Hodgkinův lymfom
| Hodgkinův lymfom | |
|---|---|
![]() Biopsie tkáně s Hodgkinovou chorobou | |
| Klasifikace | |
| MKN-10 | C81. |
| MeSH | D006689 |
| Některá data mohou pocházet z datové položky. | |
Hodgkinův lymfom [hočkinův lymfom] nebo Hodgkinova choroba (lat.: Morbus Hodgkin, angl.: Hodgkin's lymphoma nebo Hodgkin's disease) je systémové zhoubné nádorové onemocnění mízních uzlin, které je dnes díky moderní léčbě ve značném procentu případů vyléčitelné. Nádorové onemocnění může vzniknout v jakékoli lymfatické tkáni, nejčastěji se to však stává v některé mízní uzlině.
Postihuje převážně mladé lidi a představuje asi 30 % všech lymfomů. Nádor se nicméně vyskytuje ve všech dekádách života, včetně dětí. Muži onemocní častěji než ženy, a to v poměru 3 : 2.
Nemoc poprvé popsal anglický lékař a vynikající patolog Thomas Hodgkin v roce 1832. Nejčastějšími příznaky jsou horečka, noční pocení a úbytek hmotnosti. Zvětšené nebolestivé lymfatické uzliny se nejčastěji vyskytují na krku, v podpaží nebo v tříslech. Postižení jedinci se cítí unavení nebo je může svědit kůže.[1]
Hodgkinův lymfom není příliš častý, představuje 1% ze všech nově zjištěných nádorových onemocnění. Většina lidí je s tímto onemocněním diagnostikována ve věku mezi 20 a 40 lety.[2]
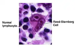
Dva hlavní typy Hodgkinova lymfomu (HL) jsou klasický a HL s převahou nodulárních lymfocytů.[1] Přibližně polovina případů je způsobena virem Epsteina-Barrové (EBV) a většinou se jedná o klasickou formu.[3] K dalším rizikovým faktorům patří výskyt HL v rodině a onemocnění HIV/AIDS. Diagnostika se provádí mikroskopickým potvrzením přítomnosti vícejaderných Reed-Sternbergových buněk v biopsii lymfatických uzlin.[1] Případy pozitivní na EBV jsou klasifikovány jako forma lymfoproliferativního onemocnění spojeného s EBV.[4]
Hodgkinův lymfom lze léčit chemoterapií, radioterapií a transplantací kostní dřeně. Volba léčby závisí na tom, jak pokročilé je onemocnění a zda má příznivé charakteristiky.[1] Pokud je nemoc odhalena včas, často je možné vyléčení.[5] Ve Spojených státech amerických přežívá 88 % lidí s diagnózou Hodgkinova lymfomu pět a více let.[2] U lidí mladších 20 let je míra přežití 97 %.[6] Ozařování a některé léky na chemoterapii však v následujících desetiletích zvyšují riziko vzniku jiných druhů rakoviny, srdečních onemocnění nebo onemocnění plic.[5]
Na tuto chorobu zemřeli archeolog Howard Carter, český herec a textař Jiří Grossmann, česká herečka Zuzana Dřízhalová a vyléčili se z ní například český herec Jiří Bartoška nebo spoluzakladatel Microsoftu Paul Allen.
