Lékařská ultrasonografie

Lékařská sonografie je diagnostická zobrazovací technika založená na registraci ultrazvuku odraženého od tkání. Typicky se používají piezoelektrické sondy o frekvencích 2–18 MHz.
Princip
Do těla vyšetřovaného pacienta je vysíláno ultrazvukové vlnění vytvářené piezoelektrickým měničem o frekvenci 2–18 MHz a intenzitě maximálně 10 Wm−2. Měkké tkáně se chovají jako tekutina, ultrazvukové vlnění je jen podélné s průměrnou rychlostí 1540 ms−1. Akustická impedance, a tedy i rychlost šíření ultrazvukového vlnění, však není ve všech tkáních zcela stejná, tkáně mají rozdílnou akustickou impedanci. Na rozhraní dvou tkání s odlišnou akustickou impedancí jsou vhodné podmínky pro částečný odraz vlnění. V ideálním případě je plocha rozhraní kolmá na směr šíření ultrazvukového vlnění a odražené vlnění může být registrováno. Aby bylo vůbec možné registrovat odražené vlnění, vysílá se ultrazvuk v mikrosekundových impulzech s opakovací frekvencí řádově 102–103 Hz a registruje se intenzita odražených signálů i doba, za jakou se po vyslání vrátí do senzoru. Protože intenzita ultrazvukového vlnění klesá exponenciálně, je třeba pro dobrou vizualizaci detekovaný signál dále upravit; k tomu se používá zesílení signálu úměrné době, která uplynula od jeho vyslání.
Protože vzduch má pro ultrazvukové vlnění velmi vysokou impedanci, je třeba zajistit, aby vlnění procházelo jen vodním prostředím. Obvyklým řešením je důkladné pokrytí povrchu sondy gelem (EKG krém), který zajistí dobrý průchod vlnění do kůže.
Způsoby zobrazení




Jednorozměrná zobrazení (1D)
- A mód
A mód (Amplitude mode) je jednorozměrné zobrazení, při kterém se na stínítku zobrazují amplitudy odražených signálů, výstupem vyšetření je tedy křivka zobrazující závislost korigované intenzity odraženého signálu na čase uplynulém od vyslání signálu. Tento mód umožňuje přesné měření vzdáleností. V jednorozměrném obrazu je obecně obtížná orientace, protože vyšetřující si musí dobře představit trojrozměrnou strukturu organizmu a v ní vést jen jeden zkoumající paprsek. Jednorozměrné vyšetření zejm. v A módu je podkladem např. biometrie oka v očním lékařství.
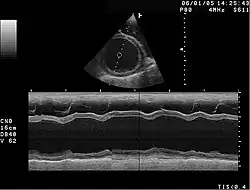
- M mód
M mód (Movement mode) je způsob jednorozměrného zobrazení umožňující zobrazení pohybujících se struktur, nejčastěji srdce. Jde vlastně o A mód zobrazený v čase (na svislé ose je zobrazena hloubka a na vodorovné ose čas). Často se používá při vyšetření srdce jako součást echokardiografie.
2D zobrazení (B mod)
B mód (Brightness mode) je dvourozměrné zobrazení, při kterém se amplitudy odražených signálů převádějí do stupňů šedi. Výstupem je tedy úsečka složená z pixelů o různém jasu. Jasný bod odpovídá vrcholu na křivce z A módu, tmavý úsek odpovídá nulové linii na křivce z A módu. Tento mód je základem pro další způsoby zobrazení,
2D zobrazení je základním zobrazením. Z 2D obrazu lze v případě potřeby získat i jednorozměrné obrazy v módu A, B a zejména M. Dvojrozměrný obraz je získán jako řada vedle sebe položených úseček jednorozměrného zobrazení v B módu. Technicky lze získat několik paprsků buď vychylováním paprsku jednoho měniče, nebo použití řady (array) měničů pracujících současně. Podle uspořádání snímače (sondy) tak můžeme hovořit o sondách:
- lineárních – sondu tvoří řada rovnoběžných měničů, obraz má tvar obdélníku
- konvexních – sondu tvoří konvexní (vypouklá) řada měničů, obraz má tvar kruhové výseče
- sektorových – ultrazvukový paprsek je postupně vychylován buď mechanicky nebo elektronicky, obraz má tvar široké kruhové výseče
2D zobrazení je široce využívanou metodou vyšetření vnitřních orgánů, protože je poměrně snadno dostupné a prakticky nezatěžující pacienta. Používá se např. k diagnostickému zobrazení jater, žlučníku a žlučových cest, slinivky břišní, dutiny pobřišnice, ledvin, močových cest a močového měchýře, prostaty, varlat, prsů, dělohy, ovarií, srdce, cév, štítné žlázy, měkkých kloubních a kolem kloubních struktur a u novorozenců dokonce i mozku. Samozřejmostí je i ultrazvukové vyšetření vyvíjejícího se plodu. Ultrazvuk může být použit i jako prostředek pro navigaci při cílené biopsii podezřelých struktur. Digitalizovaný obraz v tomto modu se nazývá B-obraz. Tento mod hraje významnou roli v diagnostické sonografii včetně diferenciální diagnostiky, tedy sledování progrese nemoci v krátkodobém i dlouhodobém období. Intenzita zobrazení šedi odpovídá denzitě tkáně, tedy její schopnost propouštět ultrazvukový paprsek. Obecně platí, čím je zobrazovaná tkáň v B-obraze světlejší, tím je denzita vyšší (např. kosti) a naopak zcela černá intenzita odpovídá vzduchu.
3D mód
3D ultrazvuk je trojrozměrná rekonstrukce řady dvojrozměrných snímků. Nejčastěji se takové obrazy používají v porodnictví, mohou však být použity i např. v ortopedii. Trojrozměrný obraz vzniká jako počítačová rekonstrukce z řady za sebou ležících dvojrozměrných řezů. Aby bylo možno takovou rekonstrukci provést, je důležité znát informaci o umístění jednotlivých řezů. Toho lze v praxi docílit několika způsoby při použití:
- zařízení s řízeným posunem sondy nad sledovanou oblastí; historicky původní metoda, dnes se již příliš nepoužívá;
- běžné sondy doplněné o snímač polohy;
- jednorozměrné řady s úhlovým vychylováním (manuálním, mechanickým nebo elektronickým);
- dvojrozměrné řady (matice) měničů.
4D zobrazení



