Výpočetní tomografie

Výpočetní tomografie, obecně nesprávně, ale běžně nazývaná „počítačová tomografie“, „výpočtová tomografie“ nebo „komputerová tomografie“ (anglicky computed tomography, CT, nebo X-ray CT, dříve také computed axial tomography, CAT), je radiologická vyšetřovací metoda, která pomocí rentgenového záření umožňuje neinvazivní zobrazení vnitřních orgánů a tkání člověka či zvířat s vysokou rozlišovací schopností a ve 3D projekci. Metoda se využívá hlavně v oblasti medicíny, kde slouží k diagnostice širokého spektra poranění a chorob. Dále se využívá v preklinickém výzkumu u laboratorních zvířat při vývoji nových léčiv a vakcín.[1][2]
Terminologie
Přístroj, který takové zobrazení umožňuje, se nazývá tomograf, nesprávně s přídavným jménem „počítačový“, správně „výpočetní“; v odborné hantýrce se pak běžně hovoří pouze o „CéTé“. V ČR se s příchodem metody používal makarónský název "kompjůtrová". Nesprávný překlad anglického „computed“ (výpočetní, vypočítaný) jako „počítačový“ (což by bylo „computerized“) je navzdory své etymologické nesprávnosti velmi rozšířený. S výpočetním tomografem pracuje radiologický asistent, speciální techniky jako např. podání kontrastních látek a interpretaci snímků provádí lékař z oboru radiodiagnostika. Samotný pojem tomograf pak může v principu označovat jakýkoliv přístroj, který zobrazuje řezy pacientovým tělem.
Historie

Základy výpočetní tomografie položil W. C. Röntgen, který roku 1895 objevil paprsky X. Tyto paprsky, známé jako rentgenové záření, vznikají při interakci rychlých elektronů s hmotou a díky své velmi krátké vlnové délce jsou schopny prozářit lidské tělo. Za tento objev získal jako vůbec první člověk roku 1901 Nobelovu cenu za fyziku.[3] Při průchodu paprsků různými vnitřními orgány dochází v závislosti na jejich biochemickém složení k tlumení paprsků. Jejich analýzou můžeme do značné míry rekonstruovat složení pacientova těla – na tomto principu funguje klasický rentgen.
Nedostatky rentgenu však spočívají v tom, že jednotlivé orgány jsou zobrazeny sumárně, překrývají se. Nejsme tedy schopni vždy jednoznačně určit, kterými orgány rentgenový paprsek prošel a touto metodou nelze vytvořit skutečný „anatomický“ řez těla.
Vyřešit tento problém se podařilo až se zavedením počítačů do lékařské diagnostiky koncem šedesátých let. Za vynálezce výpočetní tomografie se považuje Brit Godfrey Newbold Hounsfield. První prototypy byly vyvíjeny v druhé polovině 60. let 20. století a první klinický prototyp byl představen 1. října 1971 ve výzkumných laboratořích EMI. Nezávisle na Hounsfieldovi stejný objev učinil Američan Allan McLeod Cormack z Tufts University a v roce 1979 oba dva taktéž získali Nobelovu cenu.
Princip

Pacient leží na pohyblivém lůžku, v prstenci přístroje kolem něj po kruhové trajektorii obíhá zařízení složené z rentgenky a detektorů. Brzdné záření, které je emitováno na anodě rentgenky, prochází vyšetřovaným objektem a po dopadu na detektor je zaznamenána intenzita dopadajícího záření (která je po průchodu objektem vždy menší než intenzita vyzářená).
Vztah mezi vstupní a výstupní intenzitou rentgenového záření je dán vztahem
- ,
kde I0 je hodnota vstupní intenzity záření, I je hodnota výstupní intenzity, d je tloušťka materiálu a μ je lineární součinitel zeslabení (ČSN ISO 31-10). Nejvíce se záření zeslabuje/absorbuje v kostech, méně v měkkých tkáních např. v játrech nebo ledvinách a nejméně v tukových vrstvách a plicích.
