Krup
| Krup | |
|---|---|
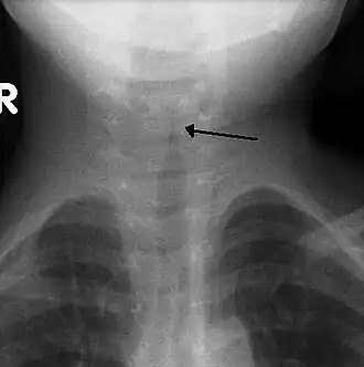
![]() Rentgenový snímek dítěte s krupem | |
| Základní údaje | |
| Klasifikace a externí odkazy | |
| MedlinePlus | 000959 |
Krup (neboli laryngotracheobronchitida) je zánětlivé onemocnění dýchacích cest, které je způsobeno virovou infekcí horních cest dýchacích. Infekce vede ke vzniku otoku uvnitř hrdla, který brání normálnímu dýchání. Příznaky krupu jsou „štěkavý“ kašel, stridor (vysoký hvízdavý zvuk při nádechu) a chrapot. Symptomy krupu mohou být mírné, středně těžké nebo těžké a v noci se často zhoršují. Ke zlepšení stavu může pomoci třeba i jen jediná dávka perorálně podávaných steroidů. V závažnějších případech se někdy používá epinefrin (adrenalin). Hospitalizace je nutná jen velmi zřídka.
Krup je diagnostikován na základě příznaků a symptomů poté, jakmile jsou vyloučeny závažnější příčiny (například epiglotitida čili zánět hrtanové příklopky nebo vdechnutí cizího tělesa). Další vyšetření, jako například krevní testy, rentgen a testy na přítomnost bakterií a virů nejsou ve většině případů potřebná. Krup je běžným onemocněním a vyskytuje se u přibližně 15 % dětí obvykle ve věku od 6 měsíců do 5–6 let. U mladistvých a dospělých se objevuje vzácně.
Příznaky a symptomy
Symptomy krupu zahrnují „štěkavý“ kašel, stridor(vysoký hvízdavý zvuk zejména při nadechování), chrapot a dýchací potíže, které se v noci obvykle zhoršují.[1] „Štěkavý“ kašel je často přirovnáván ke zvuku vydávanému tuleni nebo lachtany.[2] Pláč může sípání ještě zhoršit; sípání může znamenat, že dýchací cesty jsou zúžené. Se zhoršením krupu může sípání ustávat.[1]
K dalším symptomům patří horečka, zánět nosní sliznice (symptomy typické pro nachlazení) a vtažení kůže mezi žebry.[1][3] Zvýšená sekrece slin nebo skutečnost, že pacient vypadá velmi nemocně, obvykle indikují jiné zdravotní potíže.[3]
Příčiny
Krup je obvykle považován za důsledek virové infekce.[1][4] Někteří tímto výrazem označují i akutní laryngotracheitidu, spastický krup, záškrt hrtanu, bakteriální tracheitidu, laryngotracheobronchitidu a laryngotracheobronchopneumonitidu. První dvě onemocnění jsou virová a mají mírnější symptomy; další čtyři jsou bakteriálního původu a mívají závažnější průběh.[2]
Krup virového původu
Za krup je v 75 % případů odpovědný virus parainfluenzy, zejména typu 1 a 2.[5] Mezi další viry, které mohou krup způsobit, patří viry chřipky A a B, virus spalniček, adenovirus a respirační syncytiální virus (RSV).[2] Spastický krup (krup provázený štěkavým kašlem) je způsoben stejnou skupinou virů jako akutní laryngotracheitida, není ale provázen obvyklými příznaky infekce (jako například horečka, bolesti v krku a zvýšený počet bílých krvinek).[2] Léčba a reakce na léčbu jsou totožné.[5]
Krup bakteriálního původu
Krup bakteriálního původu lze dále klasifikovat na záškrt hrtanu, bakteriální tracheitidu, laryngotracheobronchitidu a laryngotracheobronchopneumonitidu.[2] Záškrt hrtanu je způsoben bakterií Corynebacterium diphtheriae, zatímco bakteriální tracheitida, laryngotracheobronchitida a laryngotracheobronchopneumonitida jsou vyvolány virovou nákazou, jež je následována bakteriální infekcí. Bakteriemi s nejčastějším výskytem jsouStaphylococcus aureus, Streptococcus pneumoniae, Hemophilus influenzae a Moraxella catarrhalis.[2]
Patofyziologie
Virová infekce vede k otoku hrtanu, průdušnice a k hromadění bílých krvinek v dýchacích cestách.[4] Otok může ztížit dýchání.[4]
Diagnóza
| Příznak | Počet bodů přidělených tomuto příznaku | |||||
|---|---|---|---|---|---|---|
| 0 | 1 | 2 | 3 | 4 | 5 | |
| Retrakce hrudní stěny |
Žádná | Mírná | Střední | Silná | ||
| Stridor | Žádný | Při pohybu |
V klidu | |||
| Cyanóza | Žádná | Při pohybu |
V klidu | |||
| Stupeň vědomí |
Normální | Dezorientovaný | ||||
