Schizofrenie
| Schizofrenie | |
|---|---|
![]() | |
| Klasifikace | |
| MKN-10 | F20 - F29 |
| DSM-IV | 295.xx |
| MeSH | F03.700.750 F03.700.750 F03.700.750 |
| MeSH | {{{MeshNumber}}} |
| Statistické údaje – obě pohlaví[1] | |
| Prevalence | 0,4 % (jde o počet diagnostikovaných) |
| Maximum výskytu | 15-35 |
| Statistické údaje – ženy[2][3] | |
| Mortalita | 65 let |
| Maximum výskytu | 25-35 |
| Statistické údaje – muži[2][3] | |
| Mortalita | 57 let |
| Maximum výskytu | 15-25 |
| Klinický obraz | |
| Průběh | Obvykle chronický, případně prudký, záchvatovitý |
| Příčiny nebo rizikové faktory | Multifaktoriální, dosud neobjasněné, avšak je kladena obezřetnost na genetickou zátěž, vývoj CNS a psychosociální stránku jedincova života. |
| Postižený systém | Mozek |
| Některá data mohou pocházet z datové položky. | |
Schizofrenie je duševní porucha charakteristická selháváním myšlenkových procesů a sníženou schopností vnímat emoce a reagovat na ně.[4] Nejběžněji se projevuje sluchovými halucinacemi, paranoidními či bizarními bludy nebo zmatenou řečí a myšlením, a jde ruku v ruce s rozsáhlou sociální či pracovní dysfunkcí. Symptomy se začínají objevovat typicky v rané dospělosti s globální prevalencí přibližně 0,3–0,7 %.[5] Diagnóza je založena na pozorovaném chování a zkušenostech popsaných pacientem.
Genetika, prostředí obklopující jedince v dětství, neurobiologie a psychologické a sociální procesy jsou důležitými faktory podílejícími se na vzniku nemoci; zdá se, že její symptomy způsobují či zhoršují některé rekreační drogy a předepisované léky. Současný výzkum se zaměřuje na roli neurobiologie, ačkoli dosud nebyla zjištěna žádná izolovaná organická příčina. Mnoho možných kombinací symptomů vedlo k zahájení debaty o tom, zda diagnóza představuje jedinou poruchu nebo řadu nespojitých syndromů. Navzdory etymologii výrazu – slovo vzniklo z kořenů řeckých slov schizein (σχίζειν, "rozštěpit") a frén, fren- (φρήν, φρεν-; "mysl") – schizofrenie neimplikuje "rozštěpenou mysl" a není totožná s disociativní poruchou identity (rovněž známou jako "mnohočetná porucha osobnosti" nebo "rozpolcená osobnost"), tedy onemocněním, s nímž je veřejným míněním často zaměňována.[6]
Hlavní způsob léčby představují antipsychotika, která primárně potlačují činnost dopaminových (a někdy serotoninových) receptorů. Psychoterapie a pracovní a sociální rehabilitace jsou při léčbě rovněž důležité. V závažnějších případech, které představují riziko pro dotyčnou osobu i pro ostatní, může být nezbytná nedobrovolná hospitalizace, nicméně pobyt v nemocnici je kratší a méně častý, než tomu bývalo v minulosti.[7]
U osob se schizofrenií je pravděpodobné, že budou trpět dalšími (souběžnými) onemocněními. Míra zneužívání návykových látek u těchto pacientů je téměř 50 %.[8] Průměrná očekávaná délka života osob se schizofrenií je o 12 až 15 let nižší než u těch, kteří tímto onemocněním netrpí, a to v důsledku významných zdravotních problémů v souvislosti s nadměrným užíváním léčiv[4][zdroj?!] a vyšší četnosti výskytu sebevražd (přibližně 5 %).[5]
Termín
Schizofrenie patří díky své výraznosti mezi jednu z prvních popsaných duševních poruch vůbec a její popisy se nacházejí už v hebrejské bibli, odkud pochází také zlidovělý výraz pro tuto nemoc (a přeneseně pro duševní poruchy vůbec): mešuge.[9] Výraz „schizofrenie“—který lze přeložit přibližně jako "rozštěpení mysli" a jenž vychází z řeckého kořene „schizein“ (σχίζειν, „rozštěpit“) a „phrēn“, „phren-“ (φρήν, φρεν-, „mysl“)[10]—použil poprvé roku 1908 Eugen Bleuler. Původně mělo toto slovo vystihnout oddělení fungování osobnosti, myšlení, paměti a vnímání. Bleuler charakterizoval hlavní symptomy pod názvem 4 A – oploštělé emoce (flattened Affect), autismus (Autism), rozvolnění souvislosti myšlenek (impaired Association of ideas) a rozpolcenost (Ambivalence).[11] Už tehdy si uvědomil, že onemocnění není demencí, neboť stav některých z jeho pacientů se spíše zlepšoval než naopak. Proto navrhl pojem schizofrenie.
Nepochopení termínu
Pojem schizofrenie je často nesprávně chápán jako slovo označující nemoc, v jejímž průběhu člověk trpí „rozpolcením osobnosti“. I když někteří nemocní, u nichž byla schizofrenie diagnostikována, mohou slyšet hlasy a vnímat je zřetelně jako samostatné osoby, schizofrenie nespočívá v tom, že by nemocný přebíral roli několika různých osobností. Toto zmatení vzniklo částečně v důsledku doslovné interpretace Bleulerova pojmu schizofrenie.