Zkoumaný objekt je prozářen z nejrůznějších úhlů v jedné rovině, čímž získáme zpravidla několik set projekcí. Úkolem výkonného počítače, který bývá součástí tomografu, je zrekonstruovat plošný řez vyšetřovaným objektem. Tento problém v zásadě spočívá ve vyřešení (= vypočítání) velké soustavy rovnic. Vyšetřovaný řez je tedy pokryt maticí objemových elementů, tzv. voxelů, a výsledek řešení soustavy rovnic spočívá v přiřazení skutečného koeficientu oslabení/absorpce každému voxelu.

V praxi se k řešení této úlohy, tzv. obrazové rekonstrukce, používá Radonova transformace a zpětná Radonova transformace. Radonova transformace, znázorněná na obrázku, se používá ve tvaru
- ,
kde f(x,y) reprezentuje μ(x,y), r je x pozice rentgenky a θ je úhel natočení rentgenky.
Lze odvodit i zpětnou Radonovu transformaci a podle tzv. řezového teorému můžeme získat dokonalý obraz člověka, pokud budeme mít nekonečný počet projekcí (tedy pro všechny úhly). Nicméně v praxi se toto nepoužívá, jelikož Radonova transformace se ukazuje být značně nestabilní, pokud projekce obsahují šum. Z tohoto důvodu se tedy namísto zpětné Radonovy transformace používá tzv. metoda filtrované projekce.
Realizace

Výpočetní tomografy jsou realizovány pomocí dvou konstrukčních principů, a to pomocí konstrukce vějířové, nebo kruhové. Rozdíl mezi nimi spočívá v tom, že u vějířového přístroje se otáčí jak rentgenka, tak detektorová soustava. U kruhového přístroje se otáčí pouze rentgenka, a detektory jsou umístěné po celém obvodu přístroje. V praxi se používá téměř výhradně konstrukce vějířové, vzhledem k tomu, že díky kolimátorovým lamelám jsme schopni zamezit dopadu nežádoucích, odražených paprsků.
Až do počátku devadesátých let byla používána rotační metoda, kdy se vždy provedlo jedno otočení celé soustavy, lehátko s pacientem se posunulo o kousek dále a znovu bylo provedeno jedno otočení soustavy. Vzhledem k tomu, že takové vyšetření probíhalo poměrně dlouho, a pacient volně dýchal, docházelo ke značnému rozmazání výsledného obrazu. V poslední době se proto začíná používat metody helikální, nikoli spirálovité, jak se často uvádí, kdy se lůžko s pacientem pohybuje rovnoměrným pohybem skrz prstenec přístroje (tzv. gantry) za současné rotace rentgenky.
Diagnostické použití v lékařství
Od svého vzniku v 70. letech 20. století se výpočetní tomografie stala důležitým nástrojem v lékařském zobrazování jako doplněk rentgenu a ultrazvuku. Přestože je stále poměrně drahá, stala se využívaným standardem v diagnóze velkého množství různých nemocí. V poslední době se začala rovněž používat v preventivní medicíně nebo pro vyšetřování nemocí, například pacientů s vysokým rizikem rakoviny tlustého střeva. Ačkoliv některé instituce nabízejí pro širokou veřejnost snímek celého těla, je tato praxe kontroverzní kvůli nedostatku prokázaných přínosů, nákladům, vystavení se záření a riziku nalezení náhodných změn, které mohou vést k dalším vyšetřením.
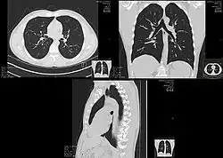
Hrudník


Výpočetní tomografie je výborná pro odhalování jak akutních, tak chronických změn v plicním parenchymu (vnitřní tkáň orgánů, v tomto případě plic). Běžné dvourozměrné rentgenové snímky totiž poruchy vnitřní tkáně zobrazí jen velmi nezřetelně nebo je nezobrazí vůbec. Používá se celá škála různých technik podle očekávaného nálezu. Pro vyhodnocování chronických intersticiálních procesů (rozedma, fibróza atd.) se používají tenké řezy s rekonstrukcemi o vysokých prostorových frekvencích. Pacient se často snímkuje při výdechu a nádechu. Tato speciální technika se nazývá výpočetní tomografie s vysokou rozlišovací schopností (HRCT).