| Příjem vzduchu | Normální | Snížený | Značně snížený | |||
Krup je diagnostikován na základě příznaků a symptomů.[4] Prvním krokem je vyloučení jiných chorob, které mohou blokovat horní cesty dýchací, zejména epiglotitidy, cizího tělesa v dýchacích cestách, subglotické stenózy, angioedému, retrofaryngeálního abscesu a bakteriální tracheitidy.[2][4]
Rentgen krku se obvykle neprovádí,[4] je-li ale realizován, může ukázat zúžení průdušnice, anglicky zvané symptom „kostelní věže“, protože tvar zúžení připomíná kostelní věž. Symptom „kostelní věže“ se objevuje jen v polovině případů.[3]
Krevní testy a virologické testy (testy na přítomnost viru) mohou způsobit zbytečné podráždění dýchacích cest.[4] Naopak virové kultury získané prostřednictvím nasofaryngeálního odsávání (procedura používající trubičku k odsátí hlenu z nosu) mohou být použity k potvrzení přesné příčiny. Tyto testy se obvykle používají pouze u osob, které se účastní výzkumu.[1] Pokud se stav nemocného nezlepší standardní léčbou, lze provést další testy na přítomnost bakterií.[2]
- Závažnost
Nejběžnějším systémem pro klasifikaci závažnosti krupu je Westleyho škála. Spíše než v klinické praxi se tento test používá pro vědecké účely.[2] Jde o součet bodů přidělených pěti faktorům – stupeň vědomí, cyanóza, stridor, příjem vzduchu a retrakce hrudní stěny.[2] Body přiřazené jednotlivým faktorům jsou uváděny v tabulce zleva doprava a celkové skóre je v rozsahu od 0 do 17.[6]
- Celkové skóre ≤ 2 je klasifikováno jako mírný krup. Může se vyskytovat štěkavý kašel a chrapot, pacient v klidu však nevykazuje stridor (hvízdání).[5]
- Celkové skóre 3–5 je klasifikováno jako středně těžký krup — vyskytuje se hvízdání společně s několika dalšími příznaky.[5]
- Celkové skóre 6–11 je klasifikováno jako těžký krup. Vyskytuje se zřetelný stridor, ale také vtažení (retrakce) hrudní stěny.[5]
- Celkové skóre ≥ 12 znamená, že by mohlo dojít k respiračnímu selhání. V této fázi již může štěkavý kašel a hvízdání zcela chybět.[5]
85 % dětí přijímaných na pohotovosti má mírnou formu krupu; těžká forma krupu je vzácná (<1 %).[5]
Prevence
Krupu lze předejít imunizací (vakcínami) proti chřipce a záškrtu .[2]
Léčba
Děti trpící krupem by měly zůstávat co nejvíce v klidu.[4] Obvykle se podávají steroidy, v závažných případech se používá epinefrin (adrenalin).[4] Dětem s hodnotou saturace kyslíkem (množstvím kyslíku v krvi) nižší než 92 % by měl být podáván kyslík[2], osoby s těžkou formou krupu by měly být hospitalizovány na pozorování.[3] Je-li potřeba dodávat kyslík, doporučuje se přiložení zdroje kyslíku do blízkosti tváře dítěte, jelikož způsobuje menší rozrušení než přiložení kyslíkové masky.[2] Endotracheální intubaci (hadičku zavedenou do dýchacích cest) potřebuje méně než 0,2 % léčených osob.[6]
Steroidy
K léčbě krupu mohou být použity kortikosteroidy, jako například dexametazon a budesonid.[7] Výrazného zlepšení se dosahuje již šest hodin po podání.[7] Ačkoli tyto léky jsou účinné při orálním podání (ústy), parenterálně (injekcí) i inhalací, upřednostňuje se orální podání.[4] Obvykle stačí jediná dávka, která je obecně považována za dostatečně bezpečnou.[4] Dexametazon v dávkách 0,15, 0,3 a 0,6 mg/kg se zdá být stejně účinný.[8]
Epinefrin (adrenalin)
Střední a těžkou formu krupu lze léčit nebulizovaným adrenalinem (vdechovaný aerosol rozšiřující dýchací cesty).[4] Ačkoli adrenalin snižuje závažnost symptomů krupu do 10–30 minut, jeho účinek trvá jen asi 2 hodiny.[1][4] Pokud je stav dítěte lepší i po 2 – 4 hodinách po podání a neobjeví se žádné další komplikace, může dítě opustit nemocnici.[1][4]
Ostatní
