Diabetická nefropatie
| Diabetická nefropatie | |
|---|---|
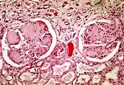
![]() diabetická glomeruloskleróza | |
| Klasifikace | |
| MKN-10 | E10.2, E11.2, E12.2, E13.2, E14.2 |
| Klinický obraz | |
| Průběh | chronický |
| Příčiny nebo rizikové faktory | diabetes mellitus, hyperglykemie |
| Postižený systém | ledviny |
| Některá data mohou pocházet z datové položky. | |
Diabetická nefropatie je chronické onemocnění ledvin, které je způsobeno vlivem dlouhodobě zvýšené glykemie (hyperglykemie) při diabetu. Onemocnění spočívá v morfologické změně ledvinových glomerulů a může vést k poklesu funkce ledvin nebo i jejich selhání.
Zpravidla se diabetická nefropatie projevuje těmito klinickými projevy:
- přítomnost albuminu v moči (mikroalbuminurie, obvykle nad 300 mg/24 hod)
- přítomnost bílkoviny v moči (proteinurie)
- vysoký krevní tlak (hypertenze)
- pokles funkce ledvin
Léčba diabetické nefropatie je složitá, avšak průběh lze zpomalit dobrou kompenzací diabetu, absencí dlouhodobé hyperglykemie a snížením krevního tlaku. Při významném omezení funkce ledvin je využívána dialýza, volbou v pokročilém stádiu je transplantaci ledvin.[1]
Odkazy
Reference
Externí odkazy
Obrázky, zvuky či videa k tématu Diabetická nefropatie na Wikimedia Commons
Související články
- diabetická retinopatie
- diabetická neuropatie
- diabetická makroangiopatie
- diabetická noha
- diabetická neuropatie
Portály: Medicína
