za to, že onkogeny činí člověka náchylnějším k rozvoji rakoviny, a zdá se, že protoonkogeny se po vystavení působení konkrétních karcinogenů mění právě na onkogeny.[48] Mutace protoonkogenu K-ras způsobují 10–30 % případů adenokarcinomu plic.[49][50] Receptor pro epidermální růstový faktor (EGFR) reguluje množení buněk, apoptózu, angiogenezi a invazi tumoru.[49] Mutace a zvětšení receptorů EGFR jsou běžné u nemalobuněčného karcinomu plic a představují základ pro léčbu pomocí inhibitorů EGFR. Receptor Her2/neu je postihován méně častěji.[49] Poškození chromozomů může vést ke ztrátě heterozygozity, a tedy potenciálně k deaktivaci genů zabraňujících vzniku tumoru. Pro malobuněčný karcinom plic je běžné poškození zejména chromozomů 3p, 5q, 13q a 17p. Gen p53, který zabraňuje vzniku tumoru a který se nachází na chromozomu 17p, je postihován v 60–75 % případů.[51] Mezi další geny, k jejich mutaci či změnám často dochází, patří c-MET, NKX2-1,LKB1, PIK3CA a BRAF.[49]
S karcinomem plic je spojováno několik genetických polymorfismů. Tyto obsahují polymorfismy v genovém kódování na interleukin-1,[52] cytochrom P450,[53] spouštěče apoptózy jako kaspáza-8,[54] molekuly pro opravu DNA jako je XRCC1.[55] Lidé s těmito polymorfismy jsou více vnímavější k rozvinutí karcinomu plic po vystavení se karcinogenům.
Současné studie ukazují, že při projevu genu MDM2 309G existuje malé riziko, že se rozvine karcinom u Asiatů.[56]
Diagnóza

Provedení rentgenu hrudníku je jedním z prvních kroků při vyšetření osoby trpící symptomy, jež by mohly naznačovat karcinom plic. Může odhalit přítomnost tumoru, rozšíření mezihrudí (naznačující, že tumor napadl lymfatické uzliny), atelektázu (kolaps), konsolidaci plic (pneumonii) nebo fluidothorax.[5] Ke zjištění detailnějších informací o typu a rozsahu onemocnění se typicky používá CT snímkování. Bronchoskopie nebo CT snímkováním řízená biopsie často slouží k odebrání vzorku tumoru pro účely histopatologie.[13]
Rakovina plic se na rentgenu hrudníku často objevuje jako solitární plicní uzel. Diferenciální diagnostika však uvádí řadu dalších onemocnění s podobným symptomem. Stejný příznak může způsobit i tuberkulóza, plísňové infekce, metastatická rakovina nebo organizující se pneumonie. Mezi méně běžné příčiny solitárního plicního uzlu patří hamartomy, bronchogenní cysty, adenomy, arteriovenózní malformace, plicní sekvestrace, revmatoidní uzlíky, Wegenerova granulomatóza nebo lymfom.[57] Karcinom plic může být odhalen i náhodně jako solitární plicní uzel na rentgenovém nebo CT snímku hrudníku pořízeném pro jiný, nesouvisející účel.[58] Definitivní diagnóza karcinomu plic se stanovuje na základě histologického vyšetření podezřelé tkáně z hlediska klinického a radiologického.[1]
Klasifikace
| Histologický ytp | Počet případů na 100 000 osob a rok |
|---|---|
| Všechny typy | 66,9 |
| Adenokarcinom | 22,1 |
| Spinocelulární karcinom | 14,4 |
| Malobuněčný karcinom | 9,8 |
Karcinomy plic jsou klasifikovány podle histologického typu.[11] Tato klasifikace je důležitá pro určení způsobu léčby a předvídání dalšího vývoje nemoci. V naprosté většině případů rakoviny plic se jedná o karcinomy – zhoubné bujení buněk epitelové tkáně. Karcinomy plic se rozdělují do kategorií podle velikosti a vzhledu buněk zhoubné tkáně tak, jak ji pod mikroskopem vidí histopatolog. Dvěma hlavními skupinami jsou nemalobuněčné a malobuněčné karcinomy plic.[59]
Nemalobuněčný karcinom plic

Třemi hlavními podtypy nemalobuněčného karcinomu plic jsou adenokarcinom, spinocelulární karcinom plic a velkobuněčný karcinom plic.[1]
Téměř 40 % karcinomů plic jsou adenokarcinomy, které obvykle vznikají v okrajové plicní tkáni.[11] Většina případů adenokarcinomů souvisí s kouřením, avšak i u osob, které za svůj život vykouřily méně než 100 cigaret (a lze je tak označit za „nekuřáky“),[1] je adenokarcinom nejběžnější formou rakoviny plic.[60] Podtyp adenokarcinomu označovaný jako bronchioloalveolární karcinom je obvyklejší u žen-nekuřaček a je spojován s delší pravděpodobnou dobou přežití.[61]
Spinocelulární karcinom stojí za přibližně 30 % případů rakoviny plic. Tento typ karcinomu se typicky objevuje v blízkosti velkých cest dýchacích. Ve středu tumoru se obvykle nachází dutina a mrtvá tkáň.[11] Přibližně 9 % rakoviny plic jsou velkobuněčné karcinomy. Jsou tak pojmenovány proto, že buňky karcinomu jsou velké, s množstvím cytoplazmy, velkými jádry a nápadnými jadérky.[11]
Malobuněčný karcinom plic
_by_core_needle_biopsy.jpg)
V případě malobuněčných karcinomů plic (SCLC) buňky obsahují kompaktní neurosekreční granula (váčky naplněné neuroendokrinními hormony), které by u tohoto tumoru mohly naznačovat souvislost s endokrinním/paraneoplastickým syndromem.[62] Ve většině případů se karcinomy objevují ve velkých cestách dýchacích (primární a sekundární průdušky).[13] Tyto typy karcinomu rychle rostou a šíří se již v rané fázi onemocnění. V šedesáti až sedmdesáti procentech případů u nich dochází k metastázím. Tento typ rakoviny plic velmi významně souvisí s kouřením.[1]
Další typy karcinomu
Rozeznáváme čtyři hlavní histologické podtypy, ačkoli některé karcinomy mohou být tvořeny kombinací různých podtypů.[59] Mezi vzácné podtypy patří nádory žláz, karcinoidní tumory a nediferencované karcinomy.[1]
Šíření metastáz
| Histologický ytp | Imunozbarvení |
|---|---|
| Spinocelulární karcinom | CK5/6 pozitivní CK7 negativní |
| Adenokarcinom | CK7 pozitivní TTF-1 pozitivní |
| Velkobuněčný karcinom | TTF-1 negativní |
| Malobuněčný karcinom | TTF-1 pozitivní CD56 pozitivní Chromogranin pozitivní Synaptofyzin pozitivní |
Plíce jsou místem, kam se běžně rozšiřují tumory z jiných částí těla. Sekundární karcinomy jsou klasifikovány podle místa jejich vzniku; například karcinom prsu, který se rozšířil do plic, se nazývá metastatický karcinom prsu. Na rentgenovém snímku mají metastázy často charakteristický zakulacený vzhled.[63]
Primární karcinomy plic nejběžněji metastazují do mozku, kostí, jater a nadledvin.[11] Imunobarvení během biopsie je často užitečné pro určení původního zdroje.[64]
Klasifikace stádií
Klasifikace stádií karcinomu plic je posouzení stádia rozšíření karcinomu z jeho původního zdroje. Je jedním z faktorů ovlivňujících prognózu a potenciální způsob léčby karcinomu plic.[1]
Počáteční vyhodnocení stádia nemalobuněčného karcinomu plic (NSCLC) využívá klasifikaci TNM. Ta je založena na velikosti primárního tumoru, postižení lymfatických uzlin (lymph node) a vzdálenosti metastáz. Poté je za využití těchto TNM deskriptorů karcinom zařazen do jedné ze skupin – od okultní (skryté) fáze karcinomu až po stádia 0, IA (jedna A), IB, IIA, IIB, IIIA, IIIB a IV (čtyři). Toto rozdělení stádií do skupin napomáhá určení způsobu léčby a odhadu prognózy.[65]
Malobuněčné karcinomy plic (SCLC) jsou tradičně klasifikovány jako karcinomy „nepokročilého stádia“ (rozšíření pouze do poloviny hrudníku a v rozsahu jednoho radiačního pole s využitím radioterapie únosného stupně) nebo jako karcinomy „pokročilého stádia“ (výraznější rozšíření onemocnění).[1] I tak je ale klasifikace TNM a zařazení do jedné ze skupin užitečné při odhadu prognózy.[65]
