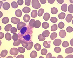
Eosinofilní granulocyt
.png)


Eosinofilní granulocyty, nebo také eozinofily, jsou buňky imunitního systému patřící do skupiny granulocytů. Mají charakteristickou morfologii, kdy jsou v cytoplasmě patrné četné granule a velké dvoulaločnaté jádro[1]. Název získaly podle charakteristických granulí v cytoplasmě, které se při barvení hematoxylinem-eosinem barví eosinem do červena[2]. Stejné barvení odlišilo i ostatní granulocyty, kdy jsou basofily zbarveny do modra a neutrofily do růžova[3]. Průměr buněk se pohybuje mezi 12–17 µm[1].
Výskyt a vývoj
Eosinofilní granulocyty jsou terminálně diferenciované buňky z hematopoetických kmenových buněk. Vznikají z myeloidních prekursorů ze společného progenitoru granulocytů a makrofágů. Vznikají v kostní dřeni za působení transkripčních faktorů C/EBP (CCAAT/enhancer-binding protein), GATA-1, PU.1 a FOG (friend of GATA). Rozhodující roli mají hlavně C/EBP a GATA-1[1]. Pro regulaci vývoje jsou důležité také IL-3, IL-5 a GM-CSF, z nichž nejspecifičtější je IL-5 , který reguluje jejich růst, diferenciaci a aktivaci[4].
Eosinofily vznikají v kostní dřeni a z ní jsou vyplavovány do krve, kde tvoří relativně nízké hladiny 1–3 % z počtu leukocytů. V krvi bývají 8–12 hodin[1]. Více se vyskytují ve tkáních, jako je lamina propria gastrointestinálního traktu, ve dřeni a na rozhraní dřeně a kůry brzlíku, vaječnících, slezině nebo lymfatických uzlinách. Do tkání jsou atrahovány chemokiny, z nichž nejvýznamnější, eotaxin-1, je konstitutivně exprimován ve střevech nebo brzlíku. V děloze je produkce chemoatraktantů, jako RANTES, eotaxin-1 a MIP-1α, a tím i eozinofilů, ovlivněna hladinou estrogenu. Do místa zánětu jsou eozinofily atrahovány cytokiny spojenými s Th2 odpovědí (IL-4, IL-13, IL-5) a adhezivními molekulami (integriny β1, β2 a β7)[5]. Ve tkáních bez aktivace přežívají 8–12 dní. Při alergických reakcích se jejich počet zvyšuje i v kůži, plicích a jícnu[1].
Obsah granulí
Eosinofily v cytoplasmě obsahují granule, které jsou schopné za určitých podmínek vypustit do prostředí[1]. Granule do prostředí vypouští regulovanou exocytózou a degranulací. Eosinofily jsou pak schopné i částečné degranulece, kdy z granulí vylučují specifické složky na základě určité stimulace. Příkladem je třeba stimulace eozinofilů pomocí IFN-γ, kdy se z granulí uvolňuje protein RANTES (známý také jako CCL5), aniž by došlo k uvolnění kationických proteinů[5].
Granule obsahují cytotoxické kationické proteiny, ale také chemokiny a cytokiny. Z kationických proteinů obsahují MBP (z anglického major basic protein), EDN (z angl. eosinophil-derived neurotoxin), EPO (eosinophil peroxidase), ECP (eosinophil cationic protein) nebo protein CLC (Charcot-Layden crystal)[1]. Jádro granulí bývá tvořeno MBP-1 a MBP-2, matrix pak ECP, EDN a EPO[4].
MBP (major basic protein)
MBP působí na kontrakci hladkých svalů přes M1 a M2 receptory. Svou aktivitou podporuje degranulaci histaminu z žírných buněk a basofilů, aktivuje i neutrofily a makrofágy. Cytotoxicky působí na parazitární helminty i na tkáně organismů v alergických reakcích. MBP je rovněž exprimován v děloze během těhotenství[6].
EPO (eosinophil peroxidase)
EPO tvoří 25% celkové hmotnosti granulí. Katalyzuje oxidaci pseudohalidů, halogenidů a NO, za vzniku reaktivních forem kyslíku (ROS, reactive oxygen species) a reaktivních metabolitů dusíku, které podporují oxidativní stres v buňkách a následně jejich smrt apoptózou nebo nekrózou[5].