Historie
Hodgkinův lymfom byl poprvé popsán ve zprávě Thomase Hodgkina z roku 1832, i když Hodgkin poznamenal, že možná dřívější zmínku o tomto onemocnění poskytl Marcello Malpighi v roce 1666. Během svého zaměstnání jako muzejní kurátor v Guy's Hospital v Londýně studoval Hodgkin sedm lidí s nebolestivým zvětšením lymfatických uzlin. Zprávu o sedmi případech nazvanou On some morbid appearances of the absorbent glands and spleen (O některých chorobných projevech vstřebávacích žláz a sleziny) předložil Lékařské a chirurgické společnosti v Londýně v lednu 1832. Následně byla publikována v časopise této společnosti Medical-Chirurgical Society Transactions.[7] Hodgkinův příspěvek však zůstal v podstatě bez nepovšimnutí, ani sám Hodgkin ho nepovažoval za zvlášť významný.[8]

Hodgkinovým nástupcem v Guy's Hospital se stal Samuel Wilks. O Hodgkinově předchozí práci nevěděl a v roce 1856 nezávisle referoval o sérii pacientů se stejným onemocněním, jaké předtím popsal Hodgkin. Poté, co se Wilks o Hodgkinově příspěvku dozvěděl, publikoval v roce 1865 druhou práci s názvem Cases of enlargement of the lymphatic glands and spleen (Případy zvětšení lymfatických žláz a sleziny), v níž na počest svého předchůdce pojmenoval nemoc „Hodgkinova nemoc“.[8]
Mikroskopické charakteristiky Hodgkinova lymfomu poprvé popsali v roce 1872, respektive 1878 Theodor Langhans a W. S. Greenfield. Cytogenetické vlastnosti maligních buněk Hodgkinova lymfomu, které se nyní nazývají Reed-Sternbergovy buňky (RS buňky), nezávisle na sobě popsali v roce 1898 Karl Sternberg a v roce 1902 Dorothy Reed.[7] Karl Sternberg byl profesorem patologie a působil v patologickém ústavu dnešní Fakultní nemocnice u sv. Anny v Brně.[9]
Vzorky tkání ze sedmi případů Hodgkinovy choroby byly uchovány v Guy's Hospital. Opětovné histopatologické vyšetření potvrdilo po téměř sto letech od původní Hodgkinovy publikace Hodgkinův lymfom pouze u tří ze sedmi jedinců. Ve zbývajících případech se jednalo o nehodgkinský lymfom, tuberkulózu a syfilis.[8]
V průběhu 20. století se postupně zapojila do léčby Hodgkinova lymfomu radioterapie a od 60. let i chemoterapie. Nicméně HL zůstával po dlouhá léta smrtelnou chorobou. Zlom v léčbě nastal na přelomu šedesátých a sedmdesátých let 20. století, kdy se začalo léčit kombinací chemoterapeutik. Léčebné režimy z té doby se v různých modifikacích stále používají. Dalšího významného pokroku v léčbě bylo dosaženo v devadesátých letech, kdy specialisté z Německa vytvořili intenzifikované léčebné schéma pro pokročilé formy onemocnění.[10] Hodgkinův lymfom se stal jedním z prvních nádorů, které byly úspěšně léčeny radioterapií a později kombinovanou chemoterapií.
Epidemiologie
Hodgkinův lymfom má na rozdíl od některých jiných lymfomů, u nichž počet nových případů ročně stoupá s věkem, bimodální křivku počtu případů, to znamená, že se nejčastěji vyskytuje ve dvou oddělených věkových skupinách. První skupina jsou mladí jedinci ve věku 15–35 let a druhá jsou lidé nad 55 let, tyto vrcholy se nicméně mohou mírně lišit podle národnosti. Celkově je onemocnění častější u mužů, s výjimkou varianty s nodulární sklerózou, která je o něco častější u žen. Roční výskyt případů Hodgkinova lymfomu je 2,7 na 100 000 osob za rok a toto onemocnění představuje o něco méně než 1 % všech nádorových onemocnění na světě.[2] V roce 2015 trpělo Hodgkinovým lymfomem celosvětově asi 574 000 lidí a 23 900 (4,2 %) jich zemřelo.[11][12] V České republice bylo v roce 2022 nově diagnostikováno celkem 294 případů, což představuje roční výskyt 2,7 na 100 000 osob. Ke konci roku 2022 žilo v Česku 6 865 osob s HL a 57 jich zemřelo.[13]
Počet případů Hodgkinova lymfomu se zvyšuje u osob s infekcí HIV, na rozdíl od mnoha jiných lymfomů spojených s infekcí HIV se nejčastěji vyskytuje u osob s vyšším počtem CD4 T buněk.[14]
_(14763756802).jpg)
Příznaky
