Hepatitida

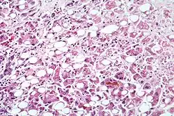
Mikroskopický snímek jater, která byla poškozena hepatitidou způsobenou nadměrným pitím alkoholu.

Hepatitida (latinsky hepatitis) je zánět jater. Může být infekční nebo neinfekční povahy, akutní či chronický.

Chronické záněty jater

Pokud zánět jater přechází do chronicity, dochází v játrech nejprve k takzvané fibróze a posléze i cirhóze. V játrech vznikají drobounké jizvičky, které se zacelují kožovitou hmotou na úkor původní jaterní tkáně. Játra jsou jako funkční orgán značně naddimenzována a uvádí se, že na pročištění krve pro celý organizmus by pravděpodobně stačila jen desetina jater.[zdroj?] Může to trvat měsíce až roky než dojde k cirhóze. V závěrečných stádiích cirhózy dochází k selhání jater a prudce se zvyšuje riziko onemocnění jater rakovinou.

Související články

Externí odkazy

  • Obrázky, zvuky či videa k tématu hepatitida na Wikimedia Commons
  • Slovníkové heslo hepatitis ve Wikislovníku
Wikipedie neručí za správnost lékařských informací v tomto článku. V případě potřeby vyhledejte lékaře!
Přečtěte si prosím pokyny pro využití článků o zdravotnictví.