Pro diagnostiku nemocí jako zápal plic nebo rakovina plic stačí poměrně tlusté řezy a mohou se použít všeobecné rekonstrukční postupy. Může se také použít nitrožilní kontrast, který zobrazuje anatomii a hranice velkých cév a usnadňuje posuzování mezihrudí a pupeční oblasti při zvětšení lymfatických uzlin. To je obzvlášť důležité při přesné diagnóze rakoviny.
Angiografie (zobrazování tepen) hrudníku se stává prvořadou metodou v diagnostice plicní embolie (PE) a aortální dissekce. Vyžaduje přesně časované injekce kontrastní látky a vysokorychlostní spirální tomografy.
Plicní angiografie
CT plicní angiografie (CTPA) je lékařský diagnostický test používaný k diagnóze plicní embolie (PE). Využívá výpočetní tomografii pro získání obrázku plicních tepen.
Je to upřednostňovaná metoda zobrazování při diagnóze PE díky své minimální zátěži pro pacienta, protože jediným požadavkem je kanyla. Před požadavkem na tento test se většinou ještě provádí krevní zkouška na D-dimer a rentgen hrudníku, aby se vyloučily jiné možné diagnózy.
Pro tento test je optimální multidetektorová tomografie, která poskytuje dobré rozlišení a kvalitu zobrazení. Snímky se většinou provádí s tloušťkou řezu 0.625 mm (přestože dostatečné jsou 2 mm). 50–100 ml kontrastní látky se podá pacientovi rychlostí 4 ml/s.
Tomografy jsou v současnosti natolik propracované, že takový test se dá provést během pětiminutové návštěvy pacienta a čas skenování činí jen 5 sekund nebo méně.
Běžný snímek ze CTPA ukáže plicní tepny vyplněné kontrastní látkou, které vypadají bíle. V ideálním případě by aorta měla být bez kontrastní látky, aby se zabránilo artefaktu z částečného objemu, který by mohl vyústit v chybnou pozitivní diagnózu. Jakékoliv objemové defekty jako je vmetek (embolus) se zobrazí tmavě tam, kde budou blokovat kontrastní látku.
Srdce
S příchodem rotace trvající méně než sekundu kombinované s víceřezovou výpočetní tomografií (až do 320 řezů) lze dosáhnout vysokého rozlišení a rychlosti současně. Toto umožňuje výborné zobrazování koronárních tepen (kardiální CT angiografie). Snímky s ještě vyšším časovým rozlišením se dají získat synchronizací s EKG. Při použití této techniky se každá část srdce zobrazuje vícekrát při současném zaznamenáváním EKG. EKG záznam se poté použije ke korelaci dat z výpočetní tomografie s odpovídající fází srdečních kontrakcí. Po provedení korelace se všechna data nasnímaná během doby, kdy se srdce pohybovalo (systola), ignorují a snímky se zhotoví jen ze zbývajících dat, která byla získána během doby, kde bylo srdce v klidu (diastola). Tímto způsobem mohou mít jednotlivé tomografické snímky ještě vyšší časové rozlišení než doba nejkratší rotace detektoru a zdroje.
Protože srdce se zobrazuje více než jednou (jak je popsáno výše), kardiální CT angiografie vede k relativně vysoké dávce ozáření (kolem 12 mSv). Pro srovnání dávka při rentgenu plic je 0,02 mSv až 0,2 mSv a dávka z radiace přirozeného pozadí je zhruba 0,01 mSv za den. Kardiální CTA je tak rovnocenná zhruba 100 až 600 rentgenů plic nebo více než třem letem ozáření z přirozeného pozadí. Jsou k dispozici metody, které snižují velikost tohoto ozáření, jako je například snižování množství radiace na základě současného snímání EKG (modulace proudu rentgenky). Toto vede k výraznému snížení dávky záření za cenu možného snížení kvality obrázku při případných arytmiích srdce. Význam dávek ozáření při diagnostickém zobrazování nebyl ještě dokázán, ačkoliv možnost způsobení zvýšeného rizika rakoviny působí velké obavy. Toto riziko musí být vždy zváženo proti riziku a následkům, pokud by snímání nebylo provedeno a tak nebyl potenciálně diagnostikován významný zdravotní problém, jaký je třeba onemocnění koronárních tepen.