Nejprve jsou postiženy lymfatické uzliny, později se nemoc šíří do orgánů (slezina, játra, plíce, kosti). Nejčastějším příznakem Hodgkinova lymfomu je nebolestivé zvětšení jedné nebo více lymfatických uzlin. Uzliny mohou být při vyšetření gumovité a oteklé. Nejčastěji jsou postiženy uzliny na krku, v podpaží a v tříslech (krční a nadklíčkové). Často jsou postiženy i nitrohrudní uzliny, které mohou být patrny na rentgenovém snímku hrudníku a mohou vyvolat kašel, bolesti zad a později i dušnost z útlaku dýchacích cest. Asi u třetiny pacientů se objeví nespecifické příznaky, tzv. B-symptomy, které jsou spojeny s horší prognózou. Patří sem teploty neinfekčního původu nad 38°C, váhový úbytek o minimálně 10 % celkové tělesné hmotnosti během posledních 6 měsíců a noční poty. Vzácně dochází ke svědění kůže nebo k bolestivosti zvětšených uzlin po požití alkoholu.[15][16]
Diagnostika

Hodgkinův lymfom je třeba odlišit od nenádorových příčin zduření lymfatických uzlin (např. různých infekcí) a od jiných typů rakoviny. Definitivní diagnóza se stanoví biopsií postižených lymfatických uzlin a mikroskopickým vyšetřením. Provádějí se také krevní testy k posouzení funkce hlavních orgánů a bezpečnosti pro chemoterapii. Pro stanovení rozsahu onemocnění a zhodnocení odpovědi na léčbu se standardně využívá PET/CT vyšetření.[16][17]
Klasifikace
Dva hlavní typy Hodgkinova lymfomu jsou klasický HL (90 %) a nodulární lymfocytárně-predominatní HL (10 %).[18][19] Morfologie, fenotyp, molekulární znaky, a tedy i klinické chování a prezentace obou typů se liší.[20]
Klasický HL
Klasický Hodgkinův lymfom lze rozdělit do čtyř histopatologických podtypů na základě morfologie Reed-Sternbergových buněk a složení okolních buněk ve vzorku biopsie lymfatické uzliny:[16] Z praktického pohledu však tyto podtypy nevedou k rozdílné léčbě.[21]
- nodulární skleróza
- HL bohatý na lymfocyty
- HL se smíšenou buněčností
- HL s lymfocytární deplecí
Nodulární lymfocytárně-predominatní HL
Nodulární lymfocytárně-predominatní HL (NLPHL) je charakterizován přítomností buněk, které exprimují CD20. Kvůli těmto odlišnostem se NLPHL často léčí jinak než klasický Hodgkinův lymfom.[19]
Klinická stádia
Klinické stádium neboli staging je výraz pro stanovení pokročilosti nádoru. Určuje se po stanovení diagnózy Hodgkinova lymfomu a slouží ke zjištění rozsahu onemocnění a určení té nejvhodnější léčby. Pacient podstoupí řadu testů a postupů, které určí, které oblasti těla jsou postiženy. Stádia jsou stejná pro Hodgkinovy i nehodgkinské lymfomy[22]
-
Stádium I -
Stádium II -
Stádium III -
Stádium IV
- I časné stádium – postižena je jedna lymfatická nebo extralymfatická oblast
- II místně pokročilé stádium – postižení dvou nebo více lymfatických oblastí na jedné straně bránice
- III pokročilé stádium – postižení lymfatických uzlin na obou stranách bránice, může zahrnovat slezinu nebo přilehlý extralymfatický orgán
- IV značně pokročilé stádium – diseminované postižení jednoho nebo více orgánů nezávisle na postižení uzlin
Každé stádium se dále označuje podle přítomnosti či nepřítomnosti příznaků A nebo B:
- A – bez celkových příznaků
- B – s celkovými příznaky (váhový úbytek o minimálně 10 % za 6 měsíců, teplota nad 38 °C, noční pocení)
Léčba
Pacienti s časným stadiem onemocnění (IA nebo IIA) mohou být účinně léčeni chemoterapií a radioterapií. Volba léčby závisí na věku, pohlaví, klinickém stádiu onemocnění a přítomnosti rizikových faktorů.[23] Přidání lokální radioterapie po chemoterapeutickém režimu může zajistit delší přežití bez progrese ve srovnání s léčbou samotnou chemoterapií.[24] Lidé s pokročilejším stadiem onemocnění (III, IVA nebo IVB) jsou léčeni pouze kombinovanou chemoterapií. Jedinci s velkou masou v hrudníku jsou obvykle léčeni kombinovanou chemoterapií a radioterapií.[25]
Cílem současného přístupu k léčbě je snížit její akutní a dlouhodobou toxicitu (např. poškození srdce a sekundární rakovina) a prodloužit celkové přežití.[24]
Pokud dojde k recidivě onemocnění (nemoc se vrátí), u mladších nemocných je metodou volby vysokodávkovaná chemoterapie s autologní transplantací kostní dřeně. U starších pacientů se podává jiný druh chemoterapie nebo tzv. biologická léčba monoklonálními protilátkami jako např. brentuximab vedotin.[26]
Důležitou roli v léčbě hraje psychologická podpora nemocného a jeho blízkých.