V případě NSCLC i SCLC jsou dvěma hlavními hledisky posouzení pokročilosti nemoci klinická a chirurgická klasifikace stádia. Klinická klasifikace stádia se provádí před samotným chirurgickým zákrokem. Je založena na výsledcích snímkování (například CT snímky a PET snímky) a na výsledcích biopsie. Chirurgická klasifikace stádia je vyhodnocena během operace nebo po ní a základem pro ni jsou kombinované výsledky chirurgických a klinických nálezů včetně chirurgicky odebraného vzorku hrudních lymfatických uzlin.[11]
Prevence
Prevence je z hlediska nákladů nejefektivnějším prostředkem ke snižování počtu případů karcinomu plic. Ačkoli ve většině zemí byly karcinogeny v domácím i průmyslovém prostředí identifikovány a zakázány, kouření tabáku je stále velmi rozšířené. Eliminace kouření tabáku je primárním cílem prevence rakoviny plic a skoncování s kouřením je v rámci tohoto procesu důležitým nástrojem.[66]
Opatření a zásahy k omezení pasivního kouření na veřejných místech, například v restauracích a na pracovištích, jsou nyní běžné v mnoha západních zemích.[67] Bhútán zavedl úplný zákaz kouření v roce 2005,[68] Indie uplatňuje zákaz kouření na veřejných místech od října 2008.[69] Světová zdravotnická organizace vyzývá vlády, aby prosadily úplný zákaz reklamy tabákových výrobků, aby mladí lidé s kouřením vůbec nezačínali. Tato organizace soudí, že tam, kde byl tento zákaz zaveden, spotřeba tabákových výrobků klesla o 16 %.[70]
Dlouhodobé užívání doplňkového vitaminu A,[71][72] vitaminu C,[71] vitaminu D[73] nebo vitaminu E[71] riziko vzniku rakoviny plic nesnižuje. Na základě některých studií se zdá, že pro lidi, kteří konzumují v potravě vyšší množství zeleniny a ovoce, je obvyklé nižší riziko onemocnění rakovinou,[24][74] to je však pravděpodobně výsledek zavádějících faktorů. Preciznější studie jasnou souvislost neprokázaly.[74]
Screening
Screening je využití lékařských vyšetření s cílem rozpoznat jistou chorobu u osob bez symptomů. Lékařská vyšetření, s jejichž pomocí lze rakovinu plic určit, zahrnují cytologické vyšetření sputa, rentgen plic (RTG plic) a výpočetní tomografii (CT). Screeningové programy využívající RTG plic nebo cytologické vyšetření neprokázaly podstatný přínos.[75] Každoroční vyšetření osob podléhajících vysokému riziku (tedy ve věku 55 až 79 let, které kouřily více než 30 balíčkoroků nebo které v minulosti trpěly rakovinou plic) pomocí CT snímkování o snížených dávkách záření může snížit riziko úmrtí na rakovinu plic o absolutní hodnotu 0,3 % (relativní hodnota 20 %).[76][77] Počet falešně pozitivních CT snímků je však značný a může vyústit v řadu nepotřebných invazivních zákroků i značné finanční náklady.[78] Na každý skutečně pozitivní snímek připadá více než 19 falešně pozitivních.[79] Dalším potenciálním rizikem je vystavení pacientů záření během CT snímkování.[80]
Léčba
Léčba rakoviny plic závisí na specifickém typu rakovinných buněk, pokročilosti onemocnění a na tom, jaký je celkový fyzický stav nemocného. Běžné léčebné postupy zahrnují paliativní péči,[81] chirurgický zákrok, chemoterapii a radioterapii.[1]
Chirurgický zákrok

Pokud vyšetření potvrdí nemalobuněčný karcinom plic, musí být posouzena fáze pokročilosti rakoviny, aby bylo možno určit, zda je onemocnění lokalizováno a řešitelné operací či zda se natolik rozšířilo, že operativní zákrok by již neměl smysl. K tomu se využívá počítačová tomografie a pozitronová emisní tomografie.[1] Pokud existuje podezření, že jsou zasaženy i mezihrudní lymfatické uzliny, lze pro odebrání vzorků z uzlin a stanovení pokročilosti nemoci využít mediastinoskopii.[82] K posouzení skutečnosti, zda je nemocný schopen operaci podstoupit, se využívají i rozbory krve a vyšetření funkce plic.[13] Pokud vyšetření plic odhalí slabou respirační rezervu, chirurgický zákrok pravděpodobně nebude vhodným řešením.[1]
Ve většině případů raného nemalobuněčného karcinomu plic se upřednostňuje odstranění plicního laloku (lobektomie). U těch osob, jejichž celkový stav nedovoluje lobektomii celého laloku, lze provést resekci menšího rozsahu (klínovitá resekce). U tohoto typu resekce však existuje vyšší riziko recidivy rakoviny než u lobektomie.[83] Radioaktivní brachyterapie jodovými zrny v okrajových oblastech klínovité excize může riziko recidivy snížit.[84] Velmi zřídka se provádí odstranění celé plíce (pneumonektomie).[83] Videoasistovaná torakoskopická operace a videoasistovaná lobektomie jsou založeny na minimálně invazivním postupu při operaci rakoviny plic.[85] Videoasistovaná lobektomie je ve srovnání s konvenční otevřenou lobektomií stejně efektivní, navíc však není v takovém množství doprovázena postoperačními onemocněními.[86]
U malobuněčného karcinomu plic se obvykle používá chemoterapie a/nebo radioterapie.[87] Význam chirurgického zákroku pro léčbu malobuněčného karcinomu plic je však předmětem úvah. V rané fázi SCLC může operační zákrok zlepšit možné výsledky, pokud je doprovázen chemoterapií a radioterapií.[88]
Radioterapie
Radioterapie neboli ozařování se často kombinuje s chemoterapií a u osob trpících NSCLS, které nemohou podstoupit chirurgický zákrok, může být kurativně cílená. Tato forma vysoce intenzivní radioterapie se nazývá radikální radioterapie.[89] Zpřesněnou formou tohoto postupu je kontinuální hyperfrakcionovaná akcelerovaná terapie (CHART), během níž je pacient vystaven vysoké dávce radioterapie v krátkém časovém úseku.[90] Pooperační radioterapie hrudní stěny by obecně po kurativní operaci NSCLC neměla být použita,[91] může být ale prospěšná pro nemocné, jejichž mezihrudní lymfatické uzliny N2 byly nemocí zasaženy.[92]
U potenciálně vyléčitelných případů malobuněčného karcinomu plic se často doporučuje radioterapie hrudníku jako doplněk k chemoterapii.[11]
Pokud rakovinný nádor blokuje krátký úsek průdušky, může lékař použít brachyterapii (lokalizovanou radioterapii), a to přímo v dýchacích cestách, aby byla obnovena jejich průchodnost.[93] Ve srovnání s radioterapií externím paprskem umožňuje brachyterapie zkrácení doby léčby a nižší vystavení radioaktivnímu záření pro zdravotníky.[94]
Profylaktická kraniální iradiace (PCI) je typem radioterapie mozku, užívaným ke snížení rizika vzniku metastáz. Tento léčebný postup je nejvhodnější pro malobuněčný karcinom plic. U nepokročilé fáze nemoci zvyšuje míru tříletého přežití z 15 % na 20 %; u onemocnění v pokročilém stadiu se jednoleté přežití zvyšuje z 13 % na 27 %.[95]
Nedávná zlepšení technik zacílení a zobrazování vedla ke vzniku stereotaktického ozařování při léčbě raných fází rakoviny plic. Při této formě radioterapie je pacient vystaven vysokým dávkám záření při malém počtu vyšetření za použití stereotaktických lokalizačních technik. Využívá se zejména u pacientů, kteří v důsledku souběžných onemocnění nemohou podstoupit chirurgický zákrok.[96]
