Dna

Dna
Dna, karikatura Jamese Gillraye z roku 1799
Dna, karikatura Jamese Gillraye z roku 1799
Základní údaje
Klasifikace a externí odkazy
MedlinePlus000422

Dna neboli pakostnice (pokud postihuje palec u nohy, označuje se též jako podagra, někdy také nemoc králů)[1], odborně arthritis urica (v některých pramenech arthritis uratica), je onemocnění obvykle charakterizované opakujícími se záchvaty akutní zánětlivé artritidy, projevující se zarudlým, velmi citlivým a horkým otokem kloubu. Nejčastěji je postižen metatarzofalangeální kloub u kořene palce u nohy (přibližně v 50 % případů). Nemoc se ale může projevit i jako tofus, ledvinové kameny nebo urátová nefropatie. Způsobena je zvýšenou hladinou kyseliny močové v krvi. Kyselina močová krystalizuje a vzniklé krystalky se ukládají v kloubech, šlachách a okolních tkáních.

Potvrzením klinické diagnózy je přítomnost charakteristických krystalů v kloubní tekutině. Symptomy se obvykle zlepší po nasazení nesteroidních protizánětlivých léků (NSAID), steroidů nebo kolchicinu. Jakmile akutní záchvat odezní, hladinu kyseliny močové lze obvykle udržovat na nízké hodnotě prostřednictvím změn životního stylu; u osob s častými záchvaty přispívá podávání allopurinolu či probenecidu k dlouhodobé prevenci.

V lékařství se určitá forma dny označuje podle místa uložení krystalických hmot kyseliny močové nebo podle místa vzniku záchvatů: noha – podagra, koleno – gonagra, ruka – chiragra, rameno – omagra.

Výskyt dny během 20. století postupně vzrůstá – v určitém okamžiku života postihuje tato nemoc kolem 1–2 % obyvatel západního světa, avšak ve vyspělých zemích je jeho incidence stabilní.[2] Má se za to, že k tomuto nárůstu dochází rozvojem rizikových faktorů u populace, k nimž patří metabolický syndrom, prodloužení očekávané délky života a změny ve způsobu stravování. Dna byla v historii známa jako „nemoc králů“ či „nemoc bohatých“.

Podrobnější informace naleznete v článku Laudes podagrae.

Příznaky a symptomy

side view of a foot showing a red patch of skin over the joint at the base of the big toe
Dna projevující se v metatarzofalangeálním kloubu palce u nohy. Je zde mírné zarudnutí pokožky kloubu.

Dna se projevuje nejrůznějšími způsoby, z nichž nejobvyklejší jsou opakující se záchvaty akutní zánětlivé artritidy (zarudlý, citlivý, horký a oteklý kloub).[3] Nejčastěji je postižen metatarzofalangeální kloub u kořene palce u nohy, a to v polovině všech případů dny.[4] Zasaženy mohou být ovšem i jiné klouby, jako paty, kolena, zápěstí a klouby prstů na rukou.[4] Bolesti kloubů obvykle začínají v rozmezí 2–4 hodin, a to v noci.[4] Příčinou je snížená tělesná teplota po ulehnutí ke spánku.[1] Bolest kloubů mohou občas doprovázet i jiné symptomy, například vyčerpanost a horečka.[1][4]

Dlouhodobě zvýšená hladina kyseliny močové (hyperurikemie) může vést k dalším symptomům, včetně tvrdých, nebolestivých ložisek krystalů kyseliny močové, označovaných jako tofy. Rozsáhlý výskyt tofů může pak vést k chronické artritidě v důsledku eroze kostí.[5] Zvýšená hladina kyseliny močové může rovněž způsobit ukládání jejích krystalů v ledvinách, což vede k tvorbě kamenů a následné urátové nefropatii.[6]

Příčina

Základní příčinou dny je hyperurikémie. Ta může být vyvolána celou řadou faktorů, včetně skladby jídelníčku, genetických dispozic nebo snížené sekrece urátů, solí kyseliny močové.[3] Snížené vylučování kyseliny močové ledvinami je primární příčinou hyperurikémie v přibližně 90 % případů, zatímco nadměrná produkce stojí za pouhými 10 % případů.[7] V jistém období života se dna projeví u asi 10 % osob trpících hyperurikémií.[8] Riziko rozvinutí dny se však liší v závislosti na stupni hyperurikémie. Pokud se hodnoty hladiny kyseliny močové pohybují mezi 415 a 530 μmol/l (7 a 8,9 mg/dl), riziko je 0,5 % ročně; u osob s hodnotou vyšší než 535 μmol/l (9 mg/dl) je riziko 4,5 % ročně.[1]

