Mazová žláza


Mazová žláza (glandula sebacea) je exokrinní žláza v kůži (ve škáře) savců.[1] Vylučuje (tzv. „holokrinně“) kožní maz, který působí antibakteriálně a u mnohých savců také impregnuje kůži.[2]
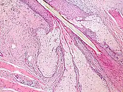
Stavba
Mazové žlázy jsou u různých savců poněkud různé a setkáme se s jednoduchými, větvenými i složenými mazovými žlázami.[2] U člověka jsou jednoduše větvené a tvarem alveolární.[3]
Zpravidla se nacházejí ve vlasových folikulech (na bázi každého vlasu a chlupu). Někdy se však nacházejí i mimo vlasový folikul – zejména na místech, kde ochlupení chybí, jako je řitní otvor mnohých druhů, bradavky koní[2] či na lidském víčku.[4] U některých savců dochází k velkému nahromadění mazových žláz na určitých místech: například u ovce mezi prsty a ve slabinách či u koz na bázi rohů. Naopak na dlaních, kopytech, drápech, nehtech a rozích mazové žlázy chybí.[2]
Lidská mazová žláza je alveolus (váček) obklopený na obvodu plochými buňkami bohatými na ribozomy. Tyto buňky se množí a postupně se dostávají do střední části alveolu, kde se plní tukovými kapénkami a postupně odumírají. Z těchto odumřelých buněk vzniká kožní maz. Ten se dostává díky stahům hladkých svalů (arrector pili) do vlasového folikulu a odtud na povrch pokožky. Výživný kožní maz je jedním z důvodů pro vznik zánětů folikulu (folikulitid) a akné.[4]
Reference
- ↑ ROČEK, Zbyněk. Obecná morfologie živočichů, Pokryv těla a opěrná soustava [online]. Dostupné online.
- ↑ a b c d Jo Ann Coers Eurell, Brian L. Frappier. Dellmann's textbook of veterinary histology. [s.l.]: [s.n.], 2006. 405 s. Dostupné online.
- ↑ Funkční klasifikace epitelů [online]. Katedra zoologie Přírodovědecké fakulty Univerzity Palackého v Olomouci [cit. 2010-03-28]. Dostupné v archivu pořízeném dne 2016-03-04.
- ↑ a b JELÍNEK, Richard, et al. Histologie embryologie [online]. 3. lékařská fakulta UK [cit. 2010-03-28]. Dostupné v archivu pořízeném dne 2016-03-06.
Externí odkazy
Obrázky, zvuky či videa k tématu mazová žláza na Wikimedia Commons