Ke kontrole symptomů u pacientů trpících nemalobuněčným i malobuněčným karcinomem plic lze využít ozařování hrudníku v menších dávkách (paliativní radioterapie).[97]
Chemoterapie
Nasazení léčby chemoterapií závisí na typu nádoru.[11] Malobuněčný karcinom plic (SCLC), a to i relativně raná fáze nemoci, se léčí především chemoterapií a radioterapií.[98] U malobuněčného karcinomu plic se nejčastěji užívá cisplatina a etoposid.[99] Kombinují se také s karboplatinou, gemcitabinem, paclitaxelem, vinorelbinem, topotecanem a irinotecanem.[100][101] U pokročilého nemalobuněčného karcinomu plic (NSCLC) zvyšuje chemoterapie pravděpodobnost přežití a užívá se jako primární léčba za předpokladu, že nemocný je schopen tuto léčbu podstoupit.[102] Obvykle se podávají dva léčivé přípravky, z nichž jeden je vždy na bázi platiny (buď cisplatina nebo karboplatina). K dalším často užívaným lékům patří gemcitabin, paclitaxel, docetaxel,[103][104] pemetrexed,[105] etoposid a vinorelbin.[104]
Adjuvantní chemoterapie označuje nasazení chemoterapie po léčebném chirurgickém zákroku za účelem zlepšení vyhlídky léčení. U nemalobuněčného karcinomu jsou z blízkých lymfatických uzlin během zákroku odebrány vzorky, jež pak slouží k určení fáze pokročilosti nemoci. Pokud je potvrzena II. či III. fáze onemocnění, může adjuvantní chemoterapie zvýšit míru přežití v následujících pěti letech o 5 %.[106][107] Kombinované podávání vinorelbinu a cisplatiny vykazuje vyšší účinek než dřívější metody léčby.[107] Adjuvantní chemoterapie u osob trpících rakovinou ve fázi IB je kontroverzní, neboť klinické studie neprokázaly jasně její přínos pro délku přežití.[108][109] Studie zaměřené na výzkum předoperační chemoterapie (neoadjuvantní chemoterapie) u resektabilního nemalobuněčného karcinomu nepřinesly jednoznačný závěr.[110]
Paliativní péče
U osob trpících terminálním onemocněním může být vhodná paliativní péče či pobyt v hospici.[13] Tyto způsoby péče umožňují dodatečnou diskusi o možnostech léčby a nabízejí příležitost dobře zvážit všechna rozhodnutí;[111][112] mohou také předejít nevhodné a nákladné péči v závěrečné fázi života nemocného.[112]
Při léčbě nemalobuněčného karcinomu plic lze chemoterapii kombinovat s paliativní péčí. U pokročilých případů zlepšuje vhodná chemoterapie průměrnou dobu přežití ve srovnání s pouhým využitím podpůrné péče, a zvyšuje také kvalitu života.[113] U nemocných s adekvátní tělesnou zdatností umožňuje udržovací chemoterapie nasazená v rámci paliativní péče prodloužení života o 1,5 až 3 měsíce, úlevu od symptomů a zlepšení kvality života. U moderních prostředků jsou zaznamenané výsledky lepší.[114][115] Spolupracující skupina odborníků pro metaanalýzu nemalobuněčného karcinomu plic doporučuje, aby u případů karcinomu plic v pokročilém stadiu byla zvážena chemoterapie, pokud s ní nemocný souhlasí a je schopen ji podstoupit.[102][116]
Prognóza
| Klinické stadium | Pětileté přežití (%) | |
|---|---|---|
| Nemalobuněčný karcinom plic | Malobuněčný karcinom plic | |
| IA | 50 | 38 |
| IB | 47 | 21 |
| IIA | 36 | 38 |
| IIB | 26 | 18 |
| IIIA | 19 | 13 |
| IIIB | 7 | 9 |
| IV | 2 | 1 |
Prognóza je obecně špatná. Z osob diagnostikovaných s rakovinou plic přežije prvních pět let od diagnózy 15 % z nich.[5] V době diagnózy je stadium nemoci již často pokročilé. Při prvním projevu onemocnění je ve fázi IV 30–40 % případů nemalobuněčného karcinomu a 60 % případů malobuněčného karcinomu.[11]
Prognostické faktory nemalobuněčného karcinomu plic zahrnují výskyt příznaků plicní choroby, velikost tumoru, buněčný typ (histologie), stupeň rozšíření (pokročilost), metastázy v mnohočetných lymfatických uzlinách a vaskulární invazi. U osob s neoperovatelným onemocněním jsou možné výsledky horší u skupiny se špatným celkovým fyzickým stavem a více než 10% úbytkem hmotnosti.[117] K prognostickým faktorům malobuněčného karcinomu plic patří celkový fyzický stav, pohlaví, stadium nemoci a zasažení centrálního nervového systému či jater v okamžiku diagnózy.[118]
U nemalobuněčného karcinomu plic je nejlepší prognózy dosaženo kompletní chirurgickou resekcí ve stadiu IA. Přežití po pěti letech pak činí až 70 %.[119] U malobuněčného karcinomu je celková míra přežití po pěti letech kolem 5 %.[1] Nemocní s pokročilým malobuněčným karcinomem plic mají průměrnou šanci na pětileté přežití nižší než 1 %. Průměrná doba přežití u nemocných v nepokročilé fázi nemoci je 20 měsíců, míra pětiletého přežití pak 20 %.[5]
Na základě údajů poskytnutých Národním ústavem pro léčbu rakoviny je průměrný věk při diagnóze rakoviny plic ve Spojených státech 70 let,[120] průměrný věk při úmrtí na následky nemoci pak 72 let.[121] Nemocní se zdravotním pojištěním mají ve Spojených státech větší nadějí na lepší výsledek léčby.[122]
Epidemiologie


Na celém světě je rakovina plic nejčastější formou rakoviny jak ve smyslu výskytu, tak úmrtnosti. V roce 2008 bylo zaznamenáno 1,61 milionu nových případů a 1,38 milionu úmrtí na následky rakoviny plic. Nejvyšší četnost výskytu nemoci je v Evropě a Severní Americe.[14] Populační skupina, u níž je pravděpodobnost vzniku onemocnění nejvyšší, jsou osoby starší 50 let, které v minulosti kouřily. V protikladu k úmrtnosti mužů, která začala před více než 20 lety klesat, má úmrtnost na rakovinu plic u žen v posledních dvou dekádách stoupající tendenci, a teprve v poslední době se začala stabilizovat.[124] V USA je celoživotní riziko onemocnění rakovinou plic 8 % u mužů a 6 % žen.[1]
Na každé 3–4 miliony vykouřených cigaret připadá jedno úmrtí na rakovinu plic.[1][125] Vliv velkých tabákových společností, tzv. „Big Tobacco“, hraje v kultuře kouření podstatnou roli.[126] U mladých nekuřáků, obklopených reklamou na tabákové výrobky, je vyšší pravděpodobnost, že začnou kouřit.[127] Vliv pasivního kouření je při vzniku rakoviny plic ve stále vyšší míře uznáván jako rizikový faktor,[28] což vede k úpravě zákonů s cílem snížit nežádoucí vystavení nekuřáků tabákovému kouři.[128] Potenciální riziko představují také emise z automobilů, továren a elektráren.[7]
Ve východní Evropě byla zaznamenána nejvyšší úmrtnost na následky rakoviny plic mezi muži, zatímco v severní Evropě a USA je nejvyšší úmrtnost na následky této nemoci mezi ženami. Ve Spojených státech je výskyt rakoviny vyšší u černošských žen a mužů.[129] Výskyt rakoviny plic v rozvojových zemích je v současné době omezený.[130] Počet kuřáků v těchto státech ale stoupá, a proto se očekává nárůst výskytu této nemoci v několika následujících letech, a to zejména v Číně[131] a Indii.[132]
Od 60. let 20. století začala četnost výskytu adenokarcinomu plic ve srovnání s jinými typy rakoviny plic stoupat. Příčinou je hlavně zahájení prodeje cigaret s filtrem. Použití filtru odstraňuje z tabákového kouře větší částice a omezuje ukládání nánosu ve velkých dýchacích cestách. Kuřák však musí vdechovat hlouběji, aby dostal tutéž dávku nikotinu, a tím dochází ke zvýšenému ukládání částic v malých dýchacích cestách, kde obvykle adenokarcinom vzniká.[133] Četnost výskytu adenokarcinomu plic se tak neustále zvyšuje.[134]