Symptomy
Osoba, u níž je diagnostikována schizofrenie, může zažívat halucinace (nejčastěji slyšení hlasů), bludy (často bizarní nebo ovládavé) a zmatené myšlení a řeč. U posledně jmenované poruchy může jít o narušení myšlenkového pochodu přes významově pouze volně související věty až po výraznou nesouvislost projevu známou jako slovní salát (v závažných případech). Pro schizofrenii jsou běžné sociální stažení, nedbalost na hygienu a oblékání a ztráta motivace a úsudku.[12] Často lze pozorovat emocionální potíže, například ztrátu vnímavosti.[13] Se schizofrenií souvisí zhoršení sociálního vědomí,[14] stejně jako symptomy paranoie; běžně dochází i ke společenské izolaci.[15] Často se rovněž objevují potíže pozorností, exekutivními funkcemi a rychlostí zpracování informací.[5] V případě jednoho neobvyklého podtypu nemoci může být nemocný z velké části nemluvný, zůstávat nehybný v bizarních polohách či vykazovat neúčelné rozrušení, což jsou příznaky katatonie.[16]
Hlavním obdobím nástupu schizofrenie jsou pozdní adolescence a raná dospělost,[5] tedy roky kritické pro společenský a pracovní rozvoj mladého dospělého člověka.[17] U 40 % mužů a 23 % žen s diagnostikovanou schizofrenií se nemoc projevila před 19. rokem života.[18] Aby bylo minimalizováno narušení vývoje se schizofrenií spojované, odvedli vědci v posledním období mnoho práce na identifikaci a léčbě prodromální fáze nemoci, kterou je možné zjistit až 30 měsíců před nástupem symptomů.[17] Osoby, u kterých se schizofrenie později rozvine, mohou během prodromální fáze zažívat přechodné nebo spontánně mizející psychotické symptomy[19] stejně jako symptomy nespecifické, k nimž patří společenská stažení, podrážděnost, mrzutost[20] a neohrabanost.[21]
Schizofrenie je někdy spojována s vyšší měrou násilného jednání, i když k němu dochází především v důsledku nadměrného užívání návykových látek.[22] Počet vražd souvisejících s psychózou je podobný počtu vražd souvisejících se zneužíváním návykových látek a odpovídá celkovému počtu v dané oblasti.[23]
Schneiderova klasifikace
Na počátku 20. století sestavil psychiatr Kurt Schneider soupis psychotických symptomů, o nichž se domníval, že odlišují schizofrenii od ostatních psychotických poruch. Ty se označují za symptomy prvního řádu nebo Schneiderovy symptomy prvního řádu. Patří mezi ně bludy o ovládání vnější silou; přesvědčení, že myšlenky jsou do vědomé mysli osoby vkládány nebo z ní vyjímány; přesvědčení, že myšlenky pacienta jsou šířeny mezi ostatní lidi; a slyšení halucinačních hlasů, které se vyjadřují k myšlenkám nebo činnostem nemocného nebo které konverzují s dalšími halucinačními hlasy.[24] Ačkoli významnou měrou přispěly k vytvoření stávajících diagnostických kritérií, je specificita symptomů prvního řádu zpochybňována. Revize diagnostických studií provedených mezi lety 1970 a 2005 zjistila, že tyto studie neumožňují ani potvrzení, ani vyvrácení Schneiderových tvrzení. V rámci revize bylo navrženo, aby budoucí revize diagnostických systémů nebraly na symptomy prvního řádu takový ohled.[25]
Pozitivní a negativní symptomy
Schizofrenie je často popisována s pomocí pojmů pozitivní a negativní (nebo deficitní) symptomy.[26] Pozitivní symptomy jsou ty, které většina osob normálně nezažívá, jež jsou ale u osob se schizofrenií přítomné. K nim řadíme bludy, zmatené myšlení a řeč; hmatové, sluchové, zrakové, čichové a chuťové halucinace, obvykle považované za projevy psychózy.[27] Halucinace rovněž obvykle tematicky souvisejí s bludy, které pacient zažívá.[28] Pozitivní symptomy obecně dobře reagují na nasazení léků.[28] V případě negativních symptomů jde o deficit normálních emocionálních reakcí či jiných myšlenkových procesů; na léky tyto symptomy reagují méně.[12] Běžně zahrnují otupělost či oploštělé emoce, ochuzení řeči (alogie), neschopnost zažívat potěšení (anhedonie), chybějící touhu utvářet vztahy (asocialita) a ztrátu motivace (abulie). Výzkum ukazuje, že negativní symptomy přispívají k nízké kvalitě života, funkčnímu postižení a zátěži ostatních lidí více než symptomy pozitivní.[29] Osoby s výraznými negativními symptomy mají často z období před nástupem onemocnění anamnézu špatného přizpůsobení a jejich odpověď na léčbu bývá omezená.[12][30]
Příčiny
Roli v rozvoji schizofrenie hraje kombinace genetických a environmentálních faktorů.[5][6] U osob s rodinnou anamnézou schizofrenie, které trpí přechodnými nebo spontánně mizejícími psychózami, je pravděpodobnost diagnózy schizofrenie do jednoho roku 20–40 %.[31] K mírnému zvýšení rizika rozvoje schizofrenie v pozdějším životě mohou přispět faktory jako hypoxie, infekce, stres nebo podvýživa matky během vývoje plodu.[5]
Genetické příčiny
Odhady týkající se dědičnosti se liší kvůli obtížnému oddělení působení genetických vlivů a okolního prostředí.[32] Největším rizikem pro rozvoj schizofrenie je nejbližší pokrevní příbuzný, u něhož bylo onemocnění diagnostikováno (riziko je 6,5 %). Postiženo může být i více než 40 % jednovaječných dvojčat, kde jeden ze sourozenců trpí schizofrenií.[6] Je pravděpodobné, že na vývoji onemocnění se podílí mnoho genů, přičemž vliv každého z nich je malý, jejich přenos a exprese nejsou známy.[6] Navrženo bylo mnoho možných kandidátů, včetně specifických variant počtu kopií, NOTCH4 a lokusů proteinu histonu.[33] Mezi další patří celogenomové asociace, například protein s motivem zinkového prstu 804A.[34] Zdá se, že existuje významný genetický překryv schizofrenie a bipolární poruchy.[35] Uvádí se i souvislost s Tay–Sachsovou chorobou.[36]
Vezmeme-li v úvahu dědičný základ, potom vyvstává evolučně psychologická otázka, proč se vyvinuly geny, které zvyšují pravděpodobnost psychóz za předpokladu, že tento stav by byl z pohledu evoluce maladaptivní. Jedna z teorií pracuje s domněnkou, že se geny vyvinuly během evoluce jazyka a lidské povahy; takové úvahy ale dodnes stále zůstávají spíše v teoretické rovině.[37][38]
Okolní prostředí
Mezi environmentální faktory spojované s rozvojem schizofrenie patří životní prostředí, užívání léků a návykových látek, a předporodní zátěžové faktory.[5] Nezdá se, že by styl rodičovské výchovy měl nějaký významnější efekt. Ačkoli pacientům, jejichž rodiče je podporují, se daří lépe než těm, jejichž rodiče se chovají kriticky či nepřátelsky.[6] Život v městském prostředí, ať už v dětství nebo v dospělosti, prokazatelně zvyšuje riziko schizofrenie dvakrát,[5][6] a to i po uvážení faktorů, jako je užívání drog, etnická skupina a velikost sociální skupiny.[39] Mezi další prvky, které hrají významnou roli, patří sociální izolace a imigrace. Tyto faktory doprovází nepříznivý postoj ze strany společnosti: rasová diskriminace, špatné fungování rodinných vztahů, nezaměstnanost a nevyhovující podmínky bydlení.[6][40]
Zneužívání látek
S rozvojem schizofrenie je dávána do souvislosti řada návykových látek, mezi něž patří konopí, kokain a amfetaminy.[6] Přibližně polovina osob se schizofrenií požívá v nadměrné míře drogy a/nebo alkohol.[41] Konopí může být příčinou nemoci,[42] ostatní drogy ale bývají užívány pouze jako krycí mechanismus pro vyrovnání se s depresí, úzkostí, nudou a osamělostí.[41][43]
