Astma

Možná hledáte již nepoužívaný výraz astma cardiale

Astma
Dvě plastové trubičky s posunovatelnými číselníky na přední straně
Výdechoměry jsou používány k měření vrcholu výdechové průtokové rychlosti, důležité pro sledování astmatu i jeho diagnózu.[1]
Klasifikace
MKN-10J45, J46
MeSHD001249
Některá data mohou pocházet z datové položky.

Astma (z řeckého ἅσθμα, ásthma, „lapání po dechu“, celým názvem astma bronchiale; zastarale záducha) je běžné chronické onemocnění dýchacích cest charakterizované různými opakujícími se symptomy, dočasným omezením průtoku vzduchu průduškami (reverzibilní bronchiální obstrukce) a křečemi svalstva průdušek.[2] Mezi běžné symptomy patří sípání, kašel, svírání na hrudi a dušnost.[3]

Má se za to, že je způsobeno kombinací faktorů genetických a environmentálních (týkajících se životního prostředí).[4] Diagnóza astmatu obvykle vychází ze vzorce symptomů, reakce na léčbu v průběhu času a spirometrie.[5] Astma je klinicky klasifikováno podle četnosti symptomů, usilovného výdechového objemu za jednu sekundu (FEV1) a vrcholu výdechové průtokové rychlosti.[6] Klasifikováno může být rovněž jako atopické (alergické) nebo neatopické (nealergické),[7] kde atopie souvisí s predispozicí k rozvinutí hypersenzitivity typu 1.[8]

Léčba akutních symptomů je obvykle zajišťována inhalací krátkodobě působících agonistů beta-2 receptorů (například salbutamol) a orálním podáváním kortikosteroidů.[9] Ve velmi závažných případech může být nezbytné podání nitrožilních kortikosteroidů, síranu hořečnatého a hospitalizace pacienta.[10] Symptomům lze zabránit vyhýbáním se spouštěcím faktorům, například alergenům[11] a dráždivým látkám, a užíváním kortikosteroidů inhalací.[12] Dlouhodobě působící agonisty beta-receptorů (LABA) nebo antagonisty leukotrienových receptorů lze vedle inhalovaných kortikosteroidů použít v případě, že se symptomy astmatu nedaří dostat pod kontrolu.[13] Počet případů astmatu od 70. let 20. století výrazně vzrostl. V roce 2011 trpělo na celém světě astmatem 235–300 miliónů osob;[14][15] na jeho následky zemřelo přibližně 250 000 z nich.[15]

Příznaky a symptomy

Astma je charakterizováno opakujícími se epizodami sípání, dušnosti, svírání na hrudi a kašle.[16] Při kašli může v plicích vznikat sputum, které je však často obtížné vykašlat.[17] Během návratu do normálního stavu po záchvatu může mít sputum podobu hnisu v důsledku přítomnosti vysokého počtu bílých krvinek zvaných eozinofily.[18] Symptomy jsou obvykle horší v noci a časně ráno nebo při reakci na námahu či pobyt na studeném vzduchu.[19] Někteří lidé s astmatem zažívají symptomy jen velmi vzácně, obvykle v reakci na spouštěcí faktory, zatímco u jiných osob mohou být symptomy velmi výrazné a přetrvávající.[20]

Související zdravotní komplikace

U osob s astmatem se častěji vyskytuje řada dalších zdravotních komplikací, mezi které patří gastroezofageální refluxní choroba (GERD), rinosinusitida a obstrukční spánková apnoe.[21] Běžnější jsou rovněž psychická onemocnění[22]úzkostné poruchy se objevují u 16–52 % a poruchy nálad u 14–41 % nemocných.[23] Není však známo, zda astma způsobuje psychické problémy, nebo naopak, zda psychické problémy vedou ke vzniku astmatu.[24]

Příčiny

Astma je způsobeno kombinací složitých a stále ne zcela pochopených environmentálních a genetických souvislostí.[4][25] Tyto faktory ovlivňují jak závažnost nemoci, tak odpověď organismu na léčbu.[26] Má se za to, že k současnému zvýšenému počtu případů dochází v důsledku měnících se epigenetických faktorů (dědičných faktorů nesouvisejících se sekvenováním DNA) a změn prostředí, v němž žijeme.[27]

Environmentální faktory

Se vznikem a exacerbací (zhoršením) astmatu je spojováno mnoho environmentálních faktorů, mezi něž patří alergeny, znečištění vzduchu a další chemické látky přítomné v životním prostředí.[28] Kouření během těhotenství a po porodu zvyšuje riziko astmatických symptomů.[29] Avšak i pozdější pobyt v prostorách, ve kterých je možné kouřit, způsobuje astma.[30] Špatná kvalita vzduchu způsobená znečištěním dopravou nebo vysokou hladinou ozónu[31] souvisí jak se vznikem astmatu, tak se zvýšením jeho závažnosti.[32] Vystavení těkavým organickým sloučeninám vyskytujícím se uvnitř domů a bytů může být spouštěcím faktorem astmatu; prokázán byl například účinek vystavení formaldehydu.[33] S astmatem u dětí i dospělých souvisejí i ftaláty obsažené v PVC[34][35] a vystavení vysokým hladinám endotoxinu.[36]

Astma je spojováno s vystavením alergenům vyskytujícím se v prostředí domů a bytů.[37] Mezi běžné alergeny tohoto typu patří prachoví roztoči, švábi, zvířecí kůže a srst a plísně.[38][39] Snahy o snížení výskytu prachových roztočů se ukázaly být neúčinné.[40] Určité virové infekce dýchacího ústrojí mohou riziko vzniku astmatu zvýšit, pokud tyto infekce člověk prodělá jako dítě; jde například o[41] respirační syncytiální virus (RSV) nebo Rhinovirus.[42] Jisté infekce naopak riziko snižují.[42]

Astma je spojováno také s vystavením vedlejším produktům chlorace v plaveckých bazénech jako je trichloramin, který může způsobit kromě toho i akutní podráždění spojivek a vyvolat slzení, kašel nebo obtížné dýchání.[43]

Příznaky jsou horší ve školním kolektivu.[44]

Hygienická hypotéza

Hygienická hypotéza je teorie, která se pokouší vysvětlit celosvětově zvýšený počet případů astmatu jako přímý a neúmyslný důsledek sníženého vystavení neinfekčním bakteriím a virům v dětství.[45][46] Omezené vystavení bakteriím a virům je částečně přičítáno větší čistotě a menšímu počtu rodinných příslušníků v domácnostech moderní společnosti.[47] Důkazy potvrzující hygienickou hypotézu uvádějí nižší počet případů astmatu na farmách a v domácnostech s domácími mazlíčky.[47]

Se vznikem astmatu je spojováno užívání antibiotik v rané fázi života.[48][49] Rovněž porod císařským řezem souvisí se zvýšeným rizikem (odhadem 20–80 %) astmatu – zvýšené riziko je přičítáno chybějící zdravé bakteriální kolonizaci, kterou by novorozenec získal při normálním průchodu porodními cestami.[50][51] Prokázána byla také souvislost mezi astmatem a úrovní blahobytu ve společnosti.[52]

Genetické faktory

Interakce receptor CD14-endotoxin založená na CD14 SNP C-159T[53]
Hladina endotoxinu Genotyp CC Genotyp TT
Vystavení velkému množství Nízké riziko Vysoké riziko
Vystavení malému množství Vysoké riziko Nízké riziko

U astmatu je rizikovým faktorem i rodinná anamnéza, na níž se podílí mnoho různých genů.[54] Pokud je astmatem postiženo jedno z jednovaječných dvojčat, je pravděpodobnost onemocnění druhého dvojčete přibližně 25 %.[54] Do konce roku 2005 byla prokázána souvislost s astmatem u 25 genů, mimo jiné GSTM1, IL10,CTLA-4, SPINK5,LTC4S, IL4R a ADAM33, a to v šesti či více samostatných populacích.[55] Mnoho z těchto genů souvisí s imunitním systémem nebo modulací zánětu. Ani v případě tohoto seznamu genů, jejichž vliv byl prokázán často opakovanými studiemi, nejsou výsledky u všech testovaných populací konzistentní.[55] V roce 2006 bylo jedinou studií týkající se genetické asociace s astmatem indikováno více než 100 genů [55] a jejich počet dále roste.[56]

Některé genetické varianty mohou astma zapříčinit pouze v kombinaci se specifickými environmentálními faktory.[4] Příkladem je specifický jednonukleotidový polymorfismus (SNP) ve vazební oblasti CD14 a vystavení působení endotoxinu (bakteriální produkt). Vystavení endotoxinu může pocházet z několika environmentálních zdrojů, například tabákového kouře, psů nebo pobytu na farmách. Riziko astmatu je pak určeno genetickou dispozicí dané osoby a mírou vystavení endotoxinu.[53]

