Sjögrenův syndrom
| Sjögrenův syndrom | |
|---|---|
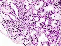
![]() Histopatologický snímek fokální lymfoidní infiltrace malé slinné žlázy při Sjögrenově syndromu; biopsie rtu | |
| Klasifikace | |
| MKN-10 | M35.0 |
| MeSH | D012859 |
| Některá data mohou pocházet z datové položky. | |
Sjögrenův syndrom je autoimunitní onemocnění, při němž imunitní buňky napadají a ničí exokrinní žlázy,[1] které produkují slzy a sliny. Je pojmenován po švédském oftalmologovi Henriku Sjögrenovi (1899–1986), který jej jako první popsal. Syndrom častěji postihuje ženy a klinicky se popisuje jeho primární a sekundární varianta.[2]
Primární Sjögrenův syndrom
Primární Sjögrenův syndrom se vyskytuje jako samostatné onemocnění. Jeho projevem je snížená tvorba slin (suchá ústa) a slz (suché oči). Na podkladě poruchy slzného filmu se může rozvinout zánět rohovky s možnými komplikacemi (vřed, perforace).[3][4]
Sekundární Sjögrenův syndrom
Sekundární Sjögrenův syndrom se vyskytuje v souvislosti s jiným, nejčastěji autoimunitním onemocněním charakteru kolagenózy (zánětu pojiva). Bývá popisován zejména u pacientů se SLE, revmatoidní artritidou nebo sklerodermií.[4]
Diagnostika a léčba
Dostupným a jednoduchým je tzv. Schirmerův diagnostický test. Sterilní filtrační papírek je při něm založen na rozhraní zevní a střední třetiny dolního víčka a ponechán 5 minut. Po uplynutí této doby se změří délka vlhké části papírku, která by u zdravých jedinců měla přesahovat 10 mm.[3]
Diagnóza může být potvrzena provedením biopsie postižené žlázy. Histopatologickému obrazu dominuje bohatá lymfocytární infiltrace, odpovídající probíhajícímu autoimunitnímu zánětu. V krajním případě hrozí vznik lymfomu B-řady.[3][4]
Projevy syndromu u konkrétního pacienta mohou být mírné, a proto zůstává řada případů neodhalena.[3]
Léčba Sjögrenova syndromu je převážně symptomatická. Spočívá v aplikaci umělých slz a dodržování správné ústní hygieny.[3]
Odkazy
Reference
V tomto článku byl použit překlad textu z článku Sjögren's syndrome na anglické Wikipedii.
- ↑ Delaleu N, Immervoll H, Cornelius J, Jonsson R. Biomarker profiles in serum and saliva of experimental Sjögren's syndrome: associations with specific autoimmune manifestations. Arthritis Res. Ther.. 2008, roč. 10, čís. 1, s. R22. Dostupné v archivu pořízeném dne 2008-04-09. doi:10.1186/ar2375. PMID 18289371. Archivováno 9. 4. 2008 na Wayback Machine.
- ↑ POKRIVČÁK, Tomáš. Syndromy a symptomy. Praha: Triton, 2009. ISBN 978-80-7387-136-9. S. 161.
- ↑ a b c d e HELEN., Chapel,. Základy klinické imunologie : 6. vydání. Praha: [s.n.] xiv, 343 stran s. ISBN 9788075533968, ISBN 8075533968. OCLC 1031053171 S. 200.
- ↑ a b c Rubin's pathology : clinicopathologic foundations of medicine. Seventh edition. vyd. Philadelphia: [s.n.] xiii, 1602 pages s. ISBN 9781451183900, ISBN 1451183909. OCLC 878915189 S. 499.
Externí odkazy
Obrázky, zvuky či videa k tématu Sjögrenův syndrom na Wikimedia Commons - (anglicky) eMedicine - Sjögrenův syndrom
- Sjögrenův syndrom v databázi Who Named It? (anglicky)

Přečtěte si prosím pokyny pro využití článků o zdravotnictví.
.jpg)