Nejmodernější tomografy disponující rotačním časem 0,28 s a časovým rozlišením 75 ms dokáží naskenovat celé srdce s dávkou kolem 1 mSv.
Je nejisté, zda tato metoda nahradí invazivní koronarografii. V současnosti se zdá, že největší využití CT spočívá spíše ve vyloučení koronární choroby než v jejím potvrzení. To je způsobeno tím, že tento test má vysokou citlivost (vyšší než 90 procent) a proto negativní výsledek testu znamená, že je velice nepravděpodobné, že by pacient měl koronární chorobu, a může podstoupit jiná vyšetření, která stanoví příčinu jeho hrudních symptomů. Toto se označuje jako negativní předpovědní hodnota. Pozitivní výsledek je méně jednoznačný a často se potvrzuje následnou invazivní angiografií. Pozitivní předpovědní hodnota kardiálního CTA se odhaduje na 82 procent a negativní předpovědní hodnota kolem 93 procent.
Dvouzdrojové tomografy, které byly uvedeny v roce 2005, umožňují vyšší časové rozlišení díky tomu, že snímají jeden řez pouze za polovinu rotace. Tím se zmenšuje rozmazání pohybem při vysokých hodnotách srdečního tepu a potenciálně umožňuje kratší doby zadržení dechu. To je obzvláště důležité pro nemocné pacienty, kteří mají problémy se zadržením dechu nebo nemohou brát léky pro snížení srdečního tepu.
Výhody v rychlosti tomografů s 64 řezy vedly velice rychle k tomu, že se tato zařízení stala minimálním standardem pro nově instalované tomografy zamýšlené pro kardiální účely. Od roku 2007 je na trhu přístroj s 320 řezy (16cm snímaného objemu), který umožňuje sejmutí srdce během půl otáčky (0,14s) a tedy nejen angiografii bez problémů se stitching artefakty (chyby obrazu vzniklé skládáním více obrazů dohromady) ale i funkční analýzu srdce, tzv. 4D snímání, kdy lze lékařsky hodnotit i dynamické jevy v srdci .
Od roku 2011 jsou na trhu dvoudetektorové CT přístroje 2×128 resp. 2×256 řad detektorů umožňující akvizici dat v rozsahu jednoho vyšetřovaného segmentu např. hrudník, pod 1s. Při tak rychlé akvizici již není nutné zadržovat dech. Samotné srdce lze zachytit celé za 0,6s a časové rozlišení je okolo 70ms. U rychlého režimu náběru dat zachycující srdce nebo hrudník, klesá dramaticky efektivní dávka a blíží se 1mSv.
Břišní dutina a pánev
.jpg)
Výpočetní tomografie je citlivá metoda pro diagnózu břišních onemocnění. Často se používá k určení stádia rakoviny a ke sledování jejího průběhu. Je to také užitečný test k vyšetření akutní břišní bolesti (především v dolních kvadrantech, zatímco ultrazvuk se používá při bolesti v pravém horním kvadrantu). Ledvinové kameny, zánět slepého střeva, zánět slinivky břišní, zánět divertikulu, břišní aortální výduť a ucpání střeva jsou onemocnění, která se snadno diagnostikují a vyhodnocují za použití výpočetní tomografie.
Ústní a/nebo konečníkové kontrastní látky se mohou použít podle účelu tomografie. Zředěná (2%) suspenze síranu barnatého se používá nejčastěji. Koncentrované preparáty síranu barya, které se používají při fluoroskopii (například baryový výplach) jsou příliš husté a způsobují značné artefakty na snímcích. Jodizované kontrastní látky se používají při kontraindikaci barya (například při podezření na zranění střev). Jiné látky se využívají pro optimalizaci zobrazení specifických orgánů, jako například plyn (vzduch nebo oxid uhličitý) vpravovaný konečníkem nebo tekutina (voda) pro studium tračníku, nebo voda podávaná ústně pro studium žaludku.