Onemocnění

Atopií se rozumí souběžný výskyt astmatu, atopického ekzému a alergické rinitidy.[57] Největším rizikovým faktorem pro vznik astmatu je anamnéza atopického onemocnění;[41] astma se objevuje mnohem častěji u osob s ekzémem nebo sennou rýmou.[58] Nemoc je spojována i se syndromem Churgovým–Straussové, autoimunitním onemocněním a vaskulitidou. Symptomy astmatu se mohou objevovat i u osob s některými typy kopřivky.[57]

Vzájemný vztah existuje rovněž mezi rizikem astmatu a obezitou, přičemž počet osob s obezitou a astmatem se v současné době zvýšil.[59][60] Svou roli může hrát řada faktorů včetně snížené respirační funkce v důsledku nahromadění tuku a skutečnosti, že výskyt tukové tkáně vede ke vzniku prozánětlivého stavu.[61]

Beta-blokátory, například propranolol, mohou astma vyvolat u osob, které jsou k němu náchylné.[62] Kardioselektivní beta-blokátory jsou však bezpečné u osob s mírnými či středně těžkými projevy onemocnění.[63] K dalším lékům, které mohou způsobovat problémy, patří ASA, NSAID a inhibitory angiotenzin konvertujícího enzymu.[64]

Exacerbace

U některých osob může být astma stabilní po celé týdny či měsíce, a pak se u nich náhle rozvine epizoda akutního astmatu. Různé osoby reagují na různé faktory odlišně.[65] U většiny nemocných může dojít k závažnému zhoršení prostřednictvím celé řady spouštěcích faktorů.[65]

Mezi faktory, které se vyskytují v domácnostech a mohou vyvolat exacerbaci astmatu, patří prach, zvířecí srst a kůže (zejména psí a kočičí srst), alergeny švábů a plíseň.[65] Parfémy jsou běžnou příčinou akutních záchvatů u žen a dětí. Virové a bakteriální infekce horních cest dýchacích mohou onemocnění dále zhoršovat.[65] Psychický stres může také ke zhoršení příznaků přispívat – má se za to, že stres má vliv na imunitní systém, a tudíž zvyšuje riziko zánětlivé reakce dýchacích cest na alergeny a dráždivé látky.[32][66]

Patologická fyziologie

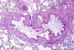
A tissue cross section of the airway showing a stained pink wall and an inside full of white mucous
Ucpání průchodu průdušinky hlenovitým výpotkem, metaplazie pohárkových buněk a epiteliální ztluštění bazální membrány u osoby s astmatem

Astma je výsledkem chronického zánětu dýchacích cest, který má za následek zvýšenou smrštitelnost okolního hladkého svalstva. To spolu s dalšími faktory vede k náhlému zužování dýchacích cest a ke klasickým symptomům sípání. Zužování je typicky vratné s pomocí léčby i bez ní. Příležitostně dochází ke změnám samotné dýchací trubice.[16] Mezi typické změny v dýchacích cestách patří zvýšení počtu eozinofilů a ztluštění retikulárního vaziva. V chronické podobě může hladké svalstvo dýchacích cest nabýt na velikosti a může se zvýšit počet hlenových žláz.K dalším typům buněk zapojených do tohoto procesu patří T-lymfocyty, makrofágy a neutrofily, podílet se na něm mohou ale i další složky imunitního systému, mimo jiné cytokiny, chemokiny, histamin a leukotrieny.[42]

Diagnóza

Ačkoli je astma dobře rozpoznatelným onemocněním, neexistuje žádná jednotná stanovená definice.[42] Světová iniciativa pro astma nemoc definuje jako „chronické zánětlivé onemocnění dýchacích cest, ve kterém hraje roli mnoho buněk a buněčných prvků. Chronický zánět souvisí s přecitlivělostí dýchacích cest, která vede k opakujícím se epizodám sípání, dušnosti, svírání na hrudi a kašle, zejména v noci nebo časně ráno. Tyto epizody obvykle souvisejí s rozšířeným, ale variabilním snížením průchodnosti plic, které je často vratné buď spontánně, nebo pomocí léčby.“[16]

V současné době neexistuje přesný test - diagnóza je obvykle založena na symptomech a reakci na léčbu v průběhu času.[5][42] Možná diagnóza astmatu by měla být brána v úvahu v případě vracejících se epizod sípání, kašle nebo obtížného dýchání nebo tehdy, pokud se tyto symptomy objevují či zhoršují v důsledku fyzické námahy, virové infekce, vystavení alergenům nebo znečištění vzduchu.[67] K potvrzení diagnózy se používá spirometrie.[67] U dětí mladších šesti let je diagnóza obtížnější, jelikož jsou pro spirometrii příliš malé.[68]

Spirometrie

Spirometrie je doporučovaným pomocným postupem pro diagnózu astmatu a stanovení léčby.[69][70] Jde o jediný a současně nejvhodnější test ke stanovení diagnózy astmatu. Pokud se hodnota FEV1 naměřená pomocí této techniky po podání bronchodilatátoru, například salbutamolu, zlepší o více než 12 %, je diagnóza astmatu pravděpodobná. U osob s anamnézou mírného astmatu však může být normální, pokud ke zlepšení nedojde. Difuzní kapacita metodou jednoho dechu může pomoci odlišit astma od chronické obstrukční plicní nemoci.[42] Spirometrii je vhodné provádět každý rok či dva, aby byl vývoj astmatu nemocného pod kontrolou.[71]

Ostatní

Provokační test s metacholinem zahrnuje inhalaci zvýšené koncentrace látky, která u osob s predispozicí k astmatu způsobuje zúžení dýchacích cest. Pokud je výsledek negativní, znamená to, že osoba astma nemá; pokud je však výsledek pozitivní, nemusí mít specifickou souvislost s tímto onemocněním.[42]

Mezi další podpůrné důkazy svědčící o astmatu patří rozdíl v hodnotách vrcholu výdechové průtokové rychlosti ≥20 % po alespoň tři dny v týdnu po dobu měření trvající alespoň dva týdny, zlepšení výdechové průtokové rychlosti o ≥20 % po léčbě salbutamolem, inhalovanými kortikosteroidy nebo prednisonem nebo snížení výdechové průtokové rychlosti o ≥20 % po vystavení spouštěcímu faktoru.[72] Testování vrcholného výdechového průtoku přináší proměnlivější výsledky než spirometrie, není proto doporučováno pro rutinní stanovení diagnózy. Může být vhodné ke každodennímu sledování vlastního stavu u osob se středně těžkými nebo těžkými projevy onemocnění a ke kontrole účinnosti nových léků. Užitečné může být i v případě rozhodování o léčbě u pacientů s akutní exacerbací (novým vzplanutím chronické choroby).[73]

Klasifikace

Klinická klasifikace (≥ 12 let)[6]
Závažnost Četnost symptomů Symptomy během noci % předpokládaného FEV1 Proměnlivost FEV1 Použití SABA
Občasné ≤2/týden ≤2/měsíc ≥80 % <20 % ≤2 dny/týden
Slabé přetrvávající >2/týden 3–4/měsíc ≥80 % 20–30 % >2 dny/týden
Středně těžké, přetrvávající Denně >1/týden 60-80 % >30 % denně
Těžké přetrvávající Neustále Často (7×/týden) <60 % >30 % ≥dvakrát/den

Astma je klinicky klasifikováno podle četnosti symptomů, objemu vzduchu za jednu vteřinu usilovného výdechu (FEV1) a vrcholu výdechové průtokové rychlosti.[6] Astma může být rovněž klasifikováno jako atopické (alergické) nebo neatopické (nealergické) na základě toho, zda jsou symptomy vyvolány alergeny (atopické), či nikoli (neatopické).[7] Ačkoli je astma klasifikováno na základě závažnosti, v tuto chvíli kromě tohoto systému neexistuje žádná jasná metoda pro klasifikaci různých podskupin astmatu.[74] Současným hlavním cílem ve výzkumu astmatu je nalezení způsobu identifikace podskupin, které dobře reagují na různé typy léčby.[74]

Ačkoli je astma chronickou obstrukční nemocí plic, není považováno za součást chronické obstrukční plicní nemoci, jelikož tento pojem odkazuje specificky na kombinace nezvratných onemocnění, například bronchiektázie, chronické bronchitidy a emfyzému.[75] Oproti těmto onemocněním je obstrukce dýchacích cest v případě astmatu obvykle vratná; pokud však není léčen, může chronický zánět způsobený astmatem vést k tomu, že plíce budou nevratně zablokovány v důsledku změny tvaru dýchacích cest.[76] Oproti emfyzému postihuje astma průdušky, nikoli plicní sklípky.[77]

Exacerbace astmatu

Závažnost akutní exacerbace[78]
Téměř fatální Vysoká hladina PaCO2 a/nebo nutnost mechanické ventilace
Život ohrožující
(kterýkoli z příznaků)
Klinické příznaky Hodnoty
Poruchy vědomí Vrcholný průtok < 33 %
Vyčerpání Nasycení kyslíkem < 92 %
Arytmie PaO2 < 8 kPa
Nízký krevní tlak „Normální“ PaCO2
Cyanóza
Vymizelé dýchání
Slabé dechové úsilí
Akutní těžké
(jakýkoli z příznaků)
Vrcholný průtok 33–50 %
Dechová frekvence ≥ 25 dechů za minutu
Srdeční frekvence ≥ 110 tepů za minutu
Neschopnost dokončit větu jedním dechem
Středně těžké Zhoršující se symptomy
Vrcholný průtok 50–80 %, nejlepší nebo předpokládané hodnoty
Žádné projevy závažného akutního astmatu

