Legionelóza
| legionelóza | |
|---|---|
![]() | |
| Minimální inkubační doba | 2 d |
| Maximální inkubační doba | 16 d |
| Některá data mohou pocházet z datové položky. | |


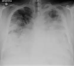
Legionelóza neboli legionářská nemoc je akutní horečnaté onemocnění vyvolané gramnegativními bakteriemi rodu Legionella, nejčastěji bakterií Legionella pneumophila, které postihuje především dýchací cesty. Nejzávažnějším a zároveň nejčastějším projevem je zápal plic („legionářská nemoc“). Dalšími projevy infekce může být lehké chřipkové onemocnění s bolestmi hlavy a svalů bez postižení plic („pontiacká horečka“).
Legionely se běžně vyskytují ve vodě a v půdě. Přenáší se klimatizací, vzduchotechnikou, zvlhčovači, nebulizátory, vodovodními sítěmi,[1] ale i vodotrysky apod. K nákaze dochází především inhalací kontaminovaného aerosolu. Přenos z člověka na člověka nebyl prokázán.
Onemocnění bylo poprvé popsáno u členů Americké legie (odtud název), kteří se sjeli na třídenní konvent do filadelfského hotelu Bellevue-Stratford v červenci 1976. Bakterie byla následně prokázána v lednu 1977. K jejímu pomnožení došlo v okruhu chladicí vody ventilačního systému hotelu,[2] jehož prostřednictvím se rozšířila po budově.[3] Retrospektivní výzkumy později zjistily případy legionářské nemoci již v roce 1943.
Od roku 1990 výskyt nemoci v ČR i EU roste.[4]
Odkazy
Reference
- V tomto článku je použit text článku Legionelóza ve WikiSkriptech českých a slovenských lékařských fakult zapojených v MEFANETu.
- ↑ Legionnaires' disease. www.nhs.uk [online]. [cit. 2023-11-11]. Dostupné online.
- ↑ Spread by airborne droplets? Legionnaire's disease linked to water. Globe and Mail from New York Times Service. S. 10. Dostupné online [cit. January 18, 2014].
- ↑ Ronald Kotulak. Legionnaires` Disease Less Mysterious, Still Deadly. Chicago Tribune. S. 3. Dostupné online [cit. January 18, 2014].
- ↑ Surveillance legionelóz ČR, EU. healthgis.tul.cz [online]. [cit. 2023-11-11]. Dostupné online.
Související články
Externí odkazy
Obrázky, zvuky či videa k tématu legionelóza na Wikimedia Commons - Legionella.cz – český informační projekt
- Legionela – dezinfekce teplé vody a vzduchotechniky (komerční stránky)
