Pohmoždění mozku
| Pohmoždění mozku | |
|---|---|
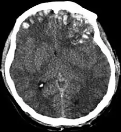
![]() Kontuze na CT snímku se subdurálním krvácením a frakturami | |
| Klasifikace | |
| MKN-10 | S06.2–S06.3 |
| Některá data mohou pocházet z datové položky. | |
Pohmoždění mozku (latinsky: contusio cerebri, mozková kontuze) je nepenetrující poranění hlavy a mozku. Působící mechanická síla má vyšší intenzitu než v případě otřesu. Současně zde působí mechanizmus "coup" i " contrecoup" (viz otřes).
Následky
Mezi akutní příznaky patří porucha vědomí, která je zpravidla větší a delší než u otřesu, čemuž odpovídají změny v EEG. Dalším rozdílem je výskyt tzv. topických symptomů jak po nárazu, tak i později. Jedná se o anizokorii (nestejná velikost obou zornic), dlouhodoběji epileptické paroxysmy (záchvaty) s možným vývojem až do stádia Jacksonovy posttraumatické epilepsie, afázie aj. Při kontuzi se rozvíjí mozkový otok, jenž způsobuje vzestup nitrolebečního tlaku.
Morfologický obraz
V mozkové tkáni jsou patrné na rozdíl od komoce významné mikroskopické i makroskopické patologické změny, včetně krvácení.
Poruchy vědomí
U části postižených nastupuje lucidní interval, tedy přechodné období bdělosti, kdy v čase po nárazu není pozorována žádná porucha vědomí. Ta nastupuje až se zpožděním. Častějším vývojem je dvoufázová porucha vědomí, která nastoupí ihned po nárazu, ovšem záhy odezní. Po dalších několika hodinách (lucidním intervalu) se však porucha vědomí vrací a může se prohloubit. Tato opakující se porucha s časovým prodlením je vysvětlována růstem hematomu v lebečním prostoru. Postkomoční syndrom odeznívá u kontuze déle než u otřesu. Termín postkontuzní syndrom není užíván, protože v oblasti kolem pohmoždění tkáně je zóna otřesu (komoce), kde jsou histologické změny malé nebo žádné.
Komplikace

Pohmoždění se může rozvinout do komprese (stlačení). Taková komplikace vede až ke "conus occipitalis", tedy vtlačení mozkového kmene s životně důležitými centry do velkého týlního otvoru (foramen occipitalis magnum) s fatálním průběhem. Významnou komplikací je masivní otok mozku.
Literatura
- Šmejkal, V. - Brožek, G. (1995): Základy patofysiologie nervového systém. 2. LF UK v Praze.