Akutní exacerbace astmatu se běžně označuje jako záchvat astmatu. Klasickými symptomy jsou dušnost, sípání a svírání na hrudi.[42] Ačkoli jde o primární symptomy astmatu,[79] u některých osob se astma projevuje zejména kašlem a v závažných případech může být proudění vzduchu tak slabé, že není slyšet ani žádné sípání.[78]

Mezi příznaky, které se objevují během záchvatu astmatu, patří zapojení pomocných dýchacích svalů (zdvihače hlavy a šikmých svalů krku), dále se může objevit paradoxní puls (puls, který je slabší během nádechu a silnější během výdechu) a nadmutí hrudníku.[80] Kůže a nehty mohou nabýt namodralé barvy z nedostatku kyslíku.[81]

Při mírné exacerbaci dosahuje vrchol výdechové průtokové rychlosti (PEFR) ≥200 l/min. nebo ≥50 % nejlepší předpokládané hodnoty.[82] Středně těžká exacerbace je definována jako rozpětí 80 až 200 l/min. nebo 25 % až 50 % nejlepší předpokládané hodnoty, zatímco těžká exacerbace jako ≤ 80 l/min. nebo ≤25 % předpokládané nejlepší hodnoty.[82]

Akutní silné astma, dříve známé jako status asthmaticus, je akutní exacerbace astmatu, kdy pacient nereaguje na léčbu bronchodilatátory a kortikosteroidy.[83] Za polovinou případů stojí infekce, zbylé případy jsou zapříčiněny alergeny, znečištěním vzduchu či nedostatečným nebo nevhodným užíváním léků.[83]

Křehké astma je druhem astmatu odlišitelným od vracejících se silných záchvatů.[78] Křehké astma typu 1 je onemocnění s širokým rozpětím vrcholného průtoku i navzdory intenzivnímu podávání léků. Křehké astma typu 2 je kontrolované astma s náhlými silnými exacerbacemi.[78]

Fyzickou námahou vyvolané astma

Tělesná zátěž může vyvolat zúžení průdušek (bronchokonstrikci) u osob s astmatem i bez něj.[84] K bronchokonstrikci dochází u většiny osob s astmatem a až u 20 % osob bez astmatu.[84] Mezi sportovci se objevuje běžněji u elitních sportovců, kdy se počty případů pohybují od 3 % u sáňkařů přes 50 % u cyklistů až k 60 % u běžkařů.[84] Ačkoli k bronchokonstrikci může dojít za jakéhokoli počasí, je častější při suchém a chladném počasí.[85] Zdá se, že inhalace agonistů beta-2 receptorů u osob bez astmatu sportovní výkonnost nezlepšuje,[86] nicméně orálně podávané dávky mohou zlepšit výdrž a sílu.[87][88]

Profesionální astma

Astma vzniklé v důsledku vystavení vlivům na pracovišti (nebo tímto vystavením zhoršené) je běžně uváděnou nemocí z povolání.[89] Mnoho případů však není hlášeno ani rozpoznáno jako profesionální astma.[90][91] Odhaduje se, že s prací souvisí 5–25 % případů astmatu u dospělých. S tímto fenoménem je spojováno několik set různých látek, přičemž mezi nejběžnější patří isokyanáty, obilný a dřevný prach, kalafuna, pájecí pasta, latex, zvířata a aldehydy. Z hlediska zaměstnání souvisejícího s nejvyšším rizikem problémů patří k ohroženým lakýrníci, pekaři a pracovníci v potravinářském, chemickém a dřevařském průmyslu, zdravotní sestry, lidé pracující se zvířaty, svářeči a kadeřníci.[89]

Diferenciální diagnostika

Symptomy podobné symptomům astmatu může způsobovat mnoho různých onemocnění. U dětí by měla být uvážena ostatní onemocnění horních cest dýchacích, například alergická senná rýma a sinusitida, stejně jako další příčiny ucpání dýchacích cest, například vdechnutí cizího tělesa, tracheální stenóza nebo laryngotracheomalacie, cévní prstence, zvětšené lymfatické uzliny nebo zduřeniny v oblasti krku. U dospělých je nutno vyloučit chronickou obstrukční plicní nemoc, městnavé srdeční selhání, zduřeniny v dýchacích cestách a léky vyvolaný kašel způsobený inhibitory ACE. U obou skupin se může podobně projevovat i dysfunkce hlasových vazů.[92]

Chronická obstrukční plicní nemoc se může vyskytovat současně s astmatem a může se projevovat jako komplikace chronického astmatu. Po dosažení věku 65 let astmatem a chronickou obstrukční plicní nemocí trpí většina osob s obstrukční nemocí dýchacích cest. V takové situaci lze chronickou obstrukční plicní nemoc odlišit díky zvýšenému počtu neutrofilů v dýchacích cestách, abnormálně zvýšené tloušťce stěn a množství hladkého svalstva v průduškách. Tento typ vyšetření se však neprovádí proto, že chronická obstrukční plicní nemoc a astma mají podobné léčebné postupy – podávání kortikosteroidů, dlouhodobě působících agonistů beta-receptorů a nutnost zanechat kouření.[93] Z hlediska symptomů se velmi úzce podobá astmatu, souvisí s vystavením cigaretovému kouři, vyšším věkem, méně úspěšnou vratností po podání bronchodilatátorů a menší pravděpodobností rodinné anamnézy atopie.[94][95]

Prevence

Důkazy o účinnosti opatření směřujících k prevenci vzniku astmatu nejsou dostatečné.[96] Jisté výsledky byly zaznamenány při omezení vystavení kouři jak v děloze, tak po porodu, kojení a zapojení dětí do výchovy v zařízeních denní péče či velkých rodinách; žádné z opatření však není dostatečně doloženo tak, aby bylo možné je doporučit.[96] Vhodný může být kontakt s domácími zvířaty v raném věku;[97] výsledky kontaktu s nimi v jiném věku jsou neprůkazné[98] a pouze se doporučuje zbavit se domácích zvířat v případě, že osoba trpí alergickými symptomy na dané domácí zvíře.[99] Dietní omezení během těhotenství nebo kojení nebyla prokázána jako účinná, a proto nejsou doporučována.[99] Účinné může naopak být omezit či eliminovat používání látek, o kterých dané osoby vědí, že jsou na ně citlivé.[89]

První pomoc

Astmatický záchvat je život ohrožující stav. Pokud se nepodniknou kroky k jeho zastavení, postižený může i zemřít. Při astmatickém záchvatu se doporučuje:[100]

  • uvolnit těsný oděv (kravatu, košili, podprsenku)
  • použít inhalátor (sprej) na astma (pokud je dostupný); většinou se mohou dát tři dávky a lze je po několika minutách opakovat (nejlepší je řídit se návodem pro používaný inhalátor)
  • postiženého dát do Fowlerovy polohy (polosed,[101] např. sed na zemi s nataženýma nohama a zády opřenými o zeď)
  • sledovat stav
  • pokud je záchvat vážný nebo se stav stále nezlepšuje (či se dokonce zhoršuje), zavolat záchrannou službu na telefonním čísle 155.

Léčba

Ačkoli na astma neexistuje lék, lze typicky dosáhnout zlepšení symptomů.[102] Měl by být vytvořen specificky přizpůsobený plán proaktivního sledování a léčby symptomů. Plán by měl zahrnovat omezené vystavení alergenům, testy pro posouzení závažnosti symptomů a navrhované podávání léků. Plán léčby by měl být sepsán a měl by obsahovat úpravy léčby v závislosti na možných změnách symptomů.[103]

Nejúčinnější léčbou astmatu je identifikace spouštěcích faktorů, například cigaretového kouře, domácích zvířat či aspirinu, a vyloučení jejich přítomnosti z blízkosti pacienta. Pokud je vyhýbání se spouštěcím faktorům nedostatečné, doporučuje se podávání léků. Farmaceutické léky jsou mimo jiné voleny na základě závažnosti onemocnění a četnosti symptomů. Specifické léky na astma jsou široce klasifikovány do kategorie rychle působících a dlouhodobě působících přípravků.[104][105]

Bronchodilatátory jsou doporučovány pro krátkodobou úlevu od symptomů. U osob s pouze příležitostnými záchvaty nejsou třeba žádné další léky. Pro mírné přetrvávající astma (asi dva záchvaty týdně) se doporučují nízké dávky inhalovaných kortikosteroidů nebo případně orálně podávaných leukotrienových antagonistů nebo stabilizátorů žírných buněk. Těm, kteří trpí denními záchvaty astmatu, se doporučují vyšší dávky inhalovaných kortikosteroidů. Při středně těžké nebo těžké exacerbaci se k těmto lékům přidávají orálně podávané kortikosteroidy.[9]

