Oligoastrocytom
| Oligoastrocytom | |
|---|---|
![]() | |
| Některá data mohou pocházet z datové položky. |
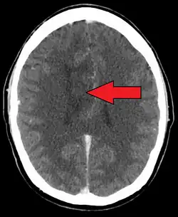
Oligoastrocytom je název pro širokou škálu variant nádorů gliových buněk, astrocytomů a oligodendrogliomů.[1] Průměrný věk pacientů je 42 let.
Léčba
Primární léčbou je radikální chirurgické odstranění. Reziduální nádorovou hmotu je možno odstranit při druhé resekci. Astrocytom téměř nikdy nemalignizuje. Vzácně lze použít radiochirurgický zákrok nebo jejich kombinaci. Po subtotální resekci se udává pětiletý interval dožití až v 80 % případů.
Reference
- ↑ Hiremath GK, Bingaman WE, Prayson RA, Nair D. Oligoastrocytoma presenting with intractable epilepsy. Epileptic Disord. September 2007, s. 315–22. Dostupné online. doi:10.1684/epd.2007.0117. PMID 17884756.
Externí odkazy
Obrázky, zvuky či videa k tématu Oligoastrocytom na Wikimedia Commons

Přečtěte si prosím pokyny pro využití článků o zdravotnictví.
Portály: Medicína