Nežádoucí účinky
Vysoká míra vyléčení a dlouhé přežití mnoha nemocných s Hodgkinovým lymfomem vedly k velkému zájmu o pozdní nežádoucí účinky léčby, včetně kardiovaskulárních onemocnění a sekundárních malignit, jako jsou akutní leukemie, lymfomy a solidní nádory v místě radioterapie. Většina osob s časným stadiem onemocnění je nyní léčena zkrácenou chemoterapií a radioterapií zacílenou na místo onemocnění. Nemocnice také léčí ty, kteří dobře reagují na chemoterapii, bez ozařování.[27]
U dětských případů Hodgkinova lymfomu jsou hlavním problémem dlouhodobé endokrinní nežádoucí účinky, především poruchy gonadální funkce a růstová retardace. Gonadální dysfunkce se zdá být nejzávažnějším endokrinním dlouhodobým účinkem, zejména po léčbě alkylačními látkami nebo pánevní radioterapii.[28]
Prognóza
Pacienti mají dobrou prognózu, po úvodní kombinace chemoterapie a radioterapie se vyléčí 80-90% nemocných s lokalizovanou chorobou. U pacientů s pokročilou chorobou se dosahuje vyléčení asi v 80% případů.[22][10]
Většina nemocných se vyléčí trvale, ale někdy se nemoc může vrátit zpět. Největší riziko je první tři roky, po třech letech je riziko návratu HL velmi malé.[10]
Odkazy
Reference
V tomto článku byl použit překlad textu z článku Hodgkin lymphoma na anglické Wikipedii.
- ↑ a b c d Adult Hodgkin Lymphoma Treatment (PDQ®)—Patient Version - National Cancer Institute. web.archive.org [online]. 2016-07-28 [cit. 2024-12-18]. Dostupné v archivu pořízeném z originálu dne 2016-07-28.
- ↑ a b c Hodgkin Lymphoma - SEER Stat Fact Sheets. web.archive.org [online]. 2012-10-17 [cit. 2024-12-18]. Dostupné v archivu pořízeném z originálu dne 2012-10-17.
- ↑ GREWAL, Ravnit; IRIMIE, Alexandra; NAIDOO, Nasheen. Hodgkin's lymphoma and its association with EBV and HIV infection. Critical Reviews in Clinical Laboratory Sciences. 2018-03, roč. 55, čís. 2, s. 102–114. PMID: 29316828. Dostupné online [cit. 2024-12-18]. ISSN 1549-781X. doi:10.1080/10408363.2017.1422692. PMID 29316828.
- ↑ REZK, Sherif A.; ZHAO, Xiaohui; WEISS, Lawrence M. Epstein-Barr virus (EBV)-associated lymphoid proliferations, a 2018 update. Human Pathology. 2018-09, roč. 79, s. 18–41. PMID: 29885408. Dostupné online [cit. 2024-12-18]. ISSN 1532-8392. doi:10.1016/j.humpath.2018.05.020. PMID 29885408.
- ↑ a b ARMITAGE, James O. Early-stage Hodgkin's lymphoma. The New England Journal of Medicine. 2010-08-12, roč. 363, čís. 7, s. 653–662. PMID: 20818856. Dostupné online [cit. 2024-12-18]. ISSN 1533-4406. doi:10.1056/NEJMra1003733. PMID 20818856.