Změny životního stylu

Klíčovým prvkem kontroly a prevence záchvatů je vyhýbání se spouštěcím faktorům. Mezi nejběžnější spouštěcí faktory patří alergeny, kouř (tabákový i jiný), znečištění vzduchu, neselektivní beta-blokátory a potraviny obsahující siřičitany.[106][107] Kouření cigaret a pasivní kouření mohou snižovat účinnost léků, například kortikosteroidů.[108] Opatření na regulaci prachových roztočů včetně filtrace vzduchu, chemických látek k likvidaci roztočů, vysávání, speciální povlaky matrací a další metody nemají na symptomy astmatu žádný vliv.[40]

Léky

Léky používané k léčbě astmatu jsou rozděleny do dvou obecných tříd - léky pro rychlou úlevu používané k léčbě akutních symptomů a dlouhodobě podávané léky používané k prevenci další exacerbace.[109]

Rychle působící:

A round canister above a blue plastic holder
Salbutamol v inhalátoru s odměřováním dávek běžně používaný k léčbě záchvatů astmatu
  • Krátkodobě působící agonisté beta2 adrenoreceptorů (SABA), například salbutamol (v USA albuterol) jsou první volbou pro léčbu symptomů astmatu.[9]
  • Anticholinergní léky, například ipratropium bromid, mohou v kombinaci s léky SABA pomoci u osob se středně těžkými či těžkými symptomy.[9] Anticholinergní bronchodilatátory lze rovněž použít v případě, kdy pacient nemůže užívat léky SABA.[75]
  • Starší, méně selektivní adrenergní agonisté, například inhalovaný epinefrin, mají podobnou účinnost jako léky SABA.[110] Nejsou však příliš doporučovány kvůli obavám z nadměrné srdeční stimulace.[111]

Dlouhodobě působící:

  • Za nejúčinnější dostupné léky pro dlouhodobou kontrolu astmatu jsou obecně považovány kortikosteroidy.[104] Obvykle jsou používány v inhalované formě, kromě případů závažného přetrvávajícího onemocnění, kdy může být třeba jejich orální podávání.[104] Obvykle se doporučuje inhalované přípravky užívat jednou či dvakrát denně v závislosti na závažnosti symptomů.[112]
  • Dlouhodobě působící agonisté beta-adrenoceptorů (LABA), například salmeterol a formoterol, mohou, alespoň u dospělých, v kombinaci s inhalovanými kortikosteroidy zlepšovat kontrolu astmatu.[113] U dětí tento jejich účinek nebyl prokázán.[113][114] Při použití bez steroidů zvyšují tyto léky riziko závažných vedlejších účinků[115] a dokonce i při současném užívání s kortikosteroidy mohou toto riziko mírně zvyšovat.[116][117]
  • Leukotrienové antagonisty (například montelukast a zafirlukast) lze použít jako doplněk k inhalovaným kortikosteroidům, typicky rovněž současně s léky LABA.[104] Pro použití při akutní exacerbaci nejsou dostatečné důkazy.[118][119] U dětí do pěti let jsou upřednostňovaným doplňkem léčby pomocí inhalovaných kortikosteroidů.[120]
  • Stabilizátory žírných buněk (například kromoglykát sodný) jsou další, i když neupřednostňovanou alternativou ke kortikosteroidům.[104]

Způsob podávání

Léky jsou obvykle dodávány ve formě inhalátorů s odměřovaným dávkováním (MDI) v kombinaci s inhalačním nástavcem nebo práškových inhalátorů. Inhalační nástavec je plastový válec, v němž se lék mísí se vzduchem a usnadňuje tak požití celé dávky léku. Rovněž je možné použít nebulizátor. Nebulizátory a inhalační nástavce jsou stejně účinné u osob s mírnými až středně těžkými symptomy, k dispozici však nejsou dostatečné důkazy o tom, zda mohou výrazněji pomoci v případě závažných symptomů.[121]

Nežádoucí účinky

Dlouhodobé užívání inhalovaných kortikosteroidů v konvenčních dávkách přináší mírné riziko nežádoucích účinků.[122] Mezi rizika patří vznik kataraktu a mírná regrese vzrůstu.[122][123]

Ostatní

Pokud na astma nezabírá obvyklá léčba, jsou dostupné další možnosti jak pro potřeby rychlého zásahu, tak pro prevenci recidivy. K prostředkům pomoci v případě nutnosti rychlého zásahu patří:

  • Nitrožilní léčba pomocí síranu hořečnatého má společně s dalšími léky v případě silných akutních záchvatů astmatu bronchodilatační účinek.[125][126]
  • Heliox, směs helia a kyslíku, je rovněž možné uvážit v závažných případech, kdy pacient nereaguje na léčbu.[125]
  • Použití nitrožilního salbutamolu není podpořeno důkazy, a tudíž se k němu přistupuje pouze v extrémních případech.[124]
  • Metylxantiny (například teofylin) bývaly široce používány, k účinkům inhalovaných beta-agonistů však nijak výrazně nepřispívají.[124] Jejich použití v případě akutní exacerbace je kontroverzní.[127]
  • Disociativní anestetikum ketamin je teoreticky přínosné, pokud je nutná intubace a mechanická ventilace u osob s hrozící zástavou dechu; na podporu tohoto postupu však neexistují důkazy z klinických studií.[128]

U osob s vážným přetrvávajícím astmatem nekontrolovaným inhalovanými kortikosteroidy a léky LABA může být možností bronchiální termoplastika.[129] Ta spočívá v přísunu řízené tepelné energie ke stěnám dýchacích cest během řady bronchoskopických zákroků.[129] Ačkoli tento postup může zvýšit četnost exacerbací v prvních několika měsících, zdá se, že dlouhodobě jejich počet snižuje. Účinky po více než jednom roce nejsou známy.[130]

Alternativní způsoby léčby

Mnoho osob trpících astmatem, podobně jako pacienti s ostatními chronickými chorobami, používá i alternativní způsoby léčby; průzkumy ukazují, že přibližně 50 % z nich využívá nějakou formu nekonvenční terapie.[131][132] Na podporu účinnosti většiny těchto postupů existuje jen minimum údajů. Pro užívání vitaminu C neexistují dostatečné důkazy.[133] Ze stejných důvodů se nedoporučuje ani akupunktura.[134][135] Ionizátory vzduchu neposkytují žádné důkazy o zlepšení symptomů astmatu nebo funkce plic; to se týká rovněž generátorů pozitivních a negativních iontů.[136]

Manuální terapie včetně osteopatické, chiropraktické, fyzioterapeutické a respirační léčby neposkytují dostatek důkazů pro jejich využití při léčbě astmatu.[137] Butejkova dechová metoda pro kontrolu hyperventilace může vést ke snížení užívaných dávek léků, nemá však žádný vliv na funkci plic.[105] Skupina odborníků na základě toho vyslovila názor, že na podporu užívání této metody neexistuje dostatek důkazů.[134]

Výskyt

V dětství je astma nejčastějším chronickým onemocněním – trpí jím zhruba 10 % dětí, a to většinou chlapců. Tento rozdíl se postupně obrací a v dospělosti již mezi nemocnými značně převažují ženy. Čím později se astmatické projevy objeví, tím je pravděpodobnější, že jsou z určité části způsobeny specifickou alergickou reakcí. U dospělých se astma objevuje zhruba u 5 % populace. V poslední době patrný nárůst astmatických onemocnění v této skupině je dán vzrůstajícím počtem dosud nevysvětlených a těžko diagnostikovatelných alergií, k dalším faktorům patří také fyzické či psychické přetížení, chlad atd.

Astma se rozděluje na alergické a nealergické.

Prognóza

A map of the world with Europe shaded yellow, most of North and South America orange and Southern Africa a dark red
Rok života ovlivněný nezpůsobilostí v důsledku astmatu na 100 000 obyvatel v roce 2004.[138]
     údaje nejsou k dispozici
     <100
     100–150
     150–200
     200–250
     250–300
     300–350
     350–400
     400–450
     450–500
     500–550
     550–600
     >600

Prognóza astmatu je obecně dobrá, obzvláště u dětí s mírnými symptomy.[139] Za několik posledních desetiletí došlo ke snížení úmrtnosti v důsledku lepší diagnostiky astmatu a zlepšení péče o nemocné.[140] Celosvětově postihovaly v roce 2004 středně těžké až těžké projevy astmatu 19,4 miliónů osob (z nichž 16 miliónů žije v zemích s nízkými a středními příjmy).[141] V případě astmatu diagnostikovaného v dětství bylo zaznamenáno, že celá polovina pacientů již po deseti letech diagnózu astmatu nemá.[54] Následkem nemoci dochází k remodulaci dýchacích cest, není však známo, zda jsou tyto změny škodlivé či prospěšné.[142] Zdá se, že včasná léčba kortikosteroidy zabraňuje zhoršení funkce plic nebo tuto funkci zlepšuje.[143]

