Clarova buňka


Clarova buňka (někdy „Clara buňka“), pojmenovaná po svém objeviteli, rakouském lékaři Maxi Clarovi, je buňka vyskytující se v epitelu průdušinek (bronchiolů), zejména terminálních a respiračních. Její zásadní funkcí je produkce povrchově aktivních látek zabraňujících kolapsu bronchiolů.
Popis
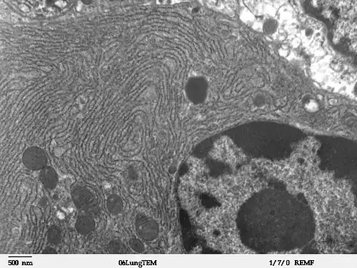
Clarova buňka má obvykle cylindrický tvar s oválným jádrem uloženým spíše bazálně. Rovněž bazálně uložená granulární endoplazmatická retikula (GER) jsou nepříliš vyvinutá, naproti tomu hladká endoplazmatická retikula (SER) v apikální části je mohutně rozvinuté. Vzrostlý Golgiho aparát se nachází nad jádrem nebo laterálně od něj. Mitochondrie jsou nápadně velké. Dominantou apikální části buňky jsou sekreční granula.[1] Cytoplazma Clarových buněk je světlejší než cytoplazma buněk sekrečních, se kterými jsou si v jiných ohledech poněkud podobné.[2]
Průkaz v klasické histologii
Vzhledem k obsahu fosfolipidů lze Clarovy buňky snadno prokázat PAS reakcí.
Funkce
Důležitou funkcí Clarových buněk je sekrece látky analogické surfaktantu (produkovaným pneumocyty II. typu v alveolech). Tento fosfolipid brání kolapsu plic způsobeného smrštěním stěny bronchiolů jednoduše a efektivně tím, že snižuje její povrchové napětí.[3][4]
Další látkou, produkovanou Clarovými buňkami je 16-kDa protein, nazývaný také Clara cell protein (CC16).[4] Místa jeho výskytu však nejsou omezena pouze na přítomnost Clarových buněk.[5] CC16 je používán jako marker v bronchoalveolární lavážní tekutině (BALF). Sekrece proteinu klesá při plicních zraněních (jako důsledek poškození Clarových buněk),[4] paradoxně ale může koncentrace proteinu v této tekutině stoupat – taková skutečnost svědčí a porušení bariéry vzduch-krev[5] a lze jí využít například při posuzování integrity bariéry při sarkoidóze.[6]
Clarovy buňky působí také jako činitel degradující cizí toxické látky. Tato degradace je založena na oxidaci pomocí komplexu cytochromu P-450 a monooxidáz.[1]
Clarovy buňky jsou rovněž významným inhibitorem fosfolipázy A2.[5]
Reference
- ↑ a b Václava Konrádová, Jiří Uhlík, Luděk Vajner; Funkční histologie (2000); Jinočany; ISBN 80-86022-80-3
- ↑ Petr Hach, Zuzana Jirsová, Ivan Těšík; Histologie II (2006); Karolinum; ISBN 80-246-0476-0
- ↑ Radomír Čihák; Anatomie 2 (2002); Grada publishing; ISBN 80-247-0143-X
- ↑ a b c Michael H. Ross, Gordon I. Kaye, Wojciech Pawlina; Histology: a text and atlas (2002–2010); Lippincott Williams & Wilkins; ISBN 0683302426
- ↑ a b c JORENS, P.G.; SIBILLE, Y.; GOULDING, N.J.; VAN OVERVELD, F.J.; HERMAN, A.G.; BOSSAERT, L.; DE BACKER, W.A. Potential role of Clara cell protein, an endogenous phospholipase A2 inhibitor, in acute lung injury. S. 1647–1653. European Respiratory Journal [online]. 1995-10-01. Roč. 8, čís. 10, s. 1647–1653. Dostupné online. doi:10.1183/09031936.95.08101647. (anglicky)
- ↑ HERMANS, C.; PETREK, M.; KOLEK, V.; WEYNAND, B.; PIETERS, T.; LAMBERT, M.; BERNARD, A. Serum Clara cell protein (CC16), a marker of the integrity of the air-blood barrier in sarcoidosis. S. 507–514. European Respiratory Journal [online]. 2001-09-01. Roč. 18, čís. 3, s. 507–514. Dostupné online. ISSN 0903-1936. (anglicky)