Subdurální hematom
| Subdurální hematom | |
|---|---|
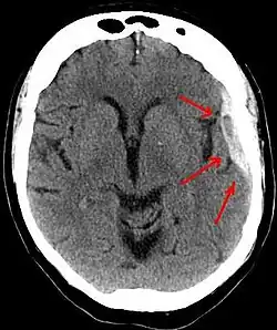
![]() CT snímek subdurálního hematomu, který vznikl následkem traumatu | |
| Klasifikace | |
| MKN-10 | I61.0, S06.5 |
| Některá data mohou pocházet z datové položky. | |
Subdurální hematom je druh traumatického poranění mozku, spočívající v krevní kolekci mezi tvrdou plenou mozkovou (dura mater) a pavučnicí (arachnoidea). Subdurální hematom mívá spíše poloměsíčitý tvar (na rozdíl od epidurálního hematomu, které má tvar spíše čočkovitý). Rozlišujeme tři typy subdurálního hematomu:
- akutní - manifestace do 24–48 hodin po úrazu
- subakutní - manifestace do 3 týdnů po úrazu
- chronický - manifestace za týdny až měsíce[1]
Klinický obraz

- jako u epidurálního hematomu, ale pozvolnější průběh
- pokud je přítomen lucidní interval, bývá delší
- hemiparéza (obvykle na opačné straně než hematom, ale může být i na straně stejné, pokud došlo k posunu mozkového kmene)
- anizokorie - méně často
Kolikvací krevního hematomu vzniká tzv. chronický subdurální hematom. Má vlastní pouzdro a uvnitř je serózní tekutina. Vzniká nejčastěji krvácením přemosťujících žil (vedou z povrchu mozku do sinus durae matris). Téměř vždy je doprovázen mozkovou kontuzí. Chronický hematom se zvětšuje díky osmotickému mechanismu (pouzdro je semipermeabilní membránou) a díky opakovanému drobnému subdurálnímu krvácení z proliferujících kapilár na membráně hematomu. Klinicky se projevuje až s velkým zpoždění, třeba za 3 měsíce nebo za 3 roky.[2] Predisponující faktory pro vznik chronického subdurálního krvácení: starší věk, ethylismus, arachnoidální cysty, koagulopatie, antikoagulační léčba, arteriální hypertenze, epilepsie, atp.[2]
Symptomy
- bolest hlavy, zvracení, městnání na očním pozadí
- změny osobnosti a zhoršení intelektu
- kvantitativní poruchy vědomí s hemiparézou
Diagnóza
Hematom je vidět při CT vyšetření jako semilunární hyperdenzní útvar u kostí lebky (kalva).
Léčba
- konzervativní (spontánní resorpce hematomu)
- ev. neurochirurgické ošetření
Prognóza
- dobrá, při včasné léčbě bez následků[2]
Odkazy
Reference
- V tomto článku je použit text článku Subdurální hematom ve WikiSkriptech českých a slovenských lékařských fakult zapojených v MEFANETu.
Související články
Externí odkazy
Obrázky, zvuky či videa k tématu subdurální hematom na Wikimedia Commons - Solen, MUDr. Václav Málek PhD. - Chronický subdurální hematom
