Osteoklast

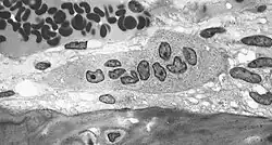
Osteoklast je velká rozvětvená kostní buňka schopná pohybu. Bývá mnohojaderná, obsahuje až 50 jader. Není jasné, jakým způsobem vzniká, dříve se soudilo, že má stejný původ jako ostatní kostní buňky, ale výzkumy ukazují, že se vyvíjí z monocytů, konkrétně zřejmě fúzí několika těchto buněk. Mívají rozvětvený povrch a množství buněčných organel, jako je rozvinuté drsné ER, Golgiho aparát a lysozomy.
Hlavní funkcí osteoklastů je odbourávat kostní tkáň. Rozvolňují přitom kostní matrix; mají tedy opačnou funkci než osteoblasty. Vylučují proto různé kolagenázy, další enzymy a dále produkují vodíkové kationty, čímž rozpouští vápenaté krystaly. Aktivita osteoklastů je přísně regulována – roli hrají různé cytokiny a hormony parathormon a kalcitonin.
Literatura
- Richard Jelínek, et al. Histologie embryologie [online]. 3. lékařská fakulta UK [cit. 2009-12-13]. Dostupné v archivu pořízeném dne 2016-03-06.
- JUNQUEIRA, Luiz Carlos; CARNEIRO, Jose. Basic Histology text and atlas. 11. vyd. [s.l.]: [s.n.], 2005. Dostupné online.
Externí odkazy
Obrázky, zvuky či videa k tématu osteoklast na Wikimedia Commons