Husté vazivo

Husté (někde uváděno tuhé) vazivo je typ kolagenního vaziva kategorie pojivových tkání. Vzniká ze zárodečného mezenchymu[2] všude tam, kde na něj budou působit tahové a tlakové síly.[3]
Popis a stavba
V hustém vazivu převažuje vláknitá hmota kolagenních vláken[4] nad množstvím volných buněk a amorfní buněčné hmoty,[5] fixními buňkami jsou drobné polygonální fibrocyty zasahující svými výběžky mezi kolagenní vlákna, ojediněle i mezi elastická vlákna.[2] Je méně ohebné, zato daleko více odolává mechanickým stresům.[4] Podle uspořádání kolagenních vláken se husté vazivo dělí na dva typy:
Neuspořádané (plsťovité) vazivo
Diferencuje se v místech, kde převažuje tah v různých směrech. Kolagenní vlákna se mezi sebou plsťovitě[2] proplétají, fibrocytů je jen minimum a jsou zatlačeny do pozadí[3] mezi svazky vláken.[2]
Uspořádané (provazcovité) vazivo
Vytváří se tam, kde na kolagenní vlákna působí tah pouze v jednom směru. Skládá se z paralelně seřazených kolagenních vláken vytvářejících snopce, mezi kterými jsou sloupovitě za sebou vmezeřeny fibroblasty.[3]
Lokalizace a funkce
Oba typy hustého vaziva najdeme na namáhaných místech.
Neuspořádané (plsťovité) vazivo
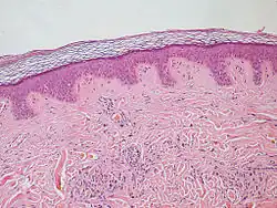
Tvoří hlubší vrstvu kůže, tzv. škáru (dermis),[2] kvůli dobré odolnosti vůči tlaku také bělimu oka, vazivové obaly četných orgánů[3] (fibrózní blány, fascie) a podílí se na stavbě cévních stěn a zacelování ran.
Uspořádané (provazcovité) vazivo
Tvoří šlachy a vazy,[3] kterým jejich bělavou barvu a odolnost v tahu propůjčuje právě kolagen.[4] Dále se vyskytuje ve fibrózních blanách a lamelovém vazivu (stroma rohovky oka).
Existuje také tzv. elastické vazivo (hlasové vazy). V kombinaci s kolagenním vazivem vytváří provazcovité vazivo s převahou síťovitě pospojovaných elastinových vláken. Vyskytuje se v místech pružných spojů (stěny tepen). Zvláštním příkladem jsou meziobratlové ploténky, ve kterých je obsah tvořen neuspořádaným vazivem a obal uspořádaným.
Složky hustého kolagenního vaziva
Vazivo obecně je pojivová tkáň složená z buněk a mezibuněčné hmoty, která obsahuje vazivová vlákna, amorfní hmotu (pojmenovanou podle toho, jak působí pod světelným mikroskopem) a látky krevního oběhu.
Buňky
Buňky jsou heterogenní složkou vaziva. Jejich diferenciace na různé morfologické struktury a funkci je způsobena specializací vazivové tkáně. Buňkami v hustém vazivu jsou především fibrocyty, které řadíme mezi tzv. fixní (usedlé) buňky.[4]
Amorfní buněčná hmota
Amorfní buněčná hmota je viskózní bezbarvá hmota s vysokým obsahem vody, která vyplňuje prostor mezi buňkami a vlákny. Je složena z glykosaminoglykanů, proteoglykanů a multiadhezivních glykoproteinů.
Glykosaminoglykany jsou polymery složené z disacharidových jednotek, jsou syntetizované fibroblasty jako kovalentní posttranslační modifikace proteinů označovaných jako proteoglykany. Jedním z glykosaminoglykanů je kyselina hyaluronová, která je silně hydrofilní, dokáže vázat vodu a je hojně zastoupena v rosolovitém vazivu.
Multiadhezivní glykoproteiny stabilizují mezibuněčnou hmotu vaziva a připojují povrch buněk ke složkám mezibuněčné hmoty. Například fibronektin je velký glykoprotein produkovaný fibroblasty a epitelovými buňkami, který se váže na buňky pomocí integrinu a významně se tak podílí na adhezi a migraci buněk. Má vazebná místa nejen pro integriny, ale také pro kolageny, fibrin, heparin a heparan sufát.[4]
Kolagenní vlákna
V hustém kolagenním vazivu se sporadicky vyskytují také elastická vlákna zajišťující pružnost. Jsou složená z fibril tvořených kolagenem typu I a jejich průměr závisí na počtu fibril (1–20 µm). Vlákna jsou velice pevná a odolná tahu i tlaku. Mají schopnost protáhnout se až o 50 % délky.[4]
Histologie, vizualizace
Kolagen je eosinofilní, barví se kyselými barvivy, např. eosinem, anilinovou modří, světlou zelení, AZANem, pikrofuchsinem (van Giesonovo barvivo, Weingert van Giesonova metoda) nebo šafránem.
Odkazy
Reference
- ↑ a b STARR, C. and McMILLAN, B. Human biology. 9th edition. Belmont (CA): Brooks/Cole Cengage Learning, 2012. ISBN 978-0-8400-6166-9.
- ↑ a b c d e PTÁČEK, Vladimír. Histologie: nauka o tkáních [online]. 31. 8. 2004 14:28:00 [cit. 9. 1. 2022]. Dostupné z: http://sci.muni.cz/ptacek/HISTOLOGIE2.htm
- ↑ a b c d e Medicínský atlas Lékařské fakulty Masarykovy univerzity v Brně, dostupný ONLINE Archivováno 17. 2. 2011 na Wayback Machine.
- ↑ a b c d e f JUNQUEIRA, Luiz Carlos Uchoa; KELLEY, Robert O. a CARNEIRO, José. Základy histologie. Překlad Richard Jelínek. 7. vyd., v ČR 1. Jinočany: H & H, 1997. 502 s. ISBN 80-85787-37-7.
- ↑ Biomechanika – studijní materiály [online]. Plzeň: ZČU v Plzni, ©1991–2022. Dostupné z: http://www.kme.zcu.cz/kmet/bio/tkvaziv.php Archivováno 16. 11. 2012 na Wayback Machine.
Literatura
- BALKO, Jan, Zbyněk TONAR a Ivan VARGA et al. Memorix histologie. Praha: Triton, 2016. 529 s. ISBN 978-80-7553-009-7.
- JUNQUEIRA, Luiz Carlos Uchoa; KELLEY, Robert O. a CARNEIRO, José. Základy histologie. Překlad Richard Jelínek. 7. vyd., v ČR 1. Jinočany: H & H, 1997. 502 s. ISBN 80-85787-37-7.
- PTÁČEK, Vladimír. Histologie: nauka o tkáních [online]. 31. 8. 2004 14:28:00 [cit. 9. 1. 2022]. Dostupné z: http://sci.muni.cz/ptacek/HISTOLOGIE2.htm
Externí odkazy
Obrázky, zvuky či videa k tématu Husté vazivo na Wikimedia Commons