Konopí je spojováno se zvýšeným rizikem rozvoje psychotické poruchy, zvyšujícím se v závislosti na velikosti dávek.[44] S častým užíváním této látky souvisí dvojnásobné riziko vzniku psychózy a schizofrenie.[43][45] Ačkoli užívání konopí je mnohými akceptováno jako vedlejší příčina rozvoje schizofrenie,[46] zůstává tento argument kontroverzní.[33][47] Amfetamin, kokain, a v menší míře alkohol mohou vyvolat psychózu, která se projevuje velmi podobně jako schizofrenie.[6][48] Ačkoli se nikotin obecně nepovažuje za jednu z příčin onemocnění, osoby se schizofrenií jej užívají v mnohem vyšší míře než ostatní populace.[49]
Mechanismy
Do současné doby byla učiněna řada pokusů o osvětlení vztahu mezi pozměněnou funkcí mozku a schizofrenií.[5] Jednou z nejvíce podporovaných teorií je dopaminová hypotéza, která vznik psychózy přisuzuje skutečnosti, že mysl člověka chybně interpretuje signály nesprávně vysílané dopaminergními neurony.[5]
Psychologické mechanismy
Do rozvoje a průběhu schizofrenie je zapojeno mnoho psychologických mechanismů. U osob s diagnostikovanou schizofrenií nebo u osob schizofrenií ohrožených bylo zjištěno kognitivní zkreslení, zejména ve stresu nebo v matoucích situacích.[50] Některé kognitivní funkce mohou odrážet celkový neurokognitivní deficit: například ztrátu paměti, zatímco ostatní se mohou vztahovat ke konkrétním problémům a zkušenostem.[51][52]
Navzdory prokázanému emočnímu oploštění nedávná zjištění ukazují, že mnoho osob s diagnostikovanou schizofrenií jsou emocionálně vnímaví jedinci, zejména v případě stresujících či negativních podnětů, a že tato citlivost může způsobit náchylnost k projevu symptomů či k samotné poruše.[53][54] Některé důkazy naznačují, že obsah bludných domněnek a psychotických zážitků může odrážet emocionální příčiny poruchy a že způsob, jak osoba tyto prožitky interpretuje, může mít vliv na symptomatologii.[55][56][57] K chronicitě bludů může přispívat "chování přinášející pocit bezpečí", jehož cílem je vyhnout se domnělým hrozbám.[58] Další důkazy o významu psychologických mechanismů přinášejí účinky různých druhů psychoterapie na symptomy schizofrenie.[59]
Neurologické mechanismy

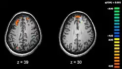
Schizofrenie je spojována s nepatrnými změnami ve struktuře mozku, zjištěnými u 40 až 50 % případů; a v chemických reakcích mozku během akutních psychotických stavů.[5] Studie využívající neuropsychologické testy a technologie zobrazování mozku (například fMRI a PET) ke zkoumání funkčních rozdílů v činnosti mozku ukázaly, že tyto rozdíly jsou nejčastěji patrné v čelních lalocích, hipokampu a spánkových lalocích.[60] V oblastech mozkové kůry čelního laloku a spánkových laloků bylo zjištěno zmenšení objemu mozku, i když v menší míře než u Alzheimerovy choroby. Není jasné, zda jsou tyto změny objemu postupné, nebo existují už před nástupem onemocnění.[61] Tyto rozdíly mají spojitost s neurokognitivním deficitem, často souvisejícím právě se schizofrenií.[62] Jelikož dochází ke změnám nervových okruhů, objevil se alternativní návrh, který chápe schizofrenii jako soubor neurovývojových poruch.[63]
Zvláštní pozornost byla věnována funkci dopaminu v mezolimbické dráze mozku, a to v důsledku náhodného zjištění, že fenothiaziny, které blokují funkci dopaminu, dokáží zmírnit psychotické symptomy. Ve prospěch tohoto tvrzení hovoří i skutečnost, že amfetaminy, které spouštějí uvolňování dopaminu, mohou psychotické symptomy schizofrenie zhoršovat.[64] Tzv. dopaminová hypotéza vzniku schizofrenie, která si získala značnou podporu, uvádí, že příčinou (pozitivních symptomů) schizofrenie je nadměrná aktivace D2 receptorů. Ačkoli tato hypotéza byla předpokládána již přibližně 20 let na základě blokády receptorů D2 společné všem antipsychotikům, studie provedené prostřednictvím PET a SPET zobrazování poskytly podpůrné důkazy až v druhé polovině 90. let 20. století. Dopaminová hypotéza je nyní považována za zjednodušující, částečně i proto, že novější antipsychotika (atypická antipsychotika) mohou být stejně účinná jako starší léky (typická antipsychotika), ale také proto, že mají vliv na funkci serotoninu a mohou mít mírně nižší účinek na blokaci dopaminu.[65]
Zájem se rovněž soustředil na neurotransmiter glutamát a sníženou funkci glutamátového receptoru NMDA u schizofrenie. Příčinou byl z velké části fakt, že v mozcích osob s diagnostikovanou schizofrenií byla posmrtně zjištěna abnormálně nízká hladina glutamátových receptorů,[66] a zjištění, že glutamát blokující drogy, jako například fencyklidin a ketamin, mohou napodobovat symptomy a kognitivní problémy se schizofrenií spojované.[67] Snížená funkce glutamátu je spojena se slabými výsledky během testů vyžadujících zapojení čelního laloku a hipokampu. Glutamát může rovněž ovlivnit funkci dopaminu, přičemž obojí v případě schizofrenie naznačuje významnou zprostředkující (a možná příčinnou) roli glutamátových drah při vzniku a průběhu onemocnění.[68] Pozitivní symptomy však na glutamátergní léčbu nereagují.[69]
Diagnóza

Schizofrenie je diagnostikována na základě kritérií uvedených buď v manuálu Americké psychiatrické asociace nazvaném Diagnostický a statistický manuál duševních poruch, verzi DSM-IV-TR, nebo v Mezinárodní statistické klasifikaci nemocí a přidružených zdravotních problémů, tzv. ICD-10, sestavené Světovou zdravotnickou organizací.[5] Tato kritéria vycházejí z vlastních zkušeností nemocného, zaznamenaných abnormalit jeho chování a klinického vyšetření jeho stavu odborníkem v oboru duševního zdraví. Kritéria klasifikace ICD-10 se zpravidla používají v evropských zemích, zatímco systém DSM-IV-TR se uplatňuje zejména ve Spojených státech a zbytku světa. Řídí se jím i převážná většina výzkumných studií. Kritéria klasifikace ICD-10 kladou větší důraz na Schneiderovy symptomy prvního řádu. V praxi je ovšem shoda mezi oběma klasifikačními systémy značná.[70]
Psychotické symptomy se mohou vyskytovat u řady dalších duševních onemocnění, mimo jiné například u bipolární poruchy,[71] hraniční poruchy osobnosti,[72] intoxikace různými látkami a psychózy vyvolané účinkem psychotropních látek. Bludy (nebizarní) rovněž doprovázejí poruchu s bludy, sociální stažení je pak známkou sociální úzkostné poruchy, vyhýbavé poruchy osobnosti a schizoidní poruchy osobnosti. Schizofrenie doprovází obsedantně kompulzivní poruchu (OCD) mnohem častěji, než by bylo možno vysvětlit pouhou náhodou. Může však být těžké odlišit obsese typické pro OCD od schizofrenních bludů.[73] K vyloučení dalších onemocnění, která se vzácně projevují psychotickými symptomy podobnými schizofrenii,[74] například metabolické poruchy, systemické infekce, syfilidy, HIV infekce, epilepsie a mozkových lézí, může být zapotřebí zevrubnější lékařské a neurologické vyšetření. Může být také nezbytné vyloučit delirium, pro něž jsou typické vizuální halucinace, akutní nástup a rychlé změny hladiny vědomí, a které je známkou jiného základního onemocnění. Vyšetření se obvykle po relapsu neopakují, pokud to nevyžaduje specifická zdravotní indikace nebo možné nežádoucí účinky vyplývající z užívání antipsychotických léků.