Epidemiologie

A map of the world with Europe, North America, Australia and much of South America shaded red, much of Asia is yellow, and most of Africa is grey
Počet případů astmatu v různých zemích světa v roce 2004.
     údaje nejsou k dispozici
     <1 %
     1–2 %
     2–3 %
     3–4 %
     4–5 %
     5–6 %
     6–7 %
     7–8 %
     8–10 %
     10–12,5 %
     12,5–15 %
     >15 %

V roce 2011 bylo astmatem na celém světě postiženo 235–300 miliónů osob,[14][15] přičemž na toto onemocnění každý rok zemře přibližně 250 000 lidí.[16] Počet případů v jednotlivých zemích se liší od 1 do 18 % populace.[16] Astma je běžnější v rozvinutých než v rozvojových zemích.[16] Nižší počet případů je tak zaznamenán v Asii, východní Evropě a v Africe.[42] V rozvinutých zemích je astma běžnější u osob, které jsou ekonomicky znevýhodněné, zatímco v rozvojových zemích je běžnější mezi lidmi s lepším postavením.[16] Důvod těchto rozdílů není zcela jasný.[16] K více než 80 % případů úmrtí dochází v zemích s nízkými a středními příjmy.[144]

Ačkoli je astma dvakrát častější u chlapců než u dívek,[16] počet silných případů astmatu je u obou skupin stejný.[145] Oproti tomu u dospělých je počet případů astmatu vyšší u žen než u mužů[16] a je běžnější u mladších než u starších osob.[42]

Celosvětový počet případů astmatu se mezi 60. lety 20. století a rokem 2008 výrazně zvýšil,[146][147] což je od 70. let 20. století považováno za jeden z největších problémů veřejného zdraví.[42] Počet případů astmatu se v rozvinutých zemích od poloviny 90. let 20. století ustálil, přičemž ke zvýšení počtu případů dochází v poslední době primárně v rozvojových zemích.[148] Astma postihuje přibližně 7 % populace Spojených států[115] a 5 % populace ve Spojeném království.[149] Počet případů v Kanadě, Austrálii a na Novém Zélandu se pohybuje okolo 14–15 %.[150]

Patofyziologie

K zúžení dýchacích cest u astmatiků dochází v důsledku zánětu průdušek a tzv. bronchokonstrikce, zúžení dýchacích cest v plicích následkem zkrácení okolního hladkého svalstva. Zánět průdušek také vyvolává zúžení, neboť imunitní reakce na alergeny způsobuje otok tkáně.

Bronchokonstrikce

Zanícené dýchací cesty a bronchokonstrikce

Při záchvatu astmatu reagují zanícené průdušinky na spouštěcí mechanismy v okolí jako např. kouř, prach nebo pyl. Dochází k jejich zúžení a ke zvýšenému vylučování hlenu, což ztěžuje dýchání.

Astma je v podstatě výsledek imunitní reakce v průdušinkách.[142] Dýchací cesty astmatiků vykazují přecitlivělost na určité podněty.[151][152] Při kontaktu s těmito spouštěcímy faktory nastávají křeče průdušek (astmatický záchvat). Brzy pak dochází ke vzniku zánětu, což má za následek další zúžení dýchacích cest a nadměrné vylučování hlenu, následně pak kašel a další dýchací obtíže

Historie

Astma bylo rozpoznáno již ve starověkém Egyptě a bylo léčeno pitím vonné směsi známé jako kyphi.[153] Jako specifický problém s dýcháním bylo oficiálně pojmenováno Hippokratem přibližně v roce 450 př. Kr., a to řeckým slovem pro supění nebo zrychlený dech, které tvoří základ moderního názvu.[42] V roce 200 př. Kr. se mělo za to, že alespoň částečně souvisí s emocemi.[23] Později řecký filosof Galén zmiňuje astma v několika svých textech.[154]

Medicína dříve rozlišovala astma bronchiale ("astma" je nyní používáno jako zkrácené synonymum) a "astma cardiale", což byla dušnost způsobená plicním edémem (otokem plic).

V roce 1873 se jedna z prvních prací moderního lékařství pokusila vysvětlit patofyziologii nemoci, zatímco práce z roku 1872 došla k závěru, že astma lze léčit vtíráním chloroformové tekuté masti do hrudi.[155][156] Léčba v roce 1880 zahrnovala použití nitrožilních dávek léku zvaného pilokarpin.[157] V roce 1886 přišel F.H. Bosworth s teorií souvislosti mezi astmatem a sennou rýmou.[158] Epinefrin jako prostředek léčby astmatu byl poprvé zmíněn v roce 1905.[159] Orálně podávané kortikosteroidy se k léčbě astmatu začaly používat v 50. letech 20. století, zatímco inhalované kortikosteroidy a selektivní krátkodobě působící agonisté beta receptorů se začaly šířeji používat v 60. letech 20. století.[160][161]

Během 30. až 50. let 20. století bylo astma známo jako jedna ze sedmi klasických psychosomatických nemocí. Za jeho původce byly označovány psychologické příčiny a léčba byla často založena na psychoanalýze a dalších postupech léčby prostřednictvím rozhovoru.[162] Jelikož psychoanalytikové interpretovali astmatické sípání jako potlačovaný pláč dítěte hledajícího matku, pro osoby s astmatem považovali za obzvláště důležitou léčbu deprese.[162]

Odkazy

Reference

V tomto článku byl použit překlad textu z článku asthma na anglické Wikipedii.