Historie
Před příchodem kouření cigaret byla rakovina plic poměrně řídkým onemocněním, a až do roku 1761 nebyla dokonce chápána jako specifická nemoc.[135] V roce 1810 byla řada aspektů rakoviny plic popsána podrobněji.[136] Zhoubné nádory plic tvořily v roce 1878 pouze 1 % všech typů rakoviny potvrzené při pitvě, na počátku 20. století však tento počet vzrostl na 10–15 %.[137] V roce 1912 bylo v odborné literatuře zaznamenáno celosvětově pouze 374 případových studií,[138] revize pitev však prokázala, že výskyt rakoviny plic vzrostl z 0,3 % v roce 1852 na 5,66 % v roce 1952.[139] Roku 1929 rozpoznal lékař Fritz Lickint v Německu souvislost mezi kouřením a rakovinou plic,[137] což vedlo k razantní protikuřácké kampani.[140] Studie britských lékařů, publikovaná v 50. letech 20. století, je považována za první solidní epidemiologický důkaz souvislosti mezi rakovinou plic a kouřením.[141] V důsledku toho doporučil v roce 1964 vedoucí Amerického úřadu pro zdravotnictví, aby kuřáci od kouření upustili.[142]
Vliv vzácného plynu radonu na vznik rakoviny plic byl poprvé zaznamenán u horníků z Krušných hor poblíž Schneebergu v Sasku. Stříbro se tam těžilo od roku 1470; tyto doly jsou bohaté na uran, jehož výskyt je doprovázen přítomností rádia a radonu.[143] Horníci byli v nepřiměřeně vysoké míře postihováni plicní chorobou, jež byla v 70. letech 19. století nakonec potvrzena jako rakovina plic.[144] Navzdory tomu dolování pokračovalo až do 50. let 20. století, a to zejména v důsledku poptávky po uranu v SSSR.[143] V 60. letech 20. století bylo prokázáno, že radon rakovinu plic skutečně způsobuje.[145]
První úspěšná pneumonektomie u rakoviny plic byla provedena v roce 1933.[146] Paliativní radioterapie se používá od 40. let 20. století.[147] Radikální radioterapie, poprvé uplatněná v 50. letech 20. století, byla pokusem o nasazení vyšších dávek radiace u pacientů v relativně rané fázi rakoviny plic, kteří však z různých důvodů nemohli podstoupit chirurgický zákrok.[148] Kontinuální hyperfrakcionovaná akcelerovaná terapie byla v roce 1997 chápána ve srovnání s konvenční radikální radioterapií jako krok vpřed.[149] Počáteční pokusy o chirurgickou resekci[150] a radikální radioterapii[151] z 60. let 20. století u malobuněčného karcinomu plic byly neúspěšné. V další dekádě pak byla úspěšně vyvinuta léčba chemoterapií.[152]
Odkazy
Reference
V tomto článku byl použit překlad textu z článku Lung cancer na anglické Wikipedii.
- ↑ a b c d e f g h i j k l m n o p q r s t u MINNA, JD, Schiller JH. Harrison's Principles of Internal Medicine. 17th. vyd. [s.l.]: McGraw-Hill, 2008. ISBN 0-07-146633-9. S. 551–562.
- ↑ WHO. Cancer [online]. World Health Organization, February 2006 [cit. 2007-06-25]. Dostupné online.
- ↑ Pavel Pafko: Plicní rakovina – klasifikace, rizikové faktory. Praha: tištěný SANQUIS č.17/2001, str. 45.
- ↑ VAPORCIYAN, AA, Nesbitt JC, Lee JS et al. Cancer Medicine. [s.l.]: B C Decker, 2000. ISBN 1-55009-113-1. S. 1227–1292.
- ↑ a b c d Lung Carcinoma: Tumors of the Lungs [online]. Merck Manual Professional Edition, Online edition [cit. 2007-08-15]. Dostupné online.
- ↑ THUN, MJ, Hannan LM, Adams-Campbell LL et al. Lung cancer occurrence in never-smokers: an analysis of 13 cohorts and 22 cancer registry studies. PLoS Medicine. 2008, s. e185. doi:10.1371/journal.pmed.0050185. PMID 18788891.
- ↑ a b c d e f g h Alberg AJ, Samet JM. Murray & Nadel's Textbook of Respiratory Medicine. 5th. vyd. [s.l.]: Saunders Elsevier, 2010. ISBN 978-1-4160-4710-0. Kapitola Chapter 46.
- ↑ a b O'REILLY, KM, Mclaughlin AM, Beckett WS, Sime PJ. Asbestos-related lung disease. American Family Physician. 2007, s. 683–688. Dostupné v archivu pořízeném dne 2007-09-29. PMID 17375514.
- ↑ Carmona, RH. The Health Consequences of Involuntary Exposure to Tobacco Smoke: A Report of the Surgeon General [online]. U.S. Department of Health and Human Services, 2006-06-27 [cit. 2009-10-14]. Dostupné v archivu pořízeném dne 2006-07-03.
- ↑ Tobacco Smoke and Involuntary Smoking. IARC Monographs on the Evaluation of Carcinogenic Risks to Humans. WHO International Agency for Research on Cancer, 2002. Dostupné online.
- ↑ a b c d e f g h i j k LU, C, Onn A, Vaporciyan AA et al. Holland-Frei Cancer Medicine. 8th. vyd. [s.l.]: People's Medical Publishing House, 2010. ISBN 9781607950141. Kapitola 78: Cancer of the Lung.
- ↑ CHAPMAN, S, Robinson G, Stradling J, West S. Oxford Handbook of Respiratory Medicine. 2nd. vyd. [s.l.]: Oxford University Press, 2009. ISBN 9-780199-545162. Kapitola Chapter 31.
- ↑ a b c d e f g COLLINS, LG, Haines C, Perkel R, Enck RE. Lung cancer: diagnosis and management. American Family Physician. American Academy of Family Physicians, January 2007, roč. 75, čís. 1, s. 56–63. Dostupné v archivu pořízeném dne 2007-09-29. PMID 17225705. Archivováno 29. 9. 2007 na Wayback Machine.
- ↑ a b FERLAY, J, Shin HR, Bray F et al. Estimates of worldwide burden of cancer in 2008: GLOBOCAN 2008. International Journal of Cancer. December 2010, s. 2893–2917. Dostupné online. doi:10.1002/ijc.25516. PMID 21351269.
- ↑ HONNORAT, J, Antoine JC. Paraneoplastic neurological syndromes. Orphanet Journal of Rare Diseases. BioMed Central, 2007, s. 22. Dostupné online. doi:10.1186/1750-1172-2-22. PMID 17480225.
- ↑ Greene, Frederick L. AJCC cancer staging manual. Berlin: Springer-Verlag, 2002. ISBN 0-387-95271-3.
- ↑ MOUNTAIN, CF, Libshitz HI, Hermes KE. A Handbook for Staging, Imaging, and Lymph Node Classification. [s.l.]: Charles P Young, 2003. Dostupné online.
- ↑ BROWN, KM, Keats JJ, Sekulic A et al. Holland-Frei Cancer Medicine. 8th. vyd. [s.l.]: People's Medical Publishing House USA, 2010. ISBN 978-1607950141. Kapitola 8.
- ↑ BIESALSKI, HK, Bueno de Mesquita B, Chesson A et al. European Consensus Statement on Lung Cancer: risk factors and prevention. Lung Cancer Panel. CA Cancer J Clin. Smoking is the major risk factor, accounting for about 90% of lung cancer incidence.: 1998, s. 167–176; discussion 164–166. Dostupné online. doi:10.3322/canjclin.48.3.167. PMID 9594919.
- ↑ HECHT, S. Tobacco carcinogens, their biomarkers and tobacco-induced cancer. Nature Reviews. Cancer. Nature Publishing Group, 2003, s. 733–744. Dostupné online. doi:10.1038/nrc1190. PMID 14570033.
- ↑ SOPORI, M. Effects of cigarette smoke on the immune system. Nature Reviews. Immunology. 2002, s. 372–7. doi:10.1038/nri803. PMID 12033743.
- ↑ PETO, R, Lopez AD, Boreham J et al. Mortality from smoking in developed countries 1950–2000: Indirect estimates from National Vital Statistics. [s.l.]: Oxford University Press, 2006. Dostupné online. ISBN 0-19-262535-7.
- ↑ CALIFORNIA ENVIRONMENTAL PROTECTION AGENCY. Health effects of exposure to environmental tobacco smoke. California Environmental Protection Agency. Tobacco Control. 1997, s. 346–353. Dostupné online. doi:10.1136/tc.6.4.346. PMID 9583639.
