Kůra nadledvin
| Kůra nadledvin | |
|---|---|
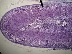
Šipka ukazuje na kůru nadledvin člověka, jak je viděna ve světelném mikroskopu, barvení hematoxylin-eosin. | |
| Latinsky | cortex glandulae suprarenalis, substantia corticalis glandulae suprarenalis |
| Soustava | endokrinní soustava |
| Tepny | nadledvinová tepna horní, střední a dolní, lat. arteria suprarenalis superior, media et inferior. |
| Žíly | nadledvinová žíla, lat. vena suprarenalis |
| Nervy | plexus suprarenalis |
| Lymfy | bederní mízní uzliny, lat. nodi lymphatici lumbales |
| Prekurzor | mesoderm |
| MeSH | D000302 |
| Gray | 1278 |
Kůra nadledvin lat. cortex glandulae suprarenalis, je párová žláza s vnitřní sekrecí, která tvoří až 90 % objemu nadledvin,[1][2] Je součástí řídícího systému hypotalamus – hypofýza – kůra nadledvin, produkuje steroidní hormony, které zasahují do metabolismu sacharidů, bílkovin i tuků, ovlivňují reakci organismu na stres, řídí hospodaření s vodou a minerálními látkami a umožňují tak udržení stálého vnitřního prostředí.
Hormony kůry nadledvin se podle hlavního účinku na organismus dělí na tři velké skupiny: mineralokortikoidy, glukokortikoidy a androgeny.[3] Mineralokortikoidy řídí hladinu sodíku a draslíku v krvi a udržují normální objem extracelulární tekutiny v těle, kortikosteroidy zvyšují úroveň glukoneogeneze a podporují tvorbu glykogenu, působí katabolicky a podporují lipolýzu. Androgeny kůry nadledvin mají jen slabý účinek, ale v periferních tkáních se mohou přeměnit na testosteron a dihydrotestosteron.[1]
Vnitřní složení kůry

Kůra nadledvin tvoří většinu objemu nadledviny. Jen střed nadledviny vyplňuje dřeň. Přechod je ostrý a na řezu dobře patrný. Makroskopicky má kůra nadledvin žlutou barvu, obsahuje totiž velké množství tuku.[1][4]
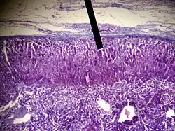
Mikroskopicky je už při malém zvětšení patrná výrazná zonace, buňky kůry nadledvin jsou uspořádané do tří koncentrických vrstev. Zonace není jenom anatomická, ale i funkční, buňky různých vrstev produkují různé hormony. Jednotlivé vrstvy nicméně nejsou přesně ohraničené.
Zona glomerulosa

Zona glomerulosa je zónou vnější, nacházející se těsně pod pouzdrem nadledviny. Tvoří 10-15 % tkáně kůry nadledviny.[2] Buňky této zóny jsou sloupovitého tvaru, obsahují jen malé množství tukových kapének a dobře vyvinuté hladké endoplasmatické retikulum.[2] Jejich jádra se při histologickém barvení barví výrazně tmavě.[5] Jsou uspořádány v nepravidelných obloukovitých trámcích.[2] V okolí buněk je řídké vazivo, ve kterém vede mnoho krevních vlásečnic.[2]
Zde jsou produkovány mineralokortikoidy, z nichž nejdůležitější je aldosteron.[1][3]
Buňky této zóny jsou nezávislé na ACTH, ale spadají především pod vliv angiotenzinu II.[1] Kromě renin-angiotenzinogenového systému se regulace buněk účastní také draslík.[3] ACTH má na funkci buněk v zona glomerulosa jen malý vliv.
Navázáním angiotenzinu II na receptory buněk v zona glomerulosa se stimuluje přeměna cholesterolu na pregnenolon a kortikosteronu na 18-hydroxykortikosteron a dále na aldosteron. Produkci aldosteronu podobným způsobem stimuluje také zvýšení koncentrace draslíku v krevní plasmě.[3]
Syntéza hormonů začíná odštěpením postranního řetězce cholesterolu za vzniku pregnenolonu, který je v endoplasmatickém retikulu konvertován na progesteron, ten je hydroxylován na 11-deoxykortikosteron, DOC. Tato látka má mineralokortikoidní účinek.[3]
Dalším v pořadí je kortikosteron, který vzniká hydroxylací DOC, ten je spíš glukokortikoidem a mineralokortikoidní účinek má jen slabý.[3] Zona glomerulosa je výjimečná přítomností cytosolového enzymu 18-hydroxylázy, která dále hydroxyluje kortikosteron na 18-hydroxykortikosteron, ten následně sám přesmykuje na aldosteon, nejsilnější přirozený mineralokortikoid.