Pomocí dvojrozměrné matice měničů lze provádět snímání z oblasti zájmu velmi rychle, pokud máme k dispozici dostatečně výkonný počítač, lze získávat a zobrazovat data v reálném čase, pak hovoříme o real-time 3D sonografii nebo také o 4D sonografii.
Dopplerovská ultrasonografie
Klasická sonografie umožňuje získat informace o rozměrech statických tkání. Využitím Dopplerova jevu lze získat i informaci o rychlostech pohybu tkání, zejména krve. Důležité ovšem je, že se obvykle nezískají skutečné rychlosti, ale pouze složky rychlosti ve směru k sondě nebo od sondy. Proto pokud bude sonda měřící průtok krve cévou umístěna kolmo na cévu, naměří nulovou rychlost. Obecně lze doplerovské měření provádět ve dvou módech:
- CW (continuous wave) – vysílající měnič stále vysílá
- PW (pulsed wave) – vysílající měnič vysílá v pulzech
CW mód je jednodušší na technické řešení, dává však informaci pouze o průměrné rychlosti podél ultrazvukového paprsku. Dnes se obvykle používá v tužkových průtokoměrech sloužících zejm. k měření krevního tlaku na dolních končetinách a k orientačnímu hodnocení cévního řečiště.
PW mód umožňuje měřit nejen změnu frekvence mezi vysílaným a přijímaným signálem, ale i dobu, za jakou se odražený signál vrátil k sondě. To umožňuje určit nejen rychlost toku, ale i hloubku, ve které došlo k obrazu. Doplerovské měření v PW módu je možné na většině běžně používaných přístrojů, výsledek se zobrazuje jako dvojrozměrný obraz naměřených rychlostí. Výsledky se obvykle kódují barevně (barevně kódovaná doplerovská sonografie) – čím vyšší je v daném bodě rychlost k sondě, tím jasnější odstín červené je zobrazen v odpovídajícím místě na monitoru, a čím je větší rychlost od sondy, tím je zobrazen jasnější odstín modré. Tato volba barev má tu výhodu, že místa s turbulentním prouděním ze zobrazí žlutě. Aby byla umožněna orientace v obraze, obvykle se spojí obraz barevně kódované doplerovské sonografie a anatomický obraz kódovaný do stupňů šedi; výsledný obraz se nazývá duplexní sonogram (též duplexní sono nebo jen duplex).
Ultrazvukové kontrastní látky
Ke zvýšení kontrastu obrazu, a tím i citlivosti vyšetření, lze použít nitrožilně podaných kontrastních látek. Obvykle se používají mikrobubliny neškodného plynu, který po podání poměrně rychle mizí z těla pacienta vydýcháním.
Související články
Literatura
- HOFER, Matthias. Kurz sonografie. Praha: Grada, 2005. ISBN 80-247-0956-2. S. 240.
- HRAZDIRA, Ivo, et al. Biofyzika – učebnice pro lékařské fakulty. Praha: Avicenum, 1983. S. 364.
- HRAZDIRA, Ivo; MORNSTEIN, Vojtěch. Lékařská biofyzika a přístrojová technika. Brno: Neptun, 2001. ISBN 80-902896-1-4. S. 396.
- HRAZDIRA, Luboš. Možnosti 3D ultrazvukového vyšetřování a prostorových rekonstrukcí pohybového aparátu. Brno: Padio, 2004. ISBN 80-7315-070-0. S. 87.
- NAVRÁTIL, Leoš; ROSINA, Jozef, et al. Lékařská biofyzika. Praha: Manus, 2000. ISBN 80-902318-5-3. S. 357.
- NEKULA, Josef; HEŘMAN, Miroslav, et al. Radiologie. 3. vyd. Olomouc: Univerzita Palackého v Olomouci, 2005. ISBN 80-244-1011-7. S. 205.
- ŠKOLOUDÍK David, et al. Neurosonologie. 1. vyd. Praha: Galén, 2003, ISBN 80-7262-245-5. S. 304.
- ŠKVOR, Zdeněk. Akustika a elektroakustika. Praha: Academia, 2001. ISBN 80-200-0461-0. S. 527.
Externí odkazy
Obrázky, zvuky či videa k tématu lékařská ultrasonografie na Wikimedia Commons - Atlas radiologických obrázků na atlas.mudr.org. Velké množství radiologických obrázků setříděných podle metody, vyšetřované části těla, orgánu, krátký popis patologie v anglickém jazyce.
- (anglicky)O objevu sonografie
- (anglicky)Historie lékařské sonografie