Byly provedeny i studie jiných metod léčby krupu, neexistuje však dostatek důkazů podporujících jejich využití. Vdechování horké páry nebo zvlhčeného vzduchu je tradičním způsobem svépomocné léčby, klinické studie ale neprokázaly její účinnost,[2][4] a tak se v současnosti používá pouze zřídka.[9] Použití léků proti kašli, které obvykle obsahujídextrometorfan a/nebo guiafenesin, se rovněž nedoporučuje.[1] Ačkoli v minulosti byly ke snížení námahy při dýchání používány inhalace helioxu (směsi hélia a kyslíku), existuje jen velmi málo důkazů o účinnosti této metody.[10] Jelikož krup je obvykle onemocněním virového původu, antibiotikum nejsou používána, pokud neexistuje podezření na výskyt bakterií.[1] Na bakteriální infekce se doporučují antibiotika vankomycin and cefotaxim.[2] V závažných případech souvisejících s chřipkou typu A nebo B lze podávat antivirové neuraminidázové inhibitory.[2]
Prognóza
Krup virového původu je obvykle krátkodobým onemocněním; jen zřídka dochází k úmrtí z důvodu respiračního selhání a/nebo zástavy srdce.[1] Symptomy se obvykle zlepší do dvou dnů, mohou ale trvat až sedm dnů.[5] Další neobvyklé komplikace zahrnují bakteriální tracheitidu, zápal plic a plicní edém.[5]
Epidemiologie
Krupem onemocní přibližně 15 % dětí, obvykle ve věku mezi 6 měsíci a 5–6 lety.[2][4] Krup je příčinou přibližně 5 % hospitalizací u této věkové skupiny.[5] Ve vzácných případech krupem onemocní i děti ve věku 3 měsíců nebo 15 let.[5] U mužů se krup vyskytuje o 50 % častěji než u žen. Nejběžnějším obdobím výskytu choroby je podzim.[2]
Historie
Slovo krup je odvozeno od slovesa croup , pocházejícího z rané moderní angličtiny a znamenajícího „chraptivě křičet“; poprvé bylo použito pro pojmenování nemoci, jež se vyskytla ve Skotsku, a v 18. století se stalo všeobecně používaným.[11] Difterický krup je znám již z časů Homérova antického Řecka. V roce 1826 odlišil Bretonneau krup virového původu od krupu způsobeného záškrtem.[12] Francouzi nazývali krup virového původu „faux-croup“ – výrazem „croup“ pojmenovávali nemoc způsobenou bakteriemi diftérie.[9] Od nástupu účinné imunizace se krup způsobený záškrtem v podstatě nevyskytuje.[12]
Reference
- ↑ a b c d e f g h i j Rajapaksa S, Starr M. Croup – assessment and management. Aust Fam Physician. 2010, s. 280–2. PMID 20485713.
- ↑ a b c d e f g h i j k l m n o p q r Cherry JD. Clinical practice. Croup. N. Engl. J. Med.. 2008, s. 384–91. Dostupné online. doi:10.1056/NEJMcp072022. PMID 18216359.
- ↑ a b c d Diagnosis and Management of Croup [online]. Dostupné online.
- ↑ a b c d e f g h i j k l m n o p Everard ML. Acute bronchiolitis and croup. Pediatr. Clin. North Am.. 2009, s. 119–33, x–xi. doi:10.1016/j.pcl.2008.10.007. PMID 19135584.
- ↑ a b c d e f g h i j k l Johnson D. Croup. Clin Evid (Online). 2009. PMID 19445760.
- ↑ a b c Klassen TP. Croup. A current perspective. Pediatr. Clin. North Am.. 1999, s. 1167–78. doi:10.1016/S0031-3955(05)70180-2. PMID 10629679.
- ↑ a b Russell KF, Liang Y, O'Gorman K, Johnson DW, Klassen TP. Glucocorticoids for croup. Redakce Klassen Terry P. Cochrane Database Syst Rev. 2011, s. CD001955. doi:10.1002/14651858.CD001955.pub3. PMID 21249651.
- ↑ Port C. Towards evidence based emergency medicine: best BETs from the Manchester Royal Infirmary. BET 4. Dose of dexamethasone in croup. Emerg Med J. 2009, s. 291–2. doi:10.1136/emj.2009.072090. PMID 19307398.
- ↑ a b Marchessault V. Historical review of croup. Can J Infect Dis. 2001, s. 337–9. PMID 18159359.
- ↑ Vorwerk C, Coats T. Heliox for croup in children. Redakce Vorwerk Christiane. Cochrane Database Syst Rev. 2010, s. CD006822. doi:10.1002/14651858.CD006822.pub2. PMID 20166089.
- ↑ Online Etymological Dictionary, croup. Accessed 2010-09-13.
- ↑ a b Feigin, Ralph D. Textbook of pediatric infectious diseases. Philadelphia: Saunders, 2004. ISBN 0-7216-9329-6. S. 252.
Externí odkazy
Obrázky, zvuky či videa k tématu Krup na Wikimedia Commons
