Dřeň nadledvin
| Dřeň nadledvin | |
|---|---|
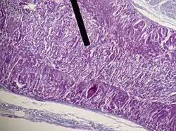
Šipka ukazuje na dřeň nadledvin člověka, jak je viděna ve světelném mikroskopu, barvení hematoxylin-eosin. | |
| Latinsky | medulla glandulae suprarenalis, substantia medullaris glandulae suprarenalis |
| Soustava | endokrinní soustava |
| Tepny | nadledvinová tepna horní, střední a dolní, lat. arteria suprarenalis superior, media et inferior. |
| Žíly | nadledvinová žíla, lat. vena suprarenalis |
| Nervy | plexus suprarenalis |
| Lymfy | bederní mízní uzliny, lat. nodi lymphatici lumbales |
| Prekurzor | neuroektoderm |
| MeSH | D000313 |
| Gray | 1278 |
Dřeň nadledvin, lat. medulla glandulae suprarenalis, je párová žláza s vnitřní sekrecí. Jedná se o modifikované sympatické ganglion, vychází tedy z nervové soustavy.[1][2][3] Buňky dřeně nadledvin produkují katecholaminy, především adrenalin a noradrenalin, v malém množství také dopamin.[2][4][3] Dřeň nadledvin je součástí tzv. sympatoadrenálního systému a je prvním orgánem, který reaguje na zátěžové situace a spouští poplachovou reakci stresu.[4]
Struktura
Dřeň nadledvin je uložena uvnitř nadledvin a tvoří asi 10 % jejich objemu.[4] Je tvořena nepravidelnými trámci buněk, spíše shluky buněk nahloučených kolem kapilárních sinusoid, navzájem propojených krevních vlásečnic. Tyto buňky jsou velké, hranatého tvaru, s bazofilní, jemně zrnitou cytoplasmou. Zrna v cytoplasmě obsahují katecholaminy. Protože v přítomnosti kyseliny chromisté[4] či dichromanu draselného[3] jsou katecholaminy oxidovány na melanin, je-li histologický preparát barvený chromovými barvivy, zrna uvnitř buněk zhnědnou.[5] Toto dalo buňkám dřeně nadledvin jméno, jsou označovány jako buňky chromafinní, nebo též feochromocyty.[5][4] Chromafinní buňky jsou změněné postgangliové neurony, které ztratily axony, ale jinak zůstávají trvale připojené k výběžkům sympatických pregangliových neuronů a tím pádem k celé centrální nervové soustavě.[5][4][2] Pregangliové sympatické neurony na svých synapsích s chromafinními buňkami uvolňují acetylcholin a enkefaliny.[4] Chromafinní buňky v reakci vylučují katecholaminy přímo do krve.
Chromafinní buňky jsou dvojího typu, přičemž vnější rozdíly jsou v morfologii zrn vázaných na membránu, což je patrné v elektronovém mikroskopu.[2] Liší se však produkovanými katecholaminy: 80 % chromafinních buněk syntetizuje adrenalin a zbývajících 20 % tvoří noradrenalin.[2]
Malé množství tkáně dřeně nadledvin tvoří také řídké vazivo tvořící podpůrnou tkáň a shluky pregangliových sympatických neuronů.[1][5]
Funkce
.png)
Hlavním produktem dřeně nadledvin je adrenalin, ten vzniká pouze ve dřeni a není tvořen mimo ní. Naproti tomu noradrenalin se ve většině orgánů inervovaných sympatikem tvoří rovnou na místě, nebo má původ v jiných nervových zakončeních.[3]
Katecholaminy vznikají z aminokyseliny tyrosinu. Ten je nejprve v cytosolu chromafinních buněk přeměněn enzymem tyrosinhydroxylázou na L-dihydroxenylalanin, zkráceně zvaný L-dopa, který pak enzym dopa-dekarboxyláza přemění na dopamin. Dopamin je uložen v granulích v cytoplasmě a zde je z něj vyroben noradrenalin enzymem dopamin-beta-hydroxalázou. V posledním kroku noradrenalin opouští granula, vrací se do cytoplasmy a je přeměněn na adrenalin v reakci, která vyžaduje enzym fenylethanolamin-N-methyltransferázu, neboli FNMT. Syntéza samotné FNMT je podmíněná působením glukokortikoidů. Hotový adrenalin je uskladněný v granulech.[3]