* Centers for Disease Control and Prevention (CDC). State-specific prevalence of current cigarette smoking among adults, and policies and attitudes about secondhand smoke—United States, 2000. Morbidity and Mortality Weekly Report. Atlanta, Georgia: CDC, 2001, s. 1101–1106. Dostupné online. PMID 11794619. - ↑ a b c d ALBERG, AJ, Samet JM. Epidemiology of lung cancer. Chest. American College of Chest Physicians, 2007, s. 29S–55S. Dostupné v archivu pořízeném dne 2020-03-29. doi:10.1378/chest.07-1347. PMID 17873159.
- ↑ JAAKKOLA, MS, Jaakkola JJ. Impact of smoke-free workplace legislation on exposures and health: possibilities for prevention. European Respiratory Journal. 2006, s. 397–408. Dostupné online. doi:10.1183/09031936.06.00001306. PMID 16880370.
- ↑ PARKIN, DM. Tobacco—attributable cancer burden in the UK in 2010. British Journal of Cancer. 2011, s. S6–S13. Dostupné online. doi:10.1038/bjc.2011.475. PMID 22158323.
- ↑ National Health and Medical Research Council. The health effects and regulation of passive smoking. www.obpr.gov.au. Australian Government Publishing Service, April 1994. Dostupné v archivu pořízeném z originálu dne September 29, 2007. Archivovaná kopie. www.obpr.gov.au [online]. [cit. 2009-10-14]. Dostupné v archivu pořízeném z originálu dne 2007-09-29.
- ↑ a b TAYLOR, R, Najafi F, Dobson A. Meta-analysis of studies of passive smoking and lung cancer: effects of study type and continent. International Journal of Epidemiology. 2007, s. 1048–1059. Dostupné online. doi:10.1093/ije/dym158. PMID 17690135.
- ↑ Frequently asked questions about second hand smoke [online]. [cit. 2012-07-25]. Dostupné online.
- ↑ SCHICK, S, Glantz S. Philip Morris toxicological experiments with fresh sidestream smoke: more toxic than mainstream smoke. Tobacco Control. 2005, s. 396–404. doi:10.1136/tc.2005.011288. PMID 16319363.
- ↑ Schmid K, Kuwert T, Drexler H. Radon in Indoor Spaces: An Underestimated Risk Factor for Lung Cancer in Environmental Medicine. Dtsch Arztebl Int. 2010, s. 181–6. doi:10.3238/arztebl.2010.0181. PMID 20386676.
- ↑ EPA. Radiation information: radon [online]. EPA, 2006 [cit. 2007-08-11]. Dostupné online.
- ↑ DAVIES, RJO, Lee YCG. Oxford Textbook Medicine. 5th. vyd. [s.l.]: OUP Oxford, 2010. ISBN 978-0199204854. Kapitola 18.19.3.
- ↑ World Health Organization: Outdoor Air Pollution Causes Cancer. www.cancer.org [online]. [cit. 2015-03-13]. Dostupné v archivu pořízeném z originálu dne 2015-03-04.
- ↑ CHEN, H, Goldberg MS, Villeneuve PJ. A systematic review of the relation between long-term exposure to ambient air pollution and chronic diseases. Reviews on Environmental Health. 2008, s. 243–297. PMID 19235364.
- ↑ CLAPP, RW, Jacobs MM, Loechler EL. Environmental and Occupational Causes of Cancer New Evidence, 2005–2007. Reviews on Environmental Health. 2008, s. 1–37. Dostupné online. PMID 18557596.
- ↑ a b LIM, WY, Seow, A. Biomass fuels and lung cancer.. Respirology (Carlton, Vic.). 2012 Jan, s. 20-31. PMID 22008241.
- ↑ a b SOOD, A. Indoor fuel exposure and the lung in both developing and developed countries: an update.. Clinics in chest medicine. 2012 Dec, s. 649-65. PMID 23153607.
- ↑ DUDLEY, Joel. Exploring Personal Genomics. [s.l.]: Oxford University Press, 2013. Dostupné online. ISBN 9780199644483. S. 25.
- ↑ Kern JA, McLennan G. Fishman's Pulmonary Diseases and Disorders. 4th. vyd. [s.l.]: McGraw-Hill, 2008. ISBN 0-07-145739-9. S. 1802.
- ↑ LEROUX, C, Girard N, Cottin V et al. Jaagsiekte Sheep Retrovirus (JSRV): from virus to lung cancer in sheep. Veterinary Research. March-April 2007, roč. 38, čís. 2, s. 211–228. doi:10.1051/vetres:2006060. PMID 17257570.
- ↑ PALMARINI, M, Fan H. Retrovirus-induced ovine pulmonary adenocarcinoma, an animal model for lung cancer. Journal of the National Cancer Institute. Oxford University Press, November 2001, roč. 93, čís. 21, s. 1603–1614. Dostupné online. doi:10.1093/jnci/93.21.1603. PMID 11698564.
- ↑ CHENG, YW, Chiou HL, Sheu GT et al. The association of human papillomavirus 16/18 infection with lung cancer among nonsmoking Taiwanese women. Cancer Research. American Association for Cancer Research, 04/01/2001, roč. 61, čís. 7, s. 2799–2803. Dostupné online. PMID 11306446.
- ↑ ZHENG, H, Aziz HA, Nakanishi Y et al. Oncogenic role of JC virus in lung cancer. Journal of Pathology. May 2007, roč. 212, čís. 3, s. 306–315. Dostupné online. doi:10.1002/path.2188. PMID 17534844.
- ↑ GIULIANI, L, Jaxmar T, Casadio C et al. Detection of oncogenic viruses (SV40, BKV, JCV, HCMV, HPV) and p53 codon 72 polymorphism in lung carcinoma. Lung Cancer. September 2007, roč. 57, čís. 3, s. 273–281. doi:10.1016/j.lungcan.2007.02.019. PMID 17400331.
- ↑ COGLIANO, VJ, Baan, R; Straif, K; Grosse, Y; Lauby-Secretan, B; El Ghissassi, F; Bouvard, V; Benbrahim-Tallaa, L; Guha, N; Freeman, C; Galichet, L; Wild, CP. Preventable exposures associated with human cancers.. Journal of the National Cancer Institute. 2011 Dec 21, s. 1827-39. Dostupné v archivu pořízeném dne 2012-09-20. PMID 22158127. Archivovaná kopie. monographs.iarc.fr [online]. [cit. 2014-07-31]. Dostupné v archivu pořízeném z originálu dne 2012-09-20.
- ↑ FONG, KM, Sekido Y, Gazdar AF, Minna JD. Lung cancer • 9: Molecular biology of lung cancer: clinical implications. Thorax. BMJ Publishing Group Ltd., 2003, s. 892–900. doi:10.1136/thorax.58.10.892. PMID 14514947.
- ↑ SALGIA, R, Skarin AT. Molecular abnormalities in lung cancer. Journal of Clinical Oncology. 1998, s. 1207–1217. PMID 9508209.
- ↑ a b c d HERBST, RS, Heymach JV, Lippman SM. Lung cancer. New England Journal of Medicine. 2008, s. 1367–1380. Dostupné online. doi:10.1056/NEJMra0802714. PMID 18815398.
- ↑ AVIEL-RONEN, S, Blackhall FH, Shepherd FA, Tsao MS. K-ras mutations in non-small-cell lung carcinoma: a review. Clinical Lung Cancer. Cancer Information Group, 2006, s. 30–38. doi:10.3816/CLC.2006.n.030. PMID 16870043.
- ↑ DEVEREUX, TR, Taylor JA, Barrett JC. Molecular mechanisms of lung cancer. Interaction of environmental and genetic factors. Chest. American College of Chest Physicians, 1996, s. 14S–19S. doi:10.1378/chest.109.3_Supplement.14S. PMID 8598134.
- ↑ ENGELS, EA, Wu X, Gu J et al. Systematic evaluation of genetic variants in the inflammation pathway and risk of lung cancer. Cancer Research. American Association for Cancer Research, July 2007, roč. 67, čís. 13, s. 6520–6527. doi:10.1158/0008-5472.CAN-07-0370. PMID 17596594.
- ↑ WENZLAFF, AS, Cote ML, Bock CH et al. CYP1A1 and CYP1B1 polymorphisms and risk of lung cancer among never smokers: a population-based study. Carcinogenesis. Oxford University Press, December 2005, roč. 26, čís. 12, s. 2207–2212. doi:10.1093/carcin/bgi191. PMID 16051642.
