Postsynaptická denzita

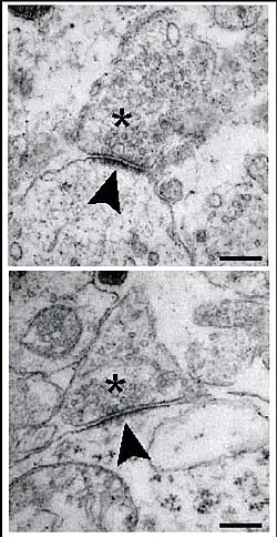
Postsynaptická denzita (PDS) je hustá bílkovinná struktura složená ze stovek proteinů a signálních molekul, která drží receptory na krátkou vzdálenost od presynaptických neurotransmiterů.[1] Nejvíce studovaná je PDS u glutamátergních synapsí.[2]
Reference
- ↑ Kennedy MB (October 2000). "Signal-processing machines at the postsynaptic density". Science 290 (5492): 750–4. doi:10.1126/science.290.5492.750. PMID 11052931.
- ↑ Kennedy MB (June 1997). "The postsynaptic density at glutamatergic synapses". Trends in Neuroscience 20 (6): 264–268. doi:10.1016/S0166-2236(96)01033-8. PMID 9185308
Portály: Biologie | Medicína