Progresivně se rozvíjejí metody zobrazení střev distenzí negativní kontrastní látkou zejména 2,5% roztokem Mannitolu. Většinou se pije 1,5 l frakcionovaně 45 minut. Následné zobrazení umožňuje daleko lépe hodnotit celou trávicí trubici, ale také ostatní orgány dutiny břišní a malé pánve.
Výpočetní tomografie má omezené využití ve vyhodnocování pánve. Zvláště pro ženskou pánev jsou upřednostňovanými metodami ultrazvuk a magnetická rezonance (MRI). Nicméně výpočetní tomografie pánve může být součástí snímkování břišní dutiny (například kvůli nádorům) a má rovněž využití při posuzování fraktur.
Výpočetní tomografie se rovněž používá při studiu osteoporózy společně s dvouenergetickou rentgenovou absorpciometrií (DXA). Jak CT, tak DXA mají své využití při hodnocení hustoty minerálů v kostech, která se používá k určení síly kostí, ačkoliv výsledky výpočetní tomografie nejsou ve vzájemném souladu s DXA. CT je mnohem dražší a vystavuje pacienty vyšším úrovním záření, proto se nepoužívá často.
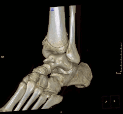
Končetiny

Výpočetní tomografie se používá k zobrazení složitých fraktur končetin, především kolem kloubů, protože dokáže rekonstruovat danou oblast v několika rovinách. Zlomeniny, zranění vazů a dislokace se dají snadno rozpoznat s rozlišením 0.2 mm.
Intervence
CT má vysokou anatomickou výpovědní hodnotu, proto se používá k navigacím nejrůznějších nevaskulárních intervenčních výkonů. Zejména radikulární obstřiky, drenáže kolekcí tekutiny, biopsie patologických lézí, provádění pod CT navigovaných vertebroplastik, spondyloplastik, radiofrekvenčních ablací, osteosyntéze apod.
Další použití
CT lze používat také v biomechanice při vytváření anatomických výpočtových modelů (CAD, MKP) a následné výrobě anatomických implantátů či modelů orgánů různými technologiemi včetně 3D tisku. Využívá se také v archeologii, paleontologii při zkoumání struktury fosilií, či při zkoumání geometrie vnitřních struktur uzavřených a obtížně měřitelných. Na následujících obrázcích je znázorněno stanovení anatomické geometrie a modulu pružnosti tibie pomocí CT.[2]
-
Nehomogenní materiál, lidská tibie (zpracování CT snímků, separace kostní tkáně od měkkých tkání, tvorba CAD/MKP modelu v sw MIMICS a získané rozložení modulu pružnosti)[2] -
Nehomogenní materiál, lidská tibie (zpracování CT snímků, separace kostní tkáně od měkkých tkání, tvorba CAD/MKP modelu v sw MIMICS a získané rozložení modulu pružnosti)[2]
Bezpečnost
Nevýhodou CT je vystavení stejnému druhu ionizujícího záření jako u běžného rentgenu, avšak v mnohonásobně vyšších dávkách. Dávka záření závisí na objemu zkoumané oblasti, fyzických vlastnostech pacienta, počtu a typu scanování, a požadované přesnosti a kvalitě zobrazení. Číselné dávky ozáření ukazuje pro vybrané druhy vyšetření následující tabulka.
Níže uvedená tabulka již neodpovídá aktuálním měřeným hodnotám.[zdroj?] Nově pořizovaná CT jsou výkonnější, mají citlivější detektory a celkově mají mnoho hardwarových i softwarových utilit, které vedou k výraznému poklesu celkové dávky. V současnosti není problém na nových CT vyšetřovat s 1/2 či až s 1/3 dávkami proti starším referenčním hodnotám, samozřejmě se zachováním stejné kvality výsledných pořízených snímků.
