Mycetom
| Mycetoma | |
|---|---|
![]() | |
| Klasifikace | |
| MKN-10 | B47 |
| Některá data mohou pocházet z datové položky. | |

Lidské onemocnění zvané mycetom (také znám jako Madurova noha – anglicky Madura feet) je chronická lokalizovaná granulomatózní infekce kůže a podkožní tkáně, která se postupně šíří i na kosti a další hluboké struktury.[1] V 80 % případů napadá nohy, případně jiné části dolních končetin.[2]
Může být způsoben houbou nebo bakterií; v případě houby se jedná o eumycetom a v případě bakterie o actinomycetom.[3] Nejčastější výskyt infekce spadá do tzv. mycetomového pásma, zahrnující Súdán, Somálsko, Senegal, Indii, Jemen, Mexiko, Venezuelu, Kolumbii, Argentinu a další země.[4] Jedná se o tropickou a subtropickou infekci, místa s výskytem epidemií patří do relativně kyselých oblastí s krátkým obdobím dešťů a nízkou humiditou.[5] Světová zdravotnická organizace (World Health Organization) řadí mycetomy mezi jedno ze zanedbaných tropických onemocnění (Neglected tropical diseases – NTDs).[6]
Infekce

Organismy způsobující mycetomy se nejčastěji vyskytují v půdě nebo ve vodě ve formě odolných stádií. Do těla se dostávají skrze poranění na kůži v oblasti nohou nebo jiných částech těla.[7] Častým zdrojem poranění mohou být např. akáciové stromy, jejichž místa růstu se překrývají s výskytem mycetomů v Súdánu, zemi s jednou z nejvyšších prevalencí. Když akácie uschnou, jejich větve padají na zem a poranění trny může být vstupní branou infekce.[8] Nemoc jako taková není přenosná mezi lidmi ani mezi zvířaty.[7]
Nejčastější původci mycetomů:
- Madurella mycetomatis (houba)
- Nocardia brasiliensis (bakterie)
- Actinomadure madura (bakterie)
- Streptomyces somaliensis (bakterie)
- Actinomadura pelletieri (bakterie)[6]
Výskyt patogenů se liší dle geografické polohy. Eumycetomy jsou četnější v Africe. V Súdánu je nejčastějším původcem (až 70 % případů) houba Madurella mycetomatis. Aktinomycetomy mají vyšší zastoupení v Jižní a Střední Americe, Mexiku a Brazílii, přičemž v posledních dvou jmenovaných je hlavním původcem Nocardia brasiliensis.[9]
Mezi nakaženými se více objevují muži (průměrně v poměru 3,7:1), pravděpodobně v důsledku častějšího vystavení riziku kontaminace při venkovních aktivitách.[10] Nejčastěji se jedná o muže pracující jako farmáři či pastevci.[11] U nakažených žen se projevují mycetomy agresivněji v období těhotenství, v důsledku hormonálních změn a snížení imunitní odpovědi s ním spojených.[12]
Dosud nejlepší známou prevencí je nošení bot a jiných pokrývek nohou, které zamezí zranění a následnému kontaktu s původci mycetomů v půdách či ve vodě.[11]
Symptomy
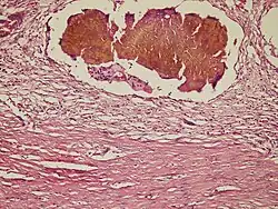
Inkubační doba trvá přibližně 3 až 9 měsíců. Bakteriální a houbový mycetom se projevují podobnými symptomy, které se někdy shrnují pojmem mycetomová triáda. Ta zahrnuje lokalizovaný otok, drénující sinusy a přítomnost světlých nebo tmavých granul, která obsahují agregáty příslušných mikroorganismů.[13] Tato granula se v české literatuře také označují jako drůzy.[14] Zpočátku se objevují pevné, ale nebolavé útvary, nejčastěji pod kůží na nohou, ale mohou se objevit kdekoliv na těle. Postupem času se útvary zvětšují a tvoří mokvavé boláky. Typický je serosanguinósní výtok s přítomností granul a hnisu.[15] Dlouhotrvající nákaza může poškodit svalovinu i kost zasažené oblasti.[11] Většina nakažených nepociťuje žádnou bolest ani nepohodlí, v některých případech se může objevovat svědění nebo lehká bolest.[16] Jako daleko bolestivější a nebezpečnější se může stát sekundární infekce, velmi často způsobená Staphylococcus aureus (zlatým stafylokokem).[17]
Aktinomycetomy rychleji progredují a oproti eumycetomům se šíří dříve do dalších tkání. Častěji se také objevují metastatické léze ve vzdálených lymfatických uzlinách.[1]
Diagnostika
V současné době pro mycetomy existuje mnoho diagnostických metod, které se liší ve své nákladnosti, náročnosti i přesnosti. Jejich specifita a senzitivita záleží rovněž na původci onemocnění. Jelikož jde o NTD, pro přesnější metody často chybí finanční prostředky a vybavení.[18]