- ↑ WARD, Elizabeth; DESANTIS, Carol; ROBBINS, Anthony. Childhood and adolescent cancer statistics, 2014. CA: a cancer journal for clinicians. 2014, roč. 64, čís. 2, s. 83–103. PMID: 24488779. Dostupné online [cit. 2024-12-18]. ISSN 1542-4863. doi:10.3322/caac.21219. PMID 24488779.
- ↑ a b Hodgkin lymphoma. 2nd ed. vyd. Philadelphia: Lippincott Williams & Wilkins, 2007. Dostupné online. ISBN 978-0-7817-6422-3. S. 3-6.
- ↑ a b c GELLER, S. A. Comments on the anniversary of the description of Hodgkin's disease. Journal of the National Medical Association. 1984-08, roč. 76, čís. 8, s. 815–817. PMID: 6381744 PMCID: PMC2609834. Dostupné online [cit. 2024-12-18]. ISSN 0027-9684. PMID 6381744.
- ↑ Sternberg Karl (1872–1935) | Velký lékařský slovník On-Line. lekarske.slovniky.cz [online]. [cit. 2024-12-20]. Dostupné online.
- ↑ a b c Hodgkinské lymfomy u dospělých. www.linkos.cz [online]. [cit. 2024-12-19]. Dostupné online.
- ↑ GBD 2015 DISEASE AND INJURY INCIDENCE AND PREVALENCE COLLABORATORS. Global, regional, and national incidence, prevalence, and years lived with disability for 310 diseases and injuries, 1990-2015: a systematic analysis for the Global Burden of Disease Study 2015. Lancet (London, England). 2016-10-08, roč. 388, čís. 10053, s. 1545–1602. PMID: 27733282 PMCID: PMC5055577. Dostupné online [cit. 2024-12-18]. ISSN 1474-547X. doi:10.1016/S0140-6736(16)31678-6. PMID 27733282.
- ↑ GBD 2015 MORTALITY AND CAUSES OF DEATH COLLABORATORS. Global, regional, and national life expectancy, all-cause mortality, and cause-specific mortality for 249 causes of death, 1980-2015: a systematic analysis for the Global Burden of Disease Study 2015. Lancet (London, England). 2016-10-08, roč. 388, čís. 10053, s. 1459–1544. PMID: 27733281 PMCID: PMC5388903. Dostupné online [cit. 2024-12-18]. ISSN 1474-547X. doi:10.1016/S0140-6736(16)31012-1. PMID 27733281.
- ↑ Září – měsíc povědomí o leukemii a lymfomu. www.svod.cz [online]. [cit. 2024-12-20]. Dostupné online.
- ↑ BIGGAR, Robert J.; JAFFE, Elaine S.; GOEDERT, James J. Hodgkin lymphoma and immunodeficiency in persons with HIV/AIDS. Blood. 2006-12-01, roč. 108, čís. 12, s. 3786–3791. PMID: 16917006 PMCID: PMC1895473. Dostupné online [cit. 2024-12-18]. ISSN 0006-4971. doi:10.1182/blood-2006-05-024109. PMID 16917006.
- ↑ ANSELL, Stephen M. Hodgkin Lymphoma: Diagnosis and Treatment. Mayo Clinic Proceedings. 2015-11, roč. 90, čís. 11, s. 1574–1583. PMID: 26541251. Dostupné online [cit. 2024-12-18]. ISSN 1942-5546. doi:10.1016/j.mayocp.2015.07.005. PMID 26541251.
- ↑ a b c Hodgkinův lymfom - CCCIS. ccc-is.uzis.cz [online]. [cit. 2024-12-19]. Dostupné online.
- ↑ Hodgkin Lymphoma Diagnosis | Tests for Hodgkin Lymphoma. www.cancer.org [online]. [cit. 2024-12-19]. Dostupné online. (anglicky)
- ↑ MCKAY, Pamela; FIELDING, Patrick; GALLOP-EVANS, Eve. Guidelines for the investigation and management of nodular lymphocyte predominant Hodgkin lymphoma. British Journal of Haematology. 2016, roč. 172, čís. 1, s. 32–43. Dostupné online [cit. 2024-12-19]. ISSN 1365-2141. doi:10.1111/bjh.13842. (anglicky)
- ↑ a b WELTGESUNDHEITSORGANISATION. WHO classification of tumours of haematopoietic and lymphoid tissues. Příprava vydání Steven H. Swerdlow, Elías Campo, Nancy Lee Harris, Elaine S. Jaffe, Stefano A. Pileri, Harald Stein, Jürgen Thiele. Revised 4th edition. vyd. Lyon: International Agency for Research on Cancer 585 s. (World Health Organization classification of tumours). ISBN 978-92-832-4494-3.