- ↑ SON, JW, Kang HK, Chae MH et al. Polymorphisms in the caspase-8 gene and the risk of lung cancer. Cancer Genetics and Cytogenetics. September 2006, roč. 169, čís. 2, s. 121–127. doi:10.1016/j.cancergencyto.2006.04.001. PMID 16938569.
- ↑ YIN, J, Vogel U, Ma Y et al. The DNA repair gene XRCC1 and genetic susceptibility of lung cancer in a northeastern Chinese population. Lung Cancer. May 2007, roč. 56, čís. 2, s. 153–160. doi:10.1016/j.lungcan.2006.12.012. PMID 17316890.
- ↑ Tomoda K, Ohkoshi T, Hirota K, et al.. Preparation and properties of inhalable nanocomposite particles for treatment of lung cancer. Colloids Surf B Biointerfaces. February 2009, roč. 71, s. 177. Dostupné online. doi:10.1016/j.colsurfb.2009.02.001. PMID 19264458.
- ↑ MILLER, WT. Fishman's Pulmonary Diseases and Disorders. 4th. vyd. [s.l.]: McGraw-Hill, 2008. ISBN 0-07-145739-9. S. 486.
- ↑ KAISER, LR. Fishman's Pulmonary Diseases and Disorders. 4th. vyd. [s.l.]: McGraw-Hill, 2008. ISBN 0-07-145739-9. S. 1815–1816.
- ↑ a b MAITRA, A, Kumar V. Robbins Basic Pathology. 8th. vyd. [s.l.]: Saunders Elsevier, 2007. ISBN 978-1-4160-2973-1. S. 528–529.
- ↑ SUBRAMANIAN, J, Govindan R. Lung cancer in never smokers: a review. Journal of Clinical Oncology. American Society of Clinical Oncology, 2007, s. 561–570. doi:10.1200/JCO.2006.06.8015. PMID 17290066.
- ↑ RAZ, DJ, He B, Rosell R, Jablons DM. Bronchioloalveolar carcinoma: a review. Clinical Lung Cancer. 2006, s. 313–322. doi:10.3816/CLC.2006.n.012. PMID 16640802.
- ↑ ROSTI, G, Bevilacqua G, Bidoli P et al. Small cell lung cancer. Annals of Oncology. 2006, s. 5–10. Dostupné online. doi:10.1093/annonc/mdj910. PMID 16608983.
- ↑ SEO, JB, Im JG, Goo JM et al. Atypical pulmonary metastases: spectrum of radiologic findings. Radiographics. 1 March 2001, s. 403–417. Dostupné online. PMID 11259704.
- ↑ Tan D, Zander DS. Immunohistochemistry for Assessment of Pulmonary and Pleural Neoplasms: A Review and Update. Int J Clin Exp Pathol. 2008, s. 19–31. PMID 18784820.
- ↑ a b c RAMI-PORTA, R, Crowley JJ, Goldstraw P. The revised TNM staging system for lung cancer. Annals of Thoracic and Cardiovascular Surgery. 2009, s. 4–9. Dostupné online. PMID 19262443.
- ↑ GOODMAN, GE. Lung cancer. 1: prevention of lung cancer. Thorax. 2002, s. 994–999. Dostupné online. PMID 12403886.
- ↑ MCNABOLA, A, Gill LW. The control of environmental tobacco smoke: a policy review. International Journal of Environmental Research and Public Health. 2009, s. 741–758. doi:10.3390/ijerph6020741. PMID 19440413.
- ↑ PANDEY, G. Bhutan's smokers face public ban. news.bbc.co.uk. BBC, 2005. Dostupné online [cit. 2007-09-07].
- ↑ PANDEY, G. Indian ban on smoking in public. news.bbc.co.uk. BBC, 2 October 2008. Dostupné online [cit. 2012-04-25].
- ↑ United Nations News service: UN health agency calls for total ban on tobacco advertising to protect young, tisková zpráva, [cit. {{{accessdate}}}], Dostupné on-line.
- ↑ a b c FABRICIUS, P, Lange P. Diet and lung cancer. Monaldi Archives for Chest Disease. 2003, s. 207–211. PMID 15065316.
- ↑ FRITZ, H, Kennedy D, Fergusson D et al. Vitamin A and Retinoid Derivatives for Lung Cancer: A Systematic Review and Meta Analysis. PLoS ONE. 2011, s. e21107. doi:10.1371/journal.pone.0021107. PMID 21738614.
- ↑ HERR, C, Greulich T, Koczulla RA et al. The role of vitamin D in pulmonary disease: COPD, asthma, infection, and cancer. Respiratory Research. 2011, s. 31. doi:10.1186/1465-9921-12-31. PMID 21418564.
- ↑ a b KEY, TJ. Fruit and vegetables and cancer risk. British Journal of Cancer. 2011, s. 6–11. doi:10.1038/sj.bjc.6606032. PMID 21119663.
- ↑ MANSER, RL, Irving LB, Stone C et al. Screening for lung cancer. Cochrane Database of Systematic Reviews. 2004, s. CD001991. Dostupné online. doi:10.1002/14651858.CD001991.pub2. PMID 14973979.
- ↑ JAKLITSCH, MT, Jacobson FL, Austin JH et al. The American Association for Thoracic Surgery guidelines for lung cancer screening using low-dose computed tomography scans for lung cancer survivors and other high-risk groups. Journal of Thoracic and Cardiovascular Surgery. 2012, s. 33–38. doi:10.1016/j.jtcvs.2012.05.060. PMID 22710039.
- ↑ BACH, PB, Mirkin JN, Oliver TK et al. Benefits and harms of CT screening for lung cancer: a systematic review. JAMA: the Journal of the American Medical Association. 2012, s. 2418–2429. doi:10.1001/jama.2012.5521. PMID 22610500.
- ↑ BOISELLE, PM. Computed tomography screening for lung cancer.. JAMA : the journal of the American Medical Association. 2013 Mar 20, s. 1163-70. PMID 23512063.
- ↑ Bach PB, Mirkin JN, Oliver TK, et al.. Benefits and harms of CT screening for lung cancer: a systematic review. JAMA. 2012, s. 2418–29. doi:10.1001/jama.2012.5521. PMID 22610500.
- ↑ ABERLE, DR, Abtin, F; Brown, K. Computed tomography screening for lung cancer: has it finally arrived? Implications of the national lung screening trial.. Journal of clinical oncology : official journal of the American Society of Clinical Oncology. 2013 Mar 10, s. 1002-8. PMID 23401434.
- ↑ FERRELL, B, Koczywas M, Grannis F, Harrington A. Palliative care in lung cancer. Surgical Clinics of North America. 2011, s. 403–417. doi:10.1016/j.suc.2010.12.003. PMID 21419260.
- ↑ Kaiser LR. Fishman's Pulmonary Diseases and Disorders. 4th. vyd. [s.l.]: McGraw-Hill, 2008. ISBN 0-07-145739-9. S. 1853–1854.
- ↑ a b Kaiser LR. Fishman's Pulmonary Diseases and Disorders. 4th. vyd. [s.l.]: McGraw-Hill, 2008. ISBN 0-07-145739-9. S. 1855–1856.
- ↑ ODELL, DD, Kent MS, Fernando HC. Sublobar resection with brachytherapy mesh for stage I non-small cell lung cancer. Seminars in Thoracic and Cardiovascular Surgery. 2010, s. 32–37. doi:10.1053/j.semtcvs.2010.04.003. PMID 20813314.
- ↑ ALAM, N, Flores RM. Video-assisted thoracic surgery (VATS) lobectomy: the evidence base. Journal of the Society of Laparoendoscopic Surgeons. 2007, s. 368–374. PMID 17931521.
- ↑ RUETH, NM, Andrade RS. Is VATS lobectomy better: perioperatively, biologically and oncologically?. Annals of Thoracic Surgery. 2010, s. S2107–S2111. doi:10.1016/j.athoracsur.2010.03.020. PMID 20493991.
- ↑ Simon GR, Turrisi A. Management of small cell lung cancer: ACCP evidence-based clinical practice guidelines (2nd edition). Chest. 2007, s. 324S–339S. Dostupné online. doi:10.1378/chest.07-1385. PMID 17873178.
