Burkittův lymfom

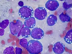
Burkittův lymfom je lymfom (typ nádorového onemocnění) postihující především B-lymfocyty. Příčinou je určitý typ mutace v těchto imunitních buňkách. Je pojmenován po objeviteli tohoto lymfomu, chirurgovi D. P. Burkittovi.[1]
Příčina
Přesnou příčinou je translokace (tzn. přemístění určité sekvence DNA z jednoho místa na jiné) onkogenu c-myc z 8. chromozomu na jiný chromozom, kde se vloží do genu, který kóduje část molekuly imunoglobulinu. Tyto geny jsou na chromozomech 2, 14 a 22, translokace tedy probíhá mezi osmým a některým z těchto chromozomů. Následující problémy (malignita) souvisí s velkou transkripční aktivitou těchto imunoglobulinových genů.
Infekce virem Epsteina a Barrové (EBV) je nezbytná, avšak nedostačující pro vývoj Burkittova lymfomu. Potřebné kofaktory jsou jak chromosomální translokace, tak imunosuprese.
Odkazy
Reference
V tomto článku byl použit překlad textu z článku Burkitt's lymphoma na anglické Wikipedii.
- ↑ Burkitt D. A sarcoma involving the jaws in African children. The British journal of surgery. 1958, roč. 46, čís. 197, s. 218–23. Dostupné online. doi:10.1002/bjs.18004619704. PMID 13628987.
Externí odkazy
Obrázky, zvuky či videa k tématu Burkitův lymfom na Wikimedia Commons - Burkittův lymfom v databázi Who Named It? (anglicky)