PET/CT



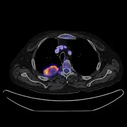
PET/CT je diagnostická zobrazovací metoda spojující vyšetření počítačovou tomografií (CT) a pozitron emisní tomografií (PET). Získané obrazy obsahují jak poměrně podrobnou informaci o anatomické stavbě, tak i informaci o metabolické aktivitě tkání.
Související články
Literatura
- VOTRUBOVÁ, Jana; BĚLOHLÁVEK, Otakar. PET/CT v klinické praxi. Interní Med.. 2005, roč. 7, čís. 6, s. 303–305. Dostupné online. ISSN 1803-5256.
Externí odkazy
Obrázky, zvuky či videa k tématu PET/CT na Wikimedia Commons - Více informací o PET/CT určených pro pacienty naleznete na stránkách Kliniky zobrazovacích metod Fakultní nemocnice Plzeň
- Popis CT/PET pro pacienty Masarykova onkologického ústavu v Brně[nedostupný zdroj]
Portály: Medicína