- ↑ GOLDSTEIN, SD, Yang SC. Role of surgery in small cell lung cancer. Surgical Oncology Clinics of North America. 2011, s. 769–777. doi:10.1016/j.soc.2011.08.001. PMID 21986271.
- ↑ ARRIAGADA, R, Goldstraw P, Le Chevalier T. Oxford Textbook of Oncology. 2nd. vyd. [s.l.]: Oxford University Press, 2002. ISBN 0-19-262926-3. S. 2094.
- ↑ HATTON, MQ, Martin JE. Continuous hyperfractionated accelerated radiotherapy (CHART) and non-conventionally fractionated radiotherapy in the treatment of non-small cell lung cancer: a review and consideration of future directions. Clinical Oncology (Royal College of Radiologists). 2010, s. 356–364. doi:10.1016/j.clon.2010.03.010. PMID 20399629.
- ↑ PORT Meta-analysis Trialists Group. Postoperative radiotherapy for non-small cell lung cancer. Redakce Rydzewska Larysa. Cochrane Database of Systematic Reviews. 2005, s. CD002142. Dostupné online. doi:10.1002/14651858.CD002142.pub2. PMID 15846628. Archivovaná kopie. mrw.interscience.wiley.com [online]. [cit. 2009-10-14]. Dostupné v archivu pořízeném z originálu dne 2010-02-09.
- ↑ LE PÉCHOUX, C. Role of postoperative radiotherapy in resected non-small cell lung cancer: a reassessment based on new data. Oncologist. 2011, s. 672–681. doi:10.1634/theoncologist.2010-0150. PMID 21378080.
- ↑ CARDONA, AF, Reveiz L, Ospina EG et al. Palliative endobronchial brachytherapy for non-small cell lung cancer. Cochrane Database of Systematic Reviews. 2008, s. CD004284. doi:10.1002/14651858.CD004284.pub2. PMID 18425900.
- ↑ IKUSHIMA, H. Radiation therapy: state of the art and the future. Journal of Medical Investigation. 2010, s. 1–11. Dostupné online. PMID 20299738.[nedostupný zdroj]
- ↑ PAUMIER, A, Cuenca X, Le Péchoux C. Prophylactic cranial irradiation in lung cancer. Cancer Treatment Reviews. 2011, s. 261–265. doi:10.1016/j.ctrv.2010.08.009. PMID 20934256.
- ↑ GIRARD, N, Mornex F. Stereotactic radiotherapy for non-small cell lung cancer: From concept to clinical reality. 2011 update. Cancer Radiothérapie. 2011, s. 522–526. doi:10.1016/j.canrad.2011.07.241. PMID 21889901.
- ↑ FAIRCHILD, A, Harris K, Barnes E et al. Palliative thoracic radiotherapy for lung cancer: a systematic review. Journal of Clinical Oncology. 2008, s. 4001–4011. Dostupné online. doi:10.1200/JCO.2007.15.3312. PMID 18711191.
- ↑ Hann CL, Rudin CM. Management of small-cell lung cancer: incremental changes but hope for the future. Oncology (Williston Park). 2008-11-30, s. 1486–92. PMID 19133604.
- ↑ MURRAY, N, Turrisi AT. A review of first-line treatment for small-cell lung cancer. Journal of Thoracic Oncology. 2006, s. 270–278. PMID 17409868.
- ↑ AZIM, HA, Ganti AK. Treatment options for relapsed small-cell lung cancer. Anticancer drugs. 2007, s. 255–261. doi:10.1097/CAD.0b013e328011a547. PMID 17264756.
- ↑ MACCALLUM, C, Gillenwater HH. Second-line treatment of small-cell lung cancer. Current Oncology Reports. 2006, s. 258–264. doi:10.1007/s11912-006-0030-8. PMID 17254525.
- ↑ a b NSCLC Meta-Analyses Collaborative Group. Chemotherapy in Addition to Supportive Care Improves Survival in Advanced Non–Small-Cell Lung Cancer: A Systematic Review and Meta-Analysis of Individual Patient Data From 16 Randomized Controlled Trials. J. Clin. Oncol.. 2008, s. 4617–25. doi:10.1200/JCO.2008.17.7162. PMID 18678835.
- ↑ Mehra R, Treat J. Fishman's Pulmonary Diseases and Disorders. 4th. vyd. [s.l.]: McGraw-Hill, 2008. ISBN 0-07-145739-9. S. 1876.
- ↑ a b CLEGG, A, Scott DA, Hewitson P et al. Clinical and cost effectiveness of paclitaxel, docetaxel, gemcitabine, and vinorelbine in non-small cell lung cancer: a systematic review. Thorax. BMJ Publishing Group, 2002, s. 20–28. doi:10.1136/thorax.57.1.20. PMID 11809985.
- ↑ Fuld AD, Dragnev KH, Rigas JR. Pemetrexed in advanced non-small-cell lung cancer. Expert Opin Pharmacother. 2010, s. 1387–402. doi:10.1517/14656566.2010.482560. PMID 20446853.
- ↑ CARBONE, DP, Felip E. Adjuvant therapy in non-small cell lung cancer: future treatment prospects and paradigms. Clinical Lung Cancer. 2011, s. 261–271. doi:10.1016/j.cllc.2011.06.002. PMID 21831720.
- ↑ a b LE CHEVALIER, T. Adjuvant chemotherapy for resectable non-small-cell lung cancer: where is it going?. Annals of Oncology. 2010, s. vii196–198. Dostupné online. doi:10.1093/annonc/mdq376. PMID 20943614.
- ↑ HORN, L, Sandler AB, Putnam JB Jr, Johnson DH. The rationale for adjuvant chemotherapy in stage I non-small cell lung cancer. Journal of Thoracic Oncology. 2007, s. 377–383. doi:10.1097/01.JTO.0000268669.64625.bb. PMID 17473651.
- ↑ WAKELEE, HA, Schiller JH, Gandara DR. Current status of adjuvant chemotherapy for stage IB non-small-cell lung cancer: implications for the New Intergroup Trial. Clinical Lung Cancer. Cancer Information Group, 2006, s. 18–21. doi:10.3816/CLC.2006.n.028. PMID 16870041.
- ↑ BMJ. Clinical evidence concise : the international resource of the best available evidence for effective health care.. London: BMJ Publishing Group, 2005. Dostupné online. ISBN 1-905545-00-2. S. 486–488.
- ↑ Kelley AS, Meier DE. Palliative care—a shifting paradigm. New England Journal of Medicine. 2010, s. 781–2. doi:10.1056/NEJMe1004139. PMID 20818881.
- ↑ a b Prince-Paul M. When hospice is the best option: an opportunity to redefine goals. Oncology (Williston Park, N.Y.). 2009, s. 13–7. PMID 19856592.
- ↑ Souquet PJ, Chauvin F, Boissel JP, Bernard JP. Meta-analysis of randomised trials of systemic chemotherapy versus supportive treatment in non-resectable non-small cell lung cancer. Lung Cancer. 1995, s. S147–54. doi:10.1016/0169-5002(95)00430-9. PMID 7551923.
- ↑ Sörenson S, Glimelius B, Nygren P. A systematic overview of chemotherapy effects in non-small cell lung cancer. Acta Oncol. 2001, s. 327–39. PMID 11441939.
- ↑ Clegg A, Scott DA, Sidhu M, Hewitson P, Waugh N. A rapid and systematic review of the clinical effectiveness and cost-effectiveness of paclitaxel, docetaxel, gemcitabine and vinorelbine in non-small-cell lung cancer. Health Technol Assess. 2001, s. 1–195. PMID 12065068.
- ↑ Non-Small Cell Lung Cancer Collaborative Group: Chemotherapy and supportive care versus supportive care alone for advanced non-small cell lung cancer. ed. Sarah Burdett. CD007309, version 2, issue 5, 2010, pmid=20464750
- ↑ Non-Small Cell Lung Cancer Treatment [online]. National Cancer Institute [cit. 2008-11-22]. Dostupné online.
- ↑ Small Cell Lung Cancer Treatment [online]. National Cancer Institute, 2012 [cit. 2012-05-16]. Dostupné online.
- ↑ SPIRO, SG. Oxford Textbook Medicine. 5th. vyd. [s.l.]: OUP Oxford, 2010. ISBN 978-0199204854. Kapitola 18.19.1.
