PAS reakce

_PAS_stain.jpg)
PAS reakce (Periodic Acid Schiff) je základní reakcí důkazu polysacharidů. Používá se jako jedna z barvicích metod při vytváření histologických preparátů, zejména v medicíně.
Princip
PAS reakce využívá vzniku aldehydů (dialdehydů) při oxidaci polysacharidů kyselinou jodistou. Vznikající aldehydy reagují s Schiffovým reagens (leukobáze fuchsinu[1]) a vytváří komplex s fialově červeným zbarvením.
Provedení
Před samotným barvením je potřeba řezy odparafinovat. Pro tento účel použijeme dvou xylenových lázní po pěti minutách. Po rozpuštění parafínu převede preparát do vody za použití sestupné ethanolové řady, končíme vypráním ve vodě po dobu pěti minut.
Odparafínované řezy, vyprané ve vodě, opláchneme v 70% ethanolu. Následně je oxidujeme 5 minut v kyselině jodisté při pokojové teplotě. Poté řezy opět opláchneme v 70% ethanolu a redukujeme je buď v redukční lázni po dobu 1 min, nebo pereme 10 min v tekoucí vodě. Řezy opláchneme v 70% ethanolu a přeneseme do Shiffova reagens, kde zůstanou 20 min, po kterých jej opláchneme v tekoucí vodě. Jádra dobarvíme Harrisovým hematoxylinem. Řezy odvodníme ve vzestupné ethanolové řadě, projasníme ve dvou xylenových lázních a zamontujeme do kanadského balzámu.[2]
Fixace
K fixaci se hodí většina fixativ - Bouin, formol, tekutiny se sublimátem a zejm. Lillieho tekutina.[2]
Výsledek
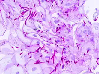
Purpurově červeně budou zbarveny PAS pozitivní substance (glykogen, neutrální mukopolysacharidy a mukoproteiny). Modře jsou dobarvena jádra buněk.[2]
PAS reakce s kontrolním řezem
Této metody se užívá k rozlišení glykogenu od jiných PAS+ substancí. Je třeba pracovat s dvojicí řezů, z nichž jeden - kontrolní - se před PAS reakcí po dobu 30 min při laboratorní teplotě vystaví působení diastázy nebo slinné amylázy (jež štěpí glykogen). V případě, že kontrolní řez nevykazuje reakci, lze PAS+ substanci v nenatráveném řezu považovat za glykogen.[3]
Reference
Externí odkazy
Obrázky, zvuky či videa k tématu PAS reakce na Wikimedia Commons