Flaviviridae
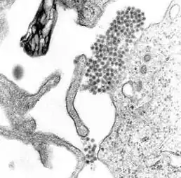
![]() Infekce virem horečky Dengue; patrné jsou viriony | |
| Baltimorova klasifikace virů | |
| Skupina | IV (ssRNA viry s pozitivní polaritou) |
| Vědecká klasifikace | |
| Realm | Riboviria |
| Říše | Orthornavirae |
| Kmen | Kitrinoviricota |
| Třída | Flasuviricetes |
| Řád | Amarillovirales |
| Čeleď | Flaviviridae |
| Rody | |
| |
| Některá data mohou pocházet z datové položky. | |
Čeleď Flaviviridae zahrnuje 4 rody: Flavivirus, Pegivirus, Pestivirus a Hepacivirus, skupinu virů hepatitidy C. Flaviviry jsou v porovnání s togaviry menší, dosahují průměrné velikosti 40-60 nm. Genom tvoří jedna molekula jednovláknové RNA s pozitivní polaritou (+). Viriony obsahují 3 strukturální proteiny – obalový glykoprotein, dřeňový protein a membránový protein. Replikují se v cytoplazmě a lipidový obal získávají pučením do cytoplazmatických vezikulů. Podobně jako togaviry vykazují hemaglutinační aktivitu v závislosti na pH.[1]
Odkazy
Reference
- ↑ Francki, R.I.B. President’s Report 1987-1990, ICTV, Berlin. pp.325
Literatura
- JURAJDA, Vladimír. Nemoci drůbeže a ptactva – virové infekce. 1. vyd. Brno: ES VFU Brno, 2002. 184 s. ISBN 80-7305-436-1.
Související články
Externí odkazy
Obrázky, zvuky či videa k tématu Flaviviridae na Wikimedia Commons