Léčba
Primárním způsobem léčby schizofrenie jsou antipsychotické léky, tzv. antipsychotika, často v kombinaci s psychickou a sociální podporou.[5] K hospitalizaci dochází u závažných případů nemoci, a to buď dobrovolně, nebo (pokud to legislativa týkající se duševního zdraví umožňuje) nedobrovolně. Dlouhodobá hospitalizace je od doby deinstitucionalizace v 50. letech 20. století spíše výjimkou, občas k ní ale dochází.[7] Běžné jsou pomocné služby pro veřejnost, jako jsou například tzv. drop-in centra, návštěvy členů komunitního týmu pro podporu duševního zdraví, podporované zaměstnávání[75] a podpůrné skupiny. Některá fakta nasvědčují tomu, že na tělesné a duševní zdraví osob trpících schizofrenií má pozitivní vliv pravidelné cvičení.[76]
Léky

Primárním prostředkem psychiatrické léčby schizofrenie jsou antipsychotické léky,[77] jež mohou omezit pozitivní symptomy psychózy během zhruba 7–15 dní. Antipsychotika však bohužel nijak výrazně nezlepšují negativní symptomy a kognitivní dysfunkci.[30][78] Dlouhodobé užívání těchto přípravků snižuje riziko relapsu.[79]
Volba antipsychotik vychází z jejich očekávaného přínosu, rizika a finančních nákladů.[5] Je diskutabilní, zda jako třída jsou přínosnější antipsychotika typická nebo atypická.[80] U obou skupin byl zaznamenán obdobný počet pacientů, kteří nedokončili léčbu, a těch, u nichž došlo k relapsu, a to při podávání typických antipsychotik v nízkých nebo středních dávkách.[81] Na léčbu reaguje pozitivně 40–50 % pacientů, částečně 30-40 % pacientů. U 20 % osob byla zaznamenána rezistence na léčbu (ani po 6 týdnech léčení nebyla zaznamenána adekvátní reakce symptomů na 2 či 3 různá antipsychotika).[30] Účinným prostředkem léčby nemocných, kteří na jiné léky nereagují, je klozapin, u 1–4 % pacientů však byly po jeho podání prokázány potenciálně závažné nežádoucí účinky ve formě agranulocytózy (snížený počet bílých krvinek).[5][6][82]
Typická antipsychotika jsou spojována s častějším výskytem extrapyramidových nežádoucích účinků, zatímco pro atypická antipsychotika je příznačný nezanedbatelný nárůst hmotnosti pacienta, cukrovka a riziko metabolického syndromu.[81] Atypická antipsychotika vyvolávají méně extrapyramidových nežádoucích účinků, rozdíly jsou však minimální.[83] Některá atypická antipsychotika jako quetiapin a risperidon přinášejí ve srovnání s typickým antipsychotikem perfenazinem vyšší riziko úmrtí; naopak u klozapinu je toto riziko nejnižší.[84] Stále není jasné, zda nově vyvíjená antipsychotika snižují možnost vzniku neuroleptického maligního syndromu, vzácného, avšak velmi závažného neurologického onemocnění.[85]
Nemocným, kteří nejsou ochotni nebo schopni užívat léky pravidelně, lze podávat dlouhodobě působící depotní antipsychotické přípravky, aby tak byla zajištěna kontrola nad průběhem onemocnění.[86] Tyto léky snižují riziko relapsu ve větší míře než přípravky orálně podávané.[79] Doprovází-li jejich užívání psychosociální intervence, lze tímto způsobem zlepšit dlouhodobé dodržování léčby pacientem.[86]
Psychosociální léčba
V léčbě schizofrenie lze s úspěchem využít celou řadu psychosociálních intervencí. Patří k nim například rodinná terapie,[87] asertivní komunitní léčba, podporované zaměstnávání, kognitivní remediace,[88] nácvik dovedností nejrůznějšího druhu, kognitivní behaviorální terapie (CBT), kuponové pobídkové programy a psychosociální intervence zaměřující se na užívání návykových látek a kontrolu tělesné hmotnosti.[89] Rodinná terapie, jež se zaměřuje na rodinný systém pacienta jako celek, může snížit počet relapsů a hospitalizací.[87] Důkazy o účinnosti CBT při redukci symptomů nebo prevenci relapsů jsou minimální.[90][91] Vliv terapie prostřednictvím umění nebo dramatické hry nebyl doposud dostatečně prozkoumán.[92][93]
Prevence
V současné době jsou doklady o účinnosti časného zásahu pro prevenci schizofrenie nejednoznačné.[94]
Finanční náklady
Ve Spojených státech byly náklady na léčbu schizofrenie – zahrnující přímé náklady (ambulantní léčba, hospitalizace, léky a dlouhodobá péče) a náklady nesouvisející se zdravotním aspektem (uplatňování zákona, snížená pracovní výkonnost a nezaměstnanost) – odhadnuty v roce 2002 na 62,7 miliard dolarů.[95]
Prognóza
Schizofrenie je onemocnění náročné z hlediska finančního i lidského.[5] Jejím důsledkem je zkrácení očekávané délky života o 12–15 let, a to zejména proto, že je často doprovázena obezitou, sedavým způsobem života a kouřením. Zvýšený počet sebevražd hraje v této souvislosti méně významnou roli.[5] Rozdíly v očekávané délce života vzrostly v období 70. až 90. let 20. století[96]. V době mezi 90. lety 20. století a prvním desetiletím století 21. se ve zdravotnických systémech s otevřeným přístupem ke zdravotní péči (Finsko) nijak výrazně nezměnily.[84]
Pro přibližně tři čtvrtiny osob trpících schizofrenií je typická trvalá invalidita doprovázená relapsy.[30] Někteří z nemocných se však zcela uzdraví a další ve společnosti fungují bez větších potíží.[97] Většina schizofrenních pacientů dokáže s podporou komunitních služeb nezávisle žít.[5] U 42 % osob s první epizodou psychózy lze očekávat dobrý dlouhodobý výsledek léčby, u 35 % středně dobrý a u 27 % jen velmi chabý.[98] Výsledky léčby schizofrenie se zdají být lepší v rozvojovém než rozvinutém světě.[99] O těchto závěrech však byly vyjádřeny pochybnosti.[100][101]
Pro schizofrenii je typický vyšší než obvyklý poměrný počet sebevražd. Ten byl stanoven na 4,9 %. Podle ní dochází k sebevraždám nejčastěji v období následujícím po vypuknutí nemoci nebo po první hospitalizaci.[102] Několikanásobně více osob (20 až 40 %) se o sebevraždu aspoň jednou pokusí.[103][104] Vliv na onemocnění má i řada rizikových faktorů, k nimž patří například mužské pohlaví, deprese a vysoký inteligenční kvocient.[103]
Studie prováděné po celém světě prokázaly silnou souvislost mezi schizofrenií a kouřením.[105][106] Kouření je u jedinců, u nichž byla schizofrenie diagnostikována, obzvláště rozšířené – odhady se pohybují mezi 80 % a 90 %, zatímco u běžné populace je to 20 %.[106] Kuřáci trpící schizofrenií jsou pak obvykle velmi těžcí kuřáci a navíc kouří cigarety s vysokým obsahem nikotinu.[104] Některé důkazy nasvědčují tomu, že pacienti trpící paranoidní schizofrenií mohou mít ve vztahu k nezávislému životu a zaměstnání lepší vyhlídky než osoby s jinými typy tohoto onemocnění.[107]
Epidemiologie

Schizofrenie postihuje v jisté fázi života okolo 0,3–0,7 % osob,[5] což v roce 2011 bylo 24 miliónů nemocných na celém světě.[108] Vyskytuje se 1,4 krát častěji u mužů než u žen. U mužů obvykle vypukne dříve[6]: věk, kdy se nejčastěji poprvé projeví, je 20–28 let u mužů a 26–32 let u žen.[109] Počátek nemoci v dětství je mnohem vzácnější,[110] stejně jako rozvoj schizofrenie ve středním věku nebo ve stáří.[111] Navzdory zjištění, že schizofrenie se objevuje po celém světě v obdobné míře, se její výskyt liší jak v celosvětovém měřítku,[112] tak v rámci jednotlivých zemí[113] i na lokální úrovni.[114] Onemocnění je příčinou přibližně 1 % let života ovlivněných nezpůsobilostí na celém světě.[6] Jeho výskyt se liší až trojnásobně v závislosti na tom, jak je definováno.[5]
Schizofrenie v kultuře
Schizofrenie se stala námětem pro řadu filmů, ať už smyšlených (Já, mé druhé já a Irena, Donnie Darko, Hra na schovávanou, Tajemné okno ), či založených na skutečných událostech (Čistá duše, Důkaz).