Životní styl

Složení jídelníčku je příčinou asi 12 % případů dny[3] a souvisí se zvýšenou konzumací alkoholu, fruktózy ze slazených nápojů, masa a mořských plodů.[5][9] K dalším spouštěcím faktorům patří poranění a prodělaný chirurgický zákrok.[7] Studie ze začátku 21. století prokázaly, že jisté složky jídelníčku, kdysi považované za faktory se dnou související, ji ve skutečnosti neovlivňují – a to včetně konzumace na purin bohaté zeleniny (například fazolí, hrachu, čočky a špenátu) a celkového množství bílkovin přijatých ve stravě.[10][11] Konzumace kávy, vitamínu C a mléčných výrobků, stejně jako tělesná zdatnost, se zdají riziko nemoci snižovat.[12][13][14] To je podle všeho částečně způsobeno jejich vlivem na snižování inzulinové rezistence.[14]

Genetika

Výskyt dny je do jisté míry genetickou záležitostí – genetické faktory přispívají k přibližně 60 % variability hladiny kyseliny močové.[7] S výskytem dny jsou často spojovány tři geny, nazývané SLC2A9, SLC22A12 a ABCG2; variace v jejich skladbě mohou riziko onemocnění přibližně zdvojnásobit.[15][16] Mutace vedoucí ke ztrátě funkce u genů SLC2A9 a SLC22A12 způsobují dědičnou hypourikémii tím, že snižují absorpci urátů a zapříčiňují jejich neomezenou tvorbu.[16] Dna je také komplikací několika vzácných genetických poruch, k nimž patří familiární juvenilní hyperurikemická nefropatie, medulární cystická nemoc ledvin, nadměrná aktivita fosforibosyl-pyrofosfát syntetázy a nedostatek hypoxantin-guanin fosforibosyltransferázy, jenž provází Lesch-Nyhanův syndrom.[7]

Další onemocnění

Dna se často objevuje v kombinaci s jinými onemocněními. V téměř 75 % případů doprovází metabolický syndrom, což je kombinace abdominální obezity, vysokého krevního tlaku, inzulinové rezistence a abnormální hladiny lipidů.[4] K dalším onemocněním běžně komplikovaným dnou patří polycytémie, otrava olovem, selhání ledvin, hemolytická anémie, lupénka a transplantace solidních orgánů.[7][17] Index tělesné hmotnosti vyšší nebo roven 35 zvyšuje u mužů riziko dny trojnásobně.[11] Dlouhodobé vystavení působení olova a alkoholu obsahujícího olovo jsou rizikovými faktory kvůli škodlivému účinku tohoto prvku na funkci ledvin.[18] Lesch-Nyhanův syndrom často souvisí s dnavou artritidou.

Léky

Se záchvaty dny bývají často dávána do souvislosti diuretika. Nízké dávky hydrochlorothiazidu však podle všeho riziko nezvyšují.[19] Další léky, které mohou mít na dnu vliv, zahrnují niacin a aspirin (kyselina acetylsalicylová).[5] Imunosupresivní léky cyklosporin a takrolimus mohou rovněž dnu vyvolat;[7] cyklosporin pak zejména v kombinaci s hydrochlorothiazidem.[20]

Patofyziologie

structure of organic compound: 7,9-dihydro-1H-purine-2,6,8(3H)-trione
Kyselina močová

Dna je poruchou metabolismu purinů[7] a dochází k ní, když jeho výsledný produkt, kyselina močová, krystalizuje ve formě monosodium urátu a ukládá se v kloubech, na šlachách a v okolních tkáních.[5] Krystaly monosodium urátu pak vyvolávají místní imunitně zprostředkovanou zánětlivou reakci;[5] jedním z klíčových proteinů zánětlivé kaskády je pak interleukin 1β.[7] Absence urikázy, k níž došlo v důsledku evoluce u člověka a vyšších primátů a která má za úkol rozkládat kyselinu močovou, způsobila, že toto onemocnění je poměrně běžné.[7]

Spouštěcí faktory pro ukládání kyseliny močové nebyly doposud zcela objasněny. Krystalizovat může tato látka i při běžné hladině v organismu, mnohem pravděpodobnější je ale tento jev při hladině zvýšené.[5][21] Další faktory, které jsou podle všeho při spuštění epizody akutní artritidy důležité, zahrnují nízkou teplotu, náhlé změny hladiny kyseliny močové, acidózu,[22][23] výpotek v kloubech a výskyt proteinů mezibuněčné hmoty, například proteoglykanů, kolagenu a chondroitin sulfátu.[7] Zvýšené ukládání při nízkých teplotách částečně vysvětluje, proč jsou nejčastěji ovlivněny klouby chodidel.[3] Náhlé změny hladiny kyseliny močové mohou být způsobeny řadou faktorů, včetně poranění, chirurgického zákroku, chemoterapie, diuretik a zahájení nebo ukončení užívání allopurinolu.[1] Ve srovnání s jinými přípravky na léčbu vysokého krevního tlaku znamenají blokátory vápníkových kanálů a losartan nižší riziko dny.[24]

Diagnóza

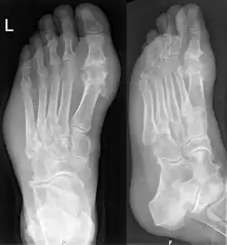
Dna na rentgenovém snímku levého chodidla: Typickým místem výskytu je kloub palce u nohy. Zasaženy jsou také měkké tkáně na podélné straně chodidla.
numerous multi-colored needle-shaped crystals against a purple background
Krystaly kyseliny močové ve tvaru jehlám podobných tyčinek ze vzorku synoviální tekutiny, fotografované pod mikroskopem využívajícím polarizovaného světla. Tvorba krystalů kyseliny močové v kloubech má vliv na výskyt dny.

