Whippleova choroba
| Whippleova choroba | |
|---|---|
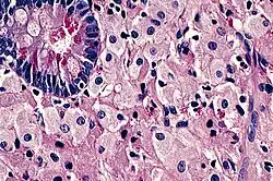
![]() Mikroskopický snímek tenkého střeva u Whippleovy choroby: v lamina propria je přítomný infiltrát zpěněných makrofágů | |
| Klasifikace | |
| MKN-10 | K90.8 |
| Některá data mohou pocházet z datové položky. | |
Whippleova choroba (anglicky: Whipple's disease), či též intestinální (střevní) lipodystrofie,[1] je vzácné systémové infekční onemocnění, jehož původcem je bakterie Tropheryma whipplei.[1] Poprvé bylo popsáno Georgem Hoytem Whipplem v roce 1907 a je považováno za gastrointestinální poruchu. Projevuje se maloabsorpčním syndromem a primárně postihuje zažívací ústrojí (zejména sliznici tenkého střeva a mimo něj též sliznici tlustého střeva).[2] Může však postihnout jakoukoli část těla, včetně srdce, plic, mozku, ledvin, kloubů a očí.[3] Mezi přítomné symptomy patří úbytek tělesné hmotnosti, horečky, zvracení, průjmy, bolest kloubů a artritida.[1][2][3] Jejich výskyt je však značně variabilní a zhruba 15 % pacientů tyto symptomy a příznaky nepotkají. Whippleova choroba je častější u mužů středního věku (30–60 let);[1] celkem muži tvoří 87 % všech pacientů.[4] V případě odhalení a včasné léčby může být vyléčena pomocí dlouhodobé (i několikaleté) terapie antibiotik.[1] Neléčená choroba je smrtelná.[1]
Odkazy
Reference
V tomto článku byl použit překlad textu z článku Whipple's disease na anglické Wikipedii.
- ↑ a b c d e f LUKÁŠ, Karel; ŽÁK, Aleš a kolektiv. Gastroenterologie a hepatologie. Praha: Grada, 2007. 380 s. Dostupné online. ISBN 978-80-247-1787-6. S. 116.
- ↑ a b JOSEF, Marek a kolektiv. Farmakoterapie vnitřních nemocí. 4. vyd. Praha: Grada, 2010. 808 s. Dostupné online. ISBN 978-80-247-2639-7. S. 201.
- ↑ a b ŘÍHOVÁ, Eva a kolektiv. Uveitidy. Praha: Grada, 2009. 134 s. Dostupné online. ISBN 978-80-247-2897-1. S. 44.
- ↑ FENOLLAR, F., PUÉCHAL, X., RAOULT, D. Whipple's disease. The New England Journal of Medicine. Leden 2007, roč. 356, čís. 1, s. 55–66. doi:10.1056/NEJMra062477. PMID 17202456. (anglicky)
Externí odkazy
Obrázky, zvuky či videa k tématu Whippleova choroba na Wikimedia Commons - Whippleova choroba v databázi Who Named It? (anglicky)
- (česky) Velký lékařský slovník – Whippleova nemoc
- (česky) Zdravotnické noviny – Whippleova choroba[nedostupný zdroj]
