Bazální tělísko


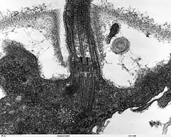
Bazální tělísko či kinetozom je struktura uvnitř eukaryotických buněk, která je tvořena mikrotubuly a dalšími bílkovinami a vyskytuje se na bázi bičíků a řasinek.[1] Je tvořeno devíti trojicemi mikrotubulů a vyrůstá z něj vlastní bičík tvořený především axonemou. Bazální tělísko má válcovitý tvar o velikosti 300–500 nm na délku a asi 120–150 nm v průměru.[2]
Bazální tělíska vykazují podobnost s centriolami (dalšími organelami eukaryotických buněk) a tak není překvapivé, že vznikají právě dělením centrioly a jejím vycestováním k membráně.[3][4]
Reference
- ↑ RÉDEI, George P. Encyclopedia of Genetics, Genomics, Proteomics, and Informatics. 3rd Edition. vyd. [s.l.]: Springer, 2008. ISBN 978-1-4020-6753-2.
- ↑ Oxford dictionary of biochemistry and molecular biology; revised edition. Příprava vydání R. Cammack et al. New York: Oxford university press, 2006. ISBN 0-19-852917-1.
- ↑ Basal body/centriole assemply and continuity. www.cbi.pku.edu.cn [online]. [cit. 17-01-2010]. Dostupné v archivu pořízeném dne 17-02-2012.
- ↑ DAWE, Helen R., Helen Farr, Keith Gull. Centriole/basal body morphogenesis and migration during ciliogenesis in animal cells. J Cell Sci. 2007-01-01, roč. 120, čís. 1, s. 7–15. Dostupné online [cit. 2010-01-17]. doi:10.1242/jcs.03305.
Externí odkazy
Obrázky, zvuky či videa k tématu Bazální tělísko na Wikimedia Commons