Dnu lze diagnostikovat a léčit bez dalších vyšetření u osob trpících hyperurikémií a klasickou podagrou. Pokud však jsou o diagnóze pochybnosti, měla by být provedena analýza synoviální tekutiny.[1] Rentgenové snímkování je pro stanovení diagnózy chronické dny velmi užitečné, u akutních záchvatů je však lze využít jen minimálně.[7]

Synoviální tekutina

Konečná diagnóza dny je založena na identifikaci krystalů monosodium urátu v synoviální tekutině (tekutině obklopující klouby) či na výskytu tofu.[4] Veškeré vzorky synoviální tekutiny získané z nediagnostikovaných zanícených kloubů by měly být analýze na tyto krystaly podrobeny.[7] Při zkoumání mikroskopem využívajícím polarizovaného světla mají tyto krystaly strukturu podobnou jehlám a silný negativní dvojlom. Provedení uvedeného testu je složité a často vyžaduje zkušeného odborníka.[25] Navíc musí být tekutina zkoumána relativně rychle po odběru, neboť teplota a pH ovlivňují její rozpustnost.[7]

Krevní testy

Hyperurikémie je klasickým znakem dny; v téměř polovině případů dny se však neobjevuje a u většiny osob se zvýšenou hladinou kyseliny močové se dna nikdy nerozvine.[4][26] Diagnostická hodnota měření hladiny kyseliny močové je tedy v tomto případě omezená.[4] Hyperurikémie je definována jako hladina urátů v plazmě vyšší než 420 μmol/l (7,0 mg/dl) u mužů a 360 μmol/l (6,0 mg/dl) u žen.[27] K dalším často prováděným krevním testům patří zjišťování počtu bílých krvinek, hladiny elektrolytů v krvi, funkce ledvin a sedimentace červených krvinek (ESR). Ke zvýšení počtu bílých krvinek a ESR ale může u dny dojít, aniž by byl organismus napaden infekcí.[28][29] Byl dokonce zaznamenán počet bílých krvinek o hodnotě 40,0×109/l (40 000/mm3).[1]

Diferenciální diagnostika

Nejdůležitějším prvkem diferenciální diagnostiky u dny je vyloučení septické artritidy.[4][7] Tu je třeba uvážit u osob se znaky infekce nebo u těch, jejichž stav se ani po léčbě nelepší.[4] K přesnému stanovení diagnózy je možno provést Gramovo barvení synoviální tekutiny a bakteriologický rozbor.[4] K dalším onemocněním s podobnými příznaky jako dna patří pseudodna a revmatoidní artritida.[4] Dnavý tofus, zejména pokud se nevyskytuje v místě kloubu, může být mylně pokládán za karcinom bazálních buněk [30] nebo jiný druh nádoru.[31]

Prevence

Ke snížení hladiny kyseliny močové přispívají jak změny životního stylu, tak léky. Účinné změny životního stylu a jídelníčku zahrnují sníženou konzumaci masa a mořských plodů, adekvátní příjem vitamínu C, omezení konzumace alkoholu a fruktózy a předcházení obezitě.[3] U obézních mužů snížila nízkokalorická dieta hladinu kyseliny močové o 100 µmol/l (1,7 mg/dl).[19] Konzumace vitamínu C v množství 1500 mg za den snižuje riziko dny o 45 %.[32] Riziko dny snižuje také pití černé kávy, nikoli však čaje.[33] Dna se může rozvinout i v důsledku spánkové apnoe, kdy dochází k uvolňování purinů z buněk nedostatečně zásobených kyslíkem. Léčba spánkové apnoe pak snižuje výskyt záchvatů dny.[34]

Léčba

Prvotním cílem léčby je ustálit symptomy akutního záchvatu dny.[35] Opakovaným záchvatům lze předcházet různými léky používanými ke snížení hladiny kyseliny močové v krevním séru.[35] Bolest snižují ledové obklady aplikované po dobu 20 až 30 minut několikrát denně.[3][36] Léčbu akutních případů lze provádět pomocí nesteroidních protizánětlivých léků (NSAID), kolchicinu a steroidů,[3] prevencí je podávání allopurinolu, febuxostatu a probenecidu. Snížení hladiny kyseliny močové může vést k vyléčení nemoci.[7] Důležitá je také léčba souběžných onemocnění.[7]

