Hlavní buňka

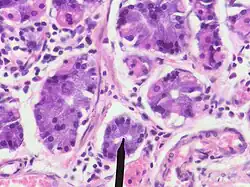
Lidská hlavní buňka v histologickém preparátu

Hlavní buňka (nebo pepsinogenní buňka či adelomorfní buňka) je druh buňky tubulózní žaludeční žlázky (glandula gastricae), která produkuje pepsinogen a žaludeční lipázu. U přežvýkavců buňka zodpovídá za produkci chymosinu.[1] Kvůli vysokému zastoupení drsného endoplasmatického retikula v cytoplasmě se při barvení hematoxylin-eozínem jeví jako bazofilní.

Hlavní buňky se vyskytují v dolní části těl a na dnech žaludečních žlázek. Uvolňují proenzym pepsinogen, který se přetváří v pepsin při cholinergní aktivitě bloudivého nervu a kyselého prostředí žaludku. Sekreci mohou podporovat gastrin a sekretin.[2] Kooperují s parietálními buňkami, které uvolňují kyselinu chlorovodíkovou, odpovědnou za přeměnu pepsinogenu na pepsin.

Reference

V tomto článku byl použit překlad textu z článku Gastric chief cell na anglické Wikipedii.

  1. Kitamura N, Tanimoto A, Hondo E, Andrén A, Cottrell DF, Sasaki M, Yamada J. Immunohistochemical study of the ontogeny of prochymosin--and pepsinogen-producing cells in the abomasum of sheep. Anatomia, Histologia, Embryologia: Journal of Veterinary Medicine Series C. 2001, s. 231–235. doi:10.1046/j.1439-0264.2001.00326.x. PMID 11534329. S2CID 7552821. 
  2. JOHNSON, Leonard R. Gastrointestinal Physiology. [s.l.]: [s.n.], 2001. ISBN 0323012396. 

Externí odkazy