Infarkt

Infarkt, latinsky infarctus, česky též záhať, je místní odumření tkáně způsobené zástavou či poklesem přívodu okysličené krve. Nejčastěji vzniká uzavřením příslušné zásobovací tepny, přičemž uzávěr může být způsoben překážkou uvnitř cévy, obstrukcí, stlačením cévy patologickým procesem zvenčí, kompresí nebo i spasmem příslušné cévy.[1] Infarkt může vzniknout i v případě, že je vlivem patologického procesu potřeba kyslíku ve tkáni větší, než jsou přívodné tepny schopné tkáni dodat, přestože jejich průsvit je normální,[2] nebo při náhlém poklesu krevního tlaku.[2]
Předstupněm infarktu je ischemie, nedokrvení tkáně. Zda se vyvine do infarktu, tedy ischemické nekrózy, a jaký bude rozsah takto vzniklého nekrotického ložiska, záleží na mnoha faktorech: na místě uzávěru v závislosti na velikosti tkáně, která je vyživována konkrétní přívodnou tepnou, na rychlosti uzávěru, na celkovém stavu cirkulace v organismu a citlivosti tkáně k ischemii.
Velmi citlivými tkáněmi jsou mozek, mícha, srdce a ledviny,[2] v nich dochází k odumření tkáně v důsledku ischemie záhy po jejím vzniku. Naproti tomu vazivo, tuková tkáň či kost jsou málo citlivé.[1] Při postupném omezování krevního zásobení se mohou vytvořit anastomózy, cévní spojky, které zajistí zásobení postižené oblasti sousedícími tepnami; rychlý uzávěr vznik anastomóz neumožňuje.[1] Je-li organismus v době vzniku ischemie v klidu a požadavky tkáni na kyslík jsou malé, rozsah infarktu a jeho následky jsou menší, případně se mohou i zcela kompenzovat.[2] Při fyzickém zatížení je tkáň poškozena ve větším rozsahu.
Podle makroskopického vzhledu ložiska infarktu jsou rozlišovány tři druhy:[3]
- infarkt bílý – ložisko koagulační nekrózy bez většího krvácení, odumřelá tkáň je suchá, tuhá, zakalená a zbarvená do žluta;
- infarkt červený – ložisko hemoragické nekrózy, kapiláry jsou výrazně roztažené, s krvácením do nekrotické tkáně;
- infarkt smíšený – uvnitř ložiska je koagulační nekróza s výrazně překrvenými cévami na okrajích infarktu.
Patologickým stavem, který se infarktu poněkud podobá, je hemoragická infarzace. Vzniká uzávěrem odvodné žíly, takže krev do tkáně přitéká, ale nemůže odtékat a hromadí se v ní. Druhotně nastává ischemie a ischemická nekróza postižené oblasti.[4]
Infarkt myokardu (srdce)
Infarkt myokardu vzniká při ischemii srdeční svaloviny. Jedná se o infarkt smíšený, mrtvý myokard má jílovitě žlutou barvu, okolo je tmavočervená zóna překrvené tkáně, která přechází do normální srdeční svaloviny.[3] Nekrotizují pouze svalové buňky, vazivová tkáň zůstává beze změn.[3] Nejčastěji vzniká v souvislosti s aterosklerózou a postupným uzavíráním věnčitých tepen, přičemž dlouhodobá ischemie srdečního svalu podporuje vznik anastomóz.[1] Hypertrofie srdce při zúžení průsvitu aortální chlopně či při dlouhodobé hypertenzi může způsobit ischemii a infarkt na podkladě vyšších nároků srdce na kyslík a relativně nedostatečného krevního zásobění.[2]
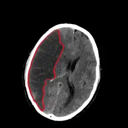
Infarkt mozku