Odkazy
Reference
- ↑ ÚZIS Psychiatrická péče 2009 Archivováno 13. 4. 2011 na Wayback Machine. (Tabulka 3.3)
- ↑ a b http://www.ordinace.cz/clanek/schizofrenie/?chapter=5
- ↑ a b http://www.psychicus.cz/psychiatrie-laicky/psychozy-a-schizofrenie
- ↑ a b "Schizophrenia" Concise Medical Dictionary. Oxford University Press, 2010. Oxford Reference Online.Maastricht University Library Archivováno 14. 6. 2012 na Wayback Machine.. 29 June 2010 prepaid subscription only
- ↑ a b c d e f g h i j k l m n o p q r s t van Os J, Kapur S. Schizophrenia. Lancet. 2009, s. 635–45. Dostupné v archivu pořízeném dne 2013-06-23. doi:10.1016/S0140-6736(09)60995-8. PMID 19700006. Archivovaná kopie. xa.yimg.com [online]. [cit. 2014-11-09]. Dostupné v archivu pořízeném z originálu dne 2013-06-23.
- ↑ a b c d e f g h i j k l Picchioni MM, Murray RM. Schizophrenia. BMJ. 2007, s. 91–5. doi:10.1136/bmj.39227.616447.BE. PMID 17626963.
- ↑ a b Becker T, Kilian R. Psychiatric services for people with severe mental illness across western Europe: what can be generalized from current knowledge about differences in provision, costs and outcomes of mental health care?. Acta Psychiatrica Scandinavica Supplement. 2006, s. 9–16. ISSN 0001-690X. doi:10.1111/j.1600-0447.2005.00711.x. PMID 16445476.
- ↑ Buckley PF, Miller BJ, Lehrer DS, Castle DJ. Psychiatric comorbidities and schizophrenia. Schizophr Bull. 2009, s. 383–402. doi:10.1093/schbul/sbn135. PMID 19011234.
- ↑ YOVELL, Yoram. Nepřítel v mém pokoji a jiné příběhy z psychoterapie. Praha: Portál, 2005. ISBN 978-80-7367-812-8. S. 293.
- ↑ Kuhn R. Eugen Bleuler's concepts of psychopathology. Tr. Cahn CH. History of Psychiatry. 2004, s. 361–6. doi:10.1177/0957154X04044603. PMID 15386868.
- ↑ Stotz-Ingenlath G. Epistemological aspects of Eugen Bleuler's conception of schizophrenia in 1911. Medicine, Health Care and Philosophy. 2000, s. 153–9. Dostupné online. doi:10.1023/A:1009919309015. PMID 11079343.
- ↑ a b c Carson VB (2000). Mental health nursing: the nurse-patient journey W.B. Saunders.ISBN 978-0-7216-8053-8. p. 638.
- ↑ Hirsch SR; WEINBERGER DR. Schizophrenia. [s.l.]: Wiley-Blackwell, 2003. Dostupné online. ISBN 9780632063888. S. 21.
- ↑ Brunet-Gouet E, Decety J. Social brain dysfunctions in schizophrenia: a review of neuroimaging studies. Psychiatry Res. 2006, s. 75–92. doi:10.1016/j.pscychresns.2006.05.001. PMID 17088049.
- ↑ Hirsch SR; WEINBERGERDR. Schizophrenia. [s.l.]: Wiley-Blackwell, 2003. Dostupné online. ISBN 9780632063888. S. 481.
- ↑ Ungvari GS, Caroff SN, Gerevich J. The catatonia conundrum: evidence of psychomotor phenomena as a symptom dimension in psychotic disorders. Schizophr Bull. 2010, s. 231–8. doi:10.1093/schbul/sbp105. PMID 19776208.
- ↑ a b Addington J, Cadenhead KS, Cannon TD, et al.. North American prodrome longitudinal study: a collaborative multisite approach to prodromal schizophrenia research. Schizophrenia Bulletin. 2007, s. 665–72. doi:10.1093/schbul/sbl075. PMID 17255119.
- ↑ Cullen KR, Kumra S, Regan J et al.. Atypical Antipsychotics for Treatment of Schizophrenia Spectrum Disorders. Psychiatric Times. 2008. Dostupné v archivu pořízeném dne 2008-12-28.
- ↑ Amminger GP, Leicester S, Yung AR, et al.. Early onset of symptoms predicts conversion to non-affective psychosis in ultra-high risk individuals. Schizophrenia Research. 2006, s. 67–76. doi:10.1016/j.schres.2006.02.018. PMID 16677803.
- ↑ Parnas J, Jorgensen A. Pre-morbid psychopathology in schizophrenia spectrum. British Journal of Psychiatry. 1989, s. 623–7. PMID 2611591.
- ↑ COYLE, Joseph, 2006. Basic Neurochemistry: Molecular, Cellular and Medical Aspects. Redakce Siegal George J. 7th. vyd. Burlington, MA: Elsevier Academic Press. ISBN 0-12-088397-X. Kapitola Chapter 54: The Neurochemistry of Schizophrenia, s. 876.
- ↑ FAZEL, S, Gulati, G, Linsell, L, Geddes, JR, Grann, M. Schizophrenia and Violence: Systematic Review and Meta-Analysis. Redakce McGrath John. PLoS medicine. August 2009, s. e1000120. doi:10.1371/journal.pmed.1000120. PMID 19668362.
- ↑ LARGE, M, Smith, G, Nielssen, O. The relationship between the rate of homicide by those with schizophrenia and the overall homicide rate: a systematic review and meta-analysis. Schizophrenia research. July 2009, s. 123–9. doi:10.1016/j.schres.2009.04.004. PMID 19457644.
- ↑ SCHNEIDER, K. Clinical Psychopathology. 5. vyd. New York: Grune & Stratton, 1959. Dostupné online.
- ↑ Nordgaard J, Arnfred SM, Handest P, Parnas J. The diagnostic status of first-rank symptoms. Schizophrenia Bulletin. 2008, s. 137–54. doi:10.1093/schbul/sbm044. PMID 17562695.
- ↑ Sims A. Symptoms in the mind: an introduction to descriptive psychopathology. Philadelphia: W. B. Saunders, 2002. ISBN 0-7020-2627-1.