Léky NSAID

Léky NSAID jsou obvyklým prvotním způsobem léčby dny; žádný z nich není výrazně méně či více efektivní než ostatní.[3] Zlepšení bývá patrné po čtyřech hodinách, přičemž léčba pokračuje po dobu jednoho až dvou týdnů.[3][7] Tato skupina léků se však nedoporučuje u osob s jistými zdravotními problémy, jako je například gastrointestinální krvácení, selhání ledvin nebo selhání srdce.[37] Indomethacin je v případech dny historicky nejvyužívanějším lékem NSAID; některým nemocným však lze přednostně podávat alternativní léky, jako je ibuprofen, které sice nejsou tak efektivní, nezpůsobují však tolik nežádoucích účinků.[19] Osobám, které jsou po užití léků NSAID vystaveny nežádoucím gastrointestinálním účinkům, lze předepsat dodatečný inhibitor protonové pumpy.[38]

Kolchicin

Kolchicin je alternativním přípravkem pro ty, kdo léky NSAID nesnášejí.[3] Jeho nežádoucí účinky (zejména gastrointestinální obtíže) omezují jeho širší využití.[39] Zažívací potíže však závisí na podané dávce a riziko lze tedy snížit podáním nižších, přitom však stále efektivních dávek.[19] Kolchicin může ovlivňovat působení jiných běžně předepisovaných léků, jako je například atorvastatin a erytromycin.[39]

Steroidy

Glukokortikoidy se zdají být stejně účinné jako léky NSAID[40] a lze je použít v případě kontraindikace na NSAID.[3] Vedou rovněž ke zlepšení stavu po injekci do kloubu; předtím je však nutno vyloučit zánět kloubu, neboť steroidy toto onemocnění zhoršují.[3]

Peglotikáza

Přípravek peglotikáza (krystexxa) byl pro léčbu dny schválen v USA v roce 2010.[41] Nabízí možnost léčby 3 % osob, které jiné léky netolerují.[41] Peglotikáza se podává jako nitrožilní infúze každé dva týdny[41] a podle dosavadních údajů snižuje hladinu kyseliny močové u výše uvedené populace.[42]

Profylaxe

Pro prevenci dalších záchvatů dny se využívá řada jiných léků, mimo jiné také inhibitory xantinoxidázy (jako jsou allopurinol a febuxostat) a urikosurika (včetně probenecidu a sulfinpyrazonu). Obvykle jsou nasazeny jeden až dva týdny po odeznění akutního záchvatu (existují totiž teoretické obavy ze zhoršení stavu)[3] a často jsou kombinovány buď s léky NSAID nebo kolchicinem, a to po dobu prvních tří až šesti měsíců.[7] Jejich podávání se nedoporučuje, pokud nemocný neprodělal dva záchvaty dny,[3] pokud nedošlo k poškození kloubu a neobjeví se tofy nebo urátová nefropatie,[6] neboť do tohoto okamžiku se léky zdají být cenově neefektivní.[3] Opatření ke snížení hladiny urátů by měla být posílena až do doby, kdy hladina kyseliny močové v krevním séru klesne pod 300–360 µmol/l (5,0–6,0 mg/dl), a mělo by se v nich pokračovat po neomezenou dobu.[3][7] Pokud jsou tyto léčivé přípravky v době záchvatu podávány dlouhodobě, doporučuje se jejich užívání ukončit.[4] Jestliže se hladinu kyseliny močové nedaří dostat pod hodnotu 6,0 mg/dl a záchvaty stále pokračují, jde o selhání léčby a dna je pak označena jako refrakterní (nereagující na léčbu).[43] Celkově se probenecid zdá méně účinný než allopurinol.[3]

Urikosurika se typicky předepisují v případech snížené sekrece kyseliny močové, zjištěné na základě výsledků 24hodinového sběru moči při hladině kyseliny močové nižší než 800 mg.[44] Urikosurika se ale nedoporučují u osob s anamnézou ledvinových kamenů.[44] V případech, kdy množství vyloučené moči během 24 hodin přesáhne 800 mg, což svědčí o její nadměrné tvorbě, preferuje se podání inhibitoru xantinoxidázy.[44]

Inhibitory xantinoxidázy (včetně allopurinolu a febuxostatu) blokují produkci kyseliny močové; dlouhodobá léčba pomocí těchto přípravků je bezpečná a dobře snášena a lze ji použít i u osob s ledvinovými potížemi nebo močovými kameny (i když allopurinol může u malého počtu jedinců způsobit přecitlivělost).[3] V takových případech se doporučuje alternativní léčivý přípravek febuxostat.[45]

Prognóza

Neléčený akutní záchvat dny obvykle odezní během pěti až sedmi dnů. U 60 % lidí ale do jednoho roku dochází k dalšímu záchvatu.[1] U osob trpících dnou existuje zvýšené riziko vysokého krevního tlaku, cukrovky, metabolického syndromu, onemocnění ledvin a kardiovaskulárních chorob, a tedy i vyšší riziko úmrtí.[7][46] To může částečně souviset s inzulinovou rezistencí a obezitou, avšak některé faktory zvýšeného rizika působí zřejmě nezávisle na nich.[46]