Mineralokortikoidy omezují vylučování sodíku ledvinami, naopak podporují vylučování draslíku, vodíkových a amonných iontů.[3] To v důsledku vede k zadržování vody v organismu, zvýšení objemu krve a zvýšení krevního tlaku.[1]
Zona fasciculata

Zona fasciculata je prostřední vrstvou buněk a u člověka je vrstvou nejsilnější,[6]tvoří 75 % jejího objemu.[2] Je tvořena buňkami ve tvaru mnohostěnu, které se na histologických preparátech obvykle jeví jako "prázdné" či vyplněné pěnou, to proto, že obsahují velké množství tukových kapének, a tuk se během preparace odplaví a nebarví se.[6][2][5] Buňky v zona fasciculata jsou uspořádané do příčných rovných sloupců, mezi kterými probíhají fenestrované krevní kapiláry.[2]
Procesy v této zóně jsou řízené hormonem ACTH, produkovaným v hypofýze. Buňky v klidu skladují cholesterol v tukových kapénkách v cytoplasmě, teprve stimulace ACTH způsobí uvolnění cholesterolu do cytoplasmy, ten je přesunut to mitochondrií a enzymem navázaných na P-450 je odštěpen postranní řetězec cholesterolu za vzniku pregnenolonu.[3] Následně dochází k sérii hydroxylací. Nejčastěji je pregnenolon nejprve hydroxylován na 17-hydroxypregnenolon 17α-hydroxylázou, z něhož další hydroxylací vzniká 11-deoxykortizol a z něj pak kortizol, hlavní lidský glukokortikoid.[3] Alternativní cestou je pregnenolon hydroxylován nejprve na progesteron a z něj pak na 11-deoxykortikosteron a kortikosteron, který má slabší glukokortikoidní účinek.[3]
Glukokortikoidy určitým způsobem ovlivňují genovou expresi v cílových buňkách. Zvyšují výrobu glukózy v játrech, v menších koncentracích mají anabolický účinek, ve větších pak katabolický, podporují lipolýzu v periferních částech těla, ale mohou navodit ukládání tuků na trupu, potlačují zánětlivou odpověď, účastní se i regulace krevního tlaku a srdečního výdeje a rovnováhy vody a mají nezastupitelnou funkci v adaptační fázi stresu.[3]
Množství produkovaných glukokortikoidů je řízeno klasickým zpětnovazebných mechanismem.
Zona reticularis
Zona reticularis je užší než zona fasciculata, ale širší než zona glomerulosa.[2] Buňky v této vrstvě jsou menší a uspořádány do nepravidelných provazců, které se spojují do podoby sítě a jsou obklopené fenestrovanými vlásečnicemi. Obsahují hnědý pigment lipofuscin.[2] Zde jsou syntetizovány glukokortikoidy podobným mechanismem jako v zona fasciculata, a dále androgeny, především dehydroepiandrosteron (DHEA) a malé množství testosteronu.[3]
Kůra nadledvin před narozením
Kůra nadledvin vzniká z buněk mezotelu, které v průběhu pátého týdne nitroděložního vývoje prorůstají do retroperitoneálního mezenchymu u předního pólu mezonefros, embryonální ledviny.[2] Takto vzniklá primitivní kůra nadledvin je časem obrostlá druhou vlnou migrujících původně mezoteliálních buněk. Z primitivní kůry se stane fetální kůra, která přetrvává po celou dobu nitroděložního vývoje.[2] Zona glomerulosa a fasciculata se rozvíjí až po narození působením ACTH a fetální kůra je nahrazována dospělou kůrou až během prvního roku života.[2] Zona reticulatis vzniká až ve třetím roce věku.