- ↑ Kneisl C. and Trigoboff E.(2009). Contemporary Psychiatric- Mental Health Nursing. 2nd edition. London: Pearson Prentice Ltd. p. 371
- ↑ a b American Psychiatric Association. Task Force on DSM-IV. (2000). Diagnostic and statistical manual of mental disorders: DSM-IV-TR. American Psychiatric Pub. ISBN 978-0-89042-025-6. p. 299
- ↑ Velligan DI and Alphs LD. Negative Symptoms in Schizophrenia: The Importance of Identification and Treatment. Psychiatric Times. March 1, 2008. Dostupné v archivu pořízeném dne 2009-10-06.
- ↑ a b c d Smith T, Weston C, Lieberman J. Schizophrenia (maintenance treatment). Am Fam Physician. 2010, s. 338–9. PMID 20704164.
- ↑ Drake RJ, Lewis SW. Early detection of schizophrenia. Current Opinion in Psychiatry. 2005, s. 147–50. doi:10.1097/00001504-200503000-00007. PMID 16639167.
- ↑ O'Donovan MC, Williams NM, Owen MJ. Recent advances in the genetics of schizophrenia. Hum. Mol. Genet.. 2003, s. R125–33. doi:10.1093/hmg/ddg302. PMID 12952866.
- ↑ a b McLaren JA, Silins E, Hutchinson D, Mattick RP, Hall W. Assessing evidence for a causal link between cannabis and psychosis: a review of cohort studies. Int. J. Drug Policy. 2010, s. 10–9. doi:10.1016/j.drugpo.2009.09.001. PMID 19783132.
- ↑ O'Donovan MC, Craddock NJ, Owen MJ. Genetics of psychosis; insights from views across the genome. Hum. Genet.. 2009, s. 3–12. doi:10.1007/s00439-009-0703-0. PMID 19521722.
- ↑ Craddock N, Owen MJ. The Kraepelinian dichotomy - going, going... But still not gone. The British Journal of Psychiatry. 2010, s. 92–95. doi:10.1192/bjp.bp.109.073429. PMID 20118450.
- ↑ Rosebush PI, MacQueen GM, Clarke JT, Callahan JW, Strasberg PM, Mazurek MF. Late-onset Tay–Sachs disease presenting as catatonic schizophrenia: Diagnostic and treatment issues. Journal of Clinical Psychiatry. 1995, s. 347–53. PMID 7635850.
- ↑ Crow TJ. The 'big bang' theory of the origin of psychosis and the faculty of language. Schizophrenia Research. 2008, s. 31–52. doi:10.1016/j.schres.2008.03.010. PMID 18502103.
- ↑ Mueser KT, Jeste DV. Clinical Handbook of Schizophrenia. New York: Guilford Press, 2008. ISBN 1593856520. S. 22–23.
- ↑ Van Os J. Does the urban environment cause psychosis?. British Journal of Psychiatry. 2004, s. 287–288. doi:10.1192/bjp.184.4.287. PMID 15056569.
- ↑ Selten JP, Cantor-Graae E, Kahn RS. Migration and schizophrenia. Current Opinion in Psychiatry. 2007, s. 111–115. doi:10.1097/YCO.0b013e328017f68e. PMID 17278906.
- ↑ a b Gregg L, Barrowclough C, Haddock G. Reasons for increased substance use in psychosis. Clin Psychol Rev. 2007, s. 494–510. doi:10.1016/j.cpr.2006.09.004. PMID 17240501.
- ↑ LARGE, M, Sharma, S, Compton, MT, Slade, T, Nielssen, O. Cannabis Use and Earlier Onset of Psychosis: A Systematic Meta-analysis.. Archives of general psychiatry. 2011 Feb 7. PMID 21300939.
- ↑ a b Leweke FM, Koethe D. Cannabis and psychiatric disorders: it is not only addiction. Addict Biol. 2008, s. 264–75. doi:10.1111/j.1369-1600.2008.00106.x. PMID 18482435.
- ↑ Moore THM, Zammit S, Lingford-Hughes A et al.. Cannabis use and risk of psychotic or affective mental health outcomes: a systematic review. Lancet. 2007, s. 319–328. doi:10.1016/S0140-6736(07)61162-3. PMID 17662880.
- ↑ SEWELL, RA, Ranganathan, M, D'Souza, DC. Cannabinoids and psychosis. International review of psychiatry (Abingdon, England). 2009 Apr, s. 152–62. doi:10.1080/09540260902782802. PMID 19367509.
- ↑ HENQUET, C, Di Forti, M, Morrison, P, Kuepper, R, Murray, RM. Gene-Environment Interplay Between Cannabis and Psychosis. Schizophrenia bulletin. 2008 Nov, s. 1111–21. doi:10.1093/schbul/sbn108. PMID 18723841.
- ↑ Ben Amar M, Potvin S. Cannabis and psychosis: what is the link?. Journal of psychoactive drugs. 2007 Jun, s. 131–42. doi:10.1080/02791072.2007.10399871. PMID 17703707.
- ↑ Larson, Michael. Alcohol-Related Psychosis [online]. WebMD, 2006-03-30 [cit. 2006-09-27]. Dostupné online.
- ↑ SAGUD, M, Mihaljević-Peles, A, Mück-Seler, D, Pivac, N, Vuksan-Cusa, B, Brataljenović, T, Jakovljević, M. Smoking and schizophrenia. Psychiatria Danubina. 2009 Sep, s. 371–5. PMID 19794359.
- ↑ Broome MR, Woolley JB, Tabraham P, et al.. What causes the onset of psychosis?. Schizophr. Res.. 2005, s. 23–34. doi:10.1016/j.schres.2005.02.007. PMID 16198238.
- ↑ Bentall RP, Fernyhough C, Morrison AP, Lewis S, Corcoran R. Prospects for a cognitive-developmental account of psychotic experiences. Br J Clin Psychol. 2007, s. 155–73. doi:10.1348/014466506X123011. PMID 17524210.
- ↑ Kurtz MM. Neurocognitive impairment across the lifespan in schizophrenia: an update. Schizophrenia Research. 2005, s. 15–26. doi:10.1016/j.schres.2004.07.005. PMID 15694750.
- ↑ Cohen AS, Docherty NM. Affective reactivity of speech and emotional experience in patients with schizophrenia. Schizophrenia Research. 2004, s. 7–14. doi:10.1016/S0920-9964(03)00069-0. PMID 15145465.
- ↑ Horan WP, Blanchard JJ. Emotional responses to psychosocial stress in schizophrenia: the role of individual differences in affective traits and coping. Schizophrenia Research. 2003, s. 271–83. doi:10.1016/S0920-9964(02)00227-X. PMID 12591589.
- ↑ Smith B, Fowler DG, Freeman D,et al.. Emotion and psychosis: links between depression, self-esteem, negative schematic beliefs and delusions and hallucinations. Schizophr. Res.. 2006, s. 181–8. doi:10.1016/j.schres.2006.06.018. PMID 16857346.
- ↑ Beck, AT. A Cognitive Model of Schizophrenia. Journal of Cognitive Psychotherapy. 2004, s. 281–88. doi:10.1891/jcop.18.3.281.65649.
- ↑ Bell V, Halligan PW, Ellis HD. Explaining delusions: a cognitive perspective. Trends in Cognitive Science. 2006, s. 219–26. doi:10.1016/j.tics.2006.03.004. PMID 16600666.
- ↑ Freeman D, Garety PA, Kuipers E, Fowler D, Bebbington PE, Dunn G. Acting on persecutory delusions: the importance of safety seeking. Behav Res Ther. 2007, s. 89–99. doi:10.1016/j.brat.2006.01.014. PMID 16530161.