Bez léčby se může akutní dna rozvinout v chronickou dnu vedoucí k poškození kloubního povrchu, deformaci kloubů a vzniku nebolestivých tofů.[7] Tofy se vyskytují u 30 % osob po pěti letech neléčené nemoci. Tvoří se často na helixu (zevním přehnutém okraji ušního boltce), nad výběžkem kosti loketní nebo na Achillových šlachách.[7] Agresivní léčbou se mohou vstřebat. Častou komplikací dny bývají ledvinové kameny. Tato komplikace postihuje 10 až 40 % osob a dochází k ní kvůli nízké hodnotě pH moči, která podporuje srážení kyseliny močové.[7] Vyskytovat se mohou i jiné formy chronické poruchy funkce ledvin.[7]

Epidemiologie

V jistém momentu života postihuje dna přibližně 1 až 2 % západní populace a četnost tohoto onemocnění stále stoupá.[3][7] V letech 1990 až 2010 se jeho výskyt přibližně zdvojnásobil.[5] Vědci se domnívají, že příčinou zvýšeného výskytu dny je prodloužení očekávané délky života, změna stravovacích návyků a také vyšší výskyt onemocnění souvisejících se dnou, například metabolického syndromu nebo vysokého krevního tlaku.[11] Bylo zjištěno, že na četnost výskytu dny má vliv několik faktorů, například věk, rasa nebo roční období. Toto onemocnění postihuje 2 % mužů starších 30 let a žen starších 50 let.[37]

Ve Spojených státech je u mužů afroamerického původu dvakrát vyšší pravděpodobnost, že dnou onemocní, než u mužů rasy europoidní.[47] Výskyt tohoto onemocnění je vysoký mezi národy pacifických ostrovů a u Maorů na Novém Zélandu, naopak u australských domorodců (Aboridžinců) se navzdory vysoké průměrné koncentraci kyseliny močové v séru vyskytuje vzácně.[48] Běžným se toto onemocnění stalo v Číně, Polynésii a v městských oblastech subsaharské Afriky.[7] Některé studie zjistily, že k záchvatům dny dochází častěji na jaře. Je to spojováno se sezónními změnami stravy, konzumací alkoholu, fyzickou aktivitou a teplotou.[49]

Historie

Antonie van Leeuwenhoek popsal v roce 1679 vzhled krystalů kyseliny močové pod mikroskopem.[50]

Anglický výraz pro dnu („gout“) použil jako první mnich Randolf z Bockingu někdy kolem roku 1200 po Kr. Odvodil ho z latinského slova „gutta“, které znamená kapku (tekutiny).[50] Podle slovníku Oxford English Dictionary tento výraz vychází z humorální teorie a z „představy chorobné látky odkapávající z krve na klouby a jejich okolí“.[51]

Dna byla ale známa už ve starověku. V minulosti se jí říkalo „král všech nemocí a nemoc králů“[7][52] nebo „nemoc bohatých“.[53] První zmínka o dně pochází z Egypta z doby 2600 let př. Kr., a to z popisu artritidy palce na noze. Řecký lékař Hippokratés se o tomto onemocnění zmínil kolem roku 400 př. Kr. ve svých Aforismech a povšiml si, že se nevyskytuje u eunuchů ani u žen před menopauzou.[50][54] Aulus Cornelius Celsus (30 po Kr.) zase popsal souvislost s alkoholem, pozdější výskyt onemocnění u žen a související ledvinové problémy:

Také hustá moč, z níž se tvoří bílý sediment, naznačuje, že se lze obávat bolesti a choroby v oblasti kloubů nebo vnitřních orgánů... Potíže s klouby na rukou a nohou jsou velmi časté a úporné, jako tomu je například v případě podagry a cheiragry. Ty jen vzácně postihují eunuchy a chlapce před prvním pohlavním stykem se ženou nebo ženy s výjimkou těch, u nichž byl potlačen menses... někdo získá celoživotní odolnost tím, že se zdrží pití vína a medoviny a vyvaruje se vyhledávání sexuálních rozkoší.[55]

V roce 1683 popsal anglický lékař Thomas Sydenham výskyt onemocnění v časných ranních hodinách s tím, že si nejčastěji vybírá starší muže:

Pacienti se dnou bývají obvykle starší muži nebo muži, kteří se v mládí natolik vyčerpali, až předčasně zestárli — ze všech neřestí přitom tou nejčastější bývá předčasné a nadměrné holdování sexuálním rozkoším a podobným vyčerpávajícím vášním. Oběť jde spát a když usíná, těší se dobrému zdraví. Kolem druhé hodiny ranní ji vzbudí krutá bolest v palci na noze, vzácněji v patě, kotníku nebo nártu. Bolí to jako při vykloubení, ale postižený má pocit, jako kdyby mu bolavá místa polévali studenou vodou. Poté přichází zimnice, třesavka a nízká horečka... Noc probíhá v mukách, beze spánku, nemocný obrací postiženou částí a neustále mění polohu. Převalování na lůžku neustává a stejně tak neustává ani bolest mučeného kloubu, která se s tím, jak záchvat postupuje, ještě zhoršuje.[56]

Holandský vědec Anthony van Leeuwenhoek popsal v roce 1679 jako první vzhled krystalků soli kyseliny močové pod mikroskopem.[50] V roce 1848 si anglický lékař Alfred Baring Garrod uvědomil, že příčinou dny je právě nadměrné množství kyseliny močové v krvi.[57]