Hned po svém vzniku začíná kůra nadledvin produkovat dehydroepiandrosteron, ze kterého je v placentě syntetizován estrogen.[2] Na konci nitroděložního vývoje je kůra nadledvin relativně větší než u dospělého člověka.[2] Přítomnost glukokortikoidů během vývoje je nutná ke vzniku funkční osy hypotalamus-hypofýza-nadledviny, k vytvoření sufraktantu v plicích a k zahájení involuce brzlíku.[2]
Kůra nadledvin u zvířat
Výše uvedené platí pro člověka, u zvířat jsou poměry odlišné. I u ostatních savců, kteří mají nadledvinu též uspořádanou v kůru a dřeň, se přesný vzhled a velikost jednotlivých zón liší a rozdíly jsou i v produkci a účinku jednotlivých hormonů. Například u hlodavců je hlavním glukokortikoidem kortikosteron, ne kortizol.[3]
Protože kůra a dřeň nadledvin mají odlišný původ a pouze u savců tvoří společný orgán, nadledvinu. U paryb jsou dřeň a kůra odděleny a tvoří samostatné orgány, u plazů se k sobě "dřeň" a "kůra" přikládají na jedné straně.[4]
U ptáků přechází tkáň kůry a dřeně jedna ve druhou, proto se u nich popisuje jen korová část, pars corticalis gl. adrenalis.[7] Je tvořena pruhy tvořené dvěma vrstvami cylindrických eosinofilních buněk, s výraznými vakuolami v cytoplasmě, které obsahují karotenoidy, proto má ptačí nadledvina žlutavou, oranžovou nebo narůžovělou barvu.[7] Korová část se podle velikosti buněk a jejich funkce – jestli produkují mineralokortikoidy nebo glukokortikoidy – rozděluje na subkapsulání a vnitřní zónu.[7]
Odkazy
Literatura
- KÜHNEL, Wolfgang. Color Atlas of Cytology, Histology, and Microscopic Anatomy. New York: Thieme, 2003. 534 s. ISBN 3-13-562404-8.
- KIERSZENBAUM, Abraham L.; TRES, Laura L. Histology and Cell Biology. 3. vyd. Philadephia: 9780323078429, 2012. 720 s. Dostupné online. ISBN 978-0323078429.
- MURRAY, K. Harperova biochemie. Praha: H & H, 2002. 872 s. ISBN 80-7319-013-3.
- TROJAN, Stanislav, a kol. Lékařská fyziologie. 4. vyd. Praha: Grada, 2003. 771 s. ISBN 80-247-0512-5.
- ČERNÝ, Hugo. Anatomie domácích ptáků. Brno: Metoda, 2005. 447 s. ISBN 80-239-4966-7.
Externí odkazy
Obrázky, zvuky či videa k tématu kůra nadledvin na Wikimedia Commons
Reference
- ↑ a b c d e f TROJAN, Stanislav, a kol. Lékařská fyziologie. 4. vyd. Praha: Grada, 2003. 771 s. ISBN 80-247-0512-5. Kapitola Žlázy regulované tropiny adenohypofýzy, s. 497–499.
- ↑ a b c d e f g h i j k l m n o p KIERSZENBAUM, Abraham L.; TRES, Laura L. Histology and Cell Biology. 3. vyd. Philadephia: 9780323078429, 2012. 720 s. Dostupné online. ISBN 978-0323078429. Kapitola Adrenal gland, s. 567. (anglicky)
- ↑ a b c d e f g h i j k l m MURRAY, K. Harperova biochemie. Praha: H & H, 2002. 872 s. ISBN 80-7319-013-3. Kapitola Hormony kůry nadledvin, s. 548–561.
- ↑ a b Adrenals [online]. Endocrinology Topics [cit. 2013-12-27]. Dostupné online. (anglicky)
- ↑ a b KÜHNEL, Wolfgang. Color Atlas of Cytology, Histology, and Microscopic Anatomy. New York: Thieme, 2003. 534 s. Dostupné online. ISBN 3-13-562404-8. Kapitola Adrenal gland - glandula suprarenalis, s. 260. (anglicky)
- ↑ a b BOWEN, R. Histology of the Adrenal Cortex [online]. Colorado State University, rev. 3.6.1998 [cit. 2013-12-27]. Dostupné v archivu pořízeném dne 2015-07-04. (anglicky)
- ↑ a b c ČERNÝ, Hugo. Anatomie domácích ptáků. Brno: Metoda, 2005. 447 s. ISBN 80-239-4966-7. Kapitola Nadledvina, s. 320–321.