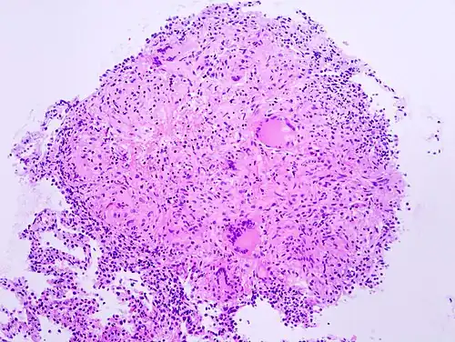
Granulom
_TBLB.jpg)
Granulom neboli granulomatózní zánět je zvláštní typ chronického zánětu, při kterém převažují v zánětlivém výpotku aktivované makrofágy epiteloidního vzhledu a lymfocyty a ojedinělé plasmatické buňky. Epiteloidní makrofágy se mohou často spojovat a vytvářet tak mnohojaderné buňky různé velikosti. Typickým příkladem granulomatózního zánětu jsou infekce vyvolané mykobaktériemi – tuberkulóza.
Dělení granulomů dle patogeneze
- Granulomy z cizích těles – jsou způsobeny proniknutím cizího tělesa do organismu. Jedná se o látky nemající antigenní povahu, neprovokují tedy imunitní reakci. Mezi cizí tělesa patří extracelulární lipidy, různé polymery, keratin, křemičité sloučeniny.
- Imunitní (infekční) granulomy – jsou vyvolány bakteriemi, často intracelulárními mikroorganismy. Nejčastěji se jedná o infekce bakteriemi rodu Mycobacterium, Actinomyces, Nokardia, Pseudomonas, Yersinia, Salmonella, Chlamydia, Treponema, Klebsiella. Dále se na tvorbě granulomů podílí celá řada parazitů (Toxoplasma gondii, Schistosoma spp., Toxocara spp., atd.)
Použitá literatura
- Halouzka, R., Jelínek, F., 1996. Obecná veterinární patologie. Ediční středisko VFU, Brno, 161 pp.
Související články
Externí odkazy
Obrázky, zvuky či videa k tématu Granulom na Wikimedia Commons
Portály: Medicína