  1. GINA 2011, s. 18
  2. NHLBI Guideline 2007, s. 11–12
  3. British Guideline 2009, s. 4
  4. a b c Martinez FD. Genes, environments, development and asthma: a reappraisal. Eur Respir J. 2007, s. 179–84. doi:10.1183/09031936.00087906. PMID 17197483. 
  5. a b Lemanske RF, Busse WW. Asthma: clinical expression and molecular mechanisms. J. Allergy Clin. Immunol.. 2010, s. S95–102. doi:10.1016/j.jaci.2009.10.047. PMID 20176271. 
  6. a b c Yawn BP. Factors accounting for asthma variability: achieving optimal symptom control for individual patients. Primary Care Respiratory Journal. 2008, s. 138–147. Dostupné v archivu pořízeném z originálu dne 2010-03-04. doi:10.3132/pcrj.2008.00004. PMID 18264646. 
  7. a b Robbins and Cotran pathologic basis of disease. Redakce Kumar Vinay. 8th. vyd. [s.l.]: Saunders, 2010. ISBN 978-1-4160-3121-5. OCLC 643462931 S. 688. 
  8. Stedman's Medical Dictionary. 28. vyd. [s.l.]: Lippincott Williams and Wilkins, 2005. ISBN 0-7817-3390-1. 
  9. a b c d NHLBI Guideline 2007, s. 214
  10. NHLBI Guideline 2007, s. 373–375
  11. NHLBI Guideline 2007, s. 169–172
  12. GINA 2011, s. 71
  13. GINA 2011, s. 33
  14. a b World Health Organization Fact Sheet Fact sheet No 307: Asthma [online]. 2011 [cit. 2013-01-17]. Dostupné v archivu pořízeném z originálu. 
  15. a b c GINA 2011, s. 3
  16. a b c d e f g h i j GINA 2011, s. 2–5
  17. JINDAL, editor-in-chief SK. Textbook of pulmonary and critical care medicine. New Delhi: Jaypee Brothers Medical Publishers Dostupné online. ISBN 978-93-5025-073-0. S. 242. 
  18. GEORGE, Ronald B. Chest medicine : essentials of pulmonary and critical care medicine. 5th ed.. vyd. Philadelphia, PA: Lippincott Williams & Wilkins, 2005. Dostupné online. ISBN 978-0-7817-5273-2. S. 62. 
  19. British Guideline 2009, s. 14
  20. GINA 2011, s. 8–9
  21. Boulet LP. Influence of comorbid conditions on asthma. Eur Respir J. 2009, s. 897–906. doi:10.1183/09031936.00121308. PMID 19336592. 
  22. BOULET, LP, Boulay, MÈ. Asthma-related comorbidities.. Expert review of respiratory medicine. 2011 Jun, s. 377–93. PMID 21702660. 
  23. a b EDITORS, Andrew Harver, Harry Kotses,. Asthma, health and society a public health perspective. New York: Springer, 2010. Dostupné online. ISBN 978-0-387-78285-0. S. 315. 
  24. THOMAS, M, Bruton, A; Moffat, M; Cleland, J. Asthma and psychological dysfunction.. Primary care respiratory journal : journal of the General Practice Airways Group. 2011 Sep, s. 250–6. PMID 21674122. 
  25. MILLER, RL, Ho SM. Environmental epigenetics and asthma: current concepts and call for studies. American Journal of Respiratory and Critical Care Medicine. 2008, s. 567–573. doi:10.1164/rccm.200710-1511PP. PMID 18187692. 
  26. Choudhry S, Seibold MA, Borrell LN "et al.". Dissecting complex diseases in complex populations: asthma in latino americans. Proc Am Thorac Soc. 2007, s. 226–33. doi:10.1513/pats.200701-029AW. PMID 17607004. 
  27. DIETERT, RR. Maternal and childhood asthma: risk factors, interactions, and ramifications.. Reproductive toxicology (Elmsford, N.Y.). 2011 Sep, s. 198–204. PMID 21575714. 
  28. KELLY, FJ, Fussell, JC. Air pollution and airway disease.. Clinical and experimental allergy : journal of the British Society for Allergy and Clinical Immunology. 2011 Aug, s. 1059–71. PMID 21623970. 
  29. GINA 2011, s. 6
  30. http://medicalxpress.com/news/2016-12-child-asthma-emergency-indoor.html - Child asthma emergency visits drop after indoor smoking bans
  31. GINA 2011, s. 61
  32. a b Gold DR, Wright R. Population disparities in asthma. Annu Rev Public Health. 2005, s. 89–113. doi:10.1146/annurev.publhealth.26.021304.144528. PMID 15760282. 
  33. MCGWIN, G, Lienert, J; Kennedy, JI. Formaldehyde exposure and asthma in children: a systematic review.. Environmental health perspectives. 2010 Mar, s. 313–7. PMID 20064771. 
  34. Jaakkola JJ, Knight TL. The role of exposure to phthalates from polyvinyl chloride products in the development of asthma and allergies: a systematic review and meta-analysis. Environ Health Perspect. 2008, s. 845–53. doi:10.1289/ehp.10846. PMID 18629304. 
  35. BORNEHAG, CG, Nanberg, E. Phthalate exposure and asthma in children.. International journal of andrology. 2010 Apr, s. 333–45. PMID 20059582. 
  36. Liu AH. Something old, something new: indoor endotoxin, allergens and asthma. Paediatr Respir Rev. 2004, s. S65–71. doi:10.1016/S1526-0542(04)90013-9. PMID 14980246. 
  37. AHLUWALIA, SK, Matsui, EC. The indoor environment and its effects on childhood asthma.. Current opinion in allergy and clinical immunology. 2011 Apr, s. 137–43. PMID 21301330. 
  38. ARSHAD, SH. Does exposure to indoor allergens contribute to the development of asthma and allergy?. Current allergy and asthma reports. 2010 Jan, s. 49–55. PMID 20425514. 
  39. CUSTOVIC, A, Simpson, A. The role of inhalant allergens in allergic airways disease.. Journal of investigational allergology & clinical immunology : official organ of the International Association of Asthmology (INTERASMA) and Sociedad Latinoamericana de Alergia e Inmunologia. 2012, s. 393–401; qiuz follow 401. PMID 23101182. 
  40. a b PC Gøtzsche, HK Johansen. House dust mite control measures for asthma. Redakce Gøtzsche Peter C. Cochrane Database Syst Rev. 2008, s. CD001187. doi:10.1002/14651858.CD001187.pub3. PMID 18425868. 
  41. a b NHLBI Guideline 2007, s. 11
  42. a b c d e f g h i j k l Murray and Nadel's textbook of respiratory medicine.. 5th ed.. vyd. Philadelphia, PA: Saunders/Elsevier, 2010. ISBN 1-4160-4710-7. S. Chapter 38. 
  43. Astma u dětí: Může souviset s chlórem v bazénu?
  44. http://medicalxpress.com/news/2016-02-common-colds-school-primary-driver.html - Common colds at school a primary driver of asthma hospitalizations for children
  45. RAMSEY, CD, Celedón JC. The hygiene hypothesis and asthma. Current Opinion in Pulmonary Medicine. 2005, s. 14–20. doi:10.1097/01.mcp.0000145791.13714.ae. PMID 15591883. 
  46. BUFFORD, JD, Gern JE. The hygiene hypothesis revisited. Immunology and Allergy Clinics of North America. 2005, s. 247–262. doi:10.1016/j.iac.2005.03.005. PMID 15878454. 
  47. a b BROOKS, C, Pearce, N; Douwes, J. The hygiene hypothesis in allergy and asthma: an update.. Current opinion in allergy and clinical immunology. 2013 Feb, s. 70–7. PMID 23103806. 
  48. MURK, W, Risnes, KR, Bracken, MB. Prenatal or early-life exposure to antibiotics and risk of childhood asthma: a systematic review.. Pediatrics. 2011 Jun, s. 1125–38. doi:10.1542/peds.2010-2092. PMID 21606151. 
  49. Research suggests early life antibiotic increases asthma risk, providing clues to potential prevention of adult asthma. medicalxpress.com [online]. [cit. 2024-07-15]. Dostupné online. 
  50. British Guideline 2009, s. 72
  51. NEU, J, Rushing, J. Cesarean versus vaginal delivery: long-term infant outcomes and the hygiene hypothesis.. Clinics in perinatology. 2011 Jun, s. 321–31. PMID 21645799. 
  52. VON HERTZEN, LC, Haahtela, T. Asthma and atopy -the price of affluence?. Allergy. 2004 Feb, s. 124–37. PMID 14763924. 
  53. a b Martinez FD. CD14, endotoxin, and asthma risk: actions and interactions. Proc Am Thorac Soc. 2007, s. 221–5. doi:10.1513/pats.200702-035AW. PMID 17607003. 
  54. a b c ELWARD, Graham Douglas, Kurtis S. Asthma. London: Manson Pub., 2010. Dostupné online. ISBN 978-1-84076-513-7. S. 27–29. 
  55. a b c Ober C, Hoffjan S. Asthma genetics 2006: the long and winding road to gene discovery. Genes Immun. 2006, s. 95–100. doi:10.1038/sj.gene.6364284. PMID 16395390. 
  56. HALAPI, E, Bjornsdottir, US. Overview on the current status of asthma genetics.. The clinical respiratory journal. 2009 Jan, s. 2–7. PMID 20298365. 
  57. a b Rapini, Ronald P.; Bolognia, Jean L.; Jorizzo, Joseph L. Dermatology: 2-Volume Set. St. Louis: Mosby, 2007. ISBN 1-4160-2999-0. 
  58. GINA 2011, s. 4
  59. Beuther DA. Recent insight into obesity and asthma. Curr Opin Pulm Med. 2010, s. 64–70. doi:10.1097/MCP.0b013e3283338fa7. PMID 19844182. 
  60. Holguin F, Fitzpatrick A. Obesity, asthma, and oxidative stress. J. Appl. Physiol.. 2010, s. 754–9. doi:10.1152/japplphysiol.00702.2009. PMID 19926826. 
  61. Wood LG, Gibson PG. Dietary factors lead to innate immune activation in asthma. Pharmacol. Ther.. 2009, s. 37–53. doi:10.1016/j.pharmthera.2009.03.015. PMID 19375453. 