Sekrece granul je spouštěna uvolněním acetylcholinu z pregangliových neuronů. Dochází ke splynutí membrány granul a membrány cytoplasmatické, k exocytóze, a k uvolnění obsahu granul do okolí buňky a vzápětí i do krevního oběhu. Buňky dřeně nadledvin nemají schopnost zpětného vychytávání již uvolněných katecholaminů.[3] Samotné pregangliové neurony jsou přes splanchnický nerv řízené z hypotalamu a mozkového kmene.[3]
Role dřeně nadledvin při akutním stresu
Stres je nespecifická reakce organismu na zátěžové vlivy. První fází stresu je poplachová reakce a právě té se účastní dřeň nadledvin. Aktivací dojde k vyplavení katecholaminů do krve. Ty se vážou na adrenergní receptory v různých tkáních a způsobují okamžitou reakci spočívající ve zvýšení krevního tlaku, srdeční frekvence, glykogenolýze a lipolýze, která připravuje organismus na "boj nebo útěk".[4]
Embryonální vývoj dřeně nadledvin
Dřeň nadledvin vzniká z buněk neurální lišty. Během pátého týdne nitroděložního vývoje vzniká na horním pólu budoucí ledviny primitivní kůra nadledvin, do které se v sedmém týdnu z vnitřní strany vtlačí masa buněk migrujících z neurální lišty a vytvoří tak dřeň.[2]
Dřeň nadledvin u zvířat
Dřeň a kůra nadledvin mají odlišný původ a pouze u savců tvoří takto uspořádaný orgán, nadledvinu. U paryb jsou dřeň a kůra odděleny a tvoří samostatné orgány, u plazů se k sobě "dřeň" a "kůra" přikládají na jedné straně.[6]
U ptáků přechází tkáň kůry a dřeně jedna ve druhou, proto se u nich popisuje jen dřeňová část, pars medullaris gl. adrenalis.[7] Je tvořená velkými bazofilními buňkami s chromafinními granulemi v cytoplasmě, které tvoří pruhy pronikající mezi buňky korové části, mezi kterými jsou nápadné svou velikostí.[7]
Odkazy
Literatura
- KÜHNEL, Wolfgang. Color Atlas of Cytology, Histology, and Microscopic Anatomy. New York: Thieme, 2003. 534 s. ISBN 3-13-562404-8.
- KIERSZENBAUM, Abraham L.; TRES, Laura L. Histology and Cell Biology. 3. vyd. Philadephia: 9780323078429, 2012. 720 s. Dostupné online. ISBN 978-0323078429.
- MURRAY, K. Harperova biochemie. Praha: H & H, 2002. 872 s. ISBN 80-7319-013-3.
- TROJAN, Stanislav, a kol. Lékařská fyziologie. 4. vyd. Praha: Grada, 2003. 771 s. ISBN 80-247-0512-5.
- ČERNÝ, Hugo. Anatomie domácích ptáků. Brno: Metoda, 2005. 447 s. ISBN 80-239-4966-7.
Reference
- ↑ a b KÜHNEL, Wolfgang. Color Atlas of Cytology, Histology, and Microscopic Anatomy. New York: Thieme, 2003. 534 s. Dostupné online. ISBN 3-13-562404-8. Kapitola Medulla of the adrenal gland, s. 260. (anglicky)
- ↑ a b c d e f KIERSZENBAUM, Abraham L.; TRES, Laura L. Histology and Cell Biology. 3. vyd. Philadephia: 9780323078429, 2012. 720 s. Dostupné online. ISBN 978-0323078429. Kapitola Adrenal gland, s. 567. (anglicky)
- ↑ a b c d e f g MURRAY, K. Harperova biochemie. Praha: H & H, 2002. 872 s. ISBN 80-7319-013-3. Kapitola Hormony dřeně nadledvin, s. 562–563.
- ↑ a b c d e f g h TROJAN, Stanislav, a kol. Lékařská fyziologie. 4. vyd. Praha: Grada, 2003. 771 s. ISBN 80-247-0512-5. Kapitola Reflexní regulace, s. 502–503.
- ↑ a b c d BOWEN, R. Histology of the Adrenal Medulla [online]. Colorado State University, rev. 3.6.1998 [cit. 2013-12-27]. Dostupné v archivu pořízeném dne 2014-05-16. (anglicky)
- ↑ Adrenals [online]. Endocrinology Topics [cit. 2013-12-27]. Dostupné online. (anglicky)
- ↑ a b ČERNÝ, Hugo. Anatomie domácích ptáků. Brno: Metoda, 2005. 447 s. ISBN 80-239-4966-7. Kapitola Nadledvina, s. 320–321.