Myelin

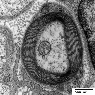
Myelin je lipoprotein, tvořící díky několikerému natočení lipidové dvojvrstvy buněčných membrán příslušných buněk kolem axonů (neuritů) neuronů obaly známé jako myelinové pochvy. Je jednou ze základních složek bílé hmoty mozku a míchy a je příčinou její bílé barvy. Jeho existence a správná distribuce (myelinizace) je nezbytnou podmínkou řádného fungování centrální (CNS) i periferní (PNS) nervové soustavy.
V prvním (iniciálním) úseku je axon obnažen, až v dalším jej u nemyelinizovaných vláken obklopí Schwannova pochva, u myelinizovaných pak i myelinová pochva. Základem tukové složky jsou cerebrosid, sfingomyelin a cholesterol. Neurony CNS vytvářejí pochvu pomocí oligodendrocytů, kdy jeden oligodendrocyt slouží až pro 40 centrálně vedoucích axonů[1], postgangliová vlákna autonomního nerstva jsou vybavena pouze pochvou Schwannovou. V PNS ji tvoří Schwannovy buňky a pochva je zde přerušována Ranvierovými zářezy, ve kterých jsou koncentrovány mitochondrie. V těchto odhalených místech může docházet k větvení axonu.
Myelinová pochva funguje jako izolant a čím je vlákno silnější, tím jsou myelinové segmenty mezi zářezy delší, což urychluje vedení vzruchu. Rozdíly v rychlosti vedení jsou mezi nemyelinizovanými a silnými myelinizovanými vlákny až o dva řády ve prospěch druhých jmenovaných.[2] Vyvinula se evolučně u čelistnatců, jiní živočichové ji nemají[3].
Byl objeven v roce 1854 německým patologem a biologem Rudolfem Virchowem.
Odkazy
Reference
V tomto článku byl použit překlad textu z článku Myelín na slovenské Wikipedii.
- ↑ Mysliveček, Jaromír; Myslivečková-Hassmanová, Jarmila: Nervová soustava - Funkce, struktura a poruchy činnosti, vydalo Avicenum, Praha 1989, s. 12.
- ↑ Mysliveček, Jaromír; Myslivečková-Hassmanová, Jarmila: Nervová soustava - Funkce, struktura a poruchy činnosti, vydalo Avicenum, Praha 1989, s. 28.
- ↑ PAZDERA, Josef. Myelin – dar od přítele "retrovira". OSEL [online]. 2022-02-04 [cit. 2022-04-03]. Dostupné online.
Literatura
- Mysliveček, Jaromír; Myslivečková-Hassmanová, Jarmila: Nervová soustava - Funkce, struktura a poruchy činnosti, vydalo Avicenum, Praha 1989.