- ↑ SEER data (SEER.cancer.gov)Median Age of Cancer Patients at Diagnosis 2002–2003
- ↑ SEER data (SEER.cancer.gov)Median Age of Cancer Patients at Death 2002–2006
- ↑ SLATORE, CG, Au DH, Gould MK. An official American Thoracic Society systematic review: insurance status and disparities in lung cancer practices and outcomes. American Journal of Respiratory and Critical Care Medicine. November 2010, s. 1195–1205. Dostupné online. doi:10.1164/rccm.2009-038ST. PMID 21041563.
- ↑ WHO Disease and injury country estimates [online]. 2009 [cit. 2009-11-11]. Dostupné online.
- ↑ Jemal A, Tiwari RC, Murray T, et al.. Cancer statistics, 2004. CA: a Cancer Journal for Clinicians. 2004, s. 8–29. doi:10.3322/canjclin.54.1.8. PMID 14974761.
- ↑ PROCTOR, RN. The history of the discovery of the cigarette-lung cancer link: evidentiary traditions, corporate denial, global toll. Tobacco Control. 2012, s. 87–91. doi:10.1136/tobaccocontrol-2011-050338. PMID 22345227.
- ↑ LUM, KL, Polansky JR, Jackler RK, Glantz SA. Signed, sealed and delivered: "big tobacco" in Hollywood, 1927–1951. Tobacco Control. 2008, s. 313–323. Dostupné online. doi:10.1136/tc.2008.025445. PMID 18818225.
- ↑ LOVATO, C, Watts A, Stead LF. Impact of tobacco advertising and promotion on increasing adolescent smoking behaviours. Cochrane Database of Systematic Reviews. October 2011, s. CD003439. doi:10.1002/14651858.CD003439.pub2. PMID 21975739.
- ↑ KEMP, FB. Smoke free policies in Europe. An overview. Pneumologia. 2009, s. 155–158. PMID 19817310.
- ↑ National Cancer Institute; SEER stat fact sheets: Lung and Bronchus. Surveillance Epidemiology and End Results. 2010 [1]
- ↑ Gender in lung cancer and smoking research [online]. World Health Organization, 2004 [cit. 2007-05-26]. Dostupné online.
- ↑ ZHANG, J, Ou JX, Bai CX. Tobacco smoking in China: prevalence, disease burden, challenges and future strategies. Respirology. November 2011, s. 1165–1172. doi:10.1111/j.1440-1843.2011.02062.x. PMID 21910781.
- ↑ BEHERA, D, Balamugesh T. Lung cancer in India. Indian Journal of Chest Diseases and Allied Sciences. 2004, s. 269–281. Dostupné online. PMID 15515828.
- ↑ CHARLOUX, A, Quoix E, Wolkove N et al. The increasing incidence of lung adenocarcinoma: reality or artefact? A review of the epidemiology of lung adenocarcinoma. International Journal of Epidemiology. 1997, s. 14–23. Dostupné online. doi:10.1093/ije/26.1.14. PMID 9126499.
- ↑ KADARA, H, Kabbout M, Wistuba II. Pulmonary adenocarcinoma: a renewed entity in 2011. Respirology. 2012, s. 50–65. doi:10.1111/j.1440-1843.2011.02095.x. PMID 22040022.
- ↑ MORGAGNI, Giovanni Battista. De sedibus et causis morborum per anatomen indagatis. [s.l.]: [s.n.], 1761.
- ↑ BAYLE, Gaspard-Laurent. Recherches sur la phthisie pulmonaire. Paris: [s.n.], 1810. (French)
- ↑ a b WITSCHI, H. A short history of lung cancer. Toxicological Sciences. 2001, s. 4–6. Dostupné online. doi:10.1093/toxsci/64.1.4. PMID 11606795.
- ↑ Adler, I. Primary Malignant Growths of the Lungs and Bronchi. New York: Longmans, Green, and Company, 1912. OCLC 14783544, cited in Spiro SG, Silvestri GA. One hundred years of lung cancer. American Journal of Respiratory and Critical Care Medicine. 2005, s. 523–529. doi:10.1164/rccm.200504-531OE. PMID 15961694.
- ↑ GRANNIS, FW. History of cigarette smoking and lung cancer [online]. smokinglungs.com [cit. 2007-08-06]. Dostupné v archivu pořízeném z originálu dne 2007-07-18.
- ↑ PROCTOR, R. The Nazi War on Cancer. [s.l.]: Princeton University Press, 2000. Dostupné online. ISBN 0-691-00196-0. S. 173–246.
- ↑ DOLL, R, Hill AB. Lung Cancer and Other Causes of Death in Relation to Smoking. British Medical Journal. 1956, s. 1071–1081. doi:10.1136/bmj.2.5001.1071. PMID 13364389.
- ↑ US Department of Health Education and Welfare. Smoking and health: report of the advisory committee to the Surgeon General of the Public Health Service [online]. Washington, DC: US Government Printing Office, 1964. Dostupné online.
- ↑ a b GREAVES, M. Cancer: the Evolutionary Legacy. [s.l.]: Oxford University Press, 2000. Dostupné online. ISBN 0-19-262835-6. S. 196–197.
- ↑ GREENBERG, M, Selikoff IJ. Lung cancer in the Schneeberg mines: a reappraisal of the data reported by Harting and Hesse in 1879. Annals of Occupational Hygiene. 1993, s. 5–14. PMID 8460878.
- ↑ SAMET, JM. Radiation and cancer risk: a continuing challenge for epidemiologists. Environmental Health. 2011, s. S4. doi:10.1186/1476-069X-10-S1-S4. PMID 21489214.
- ↑ HORN, L, Johnson DH. Evarts A. Graham and the first pneumonectomy for lung cancer. Journal of Clinical Oncology. 2008, s. 3268–3275. Dostupné online. doi:10.1200/JCO.2008.16.8260. PMID 18591561.
- ↑ EDWARDS, AT. Carcinoma of the Bronchus. Thorax. 1946, s. 1–25. doi:10.1136/thx.1.1.1. PMID 20986395.
- ↑ KABELA, M. Erfahrungen mit der radikalen Röntgenbestrahlung des Bronchienkrebses. Ceskoslovenská Onkológia. 1956, s. 109–115. PMID 13383622. (German)
- ↑ SAUNDERS, M, Dische S, Barrett A et al. Continuous hyperfractionated accelerated radiotherapy (CHART) versus conventional radiotherapy in non-small-cell lung cancer: a randomised multicentre trial. Lancet. Elsevier, 1997, s. 161–165. doi:10.1016/S0140-6736(97)06305-8. PMID 9250182.
- ↑ LENNOX, SC, Flavell G, Pollock DJ et al. Results of resection for oat-cell carcinoma of the lung. Lancet. Elsevier, 1968, s. 925–927. doi:10.1016/S0140-6736(68)91163-X. PMID 4176258.
- ↑ MILLER, AB, Fox W, Tall R. Five-year follow-up of the Medical Research Council comparative trial of surgery and radiotherapy for the primary treatment of small-celled or oat-celled carcinoma of the bronchus. Lancet. Elsevier, 1969, s. 501–505. doi:10.1016/S0140-6736(69)90212-8. PMID 4184834.
- ↑ COHEN, M, Creaven PJ, Fossieck BE Jr et al. Intensive chemotherapy of small cell bronchogenic carcinoma. Cancer Treatment Reports. 1977, s. 349–354. PMID 194691.
Související články
Externí odkazy
Obrázky, zvuky či videa k tématu rakovina plic na Wikimedia Commons - (česky) Informační web Rakovinaplic.cz
- (anglicky) Detailed guide: Lung cancer – small cell Archivováno 2. 11. 2009 na Wayback Machine. American Cancer Society
- (anglicky) Detailed guide: Lung cancer – non-small cell Archivováno 27. 6. 2010 na Wayback Machine. American Cancer Society
- (anglicky) LungCancer.org — free resources and support services
- (anglicky) Lung cancer National Cancer Institute
- (anglicky) Tobacco smoke and involuntary smoking, summary of data reported and evaluation (2004) IARC
- (anglicky) Lung Cancer Articles & Information Archivováno 7. 9. 2008 na Wayback Machine. Stop smoking articles & information at National Institutes of Health
- (anglicky) Medical Encyclopedia WebMD: Lung Cancer Health Center
- (anglicky) Medical Encyclopedia MayoClinic: Lung cancer
- (česky) Wikipedie:Lékařské překlady/Lung cancer, překlad angl. verze článku v rámci Medical Translation Project

Přečtěte si prosím pokyny pro využití článků o zdravotnictví.