ECP (eosinophil cationic protein)
ECP způsobuje citlivost k napětí na membránách a za pomoci iontově selektivních pórů v membránách buněk, usnadňuje vstup cytotoxických molekul do buňky. ECP dále potlačuje proliferaci T buněk a v B lymfocytech zamezuje produkci protilátek. Dále podporuje u žírných buněk degranulaci, v dýchacích cestách stimuluje sekreci hlenu, ve fibroblastech produkci glykosaminoglykanu. Společně s MBP a EPO je toxický pro tkáně srdce, mozku, nebo epitel průdušek. Společně s EDN má ribonukleázovou aktivitu a působí proti RNA virům[4].
NGF (nerve growth factor)
NGF je produkován eozinofily a podporuje přežití a funkce sympatických nervů. Působí i v imunitních reakcích, jelikož podporuje přežití a aktivaci žírných buněk, autokrinně pak působí i na eozinofily na aktivaci a uvolnění EPO[5].
Povrchové znaky
Eosinofilní granulocyty mají na svém povrchu chemokinový receptor CCR3, který je spřažený s G-proteiny a váže eotaxiny nebo CCL5[4]. Dále povrchový receptor pro cytokin IL-5 (IL-5Rα), jehož stimulací je regulována aktivace a diferenciace granulocytů[1]. Na povrchu eozinofilů je také histaminový receptor H4 nebo Siglec-8, patřící do skupiny lektinů[5].
Funkce
Eosinofilní granulocyty jsou zapojeny do různých zánětlivých procesů, předně v boji proti parazitárním helmintům, ale i v alergických reakcí[1]. Eosinofily degranulují v přítomnosti helmintů na základě rozpoznání přítomných protilátek nebo komplementu. Ochrannou roli mohou mít i proti RNA virům, granulární proteiny ECP a EDN fungují jako ribonukleázy, enzymy katalyzující štěpení jednořetězcové RNA. Účastní se ale také dalších procesů, jako je podpora vývoje mléčných žláz savců, obrana proti virovým infekcím nebo neuroplasie.[5]
Po aktivaci přes receptory pro cytokiny, případně imunoglobuliny, reagují sekrecí cytokinů (IL-2, IL-4, IL-5, IL-10, IL-12, IL-13, TNF-α, TGF-β, GM-CSF) chemokinů (eotaxin-1, RANTES, MIP-1α), lipidových mediátorů (leukotrieny, např. LTC4, prostaglandiny, př. PGE2). Jejich působením dochází k upregulaci adhezivních molekul, stahování hladké svaloviny nebo podpoře sekrece hlenu na sliznicích[4].
Důležitým obsahem granulí jsou kationtové proteiny (jako MBP, ECP, EPO, viz výše), které jsou schopné v tkáních působit dysfunkce a poškození. Eosinofily mají rovněž vysokou hladinu NADPH oxidázy a pomocí tvorby volných radikálů mohou v buňkách indukovat apoptózu.[5]
Eosinofilní granulocyty mohou působit jako antigen prezentující buňky. Jsou schopny fagocytózy, převážně prostřednictvím vazby IgE na jednobuněčných parazitech. Podporují přežití a zrání T lymfocytů vylučováním cytokinů (IL-2, IL-4, IL-6, IL-10 a IL-12) a podporují polarizaci T odpovědi k Th2 typu. Podporu Th2 zprostředkovávají i produkcí IDO (indolamin-2,3-dioxygenáza), který funguje jako enzym v metabolismu tryptofanu na kynurenin. Kynurenin pak podporuje apoptózu u Th1 buněk. Thymické eozinofily exprimují vysoké hladiny MHC gp. II a střední hladiny MHC gp. I a kostimulačních molekul (CD86, CD153) a účastní se negativní selekce. Do brzlíku jsou atrahovány eotaxinem-1, který je v brzlíku exprimován konstitutivně.[4]
Eosinofilní granulocyty podporují svou aktivitou degranulaci žírných buněk. MBP aktivuje žírné buňky k uvolnění histaminu, PGD2, GM-CSF, TNF-α a IL-8. Produkcí NGF pak eozinofily podporují přežití a aktivaci žírných buněk.[7]
Eosinofily a patologie
Eosinofilie označuje vysokou hladinu eozinofilů v krvi. Běžná hladina u člověka je 0,4*109/l (=400/µl), za eosinofilii se považují hladiny vyšší než 0,5*109/l (nebo také 500/µl). Eosinofilie může být způsobena různými důvody, jako jsou parazitální infekce v organismu, alergické reakce nebo autoimunitní onemocnění[8].
Role eosinofilních granulocytů je popisována i v projevech astmatu. V tkáních jsou při astmatu zvýšené hladiny granulárních proteinů z eozinofilů (např. MBP). Tyto proteiny jsou zapojeny do projevů onemocnění a cytotoxicky poškozují tkáň nemocného jedince. MBP zvyšuje aktivitu hladkého svalstva a napomáhá rozvoji hyperreaktivity dýchacích cest (bronchiální hyperreaktivita). Eosinofily při astmatu zvyšují i hladiny leukotrienů, jejímž působením se zvyšuje permeabilita cév a sekrece hlenu na sliznicích[7].