Vhodnou počáteční metodou může být cytologická metoda FNAC (fine-needle aspiration cytology), při které se do léze vnoří jehla a materiál je nasáván s použitím pohybů nejméně ve třech různých směrech. Vzorek obsahuje krev, díky které vznikne sraženina, jež se dále zpracovává fixací a barví se hematoxylinem a eosinem. Následně je zkoumána morfologie granul.[19] Metoda je rychlá a finančně nenákladná, provedení odběru, zpracování a vyhodnocení vyžaduje v průměru jeden den.[20]
Izolace granul může být provedena také histopatologicky, tedy s využitím chirurgické biopsie. Tato metoda má obecně vyšší specifitu a senzitivitu, například v případě identifikace M. mycetomatis jde o senzitivitu 95,2 % a specifitu 95,4 % oproti FNAC, jejíž senzitivita byla 80,5 % a specifita 88,4 %. Průměrná doba čekání na výsledky vyšetření je o něco delší, tj. 3 dny.[20] Metoda je invazivnější a měla by se provádět v celkové nebo spinální anestezii, jelikož na základě vnějšího vzhledu lézí nelze s jistotou odhadnout vhodné místo zákroku a metoda je pod lokální anestezií bolestivá a nespolehlivá.[21]

Nejrychlejší metodou je mikroskopie granul získaných z hnisu. Tato metoda využívá 10% KOH ke štěpení hlenu a keratinu. V barveném preparátu roztlaku granul jsou hledány hyfy a spory. Metoda však nemá dostatečnou specifitu a sama k diagnostice nestačí.[18]

Za zlatý standard bývá považováno pěstování kultur. Granula by měla být získána biopsií, neboť jinak hrozí vyšší riziko kontaminace.[19] Zatímco původci aktinomycetomů vyžadují médium bez přidaných antibiotik, u eumycetomových kultur se přidává penicilin, streptomycin aj. Pro identifikaci se používá morfologie a různé ukazatele biologické aktivity (pro příklad můžeme zmínit produkci dusíkatých sloučenin nebo proteolytickou aktivitu). Metoda je časově náročná a vyžaduje přibližně 3 týdny. Další nevýhodou je riziko kontaminace kultur.[18]
Další metodou je sérodiagnostika, která však nebývá příliš vhodná z důvodu dlouhé přípravy antigenů a nízké diagnostické přesnosti často způsobené křížovou reaktivitou. [18] Záleží však opět na infekčním agens, například pro diagnostiku N. brasiliensis může být ELISA s detekcí p24 purifikovaného proteinu spolehlivou metodou a může sloužit také ke sledování terapeutické odpovědi.[22]

