Meningeom
| Meningeom | |
|---|---|
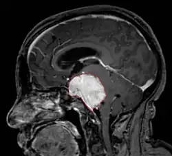
MRI sken se zřetelným meningeomem | |
| Klasifikace | |
| MKN-10 | D32 |
| MeSH | D008579 |
| Klinický obraz | |
| Postižený systém | nervová soustava |
| Některá data mohou pocházet z datové položky. | |
Meningeom je benigní (vzácně i maligní forma zvaná meningosarkom) nádor mozkového obalu, který roste z pavučnice. Představují zhruba 15–20 % všech vnitrolebních nádorů. Léčba probíhá obvykle radikálním neurochirurgickým odstraněním, hůře dostupné nádory mohou být operovány za pomoci Leksellova gama nože nebo ozařováním.
Reference
Externí odkazy
Obrázky, zvuky či videa k tématu meningeom na Wikimedia Commons
Slovníkové heslo meningeom ve Wikislovníku- Meningeomy na Wikiskripta.eu
- [1] Archivováno 3. 9. 2013 na Wayback Machine. Epidemiology and more information about meningioma.

Přečtěte si prosím pokyny pro využití článků o zdravotnictví.
Portály: Medicína