Infarkt mozku je označován též jako ischemická cévní mozková příhoda. 80 % všech případů mozkové mrtvice je způsobeno právě infarktem. Při ischemii mozkové tkáně se rychle rozvíjí encefalomalacie, odumřelá tkáň je měkká a rozbředlá.[3] Nejčastěji vzniká v důsledku trombózy nad aterosklerotickým plátem, ale příčinou může být též rychlý pokles krevního tlaku při náhlém srdečním selhání.[3] K infarktům dochází v místech, kde se stýkají oblasti zásobované jednotlivými mozkovými tepnami a kde ischemie může přetrvávat, i když pacient přežije srdeční selhání a krevní oběh je obnoven.[1]
Infarkt plic
Infarkt plic vzniká při uzavření větve plicní tepny, nejčastěji při plicní embolii. Většinou se jedná o červený, hemoragický infarkt, ložisko má tmavočervenou barvu a je prostoupeno krví.[3] Na řezu mívá tvar trojúhelníku, v jehož vrcholu leží uzavřená přívodná tepna.[3] Leží-li na okraji orgánu, základna trojúhelníku je tvořena jejich okrajem, a poplicnice nad infarktem je zasažena fibrinózním zánětem.[3] Uzavření bronchiálních tepen k ischemii ani k infarktům plic nevede.[2]
Infarkt sleziny
Na slezině vznikají žlutá ložiska různého rozsahu. Příčinou bývá těžká kongesce, neboli překrvení sleziny a ucpání tepen sraženinou či nádorovými buňkami. Klinicky se většinou nijak neprojevuje.
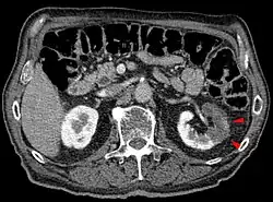
Infarkt ledviny

Infarkty ledviny mají na řezu tvar trojúhelníku, v jehož vrcholu leží uzavřená přívodná tepna.[3] Ložisko má bílou nebo nažloutlou barvu.[3]
Infarkt jater
Játra mají dvojí krevní zásobení. Při uzávěru větve jaterní tepny vznikají červené nebo bílé infarkty, při uzávěru větve vrátnicové žíly vznikají někdy namodralá nebo tmavočervená ložiska uvnitř jaterního parenchymu, tzv. Zahnův infarkt.[3] Nejedná se o ložiska nekrózy, ale atrofie hepatocytů.[4]
Infarkt tenkého střeva
Akutní břišní ischemie tenkého střeva je náhlá příhoda břišní, vznikající uzávěrem horní mezenterické tepny. Je-li uzávěr hned při odstupu tepny z aorty, dochází k infarktu značné části tenkého střeva a též vzestupného tračníku a značné části tračníku příčného. Má tmavočervenou barvu.[3]
Odkazy
Reference
- ↑ a b c d e MAČÁK, Jirka; MAČÁKOVÁ, Jana; DVOŘÁČKOVÁ, Jana. Patologie. 2. vyd. Praha: Grada, 2012. 347 s. ISBN 978-80-247-3530-6. Kapitola Poruchy oběhu krve a mízy, s. 74.
- ↑ a b c d e f MAČÁK, Jirka; MAČÁKOVÁ, Jana; DVOŘÁČKOVÁ, Jana. Patologie. Kapitola Poruchy oběhu krve a mízy, s. 75
- ↑ a b c d e f g h i j k l MAČÁK, Jirka; MAČÁKOVÁ, Jana; DVOŘÁČKOVÁ, Jana. Patologie. Kapitola Poruchy oběhu krve a mízy, s. 76
- ↑ a b MAČÁK, Jirka; MAČÁKOVÁ, Jana; DVOŘÁČKOVÁ, Jana. Patologie. Kapitola Poruchy oběhu krve a mízy, s. 77
Literatura
- MAČÁK, Jirka; MAČÁKOVÁ, Jana; DVOŘÁČKOVÁ, Jana. Patologie. 2. vyd. Praha: Grada, 2012. 347 s. ISBN 978-80-247-3530-6.
Související články
Externí odkazy
Obrázky, zvuky či videa k tématu infarkt na Wikimedia Commons
Slovníkové heslo infarkt ve Wikislovníku

Přečtěte si prosím pokyny pro využití článků o zdravotnictví.