Jiní živočichové

U většiny ostatních živočichů se dna vyskytuje vzácně díky jejich schopnosti produkovat enzym urikázu, který štěpí kyselinu močovou.[58] Člověk ani lidoopi ale tuto schopnost nemají, a proto je u nich dna běžným onemocněním.[1][58] Vědci se nicméně domnívají, že dnou trpěl i jedinec druhu Tyrannosaurus rex známý jako Sue.[59] Tento obří dravý dinosaurus měl dnou zasažené záprstní kůstky na pravé přední končetině.[60]

Dna na koleni

Výzkum

V současné době se zkoumá několik nových léků k léčbě dny, například anakinra, kanakinumab nebo rilonacept.[61] K dispozici je také rekombinantní urikáza (rasburikáza), avšak možnosti podávání tohoto enzymu jsou omezené, protože vyvolává autoimunitní odpověď organismu. Proto se pracuje na vývoji verze s méně antigenními účinky.[1]

Odkazy

Reference

  1. a b c d e f g h i j Eggebeen AT. Gout: an update. Am Fam Physician. 2007, s. 801–8. PMID 17910294. 
  2. DALBETH, Nicola; GOSLING, Anna L; GAFFO, Angelo. Gout. The Lancet. 2021-05, roč. 397, čís. 10287, s. 1843–1855. Dostupné online [cit. 2023-05-09]. ISSN 0140-6736. doi:10.1016/s0140-6736(21)00569-9. 
  3. a b c d e f g h i j k l m n o p q r s Chen LX, Schumacher HR. Gout: an evidence-based review. J Clin Rheumatol. 2008, s. S55–62. doi:10.1097/RHU.0b013e3181896921. PMID 18830092. 
  4. a b c d e f g h i j k l m Schlesinger N. Diagnosing and treating gout: a review to aid primary care physicians. Postgrad Med. 2010, s. 157–61. doi:10.3810/pgm.2010.03.2133. PMID 20203467. 
  5. a b c d e f g Terkeltaub R. Update on gout: new therapeutic strategies and options. Nat Rev Rheumatol. 2010, s. 30–8. doi:10.1038/nrrheum.2009.236. PMID 20046204. 
  6. a b Tausche AK, Jansen TL, Schröder HE, Bornstein SR, Aringer M, Müller-Ladner U. Gout—current diagnosis and treatment. Dtsch Arztebl Int. 2009, s. 549–55. doi:10.3238/arztebl.2009.0549. PMID 19795010. 
  7. a b c d e f g h i j k l m n o p q r s t u v w x y z aa Richette P, Bardin T. Gout. Lancet. 2010, s. 318–28. doi:10.1016/S0140-6736(09)60883-7. PMID 19692116. 
  8. Vitart V, Rudan I, Hayward C, et al.. SLC2A9 is a newly identified urate transporter influencing serum urate concentration, urate excretion and gout. Nat. Genet.. 2008, s. 437–42. doi:10.1038/ng.106. PMID 18327257. 
  9. WEAVER, AL. Epidemiology of gout. Cleveland Clinic journal of medicine. 2008 Jul, s. S9–12. PMID 18819329. 
  10. Choi HK, Atkinson K, Karlson EW, Willett W, Curhan G. Purine-rich foods, dairy and protein intake, and the risk of gout in men. N. Engl. J. Med.. 2004, s. 1093–103. doi:10.1056/NEJMoa035700. PMID 15014182. 
  11. a b c Weaver AL. Epidemiology of gout. Cleve Clin J Med. 2008, s. S9–12. PMID 18819329. 
  12. Hak AE, Choi HK. Lifestyle and gout. Curr Opin Rheumatol. 2008, s. 179–86. doi:10.1097/BOR.0b013e3282f524a2. PMID 18349748. 
  13. Williams PT. Effects of diet, physical activity and performance, and body weight on incident gout in ostensibly healthy, vigorously active men. Am. J. Clin. Nutr.. 2008, s. 1480–7. PMID 18469274. 
  14. a b Choi HK. A prescription for lifestyle change in patients with hyperuricemia and gout. Curr Opin Rheumatol. 2010, s. 165–72. doi:10.1097/BOR.0b013e328335ef38. PMID 20035225. 
  15. MERRIMAN, TR, Dalbeth, N. The genetic basis of hyperuricaemia and gout.. Joint, bone, spine : revue du rhumatisme. 2011 Jan, s. 35–40. doi:10.1016/j.jbspin.2010.02.027. PMID 20472486. 
  16. a b Reginato AM, Mount DB, Yang I, Choi HK. The genetics of hyperuricaemia and gout. Nat Rev Rheumatol. 2012. doi:10.1038/nrrheum.2012.144. PMID 22945592. 
  17. Stamp L, Searle M, O'Donnell J, Chapman P. Gout in solid organ transplantation: a challenging clinical problem. Drugs. 2005, s. 2593–611. PMID 16392875. 
  18. Loghman-Adham M. Renal effects of environmental and occupational lead exposure. Environ. Health Perspect.. Brogan & Partners, 1997, s. 928–38. doi:10.2307/3433873. PMID 9300927. JSTOR 3433873. 
