Vzdušnice
.jpg)
Vzdušnice (tracheje) jsou bohatě větvené trubice, které slouží jako dýchací orgány některých členovců (např. hmyz, stonožky, mnohonožky) a drápkovců. Přivádí z otvorů na povrchu těla čerstvý vzduch směrem ke tkáním, a to na rozdíl od krevního řečiště obratlovců, z velké části bez přítomnosti jakýchkoliv tekutin.
Stavba
_Stigma_of_arachnid_trachea.jpg)
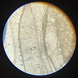
Vzdušnice vznikají z ektodermu (srovnej např. s plícemi obratlovců, které vznikají z endodermu). Na povrch ústí otvorem – stigmatem – který bývá velmi často pokryt chloupky, jež mají ochranný význam. Jím vyúsťuje na povrch tracheální trubice vyztužená kutikulou tvořenou chitinem (a tedy svlékaná spolu s vnější kutikulou na povrchu těla) a navíc spirálovitými žebry – taenidiemi. Tato tracheální trubice se větví a rozdrobuje a na konci z ní ústí tzv. tracheoly, které však jsou již velmi tenké a navíc obsahují tekutinu, přes niž difundují plyny do tkání a zpátky.

Nepravé vzdušnice
Jako nepravé vzdušnice (pseudotracheje) se označují velmi podobné struktury, které je možné najít u suchozemských korýšů. Jedná se rovněž o tenké trubičky, ty však dýchací plyny netransportují až do tkání, ale odevzdávají je do cévní soustavy, která tyto plyny následně transportuje na místo určení.
Odkazy
Externí odkazy
Obrázky, zvuky či videa k tématu vzdušnice na Wikimedia Commons - Studijní text týkající se dýchacích orgánů
- (anglicky) Tracheal brathing – popis vzdušnicového systému