Poruchy gastrointestinálního traktu
Při různých typech onemocnění dochází k hromadění eozinofilů ve střevech. Tyto poruchy se souhrnně označují jako gastrointestinální poruchy spojené s eozinofily a řádí se k nim eosinofilní gastroenteritidy, alergické kolitidy, hypereosinofilní syndromy i zánětlivé onemocnění střev (IBD). Zvýšení hladiny eosinofilu ve střevech může být i následkem infekce helminty či reakce na léky (např. penicilin). Nárůst hladiny eozinofilů ve střevech se objevuje většinou nezávisle na eosinofilii periferní krve[4][9].
Blokace eosinofilů
Léčba spojená s blokací eozinofilů, nebo jejich funkcí je založena převážně na glukokortikoidech, které potlačují celkovou produkci zánětlivých mediátorů, jako cytokinů a chemokinů. K blokaci cytokinů bývá používán i cyklosporinA. Hojně se využívají i antagonisté receptorů produkovaných molekul (např. leukotrienů), nebo humanizované protilátky proti IL-5, nebo eotaxinu-1[8].
Reference
- ↑ a b c d e f g h i UHM, Tae Gi; KIM, Byung Soo; CHUNG, Il Yup. Eosinophil Development, Regulation of Eosinophil-Specific Genes, and Role of Eosinophils in the Pathogenesis of Asthma. Allergy, Asthma and Immunology Research. 2012, roč. 4, čís. 2, s. 68. Dostupné online [cit. 2020-06-14]. ISSN 2092-7355. doi:10.4168/aair.2012.4.2.68.
- ↑ MURRAY, Patrick R.; ROSENTHAL, Ken S.; PFALLER, Michael A. Medical Microbiology, Fifth edition. [s.l.]: Elsevier, 2005.
- ↑ DECKERS, Julie; BRANCO MADEIRA, Filipe; HAMMAD, Hamida. Innate immune cells in asthma. Trends in Immunology. 2013-11, roč. 34, čís. 11, s. 540–547. Dostupné online [cit. 2020-06-14]. ISSN 1471-4906. doi:10.1016/j.it.2013.08.004.
- ↑ a b c d e f g HOGAN, SIMON P.; ROSENBERG, HELENE F.; MOQBEL, REDWAN. Eosinophils: Biological Properties and Role in Health and Disease. Clinical & Experimental Allergy. 2008-05, roč. 38, čís. 5, s. 709–750. Dostupné online [cit. 2020-06-14]. ISSN 0954-7894. doi:10.1111/j.1365-2222.2008.02958.x.
- ↑ a b c d e f g ROTHENBERG, Marc E.; HOGAN, Simon P. THE EOSINOPHIL. Annual Review of Immunology. 2006-04, roč. 24, čís. 1, s. 147–174. Dostupné online [cit. 2020-06-14]. ISSN 0732-0582. doi:10.1146/annurev.immunol.24.021605.090720.
- ↑ PRG2 proteoglycan 2, pro eosinophil major basic protein [Homo sapiens (human)] - Gene - NCBI. www.ncbi.nlm.nih.gov [online]. [cit. 2020-06-14]. Dostupné online.
- ↑ a b ROSENBERG, Helene F.; PHIPPS, Simon; FOSTER, Paul S. Eosinophil trafficking in allergy and asthma. Journal of Allergy and Clinical Immunology. 2007-06, roč. 119, čís. 6, s. 1303–1310. Dostupné online [cit. 2020-06-14]. ISSN 0091-6749. doi:10.1016/j.jaci.2007.03.048.
- ↑ a b SIMON, Dagmar; SIMON, Hans-Uwe. Eosinophilic disorders. Journal of Allergy and Clinical Immunology. 2007-06, roč. 119, čís. 6, s. 1291–1300. Dostupné online [cit. 2020-06-14]. ISSN 0091-6749. doi:10.1016/j.jaci.2007.02.010.
- ↑ ZUO, Li; ROTHENBERG, Marc E. Gastrointestinal Eosinophilia. Immunology and Allergy Clinics of North America. 2007-08, roč. 27, čís. 3, s. 443–455. Dostupné online [cit. 2020-06-14]. doi:10.1016/j.iac.2007.06.002. PMID 17868858. (anglicky)
Externí odkazy
Obrázky, zvuky či videa k tématu eosinofilní granulocyt na Wikimedia Commons