  19. a b c d Laubscher T, Dumont Z, Regier L, Jensen B. Taking the stress out of managing gout. Can Fam Physician. 2009, s. 1209–12. PMID 20008601. 
  20. KELLEY'S Textbook of Rheumatology. Redakce Firestein, MD Gary S.. 8th. vyd. [s.l.]: Elsevier, 2008. ISBN 978-1-4160-4842-8. Kapitola Chapter 87: Gout and Hyperuricemia. 
  21. Virsaladze DK, Tetradze LO, Dzhavashvili LV, Esaliia NG, Tananashvili DE. [Levels of uric acid in serum in patients with metabolic syndrome]. Georgian Med News. 2007, s. 35–7. PMID 17595458. (Russian) 
  22. Moyer RA, John DS. Acute gout precipitated by total parenteral nutrition. The Journal of rheumatology. 2003, s. 849–50. PMID 12672211. 
  23. Halabe A, Sperling O. Uric acid nephrolithiasis. Mineral and electrolyte metabolism. 1994, s. 424–31. PMID 7783706. 
  24. Choi HK, Soriano LC, Zhang Y, Rodríguez LA. Antihypertensive drugs and risk of incident gout among patients with hypertension: population based case-control study.. BMJ. 2012, s. d8190. doi:10.1136/bmj.d8190. PMID 22240117. 
  25. Schlesinger N. Diagnosis of gout. Minerva Med.. 2007, s. 759–67. PMID 18299687. 
  26. Sturrock R. Gout. Easy to misdiagnose. BMJ. 2000, s. 132–33. Dostupné online. doi:10.1136/bmj.320.7228.132. PMID 10634714. 
  27. Sachs L, Batra KL, Zimmermann B. Medical implications of hyperuricemia. Med Health R I. 2009, s. 353–55. PMID 19999892. 
  28. Gout: Differential Diagnoses & Workup - eMedicine Rheumatology [online]. Dostupné online. 
  29. Gout and Pseudogout: Differential Diagnoses & Workup - eMedicine Emergency Medicine [online]. Dostupné online. 
  30. Jordan DR, Belliveau MJ, Brownstein S, McEachren T, Kyrollos M. Medial canthal tophus. Ophthal Plast Reconstr Surg. 2008, s. 403–4. doi:10.1097/IOP.0b013e3181837a31. PMID 18806664. 
  31. Sano K, Kohakura Y, Kimura K, Ozeki S. Atypical Triggering at the Wrist due to Intratendinous Infiltration of Tophaceous Gout. Hand (N Y). 2009, s. 78–80. doi:10.1007/s11552-008-9120-4. PMID 18780009. 
  32. Choi HK, Gao X, Curhan G. Vitamin C intake and the risk of gout in men: a prospective study. Arch. Intern. Med.. 2009, s. 502–7. doi:10.1001/archinternmed.2008.606. PMID 19273781. 
  33. Choi HK, Curhan G. Coffee, tea, and caffeine consumption and serum uric acid level: the third national health and nutrition examination survey. Arthritis Rheum.. 2007, s. 816–21. doi:10.1002/art.22762. PMID 17530681. 
  34. Abrams B. Gout is an indicator of sleep apnea. Sleep. 2005, s. 275. PMID 16171252. 
  35. a b Zhang W, Doherty M, Bardin T, et al.. EULAR evidence based recommendations for gout. Part II: Management. Report of a task force of the EULAR Standing Committee for International Clinical Studies Including Therapeutics (ESCISIT). Ann. Rheum. Dis.. 2006, s. 1312–24. doi:10.1136/ard.2006.055269. PMID 16707532. 
  36. Schlesinger N et al.. Local ice therapy during bouts of acute gouty arthritis. J. Rheumatol.. 2002, s. 331–4. doi:10.1093/rheumatology/29.5.331. PMID 11838852. 
  37. a b Winzenberg T, Buchbinder R. Cochrane Musculoskeletal Group review: acute gout. Steroids or NSAIDs? Let this overview from the Cochrane Group help you decide what's best for your patient. J Fam Pract. 2009, s. E1–4. PMID 19607767. 
  38. Clinical Knowledge Summaries. Gout - Management—What treatment is recommended in acute gout? [online]. National Library for Health [cit. 2008-10-26]. Dostupné v archivu pořízeném dne 2008-12-16. 
  39. a b Information for Healthcare Professionals: New Safety Information for Colchicine (marketed as Colcrys) [online]. U.S. Food and Drug Administration. Dostupné online. 
  40. Man CY, Cheung IT, Cameron PA, Rainer TH. Comparison of oral prednisolone/paracetamol and oral indomethacin/paracetamol combination therapy in the treatment of acute goutlike arthritis: a double-blind, randomized, controlled trial. Annals of Emergency Medicine. 2007, s. 670–7. doi:10.1016/j.annemergmed.2006.11.014. PMID 17276548. 