- ↑ Kuipers E, Garety P, Fowler D, Freeman D, Dunn G, Bebbington P. Cognitive, emotional, and social processes in psychosis: refining cognitive behavioral therapy for persistent positive symptoms. Schizophr Bull. 2006, s. S24–31. doi:10.1093/schbul/sbl014. PMID 16885206.
- ↑ Kircher, Tilo and Renate Thienel. The Boundaries of Consciousness. Amsterdam: Elsevier, 2006. Dostupné online. ISBN 0444528768. Kapitola Functional brain imaging of symptoms and cognition in schizophrenia, s. 302.
- ↑ Coyle 2006, s. 878
- ↑ Green MF. Cognitive impairment and functional outcome in schizophrenia and bipolar disorder. Journal of Clinical Psychiatry. 2006, s. 3–8. PMID 16965182.
- ↑ Insel TR. Rethinking schizophrenia. Nature. 2010, s. 187–93. doi:10.1038/nature09552. PMID 21068826.
- ↑ Laruelle M, Abi-Dargham A, van Dyck CH, et al.. Single photon emission computerized tomography imaging of amphetamine-induced dopamine release in drug-free schizophrenic subjects. Proc. Natl. Acad. Sci. U.S.A.. 1996, s. 9235–40. doi:10.1073/pnas.93.17.9235. PMID 8799184.
- ↑ Jones HM, Pilowsky LS. Dopamine and antipsychotic drug action revisited. British Journal of Psychiatry. 2002, s. 271–275. doi:10.1192/bjp.181.4.271. PMID 12356650.
- ↑ Konradi C, Heckers S. Molecular aspects of glutamate dysregulation: implications for schizophrenia and its treatment. Pharmacology and Therapeutics. 2003, s. 153–79. doi:10.1016/S0163-7258(02)00328-5. PMID 12559388.
- ↑ Lahti AC, Weiler MA, Tamara Michaelidis BA, Parwani A, Tamminga CA. Effects of ketamine in normal and schizophrenic volunteers. Neuropsychopharmacology. 2001, s. 455–67. doi:10.1016/S0893-133X(01)00243-3. PMID 11557159.
- ↑ Coyle JT, Tsai G, Goff D. Converging evidence of NMDA receptor hypofunction in the pathophysiology of schizophrenia. Annals of the New York Academy of Sciences. 2003, s. 318–27. doi:10.1196/annals.1300.020. PMID 14684455.
- ↑ Tuominen HJ, Tiihonen J, Wahlbeck K. Glutamatergic drugs for schizophrenia: a systematic review and meta-analysis. Schizophrenia Research. 2005, s. 225–34. doi:10.1016/j.schres.2004.05.005. PMID 15560967.
- ↑ Jakobsen KD, Frederiksen JN, Hansen T, et al.. Reliability of clinical ICD-10 schizophrenia diagnoses. Nordic Journal of Psychiatry. 2005, s. 209–12. doi:10.1080/08039480510027698. PMID 16195122.
- ↑ Pope HG. Distinguishing bipolar disorder from schizophrenia in clinical practice: guidelines and case reports. Hospital and Community Psychiatry. 1983, s. 322–28.
- ↑ McGlashan TH. Testing DSM-III symptom criteria for schizotypal and borderline personality disorders. Archives of General Psychiatry. 1987, s. 143–8. PMID 3813809.
- ↑ Bottas A. Comorbidity: Schizophrenia With Obsessive-Compulsive Disorder. Psychiatric Times. April 15, 2009. Dostupné online.
- ↑ American Psychiatric Association. Diagnostic and statistical manual of mental disorders: DSM-IV. Washington, DC: American Psychiatric Publishing, Inc., 2000. ISBN 0-89042-024-6. Kapitola Schizophrenia.
- ↑ McGurk SR, Mueser KT, Feldman K, Wolfe R, Pascaris A. Cognitive training for supported employment: 2–3 year outcomes of a randomized controlled trial.. American Journal of Psychiatry. 2007, s. 437–41. Dostupné online. doi:10.1176/appi.ajp.164.3.437. PMID 17329468.
- ↑ Gorczynski P, Faulkner G. Exercise therapy for schizophrenia. Cochrane Database Syst Rev. 2010, s. CD004412. doi:10.1002/14651858.CD004412.pub2. PMID 20464730.
- ↑ National Collaborating Centre for Mental Health. Schizophrenia: Full national clinical guideline on core interventions in primary and secondary care [PDF]. 2009-03-25 [cit. 2009-11-25]. Dostupné online.
- ↑ Tandon R, Keshavan MS, Nasrallah HA. Schizophrenia, "Just the Facts": what we know in 2008 part 1: overview. Schizophrenia Research. 2008, s. 4–19. Dostupné online. doi:10.1016/j.schres.2008.01.022. PMID 18291627.
- ↑ a b LEUCHT, Stefan, Tardy, Magdolna, Komossa, Katja, Heres, Stephan, Kissling, Werner, Salanti, Georgia, Davis, John M. Antipsychotic drugs versus placebo for relapse prevention in schizophrenia: a systematic review and meta-analysis. The Lancet. 1 May 2012. doi:10.1016/S0140-6736(12)60239-6.
- ↑ Kane JM, Correll CU. Pharmacologic treatment of schizophrenia. Dialogues Clin Neurosci. 2010, s. 345–57. PMID 20954430.
- ↑ a b Schultz SH, North SW, Shields CG. Schizophrenia: a review. Am Fam Physician. 2007, s. 1821–9. PMID 17619525.
- ↑ Wahlbeck K, Cheine MV, Essali A. Clozapine versus typical neuroleptic medication for schizophrenia. The Cochrane Database of Systematic Reviews. John Wiley and Sons, Ltd., 2007, s. CD000059. doi:10.1002/14651858.CD000059. PMID 10796289.
- ↑ Tandon R, Belmaker RH, Gattaz WF, et al.. World Psychiatric Association Pharmacopsychiatry Section statement on comparative effectiveness of antipsychotics in the treatment of schizophrenia. Schizophr. Res.. 2008, s. 20–38. doi:10.1016/j.schres.2007.11.033. PMID 18243663.
- ↑ a b Chwastiak LA, Tek C. The unchanging mortality gap for people with schizophrenia. Lancet. 2009, s. 590–2. doi:10.1016/S0140-6736(09)61072-2. PMID 19595448.
- ↑ Ananth J, Parameswaran S, Gunatilake S, Burgoyne K, Sidhom T. Neuroleptic malignant syndrome and atypical antipsychotic drugs. Journal of Clinical Psychiatry. 2004, s. 464–70. doi:10.4088/JCP.v65n0403. PMID 15119907.
- ↑ a b McEvoy JP. Risks versus benefits of different types of long-acting injectable antipsychotics. J Clin Psychiatry. 2006, s. 15–8. PMID 16822092.
- ↑ a b Pharoah F, Mari J, Rathbone J, Wong W. Family intervention for schizophrenia. Cochrane Database Syst Rev. 2010, s. CD000088. doi:10.1002/14651858.CD000088.pub3. PMID 21154340.
- ↑ Medalia A, Choi J. Cognitive remediation in schizophrenia.. Neuropsychology Rev. 2009, s. 353–364. Dostupné online. doi:10.1007/s11065-009-9097-y. PMID 19444614.