Pro metody molekulární diagnostiky je charakteristická vysoká přesnost a nákladnost, kvůli které nejsou rozšířené v terénu. Pro aktinomycety se využívá například 16S rRNA genové sekvenování nebo specifické PCR s analýzou produktů za využití restrikčních endonukleáz. Metody identifikace eumycetomových agens porovnávají sekvenované ITS (internal transcribed spacer) se sekvencemi v GenBank databázi.[18] Finančně nenáročnou a vysoce specifickou metodou je RCA (rolling circle amplification), při které se provádí amplifikace ITS. Identifikace je založena na následné hybridizaci s dvěma druhově-specifickými 20nukleotidovými jednovláknovými úseky DNA spojenými linker sekvencí (jde o tzv. padlock probes). Bohužel však v zemích výskytu nemoci často chybí pro metodu nezbytný termocykler.[18][19]
Ahmed a kol. v roce 2017 vypracovali schéma doporučeného postupu diagnostiky. Při negativním výsledku FNAC se využívá chirurgická biopsie pro získání granul. Následně se využívají přesnější metody dle možností laboratoře.[18]
Léčba
Bakteriální mycetom se dá léčit pomocí antibiotik a léčba bývá vysoce úspěšná. Nejčastěji užívanou kombinací je léčba streptomycinem intramuskulárně a kotrimoxazolem (TMP/SMX) nebo dapsonem.[1] V případě rozsáhlých infekcí se užívá kombinace kotrimoxazolu a amikacinu. V léčbě je vhodné také vyšetřit a zohlednit citlivost dané bakterie k antibiotikům, jelikož rezistence se může lišit v závislosti na lokalitě.[23]
Naproti tomu houbový mycetom je ve své léčbě složitější, jelikož přípravky proti houbovým onemocněním nemusí vždy účinkovat. Ve většině případů se tedy kombinují s chirurgickým odstraněním lézí. První volbou jsou triazolová antimykotika. Cenově nejdostupnějším je itrakonazol, který se podává několik týdnů před operačním zákrokem a následně několik měsíců až let poté. V případě rozsáhlých mycetomů se takových zákroků provádí více.[23]
Reference
V tomto článku byl použit překlad textu z článku Mycetoma na anglické Wikipedii.
- ↑ a b c RELHAN, Vineet; MAHAJAN, Khushbu; AGARWAL, Pooja. Mycetoma: An update. Indian Journal of Dermatology. 2017-07-01, roč. 62, čís. 4, s. 332. PMID: 28794542. Dostupné online [cit. 2020-01-03]. ISSN 0019-5154. doi:10.4103/ijd.IJD_476_16. PMID 28794542. (anglicky)
- ↑ ZIJLSTRA, Eduard E.; SANDE, Wendy W. J. van de; WELSH, Oliverio. Mycetoma: a unique neglected tropical disease. The Lancet Infectious Diseases. 2016-01-01, roč. 16, čís. 1, s. 100–112. PMID: 26738840. Dostupné online [cit. 2020-01-03]. ISSN 1473-3099. doi:10.1016/S1473-3099(15)00359-X. PMID 26738840. (anglicky)
- ↑ FAHAL, A. H.; HASSAN, M. A. Mycetoma. British Journal of Surgery. 1992-11, roč. 79, čís. 11, s. 1138–1141. Dostupné online [cit. 2018-11-11]. ISSN 0007-1323. doi:10.1002/bjs.1800791107.
- ↑ CLARK, C. G. Mycetoma. El Sheikh Mahgoub, MB, BS, Dip Bact, PhD, Khartoum, and I. G. Murray, MB, MRC Path, DTM & H, London. 216 × I40 mm. Pp, 132 + vii. Illustrated. 1973. London: William Heine-mann Medical Books Ltd. £3.50. British Journal of Surgery. 1974-07, roč. 61, čís. 7, s. 587–587. Dostupné online [cit. 2018-11-11]. ISSN 0007-1323. doi:10.1002/bjs.1800610737.
- ↑ BASS, John. Blackwell, Ed(ward Joseph). [s.l.]: Oxford University Press (Oxford Music Online). Dostupné online.
- ↑ a b VAN DE SANDE, Wendy W. J.; MAGHOUB, El Sheikh; FAHAL, Ahmed H. The Mycetoma Knowledge Gap: Identification of Research Priorities. PLoS Neglected Tropical Diseases. 2014-03-27, roč. 8, čís. 3. PMID: 24675533 PMCID: PMC3967943. Dostupné online [cit. 2018-11-11]. ISSN 1935-2727. doi:10.1371/journal.pntd.0002667. PMID 24675533.
- ↑ a b AHMED, A.; ADELMANN, D.; FAHAL, A. Environmental Occurrence of Madurella mycetomatis, the Major Agent of Human Eumycetoma in Sudan. Journal of Clinical Microbiology. 2002-03-01, roč. 40, čís. 3, s. 1031–1036. Dostupné online [cit. 2018-11-11]. ISSN 0095-1137. doi:10.1128/jcm.40.3.1031-1036.2002.
- ↑ SAMY, Abdallah M.; SANDE, Wendy W. J. van de; FAHAL, Ahmed Hassan. Mapping the Potential Risk of Mycetoma Infection in Sudan and South Sudan Using Ecological Niche Modeling. PLOS Neglected Tropical Diseases. 2014-10-16, roč. 8, čís. 10, s. e3250. Dostupné online [cit. 2020-01-03]. ISSN 1935-2735. doi:10.1371/journal.pntd.0003250. PMID 25330098. (anglicky)
