Ommaya rezervoár

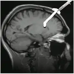
Ommaya rezervoár je druh intraventrikulárního (nitrokomorového) katétru, který se používá jak pro přímou a opakovanou intratekální aplikaci léků (např. chemoterapie) do mozkomíšního moku, tak pro odsávání mozkomíšního moku. Zařízení tak pacienta šetří opakovaných lumbálních punkcí.[1] Skládá se z katétru, který vede z laterální mozkové komory, respektive komorového systému mozku, do rezervoáru, který je implantován do podkoží hlavy.[2] Samotná aplikace ommaya rezervoáru je prováděna chirurgicky.[3]
Byl vyvinut v roce 1963 pákistánsko-americkým neurochirurgem Ayubem K. Ommayou.[4]
Odkazy
Reference
V tomto článku byl použit překlad textu z článku Ommaya reservoir na anglické Wikipedii.
- ↑ Nursing Procedures and Protocols. Filadelfie: Lippincott Williams & Wilkins, 2003. 661 s. Dostupné online. ISBN 1582552371. S. 136. (anglicky)
- ↑ HOUDEK, Michal a kolektiv. Neuromodulace. Praha: Grada Publishing, 2007. 294 s. Dostupné online. ISBN 978-80-247-0429-6. S. 229.
- ↑ SCHIFF, David; KESARI, Santosh; WEN, Patrick Y. C. Cancer Neurology in Clinical Practice: Neurologic Complications of Cancer and Its Treatment. [s.l.]: Humana Press, 2008. 636 s. Dostupné online. ISBN 978-1588299833. S. 193. (anglicky)
- ↑ Ayub Khan Ommaya v databázi Who Named It? (anglicky)
Externí odkazy
Obrázky, zvuky či videa k tématu Ommaya rezervoár na Wikimedia Commons - (anglicky) Healthline – Ommaya Reservoir
- (anglicky) University of Pittsburgh Medical Center – Ommaya Reservoir[nedostupný zdroj] (PDF)
Portály: Medicína