  62. O'Rourke ST. Antianginal actions of beta-adrenoceptor antagonists. Am J Pharm Educ. 2007, s. 95. PMID 17998992. 
  63. SALPETER, S, Ormiston, T; Salpeter, E. Cardioselective beta-blocker use in patients with reversible airway disease.. Cochrane database of systematic reviews (Online). 2001, s. CD002992. PMID 11406056. 
  64. COVAR, RA, Macomber, BA; Szefler, SJ. Medications as asthma trigers.. Immunology and allergy clinics of North America. 2005 Feb, s. 169–90. PMID 15579370. 
  65. a b c d Baxi SN, Phipatanakul W. The role of allergen exposure and avoidance in asthma. Adolesc Med State Art Rev. 2010, s. 57–71, viii–ix. PMID 20568555. 
  66. Chen E, Miller GE. Stress and inflammation in exacerbations of asthma. Brain Behav Immun.. 2007, s. 993–9. doi:10.1016/j.bbi.2007.03.009. PMID 17493786. 
  67. a b NHLBI Guideline 2007, s. 42
  68. GINA 2011, s. 20
  69. American Academy of Allergy, Asthma, and Immunology. Five things physicians and patients should question. Choosing wisely: an initiative of the ABIM Foundation. American Academy of Allergy, Asthma, and Immunology. Dostupné online [cit. August 14, 2012]. 
  70. Third Expert Panel on the Diagnosis and Management of Asthma. Guidelines for the diagnosis and management of asthma. [s.l.]: National Heart, Lung, and Blood Institute (US), 2007. Dostupné online. 
  71. NHLBI Guideline 2007, s. 58
  72. Pinnock H, Shah R. Asthma. BMJ. 2007, s. 847–50. doi:10.1136/bmj.39140.634896.BE. PMID 17446617. 
  73. NHLBI Guideline 2007, s. 59
  74. a b Moore WC, Pascual RM. Update in asthma 2009. American Journal of Respiratory and Critical Care Medicine. 2010, s. 1181–7. doi:10.1164/rccm.201003-0321UP. PMID 20516492. 
  75. a b Self, Timothy; CHRISMAN, CARY; FINCH, CHRISTOPHER. Applied therapeutics: the clinical use of drugs. Redakce Mary Anne Koda-Kimble, Brian K Alldredge, et al.. 9th. vyd. Philadelphia: Lippincott Williams & Wilkins, 2009. OCLC 230848069 Kapitola 22. Asthma. 
  76. DELACOURT, C. Conséquences bronchiques de l'asthme non traité. Archives de Pédiatrie. 2004, s. 71s–73s. PMID 15301800. 
  77. SCHIFFMAN, George. Chronic obstructive pulmonary disease [online]. MedicineNet, 18 December 2009 [cit. 2010-09-02]. Dostupné v archivu pořízeném z originálu dne 28-08-2010. 
  78. a b c d British Guideline 2009, s. 54
  79. BARNES, PJ. Harrison's Principles of Internal Medicine. Redakce Fauci Anthony S. 17th. vyd. New York: McGraw-Hill, 2008. ISBN 978-0-07-146633-2. Kapitola Asthma, s. 1596–1607. 
  80. Maitre B, Similowski T, Derenne JP. Physical examination of the adult patient with respiratory diseases: inspection and palpation. Eur. Respir. J.. 1995, s. 1584–93. Dostupné online. PMID 8575588. 
  81. WERNER, HA. Status asthmaticus in children: a review. Chest. 2001, s. 1596–1607. doi:10.1378/chest.119.6.1913. PMID 11399724. 
  82. a b Shiber JR, Santana J. Dyspnea. Med. Clin. North Am.. 2006, s. 453–79. doi:10.1016/j.mcna.2005.11.006. PMID 16473100. 
  83. a b SHAH, R, Saltoun, CA. Chapter 14: Acute severe asthma (status asthmaticus).. Allergy and asthma proceedings : the official journal of regional and state allergy societies. 2012 May–Jun, s. S47-50. PMID 22794687. 
  84. a b c KHAN, DA. Exercise-induced bronchoconstriction: burden and prevalence.. Allergy and asthma proceedings : the official journal of regional and state allergy societies. 2012 Jan–Feb, s. 1–6. PMID 22370526. 
  85. GINA 2011, s. 17
  86. CARLSEN, KH, Anderson, SD; Bjermer, L; Bonini, S; Brusasco, V; Canonica, W; Cummiskey, J; Delgado, L; Del Giacco, SR; Drobnic, F; Haahtela, T; Larsson, K; Palange, P; Popov, T; van Cauwenberge, P; European Respiratory, Society; European Academy of Allergy and Clinical, Immunology; GA(2)LEN,. Treatment of exercise-induced asthma, respiratory and allergic disorders in sports and the relationship to doping: Part II of the report from the Joint Task Force of European Respiratory Society (ERS) and European Academy of Allergy and Clinical Immunology (EAACI) in cooperation with GA(2)LEN.. Allergy. 2008 May, s. 492–505. PMID 18394123. 
  87. KINDERMANN, W. Do inhaled beta(2)-agonists have an ergogenic potential in non-asthmatic competitive athletes?. Sports medicine (Auckland, N.Z.). 2007, s. 95–102. PMID 17241101. 
  88. PLUIM, BM, de Hon, O; Staal, JB; Limpens, J; Kuipers, H; Overbeek, SE; Zwinderman, AH; Scholten, RJ. β₂-Agonists and physical performance: a systematic review and meta-analysis of randomized controlled trials.. Sports medicine (Auckland, N.Z.). 2011 Jan 1, s. 39–57. PMID 21142283. 
  89. a b c BAUR, X, Aasen, TB; Burge, PS; Heederik, D; Henneberger, PK; Maestrelli, P; Schlünssen, V; Vandenplas, O; Wilken, D; ERS Task Force on the Management of Work-related, Asthma. The management of work-related asthma guidelines: a broader perspective.. European respiratory review : an official journal of the European Respiratory Society. 2012 Jun 1, s. 125–39. PMID 22654084. 
  90. KUNNAMO, ed.-in-chief: Ilkka. Evidence-based medicine guidelines. Chichester: Wiley, 2005. Dostupné online. ISBN 978-0-470-01184-3. S. 214. 
  91. KRAFT, editors, Mario Castro, Monica. Clinical asthma. Philadelphia: Mosby / Elsevier, 2008. Dostupné online. ISBN 978-0-323-07081-2. S. Chapter 42. 
  92. NHLBI Guideline 2007, s. 46
  93. Gibson PG, McDonald VM, Marks GB. Asthma in older adults. Lancet. 2010, s. 803–13. doi:10.1016/S0140-6736(10)61087-2. PMID 20816547. 
  94. Hargreave FE; PARAMESWARAN K. Asthma, COPD and bronchitis are just components of airway disease. European Respiratory Journal. 2006, s. 264–267. Dostupné online. doi:10.1183/09031936.06.00056106. PMID 16880365. 
  95. Diaz, P. Knoell. Applied therapeutics: the clinical use of drugs. 9th. vyd. Philadelphia: Lippincott Williams & Wilkins, 2009. Kapitola 23. Chronic obstructive pulmonary disease. 
  96. a b NHLBI Guideline 2007, s. 184–5
  97. LODGE, CJ, Allen, KJ; Lowe, AJ; Hill, DJ; Hosking, CS; Abramson, MJ; Dharmage, SC. Perinatal cat and dog exposure and the risk of asthma and allergy in the urban environment: a systematic review of longitudinal studies.. Clinical & developmental immunology. 2012, s. 176484. PMID 22235226. 
  98. CHEN, CM, Tischer, C; Schnappinger, M; Heinrich, J. The role of cats and dogs in asthma and allergy—a systematic review.. International journal of hygiene and environmental health. 2010 Jan, s. 1–31. PMID 20053584. 
  99. a b PRESCOTT, SL, Tang, ML; Australasian Society of Clinical Immunology and, Allergy. The Australasian Society of Clinical Immunology and Allergy position statement: Summary of allergy prevention in children.. The Medical journal of Australia. 2005 May 2, s. 464–7. PMID 15865590. 
  100. Archivovaná kopie. www.prvni-pomoc.com [online]. [cit. 2012-06-30]. Dostupné v archivu pořízeném dne 2011-11-19. 
  101. Archivovaná kopie. prvni-pomoc.com [online]. [cit. 2012-06-30]. Dostupné v archivu pořízeném dne 2009-04-28. 
  102. RIPOLL, Brian C. Leutholtz, Ignacio. Exercise and disease management. 2nd ed.. vyd. Boca Raton: CRC Press Dostupné online. ISBN 978-1-4398-2759-8. S. 100. 
  103. GINA 2011, s. 56
  104. a b c d e NHLBI Guideline 2007, s. 213
  105. a b British Guideline on the Management of Asthma [online]. Scottish Intercollegiate Guidelines Network, 2008 [cit. 2008-08-04]. Dostupné v archivu pořízeném z originálu dne 2008-08-19. 
  106. NHLBI Guideline 2007, s. 69
  107. Thomson NC, Spears M. The influence of smoking on the treatment response in patients with asthma. Curr Opin Allergy Clin Immunol. 2005, s. 57–63. doi:10.1097/00130832-200502000-00011. PMID 15643345. 
  108. Stapleton M, Howard-Thompson A, George C, Hoover RM, Self TH. Smoking and asthma.. J Am Board Fam Med. 2011, s. 313–22. doi:10.3122/jabfm.2011.03.100180. PMID 21551404. 
  109. NHLBI Guideline 2007, s. 560
  110. Rodrigo GJ, Nannini LJ. Comparison between nebulized adrenaline and beta2 agonists for the treatment of acute asthma. A meta-analysis of randomized trials. Am J Emerg Med. 2006, s. 217–22. doi:10.1016/j.ajem.2005.10.008. PMID 16490653. 
  111. NHLBI Guideline 2007, s. 351
  112. NHLBI Guideline 2007, s. 218
  113. a b DUCHARME, FM, Ni Chroinin, M; Greenstone, I; Lasserson, TJ. Addition of long-acting beta2-agonists to inhaled corticosteroids versus same dose inhaled corticosteroids for chronic asthma in adults and children.. Cochrane database of systematic reviews (Online). 2010 May 12, s. CD005535. PMID 20464739. 