- ↑ Dixon LB, Dickerson F, Bellack AS, et al.. The 2009 schizophrenia PORT psychosocial treatment recommendations and summary statements. Schizophr Bull. 2010, s. 48–70. doi:10.1093/schbul/sbp115. PMID 19955389.
- ↑ Lynch D, Laws KR, McKenna PJ. Cognitive behavioural therapy for major psychiatric disorder: does it really work? A meta-analytical review of well-controlled trials. Psychol Med. 2010, s. 9–24. doi:10.1017/S003329170900590X. PMID 19476688.
- ↑ Jones C, Cormac I, Silveira da Mota Neto JI, Campbell C. Cognitive behaviour therapy for schizophrenia. Cochrane Database Syst Rev. 2004, s. CD000524. doi:10.1002/14651858.CD000524.pub2. PMID 15495000.
- ↑ Ruddy R, Milnes D. Art therapy for schizophrenia or schizophrenia-like illnesses.. Cochrane Database Syst Rev. 2005, s. CD003728. Dostupné online. doi:10.1002/14651858.CD003728.pub2. PMID 16235338.
- ↑ Ruddy RA, Dent-Brown K. Drama therapy for schizophrenia or schizophrenia-like illnesses.. Cochrane Database Syst Rev. 2007, s. CD005378. Dostupné online. doi:10.1002/14651858.CD005378.pub2. PMID 17253555.
- ↑ Marshall M, Rathbone J. Early intervention for psychosis. Cochrane Database Syst Rev. 2006, s. CD004718. doi:10.1002/14651858.CD004718.pub2. PMID 17054213.
- ↑ Wu EQ. The economic burden of schizophrenia in the United States in 2002. J Clin Psychiatry. 2005, s. 1122–9. PMID 16187769.
- ↑ Saha S, Chant D, McGrath J. A systematic review of mortality in schizophrenia: is the differential mortality gap worsening over time?. Arch. Gen. Psychiatry. 2007, s. 1123–31. doi:10.1001/archpsyc.64.10.1123. PMID 17909124.
- ↑ Warner R. Recovery from schizophrenia and the recovery model. Curr Opin Psychiatry. 2009, s. 374–80. doi:10.1097/YCO.0b013e32832c920b. PMID 19417668.
- ↑ Menezes NM, Arenovich T, Zipursky RB. A systematic review of longitudinal outcome studies of first-episode psychosis. Psychol Med. 2006, s. 1349–62. doi:10.1017/S0033291706007951. PMID 16756689.
- ↑ Isaac M, Chand P, Murthy P. Schizophrenia outcome measures in the wider international community. Br J Psychiatry Suppl. 2007, s. s71–7. PMID 18019048.
- ↑ Cohen A, Patel V, Thara R, Gureje O. Questioning an axiom: better prognosis for schizophrenia in the developing world?. Schizophr Bull. 2008, s. 229–44. doi:10.1093/schbul/sbm105. PMID 17905787.
- ↑ Burns J. Dispelling a myth: developing world poverty, inequality, violence and social fragmentation are not good for outcome in schizophrenia. Afr J Psychiatry (Johannesbg). 2009, s. 200–5. PMID 19894340.
- ↑ Palmer BA, Pankratz VS, Bostwick JM. The lifetime risk of suicide in schizophrenia: a reexamination. Archives of General Psychiatry. 2005, s. 247–53. doi:10.1001/archpsyc.62.3.247. PMID 15753237.
- ↑ a b Carlborg A, Winnerbäck K, Jönsson EG, Jokinen J, Nordström P. Suicide in schizophrenia. Expert Rev Neurother. 2010, s. 1153–64. doi:10.1586/ern.10.82. PMID 20586695.
- ↑ a b American Psychiatric Association. Task Force on DSM-IV. (2000). Diagnostic and statistical manual of mental disorders: DSM-IV-TR. American Psychiatric Pub. ISBN 978-0-89042-025-6. p. 304
- ↑ De Leon J, Diaz FJ. A meta-analysis of worldwide studies demonstrates an association between schizophrenia and tobacco smoking behaviors. Schizophrenia research. 2005, s. 135–57. doi:10.1016/j.schres.2005.02.010. PMID 15949648.
- ↑ a b Keltner NL, Grant JS. Smoke, Smoke, Smoke That Cigarette. Perspectives in Psychiatric Care. 2006, s. 256. doi:10.1111/j.1744-6163.2006.00085.x. PMID 17107571.
- ↑ American Psychiatric Association. Task Force on DSM-IV. (2000). Diagnostic and statistical manual of mental disorders: DSM-IV-TR. American Psychiatric Pub. ISBN 978-0-89042-025-6. p. 314
- ↑ Schizophrenia [online]. World Health Organization, 2011 [cit. 2011-02-27]. Dostupné online.
- ↑ Castle D, Wessely S, Der G, Murray RM. The incidence of operationally defined schizophrenia in Camberwell, 1965–84. The British Journal of Psychiatry. 1991, s. 790–4. doi:10.1192/bjp.159.6.790. PMID 1790446.
- ↑ Kumra S, Shaw M, Merka P, Nakayama E, Augustin R. Childhood-onset schizophrenia: research update. Canadian Journal of Psychiatry. 2001, s. 923–30. PMID 11816313.
- ↑ Hassett Anne, et al. (eds). Psychosis in the Elderly. [s.l.]: London: Taylor and Francis., 2005. Dostupné online. ISBN 1841843946. S. 6.
- ↑ Jablensky A, Sartorius N, Ernberg G, et al.. Schizophrenia: manifestations, incidence and course in different cultures. A World Health Organization ten-country study. Psychological Medicine Monograph Supplement. 1992, s. 1–97. doi:10.1017/S0264180100000904. PMID 1565705.
- ↑ Kirkbride JB, Fearon P, Morgan C, et al.. Heterogeneity in incidence rates of schizophrenia and other psychotic syndromes: findings from the 3-center AeSOP study. Archives of General Psychiatry. 2006, s. 250–8. doi:10.1001/archpsyc.63.3.250. PMID 16520429.
- ↑ Kirkbride JB, Fearon P, Morgan C, et al.. Neighbourhood variation in the incidence of psychotic disorders in Southeast London. Social Psychiatry and Psychiatric Epidemiology. 2007, s. 438–45. doi:10.1007/s00127-007-0193-0. PMID 17473901.
Související články
- Psychóza
- Duševní porucha
- Psychopatologie
- Antipsychotika
- Formální poruchy myšlení
- Depersonalizace
- Obsedantně kompulzivní porucha
- Schizotypní porucha
- Schizoafektivní porucha
Externí odkazy
Obrázky, zvuky či videa k tématu schizofrenie na Wikimedia Commons
Téma Schizofrenie ve Wikicitátech
Slovníkové heslo schizofrenie ve Wikislovníku
Výukový kurs de:Bleuler, Eugen (1911) ve Wikiverzitě- Schizofrenie v pořadu Záhady duše na České televizi
- (česky) Josef Pazdera: Schizofrenie osel.cz (15.09.2003)
- (česky) https://web.archive.org/web/20110629192700/http://www.dotykbrno.cz/?page_id=13
- (anglicky) Aruc Ševa – Israeli Research: Schizophrenia Prevention Better than Cure (01/2010)
- (česky) Wikipedie:Lékařské překlady/Schizophrenia, překlad angl. verze v rámci Medical Translation Project

Přečtěte si prosím pokyny pro využití článků o zdravotnictví.