  41. a b c FDA approves new drug for gout [online]. Dostupné online. 
  42. SUNDY, JS, Baraf, HS, Yood, RA, Edwards, NL, Gutierrez-Urena, SR, Treadwell, EL, Vázquez-Mellado, J, White, WB, Lipsky, PE, Horowitz, Z, Huang, W, Maroli, AN, Waltrip RW, 2nd, Hamburger, SA, Becker, MA. Efficacy and tolerability of pegloticase for the treatment of chronic gout in patients refractory to conventional treatment: two randomized controlled trials.. JAMA: the Journal of the American Medical Association. 2011 Aug 17, s. 711–20. doi:10.1001/jama.2011.1169. PMID 21846852. 
  43. ALI, S, Lally, EV. Treatment failure gout.. Medicine and health, Rhode Island. 2009 Nov, s. 369–71. PMID 19999896. 
  44. a b c Elizabeth D Agabegi; Agabegi, Steven S. Step-Up to Medicine (Step-Up Series). Hagerstwon, MD: Lippincott Williams & Wilkins, 2008. Dostupné online. ISBN 0-7817-7153-6. S. 251. 
  45. Febuxostat for the management of hyperuricaemia in people with gout (TA164) Chapter 4. Consideration of the evidence [online]. Guidance.nice.org.uk [cit. 2011-08-20]. Dostupné online. 
  46. a b Kim SY, De Vera MA, Choi HK. Gout and mortality. Clin. Exp. Rheumatol.. 2008, s. S115–9. PMID 19026153. 
  47. Rheumatology Therapeutics Medical Center. What Are the Risk Factors for Gout? [online]. [cit. 2007-01-26]. Dostupné v archivu pořízeném dne 2007-03-25. 
  48. Roberts-Thomson RA, Roberts-Thomson PJ. Rheumatic disease and the Australian aborigine. Ann. Rheum. Dis.. 1999, s. 266–70. Dostupné online. doi:10.1136/ard.58.5.266. PMID 10225809. 
  49. Fam AG. What is new about crystals other than monosodium urate?. Curr Opin Rheumatol. 2000, s. 228–34. doi:10.1097/00002281-200005000-00013. PMID 10803754. 
  50. a b c d PILLINGER, MH, Rosenthal P, Abeles AM. Hyperuricemia and gout: new insights into pathogenesis and treatment. Bulletin of the NYU Hospital for Joint Diseases. 2007, s. 215–221. Dostupné online [cit. 10-01-2014]. PMID 17922673.  Archivovaná kopie. www.nyuhjdbulletin.org [online]. [cit. 2014-01-10]. Dostupné v archivu pořízeném z originálu. 
  51. gout, n.1. [online]. [cit. 2011-09-18]. Dostupné online. 
  52. Kubitz possibly has gout. The Disease Of Kings - Forbes.com [online]. Dostupné online. 
  53. Rich Man's Disease - definition of Rich Man's Disease in the Medical dictionary - by the Free Online Medical Dictionary, Thesaurus and Encyclopedia [online]. Dostupné online. 
  54. The Internet Classics Archive Aphorisms by Hippocrates [online]. [cit. 2010-07-27]. Dostupné online. 
  55. LacusCurtius • Celsus — On Medicine — Book IV [online]. Dostupné online. 
  56. BBC - h2g2 - Gout - The Affliction of Kings [online]. [cit. 2010-07-27]. Dostupné online. 
  57. Storey GD. Alfred Baring Garrod (1819-1907). Rheumatology (Oxford, England). 2001, s. 1189–90. Dostupné online. doi:10.1093/rheumatology/40.10.1189. PMID 11600751. 
  58. a b Agudelo CA, Wise CM. Gout: diagnosis, pathogenesis, and clinical manifestations. Curr Opin Rheumatol. 2001, s. 234–9. doi:10.1097/00002281-200105000-00015. PMID 11333355. 
  59. ROTHSCHILD, BM, Tanke D, Carpenter K. Tyrannosaurs suffered from gout. Nature. 1997, s. 357. Dostupné online. doi:10.1038/387357a0. PMID 9163417. 
  60. SOCHA, Vladimír. Tyranosaury trápila pakostnice. OSEL.cz [online]. 25. srpna 2022. Dostupné online.  (česky)
  61. New therapeutic options for gout here and on the horizon - The Journal of Musculoskeletal Medicine [online]. [cit. 2014-01-10]. Dostupné v archivu pořízeném dne 20-05-2010. 

Literatura

  • Lubomír Kužela, Věra Stejskalová: Dna - nemoc králů: je nutná bezpurinová dieta? Praha: Forsapi, 2007, 70 s. ISBN 978-80-903820-5-3
  • Lubomír Kužela, Tamara Starnovská a kol.: Diety při onemocnění dnou: recepty, rady lékaře: nové recepty. Praha: MAC, 2007, 31 s. ISBN 978-80-86783-21-5
  • Karel Pavelka, Tamara Starnovská: Diety při onemocnění dnou: recepty, rady lékaře. Praha: Sdružení MAC, 2003, 29 s. ISBN 80-86015-92-0

Související články

Externí odkazy