  114. DUCHARME, FM, Ni Chroinin, M; Greenstone, I; Lasserson, TJ. Addition of long-acting beta2-agonists to inhaled steroids versus higher dose inhaled corticosteroids in adults and children with persistent asthma.. Cochrane database of systematic reviews (Online). 2010 Apr 14, s. CD005533. PMID 20393943. 
  115. a b Fanta CH. Asthma. New England Journal of Medicine. 2009, s. 1002–14. doi:10.1056/NEJMra0804579. PMID 19264689. 
  116. CATES, CJ, Cates, MJ. Regular treatment with formoterol for chronic asthma: serious adverse events.. Cochrane database of systematic reviews (Online). 2012 Apr 18, s. CD006923. PMID 22513944. 
  117. CATES, CJ, Cates, MJ. Regular treatment with salmeterol for chronic asthma: serious adverse events.. Cochrane database of systematic reviews (Online). 2008 Jul 16, s. CD006363. PMID 18646149. 
  118. GINA 2011, s. 74
  119. WATTS, K, Chavasse, RJ. Leukotriene receptor antagonists in addition to usual care for acute asthma in adults and children.. Cochrane database of systematic reviews (Online). 2012 May 16, s. CD006100. PMID 22592708. 
  120. British Guideline 2009, s. 43
  121. NHLBI Guideline 2007, s. 250
  122. a b RACHELEFSKY, G. Inhaled corticosteroids and asthma control in children: assessing impairment and risk.. Pediatrics. 2009 Jan, s. 353–66. doi:10.1542/peds.2007-3273. PMID 19117903. 
  123. Dahl R. Systemic side effects of inhaled corticosteroids in patients with asthma. Respir Med. 2006, s. 1307–17. doi:10.1016/j.rmed.2005.11.020. PMID 16412623. 
  124. a b c Rodrigo GJ, Rodrigo C, Hall JB. Acute asthma in adults: a review. Chest. 2004, s. 1081–102. doi:10.1378/chest.125.3.1081. PMID 15006973. 
  125. a b NHLBI Guideline 2007, s. 373
  126. NOPPEN, M. Magnesium Treatment for Asthma : Where Do We Stand?. Chest. August 2002, s. 396–8. doi:10.1378/chest.122.2.396. PMID 12171805. 
  127. GINA 2011, s. 37
  128. NHLBI Guideline 2007, s. 399
  129. a b CASTRO, M, Musani, AI, Mayse, ML, Shargill, NS. Bronchial thermoplasty: a novel technique in the treatment of severe asthma.. Therapeutic advances in respiratory disease. 2010 Apr, s. 101–16. doi:10.1177/1753465810367505. PMID 20435668. 
  130. GINA 2011, s. 70
  131. Blanc PD, Trupin L, Earnest G, Katz PP, Yelin EH, Eisner MD. Alternative therapies among adults with a reported diagnosis of asthma or rhinosinusitis : data from a population-based survey. Chest. 2001, s. 1461–7. doi:10.1378/chest.120.5.1461. PMID 11713120. 
  132. Shenfield G, Lim E, Allen H. Survey of the use of complementary medicines and therapies in children with asthma. J Paediatr Child Health. 2002, s. 252–7. doi:10.1046/j.1440-1754.2002.00770.x. PMID 12047692. 
  133. KAUR, B, Rowe BH, Arnold E. Vitamin C supplementation for asthma. Redakce Arnold Elizabeth. Cochrane Database Syst Rev. 2009, s. CD000993. doi:10.1002/14651858.CD000993.pub3. PMID 19160185. 
  134. a b NHLBI Guideline 2007, s. 240
  135. McCarney RW, Brinkhaus B, Lasserson TJ, Linde K. Acupuncture for chronic asthma. Redakce McCarney Robert W. Cochrane Database Syst Rev. 2004, s. CD000008. doi:10.1002/14651858.CD000008.pub2. PMID 14973944. 
  136. BLACKHALL, K, Appleton, S; Cates, CJ. Ionisers for chronic asthma.. Cochrane database of systematic reviews (Online). 2012 Sep 12, s. CD002986. PMID 22972060. 
  137. Hondras MA, Linde K, Jones AP. Manual therapy for asthma. Redakce Hondras Maria A. Cochrane Database Syst Rev. 2005, s. CD001002. doi:10.1002/14651858.CD001002.pub2. PMID 15846609. 
  138. WHO Disease and injury country estimates [online]. 2009 [cit. 2009-11-11]. Dostupné v archivu pořízeném z originálu dne 11-11-2009. 
  139. SERGEL, Michelle J.; CYDULKA, Rita K. Harwood-Nuss' Clinical Practice of Emergency Medicine. Redakce Wolfson Allan B.. 5th. vyd. [s.l.]: Lippincott Williams & Wilkins, September 2009. ISBN 978-0-7817-8943-1. Kapitola Ch. 75: Asthma, s. 432–. 
  140. NHLBI Guideline 2007, s. 1
  141. ORGANIZATION, World Health. The global burden of disease : 2004 update.. [Online-Ausg.]. vyd. Geneva, Switzerland: World Health Organization, 2008. ISBN 978-92-4-156371-0. S. 35. 
  142. a b Maddox L, Schwartz DA. The pathofysiology of astma. Annu. Rev. Med.. 2002, roč. 53, s. 477–498. doi:10.1146/annurev.med.53.082901.103921. PMID 11818486. 
  143. Beckett PA, Howarth PH. Pharmacotherapy and airway remodelling in asthma?. Thorax. 2003, s. 163–74. doi:10.1136/thorax.58.2.163. PMID 12554904. 
  144. World Health Organization. WHO: Asthma [online]. [cit. 2007-12-29]. Dostupné v archivu pořízeném z originálu dne 2007-12-15. 
  145. Bush A, Menzies-Gow A. Phenotypic differences between pediatric and adult asthma. Proc Am Thorac Soc. 2009, s. 712–9. doi:10.1513/pats.200906-046DP. PMID 20008882. 
  146. Grant EN, Wagner R, Weiss KB. Observations on emerging patterns of asthma in our society. J Allergy Clin Immunol. 1999, s. S1–S9. doi:10.1016/S0091-6749(99)70268-X. PMID 10452783. 
  147. Anandan C, Nurmatov U, van Schayck OC, Sheikh A. Is the prevalence of asthma declining? Systematic review of epidemiological studies. Allergy. 2010, s. 152–67. doi:10.1111/j.1398-9995.2009.02244.x. PMID 19912154. 
  148. BOUSQUET, J, Bousquet, PJ; Godard, P; Daures, JP. The public health implications of asthma.. Bulletin of the World Health Organization. 2005 Jul, s. 548–54. PMID 16175830. 
  149. ANDERSON, HR, Gupta R, Strachan DP, Limb ES. 50 years of asthma: UK trends from 1955 to 2004. Thorax. 2007, s. 85–90. doi:10.1136/thx.2006.066407. PMID 17189533. 
  150. MASOLI, Matthew. Global Burden of Asthma. [s.l.]: [s.n.], 2004. Dostupné v archivu pořízeném dne 2013-05-02. S. 9. 
  151. Lecture 14: Hypersensitivity [online]. [cit. 2008-09-18]. Dostupné v archivu pořízeném dne 2006-02-06. 
  152. Allergy & astma Disease Management Center: Ask the Expert [online]. [cit. 2008-09-18]. Dostupné v archivu pořízeném dne 2007-02-16. 
  153. Manniche L. Sacred luxuries: fragrance, aromatherapy, and cosmetics in ancient Egypt. [s.l.]: Cornell University Press, 1999. ISBN 978-0-8014-3720-5. S. 49. 
  154. Asthma History - Through The Ages [online]. [cit. 2014-08-09]. Dostupné v archivu pořízeném dne 2014-08-11. (anglicky) 
  155. Thorowgood JC. On bronchial asthma. British Medical Journal. 1873, s. 600. doi:10.1136/bmj.2.673.600. PMID 20747287. 
  156. Gaskoin G. On the treatment of asthma. British Medical Journal. 1872, s. 339. doi:10.1136/bmj.1.587.339. PMID 20746575. 
  157. Berkart JB. The treatment of asthma. British Medical Journal. 1880, s. 917–8. doi:10.1136/bmj.1.1016.917. PMID 20749537. 
    Berkart JB. The treatment of asthma. British Medical Journal. 1880, s. 960–2. doi:10.1136/bmj.1.1017.960. PMID 20749546. 
  158. Bosworth FH. Hay fever, asthma, and allied affections. Transactions of the Annual Meeting of the American Climatological Association. 1886, s. 151–70. PMID 21407325. 
  159. Doig RL. Epinephrin; especially in asthma. California State Journal of Medicine. 1905, s. 54–5. PMID 18733372. 
  160. VON MUTIUS, E, Drazen, JM. A patient with asthma seeks medical advice in 1828, 1928, and 2012.. New England Journal of Medicine. 2012 Mar 1, s. 827–34. PMID 22375974. 
  161. Crompton G. A brief history of inhaled asthma therapy over the last fifty years. Primary care respiratory journal : journal of the General Practice Airways Group. 2006 Dec, s. 326–31. PMID 17092772. 
  162. a b Opolski M, Wilson I. Asthma and depression: a pragmatic review of the literature and recommendations for future research. Clin Pract Epidemol Ment Health. 2005, s. 18. doi:10.1186/1745-0179-1-18. PMID 16185365. 

Externí odkazy

  • Galerie astma na Wikimedia Commons
  • Obrázky, zvuky či videa k tématu astma na Wikimedia Commons
  • Slovníkové heslo astma ve Wikislovníku
  • National Asthma Education and Prevention Program (NAEPP), 2007. Expert Panel Report 3: Guidelines for the Diagnosis and Management of Asthma [online]. 2007 [cit. 2014-07-31]. Dostupné v archivu pořízeném dne 2013-10-19. 
  • , 2008 (revised 2012). British Guideline on the Management of Asthma [online]. 2008 (revised 2012). Dostupné online. 
  • , 2011. Global Strategy for Asthma Management and Prevention [online]. Global Initiative for Asthma, 2011 [cit. 2014-07-31]. Dostupné v archivu pořízeném dne 2012-11-20. 
Wikipedie neručí za správnost lékařských informací v tomto článku. V případě potřeby vyhledejte lékaře!
Přečtěte si prosím pokyny pro využití článků o zdravotnictví.