- ↑ REIS, Carmelia Matos Santiago; REIS-FILHO, Eugenio Galdino de Mendonça; REIS, Carmelia Matos Santiago. Mycetomas: an epidemiological, etiological, clinical, laboratory and therapeutic review. Anais Brasileiros de Dermatologia. 2018-02, roč. 93, čís. 1, s. 8–18. Dostupné online [cit. 2020-01-03]. ISSN 0365-0596. doi:10.1590/abd1806-4841.20187075. PMID 29641691. (anglicky)
- ↑ ABBOTT, Peter. Mycetoma in the Sudan. Transactions of the Royal Society of Tropical Medicine and Hygiene. 1956-01, roč. 50, čís. 1, s. 11–30. Dostupné online [cit. 2018-11-11]. ISSN 0035-9203. doi:10.1016/0035-9203(56)90004-9.
- ↑ a b c Mycetoma | Fungal Diseases | CDC. www.cdc.gov [online]. [cit. 2018-11-11]. Dostupné online. (anglicky)
- ↑ FAHAL, Ahmed; SULIMAN, Suliman; HAY, Roderick. Mycetoma: The Spectrum of Clinical Presentation. Tropical Medicine and Infectious Disease. 2018-09-04, roč. 3, čís. 3, s. 97. Dostupné online [cit. 2018-11-11]. ISSN 2414-6366. doi:10.3390/tropicalmed3030097.
- ↑ RELHAN, Vineet; MAHAJAN, Khushbu; AGARWAL, Pooja. Mycetoma: An update. Indian Journal of Dermatology. 2017-07-01, roč. 62, čís. 4, s. 332. PMID: 28794542. Dostupné online [cit. 2020-01-03]. ISSN 0019-5154. doi:10.4103/ijd.IJD_476_16. PMID 28794542. (anglicky)
- ↑ Atlas etiologické patologie: Madurská noha. atlases.muni.cz [online]. [cit. 2020-01-03]. Dostupné online.
- ↑ MAHGOUB, Elsheikh. Mycetoma Foot [online]. JSM Foot and Ankle, 2017 [cit. 2020-01-03]. Dostupné v archivu pořízeném dne 2019-02-23.
- ↑ Mycetoma | Genetic and Rare Diseases Information Center (GARD) – an NCATS Program. rarediseases.info.nih.gov [online]. [cit. 2018-11-11]. Dostupné online. (anglicky)
- ↑ Mycetoma: Background, Pathophysiology, Epidemiology. emedicine.medscape.com. 2017-11-17. Dostupné online [cit. 2018-11-11].
- ↑ a b c d e f g AHMED, Amel Altayeb; SANDE, Wendy van de; FAHAL, Ahmed Hassan. Mycetoma laboratory diagnosis: Review article. PLOS Neglected Tropical Diseases. 2017-08-24, roč. 11, čís. 8, s. e0005638. Dostupné online [cit. 2020-01-03]. ISSN 1935-2735. doi:10.1371/journal.pntd.0005638. PMID 28837657. (anglicky)
- ↑ a b c SANDE, Wendy W. J. van de; FAHAL, Ahmed H.; GOODFELLOW, Michael. Merits and Pitfalls of Currently Used Diagnostic Tools in Mycetoma. PLOS Neglected Tropical Diseases. 2014-03-07, roč. 8, čís. 7, s. e2918. Dostupné online [cit. 2020-01-03]. ISSN 1935-2735. doi:10.1371/journal.pntd.0002918. PMID 24992636. (anglicky)
- ↑ a b SIDDIG, Emmanuel Edwar; MHMOUD, Najwa Adam; BAKHIET, Sahar Mubarak. The Accuracy of Histopathological and Cytopathological Techniques in the Identification of the Mycetoma Causative Agents. PLOS Neglected Tropical Diseases. 2019-08-29, roč. 13, čís. 8, s. e0007056. Dostupné online [cit. 2020-01-03]. ISSN 1935-2735. doi:10.1371/journal.pntd.0007056. PMID 31465459. (anglicky)
- ↑ SULEIMAN, Suleiman Hussein; WADAELLA, EL Sammani; FAHAL, Ahmed Hassan. The Surgical Treatment of Mycetoma. PLOS Neglected Tropical Diseases. 2016-06-23, roč. 10, čís. 6, s. e0004690. Dostupné online [cit. 2020-01-03]. ISSN 1935-2735. doi:10.1371/journal.pntd.0004690. PMID 27336736. (anglicky)
- ↑ SALINAS-CARMONA, M. C.; WELSH, O.; CASILLAS, S. M. Enzyme-linked immunosorbent assay for serological diagnosis of Nocardia brasiliensis and clinical correlation with mycetoma infections. Journal of Clinical Microbiology. 1993-11, roč. 31, čís. 11, s. 2901–2906. PMID: 8263174 PMCID: PMC266152. Dostupné online [cit. 2020-01-03]. ISSN 0095-1137. PMID 8263174.
- ↑ a b WELSH, Oliverio; SALINAS-CARMONA, Mario Cesar; LA GARZA, Jesus Alberto Cardenas-De. Current Treatment of Mycetoma. Current Treatment Options in Infectious Diseases. 2018-09-01, roč. 10, čís. 3, s. 389–396. Dostupné online [cit. 2020-01-03]. ISSN 1534-6250. doi:10.1007/s40506-018-0171-y. (anglicky)
Externí odkazy
Obrázky, zvuky či videa k tématu Mycetoma na Wikimedia Commons

Přečtěte si prosím pokyny pro využití článků o zdravotnictví.