- ↑ RE, Daniel; THOMAS, Roman K.; BEHRINGER, Karolin. From Hodgkin disease to Hodgkin lymphoma: biologic insights and therapeutic potential. Blood. 2005-06-15, roč. 105, čís. 12, s. 4553–4560. Dostupné online [cit. 2024-12-19]. ISSN 0006-4971. doi:10.1182/blood-2004-12-4750.
- ↑ Maligní lymfomy » Linkos.cz. www.linkos.cz [online]. [cit. 2024-12-19]. Dostupné online.
- ↑ a b Hodgkinův lymfom. www.wikiskripta.eu [online]. [cit. 2024-12-19]. Dostupné online.
- ↑ Hodgkin lymphoma. nhs.uk [online]. 2017-10-23 [cit. 2024-12-19]. Dostupné online. (anglicky)
- ↑ a b ALDIN, Angela; UMLAUFF, Lisa; ESTCOURT, Lise J. Interim PET-results for prognosis in adults with Hodgkin lymphoma: a systematic review and meta-analysis of prognostic factor studies. The Cochrane Database of Systematic Reviews. 2020-01-13, roč. 1, čís. 1, s. CD012643. PMID: 31930780 PMCID: PMC6984446. Dostupné online [cit. 2024-12-19]. ISSN 1469-493X. doi:10.1002/14651858.CD012643.pub3. PMID 31930780.
- ↑ PERRI, Francesco; DELLA VITTORIA SCARPATI, Giuseppina; BUONERBA, Carlo. Combined chemo-radiotherapy in locally advanced nasopharyngeal carcinomas. World Journal of Clinical Oncology. 2013-05-10, roč. 4, čís. 2, s. 47–51. PMID: 23696962 PMCID: PMC3659263. Dostupné online [cit. 2024-12-19]. ISSN 2218-4333. doi:10.5306/wjco.v4.i2.47. PMID 23696962.
- ↑ HODGKINŮV LYMFOM INFORMACE PRO PACIENTY [online]. [cit. 2024-12-20]. Dostupné online.
- ↑ MODING, Everett J.; KASTAN, Michael B.; KIRSCH, David G. Strategies for optimizing the response of cancer and normal tissues to radiation. Nature Reviews. Drug Discovery. 2013-07, roč. 12, čís. 7, s. 526–542. PMID: 23812271 PMCID: PMC3906736. Dostupné online [cit. 2024-12-19]. ISSN 1474-1784. doi:10.1038/nrd4003. PMID 23812271.
- ↑ VAN DORP, W.; VAN BEEK, R. D.; LAVEN, J. S. E. Long-term endocrine side effects of childhood Hodgkin's lymphoma treatment: a review. Human Reproduction Update. 2012, roč. 18, čís. 1, s. 12–28. PMID: 21896559. Dostupné online [cit. 2024-12-19]. ISSN 1460-2369. doi:10.1093/humupd/dmr038. PMID 21896559.
Literatura
- Šmardová Lenka, Kalvodová Libuše, Vorlíček Jiří, Král Zdeněk: Diagnóza Hodgkinova choroba, Masarykova univerzita, Brno, 2006, ISBN 80-210-3945-0
Související články
Externí odkazy
Obrázky, zvuky či videa k tématu Hodgkinova nemoc na Wikimedia Commons - Seznam děl v Souborném katalogu ČR, jejichž tématem je Hodgkinův lymfom
- Hodgkinova choroba na fnplzen.cz
- Hodgkinova choroba u dětí a dospívajících na linkos.cz
- Hodgkinova choroba u dospělých na linkos.cz
- Hodgkinova nemoc v databázi Who Named It? (anglicky)
_mixed_cellulary_type.jpg)