Je však zároveň nutné si uvědomit, že popsaná expozice je vždy braná na jednu akvizici dat (jeden sken, jeden průjezd skrz prstenec přístroje, tzv. gantry). Tedy pokud se vyšetřuje oblast dutiny břišní a malé pánve nativně, v arteriální fázi, žilní fázi a odložené, vylučovací, fázi, dávka je pak 4× větší. Tuto skutečnost musí každé CT pracoviště brát na zřetel, aby zbytečně neprovádělo skeny, které nejsou nezbytně nutné pro stanovení konkrétní diagnózy.
| Vyšetření | Běžná efektivní dávka (mSv) |
|---|---|
| Rentgen hrudi | 0,02 |
| CT hlavy | 1,5[4], 2,0[5] |
| CT břicha | 5,3[4] |
| CT hrudníku | 5,8[4], 6,9[6] |
| CT hrudníku, břicha a pánve | 9,9[4], 17,2[7] |
| Srdeční CT angiogram | 6,7–13[8] |
| CT vyšetření tlustého střeva | 3,6–8,8 |
Podle studie z roku 2025 mohou CT vyšetření v USA za vznikem 5 % rakovin.[9]
Odkazy
Reference
- ↑ SCHAMBACH, Sebastian J.; BAG, Simona; SCHILLING, Lothar. Application of micro-CT in small animal imaging. Methods. Roč. 50, čís. 1, s. 2–13. Dostupné online [cit. 2017-09-26]. doi:10.1016/j.ymeth.2009.08.007.
- ↑ a b c d FRYDRÝŠEK, Karel. Biomechanika 1. 1. vyd. Ostrava: VSB – Technical University of Ostrava, Faculty of Mechanical Engineering, Department of Applied Mechanics, 2019. 461 s. ISBN 978-80-248-4263-9.
- ↑ The Nobel Prize in Physics 1901. NobelPrize.org [online]. [cit. 2024-10-08]. Dostupné online. (anglicky)
- ↑ a b c d Shrimpton, P.C; Miller, H.C; Lewis, M.A; Dunn, M. Doses from Computed Tomography (CT) examinations in the UK - 2003 Review Archivováno 22. 9. 2011 na Wayback Machine.
- ↑ Biologické účinky ionizujícího záření a radiační ochrana. unm.lf1.cuni.cz [online]. [cit. 2025-04-21]. Dostupné online.
- ↑ Stručný přehled biologických účinků záření. sujb.gov.cz [online]. [cit. 2025-04-21]. Dostupné online.
- ↑ TyPICKé hODNOTy efeKTIVNíCh DáVeK z rentgenových vyšetření. www.suro.cz [online]. 2016 [cit. 2025-04-21]. Dostupné online.
- ↑ Radiation Exposure during Cardiac CT: Effective Doses at Multi–Detector Row CT and Electron-Beam CT [online]. Radiology.rsnajnls.org, 2002-11-21 [cit. 2009-10-13]. Dostupné online.
- ↑ Skenování pomocí výpočetní tomografie může být příčinou až 5 % všech případů rakoviny. vtm.zive.cz [online]. [cit. 2025-04-21]. Dostupné online.
Literatura
- Zuna I., Poušek L: Úvod do zobrazovacích metod v lékařské diagnostice. Vydavatelství ČVUT, Praha 2000
- Radonova transformace na serveru MathWorld
- Jaderná fyzika a fyzika ionizujícího záření
- sekce Diagnostické použití je založena na překladu anglického článku
Související články
Externí odkazy
Obrázky, zvuky či videa k tématu počítačová tomografie na Wikimedia Commons - Atlas radiologických obrázků na atlas.mudr.org. Velké množství radiologických obrázků setříděných podle metody, vyšetřované části těla, orgánu, krátký popis patologie v anglickém jazyce.
- Maximální množství jodové kontrastní látky, které lze jednorázově podat – kalkulačka
- Vyšetření výpočetní tomografií na Klinice zobrazovacích metod Fakultní nemocnice Plzeň
- Výpočetní tomografie – CT Cases.net